Материал: Патан Серов учебник

Внимание! Если размещение файла нарушает Ваши авторские права, то обязательно сообщите нам

картину гломерулонефрита (см. Болезни почек). При волчаночном нефрите почки увеличены, пестрые, с участками кровоизлияний (рис. 179). При микроскопическом исследовании волчаночный нефрит характеризуется наличием патологических изменений в ядрах (гематоксилиновые тельца), утолщением капиллярных мембран клубочков,

принимающих вид проволочных петель, появлением гиалиновых тромбов иочагов фибриноидного некроза с фиксацией в них иммунных комплексов (рис. 180). В исходе волчаночного нефрита может возникать сморщивание почек с последующим развитием уремии.

Суставы вовлекаются в патологический процесс, однако изменения не достигают большой степени и редко сопровождаются деформацией (в таких случаях заболевание приобретает большое сходство с ревматоидным артритом). Гистологически в синовиальной оболочке выявляется клеточный инфильтрат, состоящий из макрофагов и плазматических клеток, встречаются склерозированные ворсинки, развиваются васкулиты. В околосуставной ткани наблюдаются участки мукоидного и фибриноидного набухания и поля склероза.

На коже боковых поверхностей лица симметрично появляютсякрасные, слегка шелушащиеся участки, соединенные узкой красного цвета полосой на переносице (фигура бабочки). При обострении и прогрессировании болезни появляются высыпания и на других участках тела. С течением времени пятна приобретают коричневатый оттенок. При гистологическом исследовании в собственно коже в острых случаях видны отек и капилляриты, в артериолах наблюдаются фибриноидные изменения, вплоть до некроза. При затихании процесса в стенке сосудов и вокруг них появляются лимфоциты и макрофаги. Развиваются склероз, гиперкератоз, атрофия потовых и сальных желез, что ведет к облысению.

Осложнения. Наиболее опасные для жизни осложнения связаны с поражением почек - развитием их недостаточности на почве волчаночного

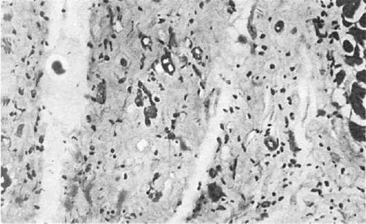
Рис.

179. Почка при волчаночном нефрите

411

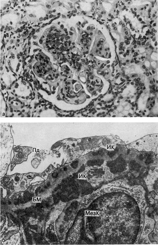
Рис.

180. Волчаночный нефрит:

а - кариорексис, гиалиновые тромбы (гистологическая картина); б - субэпителиальные и мезангиальные иммунные комплексы (ИК), деструкция подоцита (Пд). БМ - базальная мембрана, МезК - мезангиальная клетка. х10 000

412

нефрита. Иногда в связи с интенсивным лечением гормональными препаратами развиваются гнойные и септические процессы, «стероидный» туберкулез, а также эндокринные расстройства.

Смерть больных наступает чаще всего от почечной недостаточности или инфекции (сепсис, туберкулез).

Системная склеродермия

Системная склеродермия (системный прогрессирующий склероз) - хроническое заболевание с преимущественным поражением соединительной ткани кожи и висцеральными проявлениями.

Этиология и патогенез. Предполагают, что основное значение в развитии заболевания имеет нарушение синтеза коллагена (аномальный неофибриллогенез), что показано при культивировании кожи больных системной склеродермией. Продукция несовершенного коллагена вызывает усиленный его распад и развитие фиброза. Не исключается роль вирусной инфекции (РНК-содержащий вирус) и генетических факторов. В патогенезе определенную роль могут играть аутоиммунные нарушения.

Патологическая анатомия. В коже и внутренних органах наблюдаются все виды дезорганизации соединительной ткани со слабовыраженной клеточной реакцией, заканчивающиеся грубым склерозом игиалинозом. Кожа становится плотной и малоподвижной. В суставах отмечаются разной степени васкулиты, иногда с тромбами. Особенно опасно поражение сосудов почек в связи с возможностью развития некроза коркового слоя почек и острой их недостаточности - «истинная склеродермическая почка». Возможно преобладание крупноочагового кардиосклероза с сердечнососудистой

недостаточностью -«склеродермическое сердце» (рис. 181) или фиброза базальных отделов легких и субплевральных областей -базальный пневмофиброз.

413

Рис.

Осложнением у больных склеродермией наиболее часто является недостаточность тех органов и систем, в которых наиболее выражены склеротические изменения.

Узелковый периартериит

Узелковый периартериит см. Васкулиты.

Дерматомиозит

Дерматомиозит - ревматическое заболевание, главным и ведущим клиникоморфологическим проявлением которого является системное поражение поперечнополосатой, в меньшей степени гладкой, мускулатуры и кожи. Наблюдаются случаи заболевания без поражения кожи, тогда его обозначают как полиомиозит.Дерматомиозит и полиомиозит встречаются в любом возрасте, преимущественно у женщин.

Этиология и патогенез. Предполагается вирусная природа заболевания. Косвенным подтверждением этого служит обнаружение у больных в цитоплазме эндотелио- и миоцитов тубулярных структур, сходных с парамиксовирусами. Показано значение генетической предрасположенности, описаны случаи семейного дерматомиозита. Развитие болезни связано, вероятнее всего, с нарушениями иммунологического гомеостаза и аутоиммунизацией. Пусковым механизмом является, видимо, вирусная инфекция. Очевидна связь дерматомиозита с опухолями, при этом опухолевые антигены могут быть перекрестно реагирующими с антигенами мышц, что усугубляет аутоиммунизацию. Отмечено улучшение состояния больных после удаления опухоли.

Патологическая анатомия. Наиболее часто изменения развиваются в скелетной мускулатуре, в мышцах глотки, гортани, диафрагмы, глазных мышцах. Мышцы становятся бледно-желтыми, отечными. В подкожной клетчатке, мышцах появляются очаги кальциноза. При микроскопическом исследовании постоянно обнаруживаются

414

дистрофические изменения мышечных волокон, в них исчезает поперечная исчерченность, уменьшается содержание гликогена, резко понижается активность ряда ферментов. Многие мышечные волокна некротизированы, и в очагах некроза видно выпадение извести в виде мелких зерен. В соединительнотканной строме мышц, которая вовлекается в процесс вторично, развиваются отек и воспалительная реакция. В инфильтрате преобладают лимфоциты, макрофаги и плазматические клетки (рис. 182). Скопления лимфоцитов и макрофагов особенно выражены по ходу микрососудов, со стороны эндотелия капилляров отмечаются пролиферация и десквамация, вплоть до полного закрытия просвета.

Изменения внутренних органов при дерматомиозите постоянны. Они носят воспалительный, дистрофический или склеротический характер и наиболее часто наблюдаются в сердце, легких, желудочно-кишечном тракте.

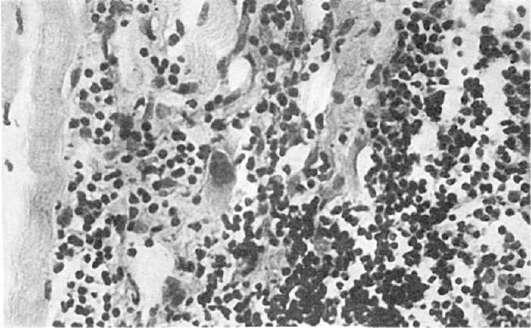
Рис.

182. Дерматомиозит. Дистрофические изменения мышечных волокон, клеточная инфильтрация межуточной ткани

Наиболее опасна пневмония, которая в детском возрасте часто является причиной гибели больного.

Лимфатические узлы и селезенка обычно увеличены, с явлениями гиперплазии лимфоидной ткани и плазмоклеточной трансформацией.

Клинико-морфологические формы. Выделяют первичную (идиопатическую) и вторичную

(опухолевую) формы дерматомиозита, морфологические проявления которых идентичны. Каждая из этих форм может иметьострое, подострое, непрерывно-

рецидивирующее и хроническое течение.

Первичная форма обычно встречается у детей, вторичная - у взрослых.

415