Базально-клеточный рак (базалиома) - опухоль с местным деструирующим ростом, рецидивирует, но не дает метастазов; локализуется чаще на шее или лице; имеет вид бляшки или глубокой язвы (ulcus rodens). Опухоль нередко бывает множественной. Построена из мелких округлых, овальных или веретенообразных клеток с узким ободком базофильной цитоплазмы (темные клетки), напоминающих базальные клетки эпидермиса, но лишенных межклеточных мостиков. Клетки располагаются тяжами или гнездами, в которых могут появляться образования, подобные придаткам кожи. Базалиома - одна из наиболее часто встречающихся опухолей кожи.
Среди злокачественных опухолей, развивающихся из придатков кожи, различают рак потовых желез, рак сальных желез и рак волосяных фолликулов. Эти опухоли встречаются редко.
Опухоли эндокринных желез
Разновидности этих опухолей представлены в табл. 8.
Таблица 8. Опухоли эндокринных желез
Источник опухоли |
Доброкачественные опухоли |
Злокачественные опухоли |
|
Яичники |
|
|
|
Трубно-маточный |
Серозная цистаденома, муцинозная Серозная цистаденокарцинома; |
||
эпителий |
цистаденома |
псевдомуцинозная цисткарцинома |
|
|
Текома |
Текома злокачественная Гранулезокле |
|
Строма полового тяжа |
|
||
|
опухоль злокачественная |
||
|
|
||
|
Гранулезоклеточная опухоль |
|
|
Клетки зачатка мужской |
|
Дисгерминома |
|
половой железы |
|
||
|
|
||
Окончание табл. 8 |
|
|
|
Источник опухоли |
Доброкачественные опухолиЗлокачественные опухоли |
||
Яички |
|
|
|
Половые клетки |
|
Семинома |
|
Гландулоциты (клетки |
Опухоль из клеток Лейдига |
|
|
Лейдига) |
|
||
|
|
||
Сустентоциты (клетки |
Опухоль из клеток Сертоли |
|
|
Сертоли) |
|
||
|
|
||
Щитовидная железа |
|
|
|
Клетки А и В |
Аденома фолликулярная |
Фолликулярный рак; папиллярный |
|
рак; недифференцированный рак |
|||
|
|
||
|
|
Солидный рак с амилоидозом |
|
Клетки С |
Аденома солидная |
сторомы (медуллярный |
|
|
|||
|
|
рак) |
|
Околощитовидные железы |
|
||
Главные клетки |
Аденома |
Рак |
|
|
|
271 |
|
Надпочечники |
|
|
|
Клетки коркового слоя |
Аденомы |
Адренокортикальный рак |
|
адренокортикальные |
|||
|
|
||
Клетки мозгового слоя |
Феохромоцитома |
Злокачественная феохромоцитома |
|
(феохромобластома) |
|||
|
|
||
Вилочковая железа |
|
|
|
|
Тимома |
|
|
Эпителиальные клетки |
(кортикально-клеточная, медуллярно-клеточная смешанно- |
||
|
|||
|
клеточная, гранулематозная) |
|
|
|
|
Рак |
|
Гипофиз |
Аденома: хромофобная, |
Рак |
|
эозинофильная, базофильная |
|||
Эпифиз |
Пинеалома |
|
|
Поджелудочная железа |
|
|
|
β-Клетки |
β-Инсулома |
|
|
α-Клетки |
α-Инсулома |
Злокачественная инсулома |
|
G-Клетки |
G-Инсулома |
|
|
Желудочно-кишечный тракт |
|
||
Энтерохромаффинные |
Карциноид |
Злокачественный карциноид |
|
клетки |
|||
|
|
||
Яичники
Опухоли яичников разнообразны и в зависимости от своего происхождения разделяются на эпителиальные, опухоли стромы полового тяжа и герминогенные опухоли; они могут быть доброкачественными и злокачественными. Ниже дается описание некоторых из этих опухолей.
Серозная цистаденома - эпителиальная доброкачественная опухоль яичника, чаще односторонняя. Представляет собой кисту, иногда больших размеров, с поверхности гладкая. На разрезе имеет белесоватый вид, состоит из одной или нескольких кист, заполненных серозной жидкостью. Кисты выстланы разнородным эпителием (иногда он напоминает трубный или цервикальный эпителий), встречаются сосочковые его разрастания; в этих случаях говорят о папиллярной цистаденоме.
Муцинозная цистаденома (псевдомуцинозная кистома) - доброкачественная эпителиальная опухоль, однокамерная или многокамерная, обычно односторонняя. Она может достигать очень больших размеров и массы (до 30 кг). Кисты выстланы высоким призматическим эпителием, напоминающим эпителий кишки и сецернирующим слизь (мукоид); возможно образование сосочковых выростов эпителия в просвет кисты (сосочковая муцинозная цистаденома). В некоторых случаях стенка муцинозной кисты разрывается, ее содержимое изливается в брюшную полость, развивается псевдомиксома брюшины. При этом возможна имплантация клеток кисты по брюшине; в брюшной полости накапливается большое количество выделяемой клетками слизи.
272
Серозная цистаденокарцинома - эпителиальная злокачественная опухоль, одна из частых форм рака яичника. Преобладают сосочковые разрастания анаплазированного эпителия, нередко возникают очаги солидного или аденоматозного строения. Опухолевые клетки прорастают стенку кисты, распространяются по ее поверхности и переходят на брюшину.
Псевдомуцинозная цисткарцинома (рак из псевдомуцинозной кисты) - злокачественная муцинозная опухоль яичников (рис. 112). Состоит из многослойных пластов атипичных клеток, слизеобразующая функция которых снижается; клетки образуют железистые, солидные, криброзные структуры; характерен некроз тканей опухоли.
Рис.
112. Псевдомуцинозная киста яичника с переходом в рак
Текома - доброкачественная опухоль стромы полового тяжа яичника; нередко односторонняя, достигает больших размеров, плотная, желтого цвета. Чаще наблюдается в возрасте старше 50 лет. Опухоль может быть гормонально-неактивной, тогда она по строению напоминает фиброму, состоит из переплетающихся пучков веретенообразных клеток. При гормональноактивной текоме опухолевые клетки накапливают липиды, становятся округлыми, светлыми, напоминают эпителий. Они располагаются диффузно или гнездами. Между опухолевыми клетками появляется хорошо развитая сеть капилляров. Гормонально-активная текома, продуцируя эстрогены, у девочек проявляется преждевременным созреванием, у молодых женщин - расстройством менструального цикла, у пожилых - метроррагией (нерегулярные маточные кровотечения). Возможны гиперплазия и децидуальное превращение слизистой оболочки матки. Текома злокачественная - редко встречающаяся опухоль, характеризуется клеточным атипизмом, построена из круглых, веретенообразных и полиморфного вида клеток, напоминающих саркоматозные. Гормональная активность проявляется редко.
273
Гранулезоклеточная опухоль (фолликулома) - доброкачественная опухоль полового тяжа яичника, чаще односторонняя, представляет собой узел с бугристой поверхностью, на разрезе серо-желтая, с очагами кровоизлияний. Источник опухолевого роста - гранулеза. Основным элементом опухоли являются мелкие округлые клетки, имеющие базофильное ядро и тонкий ободок цитоплазмы. Клетки образуют трабекулярные или аденоматозные структуры. Это гормонально-активная опухоль, в крови и моче находят высокое содержание эстрогенов. Гормональное влияние проявляется гирсутизмом (повышенное оволосение), преждевременным половым созреванием, аменореей, железисто-кистозной гиперплазией эндометрия.Гранулезоклеточная опухоль злокачественная (рак) сохраняет способность к выработке эстрогенов, но клетки утрачивают свой мономорфизм, становятся полиморфными.
Встречаются комбинированные (диморфные)гранулезотекаклеточные злокачественные опухоли.
Дисгерминома - злокачественная герминогенная опухоль яичника. Встречается редко у девочек и женщин, иногда развивается на фоне инфантилизма. Имеет вид довольно плотного крупного узла, возникает чаще в одном яичнике; на разрезе серая с очагами кровоизлияний. Построена из крупных клеток с центрально расположенным ядром; они образуют альвеолярные скопления, отграниченные прослойками соединительной ткани, содержащей множество лимфоцитов. Опухоль рано метастазирует в лимфатические узлы. Предполагают, что опухоль образуется из половых клеток зачатка мужской половой железы, по гистологической структуре напоминает семиному яичка.
Яички
Опухоли яичка встречаются сравнительно редко, но отличаются большим разнообразием в зависимости от характера тканевого зачатка, из которого они развиваются. В яичке различают: герминогенные опухоли, возникаю-
щие из незрелых половых клеток; опухоли из клеток гонадной стромы; опухоли, возникающие одновременно из герминогенных элементов и клеток гонадной стромы; опухоли из оболочек яичка и из ткани придатков.
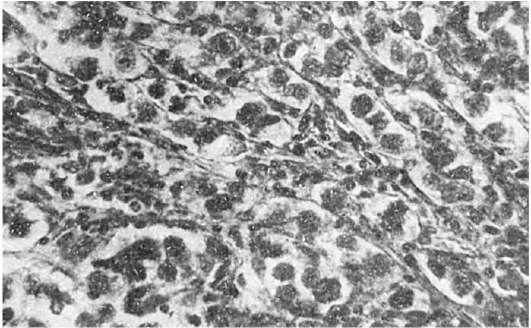
Семинома (дисгерминома) - герминогенная злокачественная и наиболее часто встречающаяся опухоль яичка. Наблюдается в возрасте 40-50 лет, нередко при крипторхизме. Она состоит из одного или нескольких узлов эластической белой ткани с очагами некроза. Представлена скоплением (тяжи и пласты) круглых, крупных, содержащих гликоген, светлых клеток; в ядрах хроматин распределен неравномерно, много атипичных митозов. Строма состоит из нежной волокнистой соединительной ткани с обширными инфильтратами из лимфоцитов, плазматических клеток, иногда эозинофилов (рис. 113). Первые метастазы появляются в околоаортальных и подвздошных лимфатических узлах, гематогенные метастазы - в легких, печени, почках, плевре.
Опухоль гонадной стромы может возникать из гландулоцитов (лейдиговские клетки) и носит название опухоли из клеток Лейдига, или лейдигомы, опухоль из сустентоцитов
274
(сертолиевые клетки) называют опухолью из клеток Сертоли. Оба вида опухоли встречаются редко, имеют доброкачественное течение. Опухоль из клеток Лейдига вызывает у детей преждевременное половое созревание, у взрослых - гинекомастию; опухоль из клеток Сертоли проявляется феминизацией, гинекомастией.
Щитовидная железа
Опухоли щитовидной железы разнообразны, так как каждая из ее клеток (А, В и С) может быть источником развития доброкачественных (аденома) и злокачественных (рак) опухолей.
Аденомы щитовидной железы разнообразны. Фолликулярная аденома развивается из А- и В- клеток, приближается по строению к щитовидной железе, состоит из мелких (микрофолликулярная) и более крупных (макрофолликулярная) фолликулов. Солидная аденома происходит из С-клеток, выделяющих кальцитонин. Клетки опухоли крупные, со светлой оксифильной цитоплазмой, разрастаются среди заполненных колло-
Рис.
113. Семинома
идом фолликулов. В тех случаях, когда в опухоли появляются кистозные образования с ветвящимися сосочковыми структурами, говорят о папиллярной аденоме щитовидной железы. Наличие папиллярных структур в аденоме - неблагоприятный признак в отношении малигнизации.
Рак щитовидной железы развивается чаще всего из предшествующей аденомы. Гистологически он представлен несколькими видами.
Фолликулярный рак возникает на основе фолликулярной аденомы. Представлен атипичными фолликулярными клетками, прорастающими капсулу и стенки сосудов. Часто возникают гематогенные метастазы в кости. Одним из вариантов этой опухоли является пролиферирующая струма Лангханса, в которой отсутствует выраженный
275