Материал: Патан Серов учебник

Внимание! Если размещение файла нарушает Ваши авторские права, то обязательно сообщите нам

клеточный атипизм, но появляется склонность к инфильтрирующему росту и метастазированию. Фолликулярный рак из А-клеток имеет сравнительно благоприятное течение и прогноз, метастазы возникают в поздние сроки болезни. Рак из В-клеток протекает медленно, но прогноз его менее благоприятный, так как рано появляются метастазы в легкие и кости.

Папиллярный рак по частоте занимает первое место среди всех злокачественных опухолей щитовидной железы. Состоит из разного размера полостей, выстланных атипичным эпителием и заполенных сосочками, исходящими из стенки кисты; местами сосочки врастают в стенку полостей и капсулу опухоли. Одной из разновидностей папиллярного рака, развивающегося из А-клеток, является склерозирующая микрокарцинома,или микрокарцинома в рубце, обнаруживаемая случайно при микроскопическом исследовании.

Солидный (медуллярный) рак с амилоидозом стромы гистогенетически связан с С-клетками,

что доказывается наличием в опухоли кальцитонина и сходством ультраструктуры клеток опухоли с С-клетками. В строме опухоли выявляется амилоид, который образуется опухолевыми клетками (APUD-амилоид).

Недифференцированный рак развивается преимущественно у пожилых людей, чаще у женщин. Построен из гнезд и беспорядочно расположенных клеток разных размеров, иногда очень мелких (мелкоклеточный рак) или гигантских (гигантоклеточный рак).

Околощитовидные железы

Доброкачественная опухоль - аденома околощитовидных желез - развивается из главных клеток. Атипичные клетки с гиперхромными ядрами образуют ацинусы, трабекулы, кисты с сосочковыми разрастаниями. Опухоль гормонально-активна, сопровождается гиперпаратиреозом, который лежит в основе фиброзной остеодистрофии (см. Болезни костномышечной системы).

Рак околощитовидной железы встречается редко и не имеет какихлибо специфических морфологических черт.

Надпочечники

Гормонально-активные опухоли надпочечников развиваются из клеток коркового или мозгового слоя. Они могут быть доброкачественными и злокачественными.

Доброкачественными опухолями коркового вещества надпочечников являются адренокортикальные аденомы, которые могут иметь различное строение. Светлоклеточная адренокортикальная аденома, одиночная или множественная, построена из крупных со светлой цитоплазмой клеток, содержащих липиды. Проявляется гиперальдостеронизмом (синдром Конна), поэтому эту аденому называют также альдостеромой.

276

Темноклеточная адренокортикальная аденома состоит из мелких темных клеток,

содержащих липофусцин и образующих анастомозирующие тяжи. Проявляется андрогенной активностью (андростерома), возникают признаки вирилизма (омужествления, от лат. vir - мужчина), реже - синдром Кушинга. Смешанная адренокортикальная аденома, состоящая из светлых и темных клеток, проявляется гиперкортицизмом (синдром Кушинга), поэтому ее называют кортикостеромой. Гломерулезоклеточная аденома построена из пенистых клеток,

не содержащих липидов; структура ее напоминает клубочковую зону надпочечника. Клинические проявления связаны с избыточной продукцией минералокортикоидов.

Злокачественная опухоль коркового вещества надпочечников - адренокортикальный рак. Имеет полиморфное строение. Характерен инвазивный рост, преимущественно гематогенное метастазирование. Встречается редко.

Доброкачественную опухоль мозгового вещества надпочечников называют феохромоцитомой (от греч.phaios - темный и chroma - окраска). Феохромоцитома - гормонально-активная опухоль, обычно односторонняя, на разрезе серо-красного или бурого цвета. Построена из полиморфных клеток со светлой цитоплазмой (клетки хромаффинной ткани), которые выделяют большое количество катехоламинов, что обусловливает повышение артериального давления и ряд других расстройств.

Злокачественная опухоль мозгового вещества надпочечников - злокачественная феохромоцитома (злокачественная феохромобластома) - отличается выраженным клеточным атипизмом, встречается крайне редко.

Вилочковая железа (тимус)

Опухоли вилочковой железы - тимомы - развиваются из кортикальных и медуллярных эпителиальных клеток. Они бывают доброкачественными и злокачественными. Они имеют вид одного или нескольких инкапсулированных узлов, могут прорастать органы переднего средостения. Клиническое течение бессимптомное или с проявлениями сдавления окружающих органов, а также аутоиммуных заболеваний (миастения, системная красная волчанка, ревматоидный артрит и др.) или иммунодефицитных синдромов.

В зависимости от степени инфильтрации ткани опухоли Т-лимфоцитами выделяют тимомы с минимальным, умеренным и значительным количеством лимфоцитов.

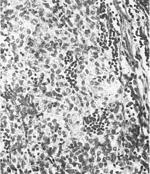
Морфологически различают 4 вида тимом (Мullег-Hermelink H., 1986). Кортикальноклеточная тимомаразвивается из кортикального эпителия, а также из клеток тимических телец, построена из крупных полигональных клеток с округлыми светлыми ядрами. Опухоль часто злокачественная (рис. 114).

277

Рис.

114. Злокачественная кортикальноклеточная тимома с минимальным количеством лимфоцитов

Медуллярно-клеточная тимома происходит из эпителия мозгового вещества, может быть образована вытянутыми клетками с овальными темными ядрами, образующими гнезда и тяжи (веретеноклеточная тимома). Опухоль обычно доброкачественная.

Смешанно-клеточная тимома характеризуется сочетанием морфологических признаков двух предыдущих видов.

Гранулематозная тимома имеет среди опухолевых клеток атипичные многоядерные эпителиальные клетки, сходные с клетками Бе- резовского-Штернберга при лимфогранулематозе. При злокачественных опухолях вилочковой железы, построенных из атипичных клеток, подобных плоскому или железистому эпителию, говорят соответственно о плоскоклеточном раке или аденокарциноме вилочковой железы. Гипофиз

Морфологически различают хромофобную, эозинофильную и базофильную аденомы. Они могут обладать гормональной активностью и сопровождаться развитием характерного синдрома.

278

Среди гормонально-активных аденом гипофиза различают: соматотропную (эозинофильная аденома);пролактиновую (хромофобная или эозинофильная аденома); аденому из клеток,

секретирующих АКТГ(хромофобная или базофильная аденома); аденому из клеток, секретирующих тиреотропный гормон(хромофобная или базофильная аденома); аденому из клеток, секретирующих фолликулостимулирующий гормон (хромофобная аденома),

которая крайне редко встречается (у евнухов).

Встречаются злокачественные аналоги (рак) аденом гипофиза.

Эпифиз

Органоспецифическая опухоль эпифиза - пинеалома - построена из железистого эпителия и нейроглии. Вызывает в организме обменные и гормональные нарушения. Встречается редко.

Поджелудочная железа

Опухоли островкового аппарата поджелудочной железы относятся к опухолям APUD-системы,

или апудомам.

Аденомы из клеток островков называют инсуломами. Они гормональноактивны. Различают три вида инсулом: 1) инсулома из β-клеток, продуцирующих инсулин (β-инсулома); 2) инсулома из α-клеток, продуцирую-

щих глюкагон (α-инсулома); 3) инсулома из G-клеток, синтезирующих гастрин (G-инсулома). β- Инсулома проявляется гиперинсулинизмом и гипогликемией, α-инсулома - пароксизмальной или постоянной гипергликемией, G-инсулома - развитием язв в желудке и двенадцатиперстной кишке (ульцерогенная инсулома), что составляет сущность синдрома Золлингера-Эллисона.

Злокачественные варианты инсулом называют злокачественными инсуломами. Они могут сохранять свою гормональную активность.

Желудочно-кишечный тракт

В слизистой оболочке желудка и кишечника встречается своеобразная опухоль - карциноид, которая развивается из энтерохромаффинных клеток Кульчицкого. Эти клетки являются представителями APUDсистемы, поэтому карциноид относят к апудомам. Чаще поражаются различные отделы кишечника (аппендикс), реже - желудок. Опухоль обычно небольших размеров, на разрезе желтого цвета, состоит из гнезд и тяжей полигональных клеток, разделенных прослойками соединительной ткани (рис. 115). Клетки содержат

двоякопреломляющие липиды, а также зерна серотонина, в связи с чем дают хромаффинную и аргентаффинную реакцию. Карциноид может сопровождаться ларциноидным синдромом (повышение артериального давления, поражение сердца и др.). В редких случаях карциноид может малигнизироваться -злокачественный карциноид и давать метастазы.

279

Рис. 115. Карциноид

Мезенхимальные опухоли

Мезенхима в онтогенезе дает начало соединительной ткани, сосудам, мышцам, тканям опорно-двигательного аппарата, серозным оболочкам, кроветворной системе. При определенных условиях все ее производные могут служить источником опухолевого роста. Мезенхимальные опухоли могут развиваться из соединительной (фиброзной), жировой, мышечной тканей, кроветворных и лимфатических сосудов, синовиальной, мезотелиальной и костной тканей. Они могут быть доброкачественными и злокачественными. Основные разновидности этой группы опухолей приведены в табл. 9.

Таблица 9. Мезенхимальные опухоли

 

Источник опухоли Доброкачественные опухоли

Злокачественные опухоли

Соединительная

Фиброма: плотная, мягкая, десмоид

Фибросаркома: дифференциров

 

 

(фиброзная) ткань

недифференцированная

Дерматофиброма (гистиоцитома)

280