Материал: Патан Серов учебник

Внимание! Если размещение файла нарушает Ваши авторские права, то обязательно сообщите нам

достигает больших размеров, имеет тубулярное, солидное или папиллярное строение. Клетки опухоли полигональные, светлые, с ацидофильной зернистостью.

Почечно-клеточный (гипернефроидный) рак имеет несколько вариантов: светлоклеточный (гипернефроидный), зернистоклеточный; железистый (аденокарцинома почки); саркомоподобный (веретено- и полиморфноклеточный); смешанно-клеточный рак. Каждый из вариантов рака почки (кроме саркомоподобного) может иметь разную степень дифференцировки. Наиболее характерны светлоклеточный и железистый варианты.

Светлоклеточный (гипернефроидный) рак - наиболее часто встречающаяся злокачественная опухоль почек. Представлена узлом мягкой и пестрой ткани, состоит из содержащих липиды светлых полигональных и полиморфных клеток с многочисленными митозами. Раковые клетки образуют альвеолы и дольки, железистые и сосочковые структуры, разделенные скудной стромой с синусоидными сосудами; типичны некрозы и кровоизлияния. Характерно прорастание опухолью лоханки и рост ее по венам («опухолевые тромбы»). Рано возникают гематогенные метастазы в легкие, кости, печень, противоположную почку.

Железистый рак (аденокарцинома почки) имеет вид мягкого пестрого узла. Опухоль состоит из тубулярных и сосочковых структур; клетки ее атипичны, с гиперхромными ядрами. Рак прорастает почечную ткань и дает гематогенные метастазы.

Нефробластома (эмбриональная нефрома, эмбриональный рак почки, опухоль Вильмса) -

злокачественная опухоль; наиболее часто встречается у детей (см. Болезни детского возраста).

Молочная железа

Опухоли молочной железы отличаются большим разнообразием и развиваются нередко на фоне дисгормональной доброкачественной дисплазии.

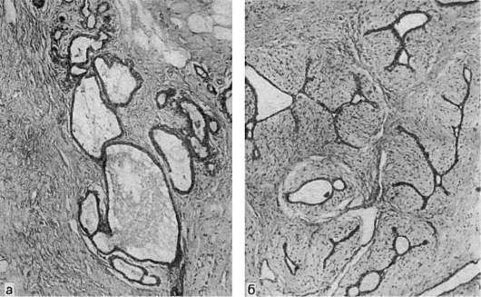
Кдоброкачественным опухолям относят фиброаденому, которая имеет вид инкапсулированного узла плотной консистенции. Характерна пролиферация альвеол и внутридольковых протоков. Соединительная ткань может обрастать внутридольковые протоки (периканаликулярная фиброаденома - рис. 108) или врастать в них(интраканаликулярная фиброаденома - см. рис. 108). Редко встречается листовидная (филлоидная) опухоль.

Кразновидностям рака молочной железы относят неинфильтрирующий дольковый и внутрипротоковый рак, болезнь Педжета.

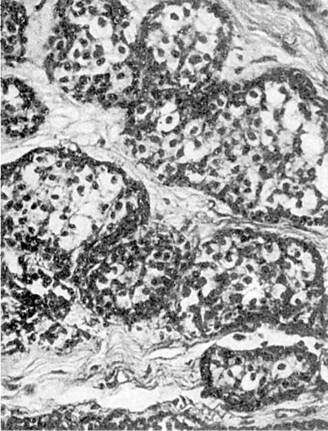
Неинфильтрирующий дольковый рак (дольковый «рак на месте») возникает мультицентрично, имеетсолидный и железистый варианты (рис. 109). Развивается в неизмененной дольке или на фоне дисгормональной доброкачественной дисплазии. Возможен переход в инвазивную форму рака.

266

Неинфильтрирующий внутрипротоковый рак (протоковый «рак на месте») может быть сосочковым, угревидным и криброзным. Сосочковый рак растет, заполняя просвет расширенных протоков, и не выходит за их пределы. Угревидный рак возникает мультицентрично, но обычно ограничивается одним сегментом железы. Внутрипротоковые разрастания анаплазированного эпителия (рис. 110) подвергаются некрозу. Эти некротические, иногда обызвествленные, массы опухоли выдавливаются

Рис.

108. Фиброаденома молочной железы:

а - периканаликулярная; б - интраканаликулярная

при разрезе ее из протоков в виде белесоватых крошащихся пробок (поэтому рак и назван угревидным). Внутрипротоковый рак переходит в инвазивную форму. Криброзный рак гистологически имеет вид решетки из-за образования просветов на месте погибших клеток.

Болезнь Педжета молочной железы характеризуется тремя признаками: экзематозным поражением соска и ареолы; наличием крупных, светлых клеток в эпидермисе соска и ареолы; раковым поражением протока молочной железы. В утолщенном и несколько разрыхленном эпидермисе находят своеобразные светлые клетки опухоли, названные клетками Педжета. Они лишены межклеточных мостиков, расположены в

средних отделах росткового слоя эпидермиса, но могут достигать и рогового слоя. Клетки Педжета никогда не внедряются в дерму. Рак развивается из эпителия как крупных, так и мелких протоков и имеет строение скирра, угревидного или криброзного рака.

Высказывается мнение (Головин Д.И., 1981), что болезнь Педжета развивается не из одного мелкого фокуса клеток, а мультицентрично, в крупном опухолевом поле, состоящем из трех отделов: эпидермиса соска и ареолы, устьев крупных протоков и глубжележащих мелких протоков молочной железы. Прогрессия опухоли проявляется аппозиционным ростом и последовательным вовлечением в процесс новых эпителиальных структур. Согласно этому

267

взгляду, клетки Педжета представляют собой измененные и малигнизированные эпителиальные элементы росткового слоя.

Рис. 109. Дольковый

рак молочной железы

268

Рис. 110. Протоковый

рак молочной железы

Матка

Эпителиальными опухолями матки являются деструирующий (злокачественный) пузырный занос и хорионэпителиома (хорионкарцинома).

Деструирующий (злокачественный) пузырный занос характеризуется врастанием ворсин хориона в вены матки и малого таза. В матке и в других органах (влагалище, легкие) появляются вторичные очаги роста опухоли. Ворсины хориона имеют небольшие размеры, в пролиферирующем трофобласте преобладают синцитиальные клетки. Деструирующий пузырный занос в половине случаев трансформируется в хорионэпителиому.

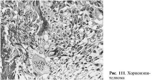
Хорионэпителиома (хорионкарцинома) - злокачественная опухоль трофобласта, развивающаяся из остатков последа после аборта, трубной беременности, родов и особенно

269

часто при деструирующем пузырном заносе. Опухоль имеет вид пестрого губчатого узла в миометрии. Ранее эту опухоль называли децидуомой, так как предполагали, что она развивается из децидуальной ткани беременной матки. В 1886 г. московский патологоанатом М.Н. Никифоров и почти одновременно швейцарский патологоанатом Маршан установили, что опухоль развивается из эпителия ворсин хориона, т.е. плода, а не матери. Опухоль была названа хорионэпителиомой. Она состоит из элементов цито- и синцитиотрофобласта (рис. 111): светлых эпителиальных клеток Лангханса, среди которых много гигантских делящихся и полиморфных темных клеток синцития. Строма в опухоли отсутствует, сосуды имеют вид полостей, выстланных клетками опухоли, в связи с этим часты кровоизлияния. Клетки опухоли легко проникают в кровь и дают гематогенные метастазы, прежде всего в легкие. Хорионэпителиома гормонально-активна: ее развитие сопровождается выделением гормона гонадотропина, который обнаруживается в моче. В очень редких случаях хорионэпителиома может иметь тератогенное происхождение, чем объясняют ее развитие у женщин в яичнике и у мужчин в яичке, средостении, стенке мочевого пузыря. Такие хорионэпителиомы называют эктопическими.

Кожа

Опухоли кожи очень многочисленны и возникают как из эпидермиса, так и из придатков кожи: потовых и сальных желез, желез волосяных фолликулов. Эти опухоли разделяются на доброкачественные, опухоли с местнодеструирующим ростом и злокачественные. Важнейшими из них являются сирингоаденома, гидраденома, трихоэпителиома и базальноклеточный рак (базалиома).

Сирингоаденома - доброкачественная опухоль из эпителия протоков потовых желез. Различают сосочковую итубулярную формы. Для первой характерно образование сосочков, покрытых двухслойным эпителием, для второй - беспорядочно расположенных тубул, выстланных также даухслойным эпителием. Гидраденома - доброкачественная опухоль из секреторного эпителия потовых желез с сосочковыми выростами эпителия.Трихоэпителиома - доброкачественная опухоль из волосяных фолликулов или их эмбриональных элементов. Характерны порочно развитые волосяные фолликулы и плоскоэпителиальные кисты, заполненные роговым веществом.

270