Материал: Патан Серов учебник

Внимание! Если размещение файла нарушает Ваши авторские права, то обязательно сообщите нам

мутноватая жидкость - раковый сок. Рак слизистых оболочек и кожи рано изъязвляется. Различаются следующие микроскопические формы рака: «рак на месте» (carcinoma in situ); 1шоскоклеточный (э1тидермальный) с ороговением и без ороговения; аденокарцинома (железистый); слизистый (коллоидный); солидный (трабекулярный); мелкоклеточный; фиброзный (скирр); медуллярный (аденогенный).

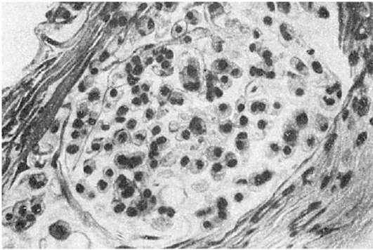
«Рак на месте», или carcinoma in situ (интраэпителиальная, неинвазивная карцинома) - форма рака без инвазивного (инфильтрирующего) роста, но с выраженным атипизмом и пролиферацией эпителиальных клеток с атипичными митозами (рис. 103). Эту форму рака следует дифференцировать с тяжелой дисплазией. Рост опухоли происходит в пределах эпителиального пласта, без перехода в подлежащую ткань. Но неинвазивный рак - лишь этап роста опухоли, со временем он становится инфильтрирующим (инвазивным).

Плоскоклеточный (эпидермальный) рак развивается в коже и в слизистых оболочках, покрытых плоским или переходным эпителием (полость рта, пищевод, шейка матки, влагалище и др.). В слизистых оболочках, покрытых призматическим эпителием, плоскоклеточный рак развивается только после предшествующей метаплазии эпителия. Опухоль состоит из тяжей атипичных клеток эпителия, врастающих в подлежащую ткань, разрушающих ее и образующих в ней гнездные скопления. Клетки опухоли могут сохранять способность к ороговению, тогда возникают образования, напоминающие жемчужины (раковые жемчужины). При меньшей степени дифференцировки клеток ороговение рака не происходит. В связи с этим плоскоклеточный рак может быть ороговевающим и неороговевающим (рис. 104, 105).

Аденокарцинома (железистый рак) развивается из призматического эпителия слизистых оболочек и эпителия желез. Поэтому она встречается как в слизистых оболочках, так и в железистых органах. Эта аденогенная опухоль имеет структуру, сходную с аденомой, но в отличие от аденомы в аденокарциноме отмечается атипизм клеток эпителия: они разной формы, ядра гиперхромны. Клетки опухоли формируют железистые образования различной формы и величины, которые врастают в окружающую ткань, разрушают ее, при этом базальная мембрана их утрачивается. Различают варианты аденокарциномы: ацинарную - с преобладанием в опухоли аци-

261

Рис. 103. Рак

на месте(carcinoma in situ)

нарных структур; тубулярную - с преобладанием в ней трубчатых

262

образований; сосочковую, представленную атипичными сосочковыми разрастаниями. Аденокарцинома может иметь разную степень дифференцировки.

Слизистый (коллоидный) рак - аденогенная карцинома, клетки которой имеют признаки как морфологического, так и функционального атипизма (извращенное слизеобразование). Раковые клетки продуцируют огромное количество слизи и в ней погибают.

Опухоль имеет вид слизистой или коллоидной массы, в которой обнаруживаются ати1тичные клетки (рис. 106). Слизистый (коллоидный) рак - одна из форм недифференцированного рака.

Солидный рак (от лат. solidus - единый, плотный) - форма недифференцированного рака с выраженным атипизмом. Клетки рака располагаются в виде трабекул (трабекулярный рак), разделенных прослойками соединительной ткани. В клетках опухоли довольно часты митозы. Растет солидный рак быстро и рано дает метастазы.

Рис.

106. Слизистый (коллоидный) рак

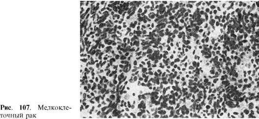
Мелкоклеточный рак - форма недифференцированного рака, который состоит из мономорфных лимфоцитоподобных клеток, не образующих каких-либо структур; строма крайне скудная (рис. 107). В опухоли много митозов, часто отмечаются некротические изменения. Рост быстрый, метастазы возникают рано. В некоторых случаях установить гистогенез опухоли не представляется возможным, тогда говорят о неклассифицируемом раке.

Фиброзный рак, или скирр (от греч. scirros - плотный), - форма недифференцированного рака, представленного крайне атипичными гиперхромными клетками, расположенными среди пластов и тяжей грубоволокнистой соединительной ткани. Основная черта этой формы рака -

263

явное преобладание стромы над паренхимой. Опухоль отличается большой злокачественностью, часто возникают ранние метастазы.

Медуллярный (аденогенный) рак - форма недифференцированного рака; его основная черта - преобладание паренхимы над стромой, кото-

рой очень мало. Опухоль мягкая, бело-розового цвета, напоминает ткань головного мозга (мозговидный рак). Она представлена пластами атипичных эпителиальных клеток, содержит много митозов; быстро растет и рано подвергается некрозу; дает ранние и множественные метастазы. Помимо описанных, встречаются смешанные формы рака, состоящие из зачатков двух видов эпителия (плоского и цилиндрического), их называют диморфными раками.

Опухоли экзо- и эндокринных желез а также эпителиальных покровов

Эти опухоли характеризуются тем, что они развиваются из клеток определенного органа и сохраняют морфологические, но иногда и функциональные черты, присущие данному органу. Они встречаются как в экзокринных железах и эпителиальных покровах, так и в эндокринных железах.

Опухоли экзокринных желез и эпителиальных покровов Разновидности этих опухолей приведены в табл. 7.

Таблица 7. Опухоли экзокринных желез и эпителиальных покровов

Источник опухоли

Доброкачественные опухоли

Злокачественные опухоли

Печень

 

 

 

Аденома (гепатома)

Печеночно-клеточный рак

Гепатоциты

 

 

Почки

 

 

Эпителий канальцев

Аденома

Почечно-клеточный рак Нефробласт

 

 

Метанефрогенная ткань

 

 

Молочная железа

Фиброаденома

Дольковый «рак на месте», протоков

 

(периканаликулярная,

месте»

Эпителий альвеол и

интраканаликулярная)

 

 

 

264

выводных протоков

 

Эпидермис соска и ареолы;

 

эпителий протоков

 

Матка

 

 

Пузырный занос

Оболочка хориона

 

Кожа

 

Эпителий протоков потовых

 

желез

 

 

Сирингоаденома

Эпителий секреторных

 

отделов потовых желез

Гидраденома

Эпителий волосяных

Трихоэпителиома

фолликулов

 

Эпителий разных отделов

 

придатков кожи

 

Печень

 

Болезнь Педжета (рак)

Деструирующий (злокачественный) занос; хорионэпителиома (хорионка

Рак Рак

Базально-клеточный рак

Печеночно-клеточная аденома (гепатоаденома) - доброкачественная опухоль, построена из гепатоцитов, формирующих трабекулы. Встречается в виде одного или нескольких узлов.

Печеночно-клеточный (гепатоцеллюлярный) рак может быть представлен одним большим узлом, охватывающим почти целую долю печени (массивная форма), несколькими изолированными узлами (узловатая форма) или узелками, рассеянными в ткани печени (диффузная форма). Опухоль построена из атипичных гепатоцитов, образующих тубулы, ацинусы или трабекулы (тубулярный, ацинарный, трабекулярный, солидный рак). Строма скудная с тонкостенными кровеносными сосудами.

Почки

К доброкачественным опухолям относят аденомы, к злокачественным - варианты почечно-клеточного рака.

Среди аденом почек различают темноклеточную (базофильную), светлоклеточную (гипернефроидную) и ацидофильную.

Темноклеточная (базофильная) аденома может иметь строение тубулярной, солидной аденомы или цистопатилломы. Иногда она достигает размера самой почки. Светлоклеточная (гипернефроидная) аденомаобычно небольших размеров, окружена

капсулой, на разрезе желтого цвета, иногда с кровоизлияниями; построена из крупных полиморфных светлых, богатых липидами клеток. Ацидофильная аденома - редкая опухоль,

265