Материал: Нанотехнологии для всех (Рыбалкина), 2005, c.444

Внимание! Если размещение файла нарушает Ваши авторские права, то обязательно сообщите нам

ГЛАВА 3. Нанохимия и наноматериалы

условиях повышенных температур. Мы рассмотрим несколько наиболее популярных методов.

Электродуговое распыление графита

Это самый распространен

 

ный метод, разработанный Креч

 

мером. Именно так японский

 

ученый Сумио Иджима впервые

 

получил нанотрубки в 1991 году.

 

Суть метода такова: в камере, за

 

полненной инертным газом,

 

между графитовыми электродами

 

горит электрический разряд, ио

 

низирующий атомы газа. Катод и

 

стенки камеры охлаждаются при

Рис 72. Схема установки Кречмера для

помощи воды или жидкого азота.

получения нанотрубок и фуллеренов

При токе дуги порядка 100 А, давлении газа в несколько раз меньше атмосферного и напряжении на электродах 25 35В тем пература образующейся между электродами плазмы достигает 4000К. При такой температуре поверхность графитового анода интенсивно испаряется. В результате резкого перепада темпе ратур атомы углерода уносятся из горячей в более холодную об ласть плазмы8 и конденсируются в осадок на стенках камеры и поверхности катода.

Рассматривая этот осадок в электронный микроскоп, мож но увидеть наряду с сажей и графитом новые структуры – фул лерены и нанотрубки. При этом часть осадка, содержащая гра фит, сажу, и фуллерены осаждается на холодные стенки каме ры, а часть, содержащая графит и нанотрубки на катод.

Лазерное испарение графита

В этом методе испаряемый лазером графит конденсируется на охлаждаемом коллекторе. Графитовая мишень расположена в длинной кварцевой трубке внутри цилиндрической печки с температурой 1000°С.

Вдоль трубки с невысокой скоростью прокачивается бу ферный газ (гелий или аргон). Мишень облучают лазером с энергией 140 мДж, длительностью импульса 8 нс и диаметром

8 Плазма ионизированный газ, в котором атомы теряют несколько внешних электронов и превращаются в положительно заряженные ионы.

www.nanonewsnet.ru

143

НАНОТЕХНОЛОГИИ ДЛЯ ВСЕХ
сфокусированного пучка около 1,6 мм. Продукты термического распыления графита уносятся из горя чей области и осаждаются на поверхности охлаждае мого коллектора. В получа
Рис 73. Схема установки для получения фуллеренов емом осадке помимо нано и нанотрубок лазерным испарением графита частичек графита обнаружи
ваются также фуллерены и нанотрубки.
Важной особенностью лазерного метода является высокая чувствительность характеристик синтезируемых нанотрубок к па раметрам лазерного излучения. В частности диаметра нанотрубок прямо зависит от мощности излучения. Это дает возможность по лучения нанотрубок с заданными структурными параметрами. К недостаткам метода следует отнести его относительно невысокую производительность и трудность масштабирования.
Сегодня получение нанотрубок в небольших количествах, достаточных для изучения, стало обычным делом. Проблема те перь состоит в снижении их себестоимости и получении в про мышленных масштабах, поскольку рассмотренные выше мето ды не позволяют достичь этого. С этой точки зрения интересен третий метод, разработанный российскими учеными под руко водством М.М. Томишко.
Метод химического осаждения из пара

Этот наиболее практичный и массовый способ получения углеродных нанотрубок основан на термохимическом осажде нии углеродсодержащего газа на поверхности горячего метал лического катализатора. Данный метод также получил назва ние метода каталитического разложением углеводородов.

Углеродсодержащая газовая смесь (обычно смесь ацетилена С2H2 или метана CH4 с азотом) пропускается сквозь кварцевую

трубку, помещенную в печь при температуре около 700 1000°С. В

трубке

находится

 

керамический ти

 

гель9 с катализато

 

ром –

металли

Рис 74. Схема установки для получения фуллеренов и нанотрубок

ческим

порош

химическим осаждением из пара

144

 

 

ГЛАВА 3. Нанохимия и наноматериалы

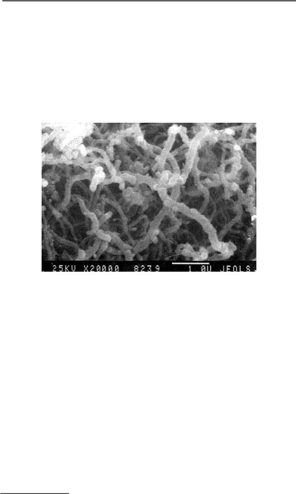
ком. Разложение углеводорода, происходящее в результате хими ческой реакции атомов газа с атомами металла, приводит к обра зованию на поверхности катализатора фуллеренов и нанотрубок с внутренним диаметром до 10 нм и длиной до нескольких десят ков микрон. Геометрические параметры нанотрубок в сущест венной степени определяются условиями протекания процесса (времени, температуры, давления и сорта буферного газа и пр.), а также степенью дисперсности и сортом катализатора.

Рис 75. Так под микроскопом выглядият нанотрубки, полученные химическим осаждением из пара

Получение нанотрубок и фуллеренов методом химического парового осаждения особенно интенсивно развивается в пос леднее время, так как позволяет получать большое количество одинаковых нанотрубок на поверхности шаблона. Это откры вает путь крупномасштабному получению фуллеренов и нанот рубок и созданию на их основе промышленного производства разнообразной нанопродукции.

Как видно из описания, при всех методах получения фулле ренов и углеродных нанотрубок конечный материал содержит часть шлака – сажу, частицы аморфного графита, а в случае ис пользования катализаторов – частицы металлов. Для повыше ния чистоты полученного продукта используют различные ме тоды очистки – как механические (фильтрация, обработка ультразвуком, центрифугирование), так и химические (промы вание в химически активных веществах, нагревание и пр.). Се годня уже возможно получение макроскопических количеств

9 Тигель специальный сосуд для плавки, варки или нагрева различных материалов.

www.nanonewsnet.ru

145

НАНОТЕХНОЛОГИИ ДЛЯ ВСЕХ

фуллеренов и нанотрубок (до нескольких литров) практически из любого углеродсодержащего газа (например, обычного при родного газа), а ученые пытаются найти наиболее выгодный экономически метод, который позволит получать их пусть не массово, но с минимумом примесей.

Надо сказать, что метод получения наноструктур играет очень важную роль. Он влияет не только на свойства наност руктуры, но и на время ее жизни – то есть период, в течение ко торого частица способна эти уникальные свойства проявлять. По истечении этого срока наночастицы либо окисляются, либо агрегируются в микрочастицы и приобретают свойства компа ктных веществ.

Так, например, в зависимости от метода получения время жизни наночастиц серебра может варьироваться в пределах от часов до нескольких месяцев. Ученые концерна “Наноиндуст рия” под руководством Е.М. Егоровой развивают уникальный биохимический метод получения наночастиц серебра, благода ря которому они проявляют свою активность в течение целого года. Наночастицы получают восстановлением ионов металлов до атомов в обратных мицеллах, представляющих собой мик роскопические камеры из молекул и ионов. Образовавшимся в такой камере атомам не остается ничего другого, как объеди няться в наночастицы, а оболочка мицеллы предохраняет полу ченные частицы от слипания и нежелательных реакций.

Рис 76 Фотоизображение наночастиц серебра, полученных биохимическим синтезом в обратных мицеллах

146

Рис 77. Вирусы атакуют клетку. Скорость, с которой вирус атакует клетку, превышает скорость пули

ГЛАВА 3. Нанохимия и наноматериалы

Примеры уникальных свойств некоторых наночастиц

Серебро

Как уже отмечалось, свойства у наночастицы серебра на са мом деле уникальные.

Во первых, это феноменальная бактерицидная и антиви русная активность. Об антимикробных свойствах, присущих ионам серебра, человечеству известно уже очень давно. Навер няка большинство читателей слышали о целительных способ ностях церковной “святой воды”, получаемой путем прогонки обычной воды сквозь серебряный фильтр. Такая вода не содер жит многих болезнетворных бактерий, которые могут присут ствовать в обычной воде. Поэтому она может храниться годами, не портясь и не “зацветая”.

Кроме того, такая вода содержит некоторую концентрацию ионов серебра, способных нейтрализовать вредные бактерии и микроорганизмы, чем и объясняется ее благотворное влияние на здоровье человека.

Установлено, что наночасти цы серебра в тысячи раз эффек тивнее борются с бактериями и вирусами, чем серебряные ионы. Как показал эксперимент, нич тожные концентрации наночас тиц уничтожали все известные микроорганизмы (в том числе и вирус СПИДа), не расходуясь при этом.

Кроме того, в отличие от антибиотиков, убивающих не только вредоносные вирусы, но и пораженные ими клетки, действие наночастиц очень избирательно: они действуют толь ко на вирусы, клетка при этом не повреждается! Дело в том, что оболочка микроорганизмов состоит из особых белков, которые при поражении наночастицами перестают снабжать бактерию кислородом. Несчастный микроорганизм больше не может окислять свое «топливо» глюкозу и гибнет, оставшись без ис точника энергии. Вирусы, вообще не имеющие никакой обо лочки, тоже получают свое при встрече с наночастицей. А вот

www.nanonewsnet.ru

147