Материал: Дифференциальная диагностика интерстициального нефрита и гломерулонефрита

Внимание! Если размещение файла нарушает Ваши авторские права, то обязательно сообщите нам

Расстройство водно-электролитного обмена проявляется гипохлоремией, гипокальциемией и гиперфосфатемией. Отеки в большинстве случаев отсутствуют. Отмечается полиурия. Характерным признаком является снижение относительной плотности мочи, которая сохраняется на низком уровне в течение нескольких месяцев. Изменения мочевого осадка нехарактерны, иногда обнаруживаются лейкоциты, редко эритроциты, цилиндры и почечный эпителий.

Острый интерстициальный нефрит сопровождается симптомами основной болезни вызвавшей его. Возникает чаще на фоне острого инфекционного гастроэнтерита, острой неспецифической бронхопневмонии, колибактериоза, лептоспироза, сальмонеллеза, кандидамикоза и др., при применении антибиотиков широкого спектра действия на 3-5-й день после их назначения в ударных дозах. У больных животных отмечаются снижение аппетита, температура тела зависит в первые дни от основного заболевания, сначала незначительно повышена, а затем возвращается в пределы физиологической нормы. Исследованиями крови выявляют незначительный лейкоцитоз, уменьшение числа эритроцитов и количества гемоглобина.

Нарушение азотовыделительной функции почек сопровождается повышением содержания остаточного азота и мочевины в сыворотке крови в 1,5-2 раза. Расстройство водно-электролитного обмена проявляется гипохлоремией, гипокальциемией и гиперфосфатемией. Отеки в большинстве случаев отсутствуют. Отмечается полиурия. Характерным признаком является снижение относительной плотности мочи до 1,010, которая сохраняется на низком уровне в течение нескольких месяцев. Изменения мочевого осадка нехарактерны, иногда обнаруживаются лейкоциты, редко эритроциты, цилиндры и почечный эпителий (рис. 1).

Рис. 1 Схема нефрона

В начальном периоде течения гломерулонефрита отмечается снижение концентрационной функции почек, а в последующем и фильтрующей, что прежде всего сказывается на выведении азотистых продуктов и других факторов межуточного обмена.

При развитии нефрита у животных возникает азотемическая уремия. Механизм ее развития не совсем ясен, несомненно, что сама уремия является проявлением резко выраженной почечной недостаточности. При ней диурез понижен. Все это приводит к задержке в организме животных азотистых продуктов обмена ( рис. 2)

Содержание остаточного азота и особенно мочевины в сыворотке кров повышается в 5-10 раз. Наряду с этим развивается и гипохлоремическая уремия. Потери хлора и натрия из организма сопровождаются обезвоживанием тканей (эксикозом). В условиях этого резко усиливаются процессы распада белков. Это сопровождается увеличением в крови не только содержания аминокислот и аммиака, но также и продуктов неполного гидролиза в форме полипептидов, являющихся весьма токсичными. Они обладают токсическим действием на сосудистую систему, вызывают увеличение проницаемости капилляров, рефлекторное падение кровяного давления и вазотропную брадикардию. Быстрое снижение концентрации хлора в крови и внеклеточный эксикоз приводят к гиповолемии, дальнейшему сокращению объема клубочковой фильтрации и повышению уровня остаточного азота, а также развитию ацидоза.

Рис. 2 Пиелограмма нормальной и пораженной почек: 1 - здоровая почка, 2 - линия, соединяющая вершины синусов лоханки, образует равномерный овально выпуклый контур параллельно поверхности почки, 3 - пиелит и гидронефроз почки, 4 - линия, соединяющая вершины синусов лоханки, образует неравномерный с западениями контур, 5 - пиелоэктазия, обусловленная скоплением жидкости, 6 - место обтурации просвета мочеточника

Наблюдается нарушение кислотно-основного равновесия в сторону резкого ацидотического сдвига, обусловленного задержкой в организме преимущественно летучих кислот и кетоновых тел ( рис. 3,4)

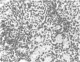
Рис. 3 Гистологическая картина при интерстициальном нефрите

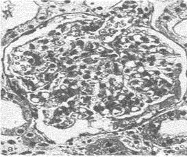
Рис. 4 Гистологическая картина при гломерулонефрите

Следует также отметить, что в компенсации нарушения функций почек при нефрите участвует желудок и кишечник. Длительная интоксикация способствует белково-зернистой дегенерации клеток печени и возникновению печеночной недостаточности. Это приводит к изменениям белкового обмена. В частности, причиной гипоальбуминемии при гломерулонефрите является ускоренный распад альбумина, нарушение его синтеза печенью и повышенная проницаемость капилляров почек вследствие застойных явлений. Отмечается выход белка из сосудистого русла, он выделяется с мочой, и развивается протеинурия.

При возникающей частичной компенсаторной функции желудочно-кишечного тракта при азотонемии развивается уремический гастроэнтерит, выделение азотистых веществ кожей и слизистой оболочкой рта.

Длительная уремическая интоксикация костного мозга ведет к угнетению кроветворения и развитию гипохромной анемии.

Поражение сердечно-сосудистой системы проявляется гипертонией, сопровождающейся подъемом диастолического давления. Нарушение кровообращения и гипертрофия сердца находятся в прямой зависимости от гипертонии.

Наиболее сильное изменение кровообращения развивается при комбинации гиперволемии (увеличение массы крови) со спазмом артериол. Вследствие развития гиперволемии, гипертонии и спазмов мозговых сосудов у животных нередко развивается эклампсия.

Многочисленные и длительные воздействия, вызывающие нарушения деятельности почек, обусловливают развитие уремической полинейропатии. При этом у животных отмечается адинамия, апатия, сонливость, малоподвижность, нарушение координации движений, понижены рефлексы, выражена потливость, в последующем развивается коматозное состояние.

2. ДИФФЕРЕНЦИАЛЬНАЯ ДИАГНОСТИКА ИНТЕРСТИЦИАЛЬНОГО НЕФРИТА И ГЛОМЕРУЛОНЕФРИТА


Острый интерстициальный нефрит возникает чаще на фоне острого инфекционного гастроэнтерита, острой неспецифической бронхопневмонии, колибактериоза, лептоспироза, сальмонеллеза, кандидамикоза и др., при применении антибиотиков широкого спектра действия на 3-5-й день после их назначения в ударных дозах. У больных животных отмечаются снижение аппетита, температура тела зависит в первые дни от основного заболевания, сначала незначительно повышена, а затем возвращается в пределы физиологической нормы. Исследованиями крови выявляют незначительный лейкоцитоз, уменьшение числа эритроцитов и количества гемоглобина.

Нарушение азотовыделительной функции почек сопровождается повышением содержания остаточного азота и мочевины в сыворотке крови в 1,5-2 раза. Расстройство водно-электролитного обмена проявляется гипохлоремией, гипокальциемией и гиперфосфатемией. Отеки в большинстве случаев отсутствуют. Отмечается полиурия. Характерным признаком является снижение относительной плотности мочи до 1,010, которая сохраняется на низком уровне в течение нескольких месяцев. Изменения мочевого осадка нехарактерны, иногда обнаруживаются лейкоциты, редко эритроциты, цилиндры и почечный эпителий.

Диагностика острого интерстициального нефрита далеко не всегда проста. Учитывают, что острая почечная недостаточность развивается после приема лекарств в процессе лечения основного заболевания. Отмечается продолжительная полиурия, моча с низкой относительной плотностью.

Дифференцировать следует от гломерулонефрита, при котором ярко выражена триада симптомов: гипертония, гематурия, отеки. Частые позывы к мочеиспусканию на фоне олигурии и даже анурии. Моча имеет цвет мясного смыва, содержит эритроциты, лейкоциты, эпителий почечных канальцев. В период анурии развивается острая почечная недостаточность, приводящая к уремической коме и даже гибели животных.

Острый интерстициальный нефрит необходимо дифференцировать с острым постинфекционным гломерулонефритом, протекающим с нефритическим синдромом. Для острого гломерулонефрита характерен анамнез с наличием очага инфекции (чаще стрептококковой) и «светлым» промежутком между его активностью и клинической картиной нефрита. При остром интерстициальном нефрите нет отеков и артериальной гипертензии. Для него также характерна гипостенурия. При остром гломерулонефрите плотность мочи высокая или нормальная.

В отличие от пиелонефрита, при остром интерстициальном нефрите не наблюдается значительного повышения температуры тела и отсутствует бактериурия. Гематурия при пиелонефрите не превалирует над лейкоцитурией.

Клиническая картина гломерулонефрита складывается из сочетания почечных симптомов с симптомами поражения сердечно-сосудистой, легочной и центральной нервной системы. Острый гломелуронефрит развивается спустя 2-3 недели после перенесенного инфекционного заболевания, вакцинации, тонзиллита, фарингита. Клинически у таких животных отмечают повышенную температуру, бурную рвоту. Внезапное повышение АД сочетается с макрогематурией (моча в виде «мясных помоев»), отеками, олигурией. Гипертензия обычно сопровождается брадикардией и синусовой аритмией. Нередко отмечается болезненность мускулатуры спины при надавливании пальцами, преходящие парезы тазовых конечностей, желание лежать на холодном месте, выгибание дугой спины. Олигурия может быть выраженной вплоть до анурии с развитием преходящей острой почечной недостаточности. Остро развивающаяся гиперволемическая гипертензия, нередко ассоциированная с серозным миокардитом часто осложняется эклампсией, сердечной недостаточностью. К ранним признакам последней относятся появление тахикардии, ритма галопа, расширение полостей сердца. Нарушение кровообращения чаще развивается в малом круге (сердечная астма, интерстициальный отек легких). Острый гломерулонефрит длится не более двух недель и нередко заканчивается летально.

При гломерулонефрите развивается гипоальбуминемия из-за персистирующей протеинурии. При падении уровня альбумина ниже 15 г/л начинается развитие асцитов, гидроторакса и подкожных отеков. Эти симптомы также зависят от степени гипертензии. Из-за нее и сниженного осмотического давления из крови удаляется жидкость, что снижает общий объем крови и стимулирует механизм ренин-ангиотензин-альдостерон, который, наоборот, увеличивает задержку натрия и воды.

Диагноз острого гломерулонефрита должен быть заподозрен при внезапном развитии олигурии, отеков и артериальной гипертензии у молодых животных вскоре после перенесенного инфекционного заболевания, тонзилита, фарингита, вакцинации. Решающее значение имеет лабораторное исследование крови и мочи. У большинства больных отмечается умеренная нормохромная анемия, значительное увеличение СОЭ, нейтрофилез со сдигом влево, значительное увеличение показателей мочевины и креатинина в сыворотке крови. При исследовании мочи отмечают повышенное содержание эритроцитов (преимущественно выщелоченных), пиурию и бактериурию, наличие всех видов мочевых цилиндров. Протеинурия обычно невелика, однако при циклическом и затянувшемся остром гломерулонефрите она может достигать 10 г/л.

Симптомы острого гломерулонефрита не являются специфичными, в связи с чем при постановке диагноза необходимо дифференцировать острый гломерулонефрит от ряда сходно проявляющихся заболеваний. Острый гломерулонефрит необходимо отличать от хронического гломерулонефрита. Это не представляет сложностей при четком остром начале острого гломерулонефрита и последующем полном обратном развитии симптомов. Чаще всего диагностика осложняется при отсутствии острого начала, а также при длительном сохранении отдельных признаков болезни (прежде всего мочевого синдрома). Трудно дифференцировать острый гломерулонефрит от пиелонефрита вследствие наличия лейкоцитурии при обоих заболеваниях. Однако ОГН сопровождается более массивной протеинурией и в ряде случаев отеками. ОГН необходимо дифференцировать от хронических диффузных заболеваний соединительной ткани, при которых гломерулонефрит представляется как одно из проявлений болезни. Эта ситуация обычно возникает при выраженности мочевого, гипертензивного и отечного синдромов и недостаточной четкости других симптомов заболевания, чаще при системной красной волчанке. При подозрении на лептоспироз серологически исследуют сыворотку крови, но не ранее 7-12 дня заболевания.

Острую фазу гломерулонефрита характеризируют олигурия (при внешне учащенном мочеиспускании), гематурия и протеинурия. Клинически у таких животных отмечают повышенную температуру, бурную рвоту и кратковременные парезы тазовых конечностей. О поражениях клубочков почки свидетельствуют повышенное содержание эритроцитов в осадке мочи. О вовлечении межуточной ткани говорит большое число дейкоцитов и бактерий. Изменения в канальцевой системе почек характеризируется более частыми выделениями всех видов мочевых цилиндров. Гематурия может быть настолько сильной, что моча приобретает цвет мясных помоев. В очень тяжелых случаях острого диффузного гломерулонефрита у животного развиваются анурия с азотемией, тонико-клонические судороги. При этом значения мочевины и креатинина в сыворотке крови поднимаются до 25 ммоль/л и 265 мкмоль/л

интерстициальный гломерулонефрит лечение патогенез

3. ЛЕЧЕНИЕ И ПРОФИЛАКТИКА ИНТЕРСТИЦИАЛЬНОГО НЕФРИТА И ГЛОМЕРУЛОНЕФРИТА


Проблема лечения животных, больных интерстициальным нефритом, до настоящего времени еще не полностью разрешена. В начальный период болезни назначают антибиотики пенициллинового ряда (пенициллин, бициллин, ампиокс и другие). В период лечения антибиотиками для снижения их сенсибилизирующего влияния показано применение противогистаминных и десенсибилизирующих препаратов - димедрола, супрастина, тавегила и других. Эти препараты необходимо назначать в сочетании с аскорбиновой кислотой и препаратами кальция. Такое сочетание лечебных средств, помимо десенсибилизирующего эффекта, обладает способностью уменьшать проницаемость стенок капилляров и, следовательно, препятствует развитию отека тканей, резко снижает их токсичность. Гистамин оказывает не только десенсибилизирующее, но и противовоспалительное действие. Симптоматическое лечение включает применение диуретических средств. Мочегонным действием обладают пуриновые производные (эуфиллин, диуретин, кофеин и другие), улучшающие почечную гемодинамику и усиливающие клубочковую фильтрацию. Целесообразно применять средства фитотерапии - отвары бузины черной, листьев толокнянки, кукурузных рыльцев, зверобоя, ягод можжевельника и другие. С целью нормализации процессов обмена назначают витамины А, Д, Е, аскорбиновую кислоту, витамины В1, В12. При тяжелом течении нефрита с явлениями острой почечной недостаточности внутривенно вводят 5%-ный раствор глюкозы и 0,9%-ный раствор натрия хлорида.

Предупреждение интерстициального нефрита требует широкого комплекса профилактических мероприятий, прежде всего направленных на укрепление организма в целом. Для повышения защитных сил организма необходимо создание хороших санитарно-гигиенических условий содержания, а также проведение регулярных прогулок. Особого внимания заслуживает профилактика респираторных и желудочно-кишечных болезней, особенно вирусного происхождения. Профилактика поражений почек антибиотиками включает правильный подбор дозы препаратов, соблюдение сроков применения, кратности введения, учет синергизма, побочных действий, выяснение применялись ли ранее антибиотики соответствующей группы при лечении.

При своевременном лечении благоприятный. Если острый интерстициальный нефрит развивается на фоне другого заболевания - сомнительный. Лечение. В начальный период болезни назначают антибиотики пенициллинового ряда (пенициллин, бициллин, ампиокс и др.).

Для повышения защитных сил организм создание хороших санитарно-гигиенических условий в помещениях, а также проведение регулярного моциона.

Внимания заслуживает профилактика респираторных и желудочно-кишечных болезней, особенно вирусного происхождения.

Важными являются правильный подбор дозы препаратов, соблюдение сроков применения, кратности введения, учет синергизма, побочных действий.