Материал: Bovine Viral Diarrhea Virus Diagnosis, Management, and Control

Внимание! Если размещение файла нарушает Ваши авторские права, то обязательно сообщите нам

164

BVDV: Diagnosis, Management, and Control

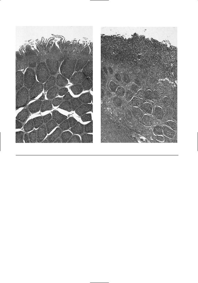
Figure 9.1. Left. Histologic section of ileum from an uninfected calf. Right. Histologic section of ileum from a calf 12 days after infection with BVDV 890 (BVDV type 2). Note the depletion of lymphoid follicles.

CNS

Calves born to BVD-infected cows develop CNS disorders at various times after birth, including nystagmus, eye disorders, gait disorders, and tremors. Congenital malformations occur during the 3rd to 5th months of gestation. Cerebellar hypoplasia is the most common lesion and is also associated with hydrocephalus and hydraencephaly. BVDV infection is accompanied by lens opacity and retinal atrophy. Blindness in calves is associated with no blinking reflex. BVDV-infected animals develop demyelination of the spinal cord, which is consistently present in the white matter (Hewicker-Trautwein et al., 1995).

SUMMARY AND CONCLUSIONS

Bovine viral diarrhea virus continues to be a major problem for the cattle industry worldwide. The virus is intimately associated with immunological disarrangement because it infects the immune cells of the body, including the antigen-presenting cells/

macrophages, and B- and T-cells. The virus has an impressive ability to evade immune recognition and elimination, which is best exemplified by its ability to infect the developing fetus, induce immunotolerance and persistent infection, and thus perpetuate itself in the herd for future generations of calves. In addition, BVDV may persist in immunologically privileged sites, such as ovaries and testicles, and thus is present in the germ plasm. Antigenic and genetic variations are also hallmarks of BVDV due to the extreme plasticity of the virus, and this variation affects immune system recognition of the virus.

Vaccines developed for BVDV have existed for several decades and the use of BVDV vaccines is fairly common. In spite of their widespread usage, BVDV vaccines appear to offer incomplete fetal protection due to the inability to achieve total protection against viremia. Understanding the methods by which BVDV interacts with the bovine immune system should provide insight into the pathogenesis of the virus, which may ultimately lead to the development of more effective vaccines. Thus, the key

Immunity and Immunosuppression

165

areas of future research with respect to BVDV and the immune system are

Understanding the roles of different components of the immune system in protection as they relate to vaccine development and evolution of BVDV genetic and antigenic diversity

Determining the mechanisms of BVDV-induced immunosuppression and immunotolerance

REFERENCES

Adler B, Adler H, Pfister H, et al.: 1997, Macrophages infected with cytopathic bovine viral diarrhea virus release a factor(s) capable of priming uninfected macrophages for activation-induced apoptosis. J Virol 71:3255–3258.

Adler H, Frech B, Meier P, et al.: 1994, Noncytopathic strains of bovine viral diarrhea virus prime bovine bone marrow-derived macrophages.

Biochem Biophy Res Commun 202:1562–1568. Adler H, Jungi TW, Pfister H, et al.: 1996, Cytokine

regulation by virus infection: Bovine viral diarrhea virus, a flavivirus, downregulates production of tumor necrosis factor alpha in macrophages in vitro. J Virol 70:2650–2653.

Archambault D, Beliveau C, Couture Y, Carman S: 2000, Clinical response and immunomodulation following experimental challenge of calves with type 2 noncytopathogenic bovine viral diarrhea virus. Vet Res 31:215–227.

Atluru D, Xue W, Polam S, et al.: 1990, In vitro interactions of cytokines and bovine viral diarrhea virus in phytohemagglutinin-stimulated bovine mononuclear cells. Vet Immunol Immunopathol

25:47–59.

Baker JC: 1995, The clinical manifestations of bovine viral diarrhea infection. Vet Clin North Am Food Anim Pract 11:425–445.

Bielefeldt Ohmann H: 1987, Double-immunolabeling systems for phenotyping of immune cells harboring bovine viral diarrhea virus. J Histochem Cytochem 35:627–33.

Bielefeldt Ohmann H, Ronsholt L, Bloch B: 1987, Demonstration of bovine viral diarrhea virus in peripheral blood mononuclear cells of persistently infected, clinically normal cattle. J Gen Virol 68:1971–1982.

Biuk-Rudan N, Cvetnic S, Madic J, Rudan D: 1999. Prevalence of antibodies to IBR and BVD viruses in dairy cows with reproductive disorders.

Theriogenology 51:875–881.

Bolin SR, McClurkin AW, Coria MF: 1985, Effects of bovine viral diarrhea virus on the percentages and absolute numbers of circulating B and T lymphocytes in cattle. Am J Vet Res 46:884–886.

Bolin S, Moennig V, Kelso-Gourley NE, Ridpath JF: 1988, Monoclonal antibodies with neutralizing activity segregate isolates of bovine viral diarrhea virus into groups. Arch Virol 99:117–123.

Bolin SR, Ridpath JF: 1990, Range of neutralizing activity and molecular specificity of antibodies induced in cattle by inactivated bovine viral diarrhea virus vaccines. Am J Vet Res 51:703–707.

Bolin SR, Ridpath JF: 1992, Differences in virulence between two noncytopathic bovine viral diarrhea viruses in calves. Am J Vet Res 53:2157–2163.

Bolin S, Ridpath JF: 1996. The clinical significance of genetic variation among bovine viral diarrhea viruses. Vet Med 10:958–961.

Bolin SR, Roth JA, Uhlenhopp EK, Pohlenz JF: 1987, Immunologic and virologic findings in a bull chronically infected with noncytopathic bovine viral diarrhea virus. J Am Vet Med Assoc 190:1015–1017.

Bolin SR, Saliki JT: 1996, Serology interpretation: Bovine viral diarrhea virus (BVDV). Am Assoc Vet Lab Diagn, http://www.aavld.org/MainMenu2/ InterSerology/bovine_viral_diarrhea.html

Booth PJ, Stevens DA, Collins ME, Brownlie J: 1995, Detection of bovine viral diarrhea virus antigen and RNA in oviduct and granulosa cells of persistently infected cattle. J Reprod Fertil 105:17–24.

Boulanger D, Waxweiler S, Karelle L, et al.: 1991, Characterization of monoclonal antibodies to bovine viral diarrhea virus: Evidence of a neutralizing activity against gp48 in the presence of goat anti-mouse immunoglobulin serum. J Gen Virol 72:1195–1198.

Brodersen BW, Kelling CL: 1998, Effect of concurrent experimentally induced bovine respiratory syncytial virus and bovine viral diarrhea virus infection on respiratory tract and enteric diseases in calves. Am J Vet Res 59:1423–1430.

Brodersen BW, Kelling CL: 1999, Alteration of leukocyte populations in calves concurrently infected with bovine respiratory syncytial virus and bovine viral diarrhea virus. Viral Immunol 12:323–334.

Brown GB, Bolin SR, Frank DE, Roth JA: 1991, Defective function of leukocytes from cattle persistently infected with bovine viral diarrhea virus, and the influence of recombinant cytokines. Am J Vet Res 52:381–387.

Brownlie J, Hooper LB, Thompson I, Collins ME: 1998, Maternal recognition of foetal infection with bovine virus diarrhoea virus (BVDV)-the bovine Pestivirus. Clin Diag Virol 10:141–150.

Bruschke CJ, Haghparast A, Hoek A, et al.: 1998b, The immune response of cattle, persistently infected with noncytopathic BVDV, after superinfection with antigenically semi-homologous cytopathic BVDV. Vet Immunol Immunopathol 62:37–50.

166

BVDV: Diagnosis, Management, and Control

Bruschke CJ, Weerdmeester K, van Oirschot JT, van Rijn PA: 1998a Distribution of bovine virus diarrhoea virus in tissues and white blood cells of cattle during acute infection. Vet Microbiol 64:23–32.

Castrucci G, Frigeri F, Osburn BI, et al.: 1990, A study of some pathogenetic aspects of bovine viral diarrhea virus infection. Comp Immunol Microbiol Infect Dis 13:41–49.

Charleston B, Brackenbury LS, Carr BV, et al: 2002, Alpha/beta and gamma interferons are induced by infection with noncytopathic bovine viral diarrhea virus in vivo. J Virol 76:923–927.

Charleston B, Fray MD, Baigent S, et al.: 2001, Establishment of persistent infection with noncytopathic bovine viral diarrhea virus in cattle is associated with a failure to induce type I interferon. J Gen Virol 82:1893–1897.

Charleston B, Hope JC, Carr BV, Howard CJ:2001, Masking of two in vitro immunological assays for Mycobacterium bovis (BCG) in calves acutely infected with non-cytopathic bovine viral diarrhoea virus. Vet Rec 149:481–484.

Chase CC, Elmowalid G, Yousif AA: 2004, The immune response to bovine viral diarrhea virus: A constantly changing picture. Vet Clin North Am Food Anim Pract 20:95–114.

Collen T, Carr V, Parsons K, et al: 2002, Analysis of the repertoire of cattle CD4(+) T cells reactive with bovine viral diarrhoea. Vet Immunol Immunopathol

87:235–238.

Collen T, Douglas AJ, Paton DJ, et al: 2000, Single amino acid differences are sufficient for CD4(+) T-cell recognition of a heterologous virus by cattle persistently infected with bovine viral diarrhea virus. Virology 276:70–82.

Collen T, Morrison WI: 2000, CD4(+) T-cell responses to bovine viral diarrhea virus in cattle. Virus Res 67:67–80.

Cortese VS, West KH, Hassard LE, et al.:1998, Clinical and immunologic responses of vaccinated and unvaccinated calves to infection with a virulent type-II isolate of bovine viral diarrhea virus. J Am Vet Med Assoc 213:1312–1319.

de Smit AJ, de Smit AJ, Eble PL, de Kluijver EP, Bloemraad M, Bouma A: 1999, Laboratory deci- sion-making during the classical swine fever epidemic of 1997–1998 in the Netherlands. Prev Vet Med 42:185–199.

Dinter Z, Bakos K: 1961, Viruses associated with acute respiratory and enteric disease in Swedish cattle. Bull Off Internat Epizoot 56:29–34.

Donis RO, Dubovi EJ: 1987, Glycoproteins of bovine viral diarrhea-mucosal disease virus in infected bovine cells. J Gen Virol 68:1607–1616.

Ellis JA: 2001b, The immunology of the bovine respiratory disease complex. Vet Clin North Am Food Anim Pract 17:535–550.

Ellis JA, Davis WC, Belden EL, Pratt DL: 1988, Flow cytofluorimetric analysis of lymphocyte subset alterations in cattle infected with bovine viral diarrhea virus. Vet Pathol 25:231–236.

Ellis JA, West K, Cortese V, et al.: 2001a, Effect of maternal antibodies on induction and persistence of vaccine-induced immune responses against bovine viral diarrhea virus type II in young calves. J Am Vet Med Assoc 219:3351–3356.

Ellis JA, West KH, Cortese VS, Myers SL et al.: 1998, Lesions and distribution of viral antigen following an experimental infection of young seronegative calves with virulent bovine virus diarrhea virustype II. Can J Vet Res 62:161–169.

Endsley JK, Quade MJ, Terhaar B, Roth JA: 2002, Bovine viral diarrhea virus type 1-and type 2- specific bovine T lymphocyte-subset responses following modified live virus vaccination. Vet Ther 3:364–372.

Endsley JJ, Roth JA, Ridpath J, Neill J:2003, Maternal antibody blocks humoral but not T cell responses to BVDV. Biologicals 31:123–125.

Fairbanks K, Schnackel J, Chase CC: 2003, Evaluation of a modified live virus type-1a bovine viral diarrhea virus vaccine (Singer strain) against a type-2 (Strain 890) challenge. Vet Ther 4:24–34.

Fort Dodge Animal Health: 1999, Challenge study one year post vaccination with a Canadian type II strain. Technical Information, September 16, 1999, Fort Dodge Animal Health, Overland Park, KS.

Fray MD, Mann GE, Bleach EC, et al.: 2002, Modulation of sex hormone secretion in cows by acute infections with bovine viral diarrhea virus.

Reproduction 123:281–289.

Fray MD, Paton DJ, Alenius S: 2000, The effects of bovine viral diarrhea virus on cattle reproduction in relation to disease control. Anim Reprod Sci 60–61:615–627.

Fulton RW, Purdy CW, Confer AW et al.: 2000, Bovine viral diarrhea viral infections in feeder calves with respiratory disease: Interactions with Pasteurella spp., parainfluenza-3 virus, and bovine respiratory syncytial virus. Can J Vet Res 64:151–159.

Fulton RW, Ridpath JF, Confer AW et al.: 2003, Bovine viral diarrhea virus antigenic diversity: Impact on disease and vaccination programmes.

Biologicals 31:89–95.

Fulton RW, Ridpath JF, Saliki JT et al.: 2002, Bovine viral diarrhea virus (BVDV) 1b: Predominant BVDV subtype in calves with respiratory disease. Can J Vet Res 66:181–190.

Immunity and Immunosuppression

167

Fulton RW, Saliki JT, Burge LJ, et al.: 1997, Neutralizing antibodies to type 1 and 2 bovine viral diarrhea viruses: Detection by inhibition of viral cytopathology and infectivity by immunoperoxidase assay. Clin Diag Lab Immunol 4:380–383.

Givens MD, Riddell KP, Galik PK, et al.: 2002, Diagnostic dilemma encountered when detecting bovine viral diarrhea virus in IVF embryo production. Theriogenology 58:1399–1407.

Glew EJ, Carr BV, Brackenbury LS, et al.: 2003, Differential effects of bovine viral diarrhoea virus on monocytes and dendritic cells. J Gen Virol 84:1771–1780.

Glew EV, Howard CV: 2001, Antigen-presenting cells from calves persistently infected with bovine viral diarrhea virus, a member of the Flaviviridae, are not compromised in their ability to present viral antigen. J Gen Virol 82:1677–1685.

Graham CH, Lysiak JJ, McCrae KR, LaLa PK: 1992, Localization of transforming growth factor-beta at the human fetal maternal interface: Role in trophoblast growth and differentiation. Biol Reprod 46:561–572.

Greig A, Gibson IR, Nettleton PF, Herring JA: 1981 Disease outbreak in calves caused by a mixed infection with infectious bovine rhinotracheitis virus and bovine virus diarrhea virus. Vet Rec 108:480.

Haines DM, Martin KM, Clark EG et al.: 2001, The immunohistochemical detection of Mycoplasma bovis and bovine viral diarrhea virus in tissues of feedlot cattle with chronic, unresponsive respiratory disease and/or arthritis. Can Vet J 42:857–860.

Hamers C, Couvreur B, Dehan P, et al.: 2000, Differences in experimental virulence of bovine viral diarrhoea viral strains isolated from haemorrhagic syndromes. Vet J 160:250–258.

Hamers C, Lambot M, Onclin M, et al.: 1998, Antigenic diversity of bovine viral diarrhea viral isolates contradicts the concept of herd specific strain. Epidemiol Infect 121:451–457.

Harpin S, Hurley DJ, Mbikay M, et al.: 1999, Vaccination of cattle with a DNA plasmid encoding the bovine viral diarrhea virus major glycoprotein E2. J Gen Virol 80:3137–3144.

Hegde N, Srikumaran S: 1997, The use of bovine MHC class I allele-specific peptide motifs and proteolytic cleavage specificities for the prediction of potential cytotoxic T lymphocyte epitopes of bovine viral diarrhea virus. Virus Genes 14:111–121.

Hewicker-Trautwein M, Liess B, and Trautwein G: 1995, Brain lesions in calves following transplacental infection with bovine-viral diarrhea virus.

Zentralbl Vet Med B 42:65–77.

Houe H: 1995, Epidemiology of bovine viral diarrhea virus. Vet Clin North Am Food Anim Pract

11:521–547.

Howard CJ, Howard CJ, Clarke MC, Sopp P, Brownlie J: 1992, Immunity to bovine virus diarrhea virus in calves: The role of different T-cell subpopulations analyzed by specific depletion in vivo with monoclonal antibodies. Vet Immunol Immunopathol 32:303–314.

Jensen J, Schultz, RD: 1991, Effect of infection by bovine viral diarrhea virus (BVDV) in vitro on in- terleukin-1 activity of bovine monocytes. Vet Immunol Immunopathol 29:251–265.

Jewett CJ, Kelling CL, Frey ML, Doster AR: 1990, Comparative pathogenicity of selected bovine viral diarrhea virus isolates in gnotobiotic lambs. Am J Vet Res 51:1640–1644.

Johnson DW, Muscoplat CC: 1973, Immunologic abnormalities in calves with chronic bovine viral diarrhea. Am J Vet Res 34:1139–1141.

Jones L, Van Campen H, Xu Z-C, Schnackel JA: 2001, Comparison of neutralizing antibody titers to type 1a, 1b and 2 bovine viral diarrhea virus from experimentally infected and vaccinated cattle.

Bovine Practitioner 35:137–140.

Kelling CL, Steffen DJ, Cooper VL, et al.: 2002a, Effect of infection with bovine viral diarrhea virus alone, bovine rotavirus alone, or concurrent infection with both on enteric disease in gnotobiotic neonatal calves. Am J Vet Res 63:1179–1186.

Kelling CL, Steffen DJ, Topliff CL, et al.: 2002b, Comparative virulence of isolates of bovine viral diarrhea virus type II in experimentally inoculated sixto nine-month-old calves. Am J Vet Res 63:1379–1384.

Ketelsen AT, Johnson DW, Muscoplat CC: 1979, Depression of bovine monocyte chemotactic responses by bovine viral diarrhea virus. Infect Immun 25:225–230.

Kirkland PD, Richards SG, Rothwell JT, et al.: 1991, Replication of bovine viral diarrhea virus in the bovine reproductive tract and excretion of virus in semen during acute and chronic infections. Vet Rec 128:587–590.

Knoetig SM, Summerfield A, Spagnuolo-Weaver M, McCullough KC: 1999, Immunopathogenesis of classical swine fever: Role of monocytic cells. Immunology 97:359–366.

Kramer, J: 2000, Normal hematology of cattle, sheep, and goats. In: Schalm’s Veterinary Hematology. Eds. Feldman B, Zinkl J, Jain N, pp. 1075–1084. Lippincott, Philadelphia, PA.

Lambot M, Douart A, Joris E, et al.: 1997, Characterization of the immune response of cattle against non-cytopathic and cytopathic biotypes of

168

BVDV: Diagnosis, Management, and Control

bovine viral diarrhoea virus. J Gen Virol 78:1041–1047.

Lambot M, Hanon E, Lecomte C, et al.: 1998, Bovine viral diarrhoea virus induces apoptosis in blood mononuclear cells by a mechanism largely dependent on monocytes. J Gen Virol 79:1745–1749.

Lambot M, Joris E, Douart A, et al.: 1998, Evidence for biotype-specific effects of bovine viral diarrhoea virus on biological reponses in acutely infected calves. J Gen Virol 79:27–30.

Lamontagne L, Lafortune P, Fournel M: 1989, Modulation of the cellular immune responses to T- cell–dependent and T-cell–independent antigens in lambs with induced bovine viral diarrhea virus infection. Am J Vet Res 50:1604–1608.

Larsson B, Fossum C, Alenius S, et al.: 1988, A cellular analysis of immunosuppression in cattle with mucosal disease. Res Vet Sci 44:71–75.

Liebler EM, Kusters C, Pohlenz JF: 1995, Experimental mucosal disease in cattle: Changes of lymphocyte subpopulations in Peyer’s patches and in lymphoid nodules of large intestine. Vet Immunol Immunopathol 48:233–248.

Liebler-Tenorio EM, Ridpath JF: 2002, Distribution of viral antigen and development of lesions after experimental infection with highly virulent bovine viral diarrhea virus type 2 in calves. Am J Vet Res 63:1575–1584.

Liebler-Tenorio EM, Ridpath JF, Neill JD, et al.: 2002, Distribution of viral antigen and development of lesions after experimental infection with highly virulent bovine viral diarrhea virus type 2 in calves. Am J Vet Res 63:1575–1584.

Liebler-Tenorio EM, Ridpath JF, Neill JD: 2003, Lesions and tissue distribution of viral antigen in severe acute versus subclinical acute infection with BVDV2. Biologicals 31:119–122.

Liu L, Lehmkuhl HD, Kaeberle ML: 1999, Synergistic effects of bovine respiratory syncytial virus and noncytopathogenic bovine viral diarrhea virus infection on selected bovine alveolar macrophage functions. Can J Vet Res 63:41–48.

Makoschey B, Janssen MG, Vrijenhoek MP, et al.: 2001, An inactivated bovine virus diarrhea virus (BVDV) type 1 vaccine affords clinical protection against BVDV type 2. Vaccine 19:3261–3268.

Marshall DJ, Moxley RA, Kelling CL, et al.: 1996, Distribution of virus and viral antigen in specific pathogen-free calves following inoculation with noncytopathic bovine viral diarrhea virus. Vet Pathol 33:311–318.

Marshall DJ, Perry GA, Kuszynski CA, et al.: 1994, Flow cytometric analyses of lymphocyte subsets in peripheral blood and lymphoid tissues of gnotobiotic calves during primary acute postnatal infec-

tions of bovine viral diarrhea virus. Viral Immunol 7:141–149.

Martin SW, Bateman KG, Shewen PE, et al.: 1990, A group level analysis of the associations between antibodies to seven putative pathogens and respiratory disease and weight gain in Ontario feedlot calves.

Can J Vet Res 54:337–342.

McClurkin AW, Bolin SR, Coria MF: 1985, Isolation of cytopathic and noncytopathic bovine viral diarrhea virus from the spleen of cattle acutely and chronically affected with bovine viral diarrhea. J Am Vet Med Assoc 186:568–569.

Muscoplat CC, Johnson DW, Teuscher E, et al.: 1973, Surface immunoglobulin of circulating lymphocytes in chronic bovine diarrhea: Abnormalities in cell populations and cell function. Am J Vet Res 34:1101–1104.

Niskanen R, Alenius S, Belak K, et al.: 2002, Insemination of susceptible heifers with semen from a non-viraemic bull with persistent bovine virus diarrhoea virus infection localized in the testes. Reprod Domest Anim 37:171–175.

Nobiron I, Thompson I, Brownlie J, Collins ME: 2001, Cytokine adjuvancy of BVDV DNA vaccine enhances both humoral and cellular immune responses in mice. Vaccine 19:4226–4235.

Olafson P, MacCallum AD, Fox FH: 1946, An apparently new transmissible disease of cattle. Cornell Vet 36:205–213.

Olchowy TWJ, Slauson DO, Boschsler PN: 1997, Induction of procoagulant activity in virus infected bovine alveolar macrophages and the effect of lipopolysaccharide. Vet Immunol Immunopath 58:27–37.

Pastoret PP, Lambot M: 1995, Biology of bovine pestivirus infection responsible for mucosal disease.

Bull Mem Acad R Med Belg 150:244–250. Pellerin C, van den Hurk J, Lecomte J, Tussen P:

1994, Identification of a new group of bovine viral diarrhea virus strains associated with severe outbreaks and high mortalities. Virology 203:260–268.

Peterhans E, Jungi TW, Schweizer M: 2002, BVD virus and innate immunity. Biologicals 31:107–112.

Potgieter LND: 1995, Immunology of Bovine Viral Diarrhea Virus. Vet Clin North Am Food Anim Pract

11:501–520.

Potgieter LND: 1997, Bovine respiratory tract disease caused by bovine viral diarrhea virus. Vet Clin North Am Food Anim Pract 13:471–481.

Potgieter LN, McCracken MD, Hopkins FM, Guy JS: 1985, Comparison of the pneumopathogenicity of two strains of bovine viral diarrhea virus. Am J Vet Res 46:151–153.

Potgieter LN, McCracken MD, Hopkins FM, Walker RD: 1984, Effect of bovine viral diarrhea virus infection on the distribution of infectious bovine