Материал: Шпора к экзамену по гистологии I ПРЕПАРАТЫ I нормальный формат только через Word документ

Внимание! Если размещение файла нарушает Ваши авторские права, то обязательно сообщите нам

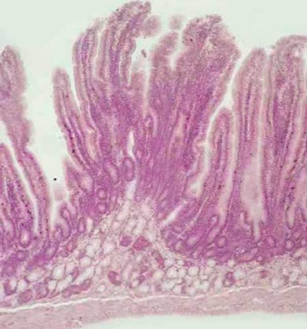
31 Двенадцатиперстная кишка:

Полый оболочечный слоистый орган.Образует выросты - ворсинки, которые здесь шире и короче, чем в тощей и подвздошной кишках Подслизистая- РВСТ+ железы - сложные трубчатые разветвленные, слизистые Мышечная- 2 слоя ГМК: внутренний - циркулярный; наружный - продольный Серозная- РВСТ, мезотелий.

Шпаргалка:

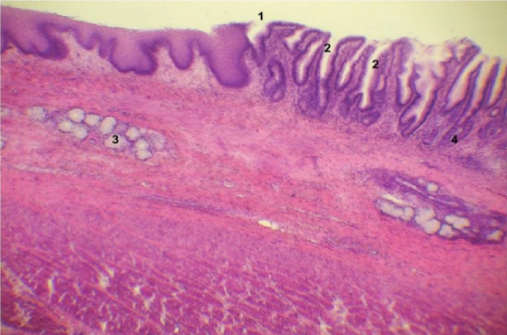
32 Переход пищевода в желудок: 1- Место перехода пищевода в желудок 2-Желудочные ямки 3- Железы пищевода 4-Железы желудка.Слизистая оболочка. Внутренняя поверхность: у пищевода она гладкая а в желудке – ямки.Эпителий. В пищеводе – многослойный плоский неороговевающй. В желудке –однослойный цилиндрический железистый. Подслизистая. В пищеводе здесь содержатся собственные железы пищевода- сложные альвеолярно-трубчатые. В подслизистой основе желудка желез нет. Мышечная. В пищеводе она включает 2 слоя гладких миоцитов (наружный продольный и внутренний циркулярный), в желудке - 3 слоя: кнутри от циркулярного слоя находится еще один - косой.

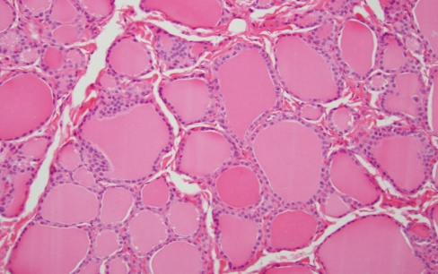
33 Щитовидная железа: Паренхиматозный дольчатый орган. Строма: капсула (ПВСТ), междольковые прослойки(РВСТ), внутридольковые прослойки(РВСТ, капилляры), паренхима – железистый эпителий, формирует фолликулы, межфолликулярные островки. Стенка фолликула – однослойный кубический эпителий (клетки – тироциты, парафолликулярные эндокриноциты). Тироциты – Т3 и Т4. С-клетки – кальцитонин.

34 Стенкавсердца: Тип строения – полый оболочечный слоистый орган.вЭндокард. Представлен 4 слоями: Эндотелиальный, субэндотелиальный, мышечно-эластический(гладкая мыш. ткань), наружный соединительный(РСТ). Миокард: сост. из поперчнополосатой сердечной мышечной ткани, межмышечной РСТ.Эпикард. Выстлан мезотелием В соединительной ткани эпикарда проходят крупные кровеносные сосуды и имеется жировая ткань.

35 Селезёнка: 1-Белая пульпа. 2-Герминативный центр. 3-Центральная артерия. 4-Красная пульпа. Тип строения – паренхиматозный орган. Строма: капсула(ПВСТ), трабекулы(РВСТ), покрытвбрюшиной(РВСТ,мезотелий), паренхима:лимфоидная ткань на разных уровнях развития: белая пульпа(лимфатические периартериальные влагалища, лимфоидные узелки), красная пульпа (селезеночные тяжи, синусоидные сосуды). Лимфоидный узелок: периартериальная зона – Т-зона( дифференцировка т-лимфоцитов), герминативный центр- В-зона(дифференцировка в-лимфоцитов),мантийная зона – окружает геминат. центр, маргинальная зона – граница пульп.

36 Надпочечник: Тип строения – паренхиматозный орган.Cтрома: капсула(ПВСТ), прослойки (РВСТ,сосуды), Паренхима:железистый эпителий – корковое в-во, специализированная нервная ткань – мозговое в-во. Корковое в-во: клубочковая зона - альдостерон, пучковая – кортизол, кортизон, кортикостерон, сетчатая зона – андрогены. Мозговое в-во: хромаффиновые клетки – базофильные эндокриноциты. Светлые – адреналин, темные – норадреналин.

37 Задняя стенка глаза:

Полый оболочечный слоистый. 3 оболочки: 1 – Склера (ПВСТ оформл.);2 – Сосудистая оболочка ( РВСТ, кровеносные сосуды и меланоциты); 3-Сетчатая ( нервная ткань и пигментный эпителий) – имеет 10 слоев, в препарате видим: Пигментный слой( кл. кубические); палочки и колбочкинар.ядерный ( ядра палочек и колбочек); нар. сетчатый ( аксон палочек и колбочек, дендриты биполярных),внут.ядерный(тела биполярных);внут.сетчатый(аксоны биполярных, дендриты ганглионарн.); ганглионарный(ганглионарные клетки); слой нервный волокон( аксоны ганглионарных клеток)

Имеются также горизонтальные и амакринные клетки (тормозные)

Глия: олигодендроглия, микроглия, клетки Мюлера.

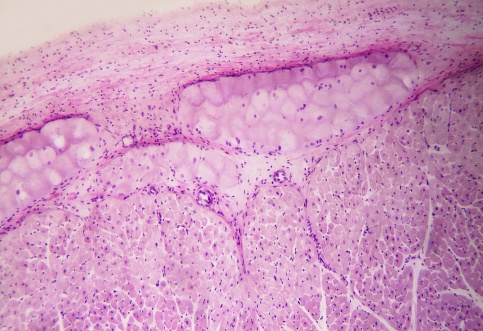
38 Листовидные сосочки языка:

Тип строения – слоистый орган. Принадлежит к пищеварительной системе, так как его слизистая оболочка покрыта многослойным эпителием. Орган состоит из: слизистой оболочки, мышечного тела. Рельеф слизистой оболочки: сосочки. Эпителий--многослойный-плоский неороговевающий.

39 Нитевидные сосочки языка:

Тип строения – слоистый орган. 1- Эпителий, покрывающий сосочек 2- Роговой слой эпителия 3- Основание сосочка - собственная пластинка слизистой оболочки спинки языка 2- Мышцы языка. Образованы выростами соединительной ткани, покрытой многослойным плоским эпителием. В собственной оболочке расположены многочисленные мелкие кровеносные сосуды. 

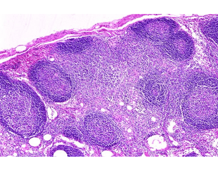
40 Лимфатический узел Тип строения – паренхиматозный дольчатый орган. Строма: капсула ( ПВСТ, гладкие миоциты),трабекулы(РВСТ, сосуды), паренхима – лимфоидная ткань на разных стадиях развития. Корковое в-во( наружная часть и паракортикальная зона – венулы с высоким эндотелием), мозговое в-во. Фолликулы – наружная часть коркового в-ва, диффузное скопление лимфоцитов – паракортикальная зона, мозговые тяжи – мозговое в-во.

41 Яичко(семенник): Паренхиматозный дольчатый орган. Строма: белочная оболочка, включает капсулу и средостение органа из ПВСТ, междольковые прослойки РВСТ, сосуды, внутридольковые прослойки РВСТ с сосудами и интерстициальные клетки Лейдига. Паренхима: поддерживающие клетки Сертоли, сперматогенный эпителий на разных стадиях развития (сперматогонии, сперматоциты 1 порядка, сперматоциты 2 порядка, сперматиды, сперматозоиды).

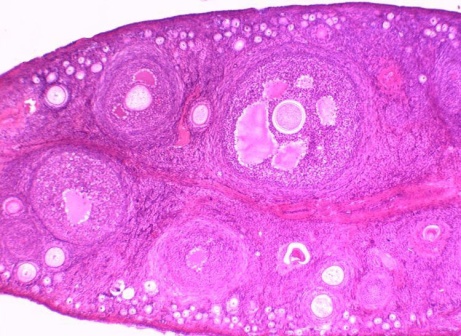
42 Яичник: Паренхиматозный орган. Строма:капсула из белочной оболочки, покрыта мезотелием, прослойки РВСТ. Паренхима:фолликулярный эпителий на разных стадиях развития. В органе есть корковое и мозговое в-во. Фолликулы: примордиальный (овоцит 1-го порядка в фазе малого роста с 1 слоем плоских фолликулярных клеток), первичный (овоцит 1-го порядка в фазе большого роста с блестящей оболочкой, однослойный кубический эпителий), вторичный (овоцит 1-го порядка в фазе большого роста в центре, блестящая оболочка, многослойный призматический эпителий, полости с фолликулярной жидкостью, тека). Третичный(блестящая оболочка, овоцит 1-го порядка в фазе большого роста на периферии с лучистым венцом, эпителий многослойный, большая полость с эстрогеном, тека). В препарате может выделяться желтое тело и атрезии.