Материал: Шпора к экзамену по гистологии I ПРЕПАРАТЫ I нормальный формат только через Word документ

Внимание! Если размещение файла нарушает Ваши авторские права, то обязательно сообщите нам

1 Артерия мышечного типа: Полый оболочечный слоистый орган. 1.Внутренняя (эндотелий, подэндотелий, внутренняя эластическая мембрана); 2.Средняя (пласт гладкихвмиоцитов); 3.Наружная (РВСТ, сосуды).

2 Вегетативный ганглий: Паренхиматозный орган. Строма – капсула ПВСТ, с прослойками РВСТ и сосудами. Паренхима – нервная ткань с глиоцитами. Мультиполярные нейроциты диффузно располагаются, нейроны 3 типов клетки Догеля: 1.Длиноаксонные(двиг.) 2.Равноотросчатые ( чувств.), 3.С короткими отростками (ассоциатив.)Глия–олигодендроглия.

3 Вена мышечного типа: Полый оболочечный слоистый орган. 1.Внутренняя (эндотелий, подэндотелий); 2.Средняя (пучки гладких миоцитов, прослойки РВСТ); 3.Наружная ( самая толстая, РВСТ, сосуды).

4 Гемомикроциркулярное русло: 1.Венулы:Посткапиллярные: Внутренняя (эндотелий на БМ); Средняя (перициты – кл. отростчатой формы между листками БМ); Наружная (РВСТ). Собирательные. Мышечные: Внутренняя(эндотелий на БМ); Средняя(1-2 прерывистых слоя гладких миоцитов, перициты – кл. отростчатой формы междувлисткамивБМ); Наружная (РВСТ).  2.Артериола:3 оболочки: внутренняя – эндотелий, подэндотелий - РВСТ, тонкая внутренняя эластическая мембрана, средняя - с поперечно расположенными гладкими миоцитами( 1-2 слоя по спирали), наружная – РВСТ).  3.Капилляры: Внутренняя (эндотелий на БМ); Средняя (перициты – кл. отростчатой формы между листками БМ); Наружная (РВСТ)

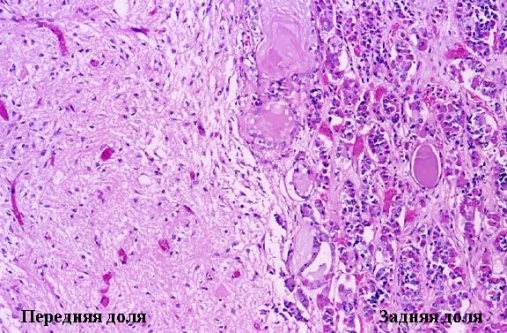
5 Гипофиз: Гипофиз: паренхиматозный дольчатый орган.

Строма: капсула, прослойки РВСТ с сосудами, паренхима: аденогипофиз - железистый эпителий, синусоидные капилляры, нейрогипофиз – элементы нервной ткани; передний аденогипофиз – эпителий формирует псевдофолликулы ( коллоид с эпителиоцитами), трабекулы ( клетки аденоциты: хромобофные– не имеют секрета и хромофильные – на периферии трабекул, гранулы секрета базофильные(тиреотропоцит-ТТГ, гонадотропоцит- ГТГ, кортикотропоцит – АКТГ) и ацидофильные(соматотропоцит –СТГ, пролактиноцит - пролактин). 

6 Дно желудка: 1- слиз. обл.2-подслиз. обл.3 – мыш. обл.4 – сер. обл.5 – эпителий.6 – соб-я пластинка слиз. обл.7 – мыш. плст слиз. обл. Полый оболочечный слоистыйВорган.Оболочки: слизистая (эпителий – однослойный призматический железистый, собственная пластинка – РВСТ, пилорические железы желудка, мышечная пластинка – гладкая мышечная ткань 3 слоя циркулярный, продольный, циркулярный), подслизистая – РВСТ,сосуды, мышечная – 3 слоя гладкой мышечной ткани наружный продольный, средний циркулярный, внутренний – косой, серозная – РВСТ, мезотелий.

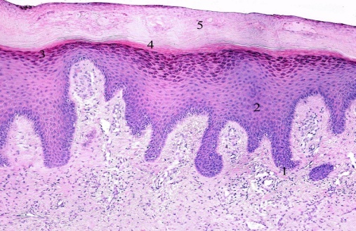
7 Кожа пальца: 1-Базальный слой.2-Шиповатый слой.3-зернистый слой.4-Блестящий слой.5-Роговой слой.СлоистыйворганвЭпидермис (многослойный плоский ороговевающий эпителий). 5 слоев: базальный, шиповатый, зернистый, блестящий, слой роговых чешуек. Дерма:сосочковый. слой (РВСТ, сосуды), сетчатый слой (ПВСТ, сосуды, белая жировая ткань, концевые отделы желез и выводные протоки). Гиподерма (Белая жировая ткань).

8 Кожа с волосом: 1-Волосяная воронка.2-Эпидермис.3-Волосяная луковица.4-Дермальный сосочек языка.5-Корень волоса(поперечный срез).6-корень волоса(продольный срез). В центре – стержень: мозговой, корковый слой и кутикула (светлая. полоска вокруг стержня), на периферии – волосяной мешочек (внутреннее эпителиальное влагалище, наружное эпителиальное влагалище – шиповатый, базальный слой), волосяная сумка – соединительная ткань вокруг корня волоса. Сальная железа, концевые отделы потовые железы, белая жировая ткань.

9 Кора полушарий большого мозга: Слоистый орган. А - кора (серое вещество); Б:Мягкая мозговая оболочка; 1-Молекулярный слой;2-Наружный зернистый слой;3-Пирамидный слой;4-Внутренний зернистый слой;5-Ганглионарный слой;6-Слой полиморфных клеток; В:Белое вещество;7- Кровеносные сосуды. Белое в-во:миелиновые волокна (осевой цилиндр и растворенная миелиновая оболочка), тонкие безмиелиновые волокна, нейроглия: олигодендроглия, микроглия, волокнистые астроциты. Серое в-во: мультиполярные нейроны, безмиелиновые и тонкие миелиновые волокна, микроглия, протоплазматические астроциты. 

10 Кора мозжечка: 1-Молекулярный сл. 2-Ганглиозный сл. 3-Зернистый сл. 4-Белое вещество.Слоистый орган. Серое в-во – по периферии, белое – в центре.Белое в-во: миелиновые волокна (осевой цилиндр и растворенная миелиновая оболочка), тонкие миелиновые волокна, нейроглия: олигодендроглия, микроглия, волокнистые астроциты. Серое в-во:мультиполярные нейроны, безмиелиновые и тонкие миелиновые волокна, микроглия, протоплазматические астроциты, олигодендроглия;

11 Легкое: Паренхиматозный орган. Строма: капсула(ПВСТ), междольковые прослойки РВСТ, сосуды, внутридольковые прослойки РВСТ, сосуды. Паренхима: однослойный плоский эпителий. Терминальная бронхиола (однослойный кубический реснитчатый эпителий, поперечно расположенные эластические волокна, пучки гладких миоцитов). Респираторная бронхиола (слизистая оболочка – однослойный кубический безреснитчатый эпителий, под эпителием одиночные миоциты, РВСТ). Альвеолярный. ход (стенка представлена альвеолами). Альвеолярный мешочек, альвеолы(полукольца с тонкой стенкой однослойный эпителий).

12 Мочевой пузырь: Полый оболочечный слоистый орган. 3 оболочки: слизистая (1-эпителий - многослойный переходной: базальный, промежуточный, поверхностный слои; 2-собственная пластинка – РВСТ, сосуды), 3-подслизистая (РВСТ, сосуды), 4-мышечная ( 3 слоя гладкой. мышечной ткани – продольн, циркуляр, продольн.), серозная ( РВСТ, мезотелий, сосуды).

13 Молочная железа: Паринхиматозный орган.Строма- пред. Междоль-й и внутрдоль-й соед. тк.Междоль-я соед. тк.- обр. ПВСТ с малым кол-ом клеток. Пред. собой глубокое вторжение сетчатого слоя дермы в виде плотных тяжей. Тяжи отделяют дольки железы друг от друга.Внутрдоль-я соед. ткань- обр-РВСТ. Располагается внутри долек и окружает внутридольковые протоки и концевые отделы. Паренхима-обр. концевыми секреторными отделами и выводными протоками. Концевые секреторные отд. обр. одно-м кубическим или призмат. эпит. и миоэпителиальными кт. Вывод протоки(встав-й междоль-й общ. выводной проток).

14 Миндалина: Слоистый орган, покрыт слизистой оболочкой. Слизист. оболочкамног. плоский неороговевающий эпит. и собственная пластинка(РВСТ с сосудами микро-го русла). Рельеф-складки и крипты. Эпителий слои: базальный, промежуточный и поверхностный. В собственной пластинке скопления лимфоидной ткани – лимфоидные узелки (В-зоны) и межузелковые участки (Т-зоны).Подслизистая основа - РВСТ, артерии и вены. Выделяются разрушенные участки эпителия – инфильтрированные лимфоцитами.

15 Околоушная слюнная железа: Паренхиматозный дольчатый орган. Строма– капсула - ПВСТ, междольковые прослойки – РВСТ, междольковый выводной проток (многорядный эпителий); Паренхима – эпителий - концевые отделы серозные с миоэпителиальными клетками. Внутридольковый выводной проток. Вставочный выводной проток (однослойный кубический эпителий) Исчерченный вывод проток (однослойный призматический эпителий).

16 Почка: Паренхиматозный дольчатый орган.Строма: капсула(ПВСТ), междольковые прослойки РВСТ, сосуды, Паренхима – специализированный железистый эпителий – образует нефроны.(почечное тельце: сосудистый клубочек, вокруг мочевое пространство; проксимальные, дистальные канальцы, петля Генле). Корковое в-во имеет мозговые лучи. Мозговое в-во:собирательные трубки, прямые, дистальные (однослойный кубический бескаемчатый эпителий), проксимальные канальцы(однослойный кубический каемчатый эпителий), тонкие канальцы петли Генле (однослойный плоский эпителий) Нефроны: кортикальный, промежуточный, юкстамедуллярный.

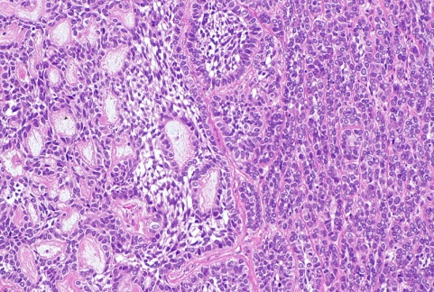
17 Поджелудочная железа: Паренхиматозный дольчатый орган. Строма - капсула ПВСТ, междолькове прослойки РВСТ с междольковы выводным протоком (однослойным призматическим эпителием), сосуды. Паренхима – железистый эпителий, формирует ацинусы (экзокринная часть) и панкреатические островки (эндокринная часть). Ацинус имеет ациноциты и центроациноциты. В ациноците различают гомогенную (базофильную) и зимогенную (оксифильную) зоны.

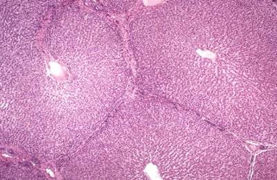
18 Печень: Паренхиматозный дольчатый орган со слобо развитой междольковой соединительной тканью. Строма: капсула – ПВСТ, междольковые прослойки – РВСТ, внутридольковые сосуды. Паренхима:специализированный эпителий формируется классическая печеночная долька. По центру -центральная вена, по углам- триады(артерия, вена, междольковый выводной проток (однослойный кубический эпителий), 2 ряда гепатоцитов = печеночная балка. Между ними - синусоидные капилляры.

19 Подъязычная слюнная железа: Паренхиматозный дольчатый орган. Строма: капсула - ПВСТ, междольковые прослойками - РВСТ с междольковым выводным протоком (многорядным эпителием), Паренхима – эпителий - концевые отделы: смешанные, серозные, слизистые (вокруг миоэпителиальные клетки) и внутридольковые выводные протоки. Вставочный выводной проток (однослойный кубический эпителий) Исчерченный вывод проток (однослойный призматический эпителий).Преобладают слизистые.

20 Подчелюстная железа: Паренхиматозный дольчатый орган. Строма–капсула - ПВСТ, междольковые прослойки – РВСТ, междольковый выводной проток (многорядный эпителий). Паренхима – эпителий - концевые отделы смешанные, серозные (вокруг миоэпителиальные клетки) и внутридольковые выводные протоки. Вставочный выводной проток (однослойный кубический эпителий) Исчерченный вывод проток (однослойный призматический эпителий). Преобладают серозные.

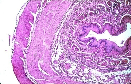
21 Пищевод: Полый оболочечный слоистый орган. Рельеф – складки. Стенка оболочки: слизистая (эпителий – многослойный плоский неороговевающий; собственная пластинка – РВСТ, сосуды, кардиальные железы пищевода в нижней трети концевые отделы – многорядный эпителий; мышечная пластинка – пучки гладких миоцитов, в нижней трети пласт миоцитов)подслизистая – РВСТ, сосуды, собственные железы пищевода., мышечная – скелетная поперечно-полосатая мышечная ткань в верхней трети, гладкая мышечная ткань в нижней трети,адвентициальная – РВСТ, сосуды (в нижней трети – серозной).

22 Плацента: Слоистыйворган. Материнская:базальная пластинка эндометрия с децидуальными клетками, есть септы.Плодная: амниотическая (амниотический эпителий, прослойки РВСТ, сосуды), хориотическая (отходит якорная ворсинка, покрыта трофобластом, вторичные и третичные ворсинки - трофобласт, строма, РВСТ, сосуд с кровью плода = гематоплацентарный барьер)

23 Пилорический отдел желудка: Полый оболочечный слоистый орган. Рельеф – складки, желудочные ямочки(глубокие). Стенка оболочки: слизистая (эпителий – однослойный призматический железистый, собственная пластинка – РВСТ, пилорические железы желудка, мышечная пластинка – гладкая мышечная ткань 3 слоя циркулярный, продольный, циркулярный), подслизистая – РВСТ,сосуды, мышечная – 3 слоя гладкой мышечной ткани наружный продольный, средний циркулярный, внутренний – косой, серозная – РВСТ, мезотелий. В составе собственных железы различают 5 типов клеток: малодифференцированные клетки (шейка), шеечные мукоциты, главные экзокриноциты (дно), париентальные клетки (тело, шейка) эндокринные (главные) клетки (дно).

24 Спинномозговой узел: Паренхиматозный орган. Строма – капсула ПВСТ, с прослойками РВСТ и сосудами; паренхима – нервная ткань с глиоцитами. Передний и задний корешок. В заднем корешке: капсула; скопление псевдоуниполярных нейроцитов; безмиелиновые (только в заднем) и миелиновые волокна; прослойки РВСТ и сосуды; Тело псевдоуниполярного нейрона (капсула нейрона, пузырьковидное ядро, мантийные глиоциты. Особенность: скопление псевдоуниполярных нейронов на периферии

25 Спинной мозг:

Тип строения – тяж нервной ткани цилиндрической формы. Серое и белое в-во, серое – в центре, белое - на периферии. Серое в-во в виде бабочки: мультиполярные нейроны, безмиелиновые и тонкие миелиновые волокна, микроглия, протоплазматическиеастроциты, олигодендроглия; Белое в-во:миелиновые волокна (осевой цилиндр и растворенная миелиновая оболочка), тонкие миелиновые волокна, нейроглия: олигодендроглия, микроглия, волокнистые астроциты. Скопления нейроцитов образуют ядра. Задний рог (чувст.) – собственное ядро заднего рога(чувств.) и ядро Кларка(чувств.) Передний рог(двиг.) – собственное ядро переднего рога (двиг. соматич.). Боковой рог – промежуточно-латеральное(двиг.), промежуточно-медиальное ( чувств.), собсвенное ядро серого в-ва (ассоциатив.)

26 Тимус: Дольчатый тип строения. строма: соединительнотканнаякапсула, междольковые перегородки, внутридольковые прослойки (РВСТ, капилляры), паренхима: лимфоидная ткань (лимфоциты на разных стадиях развития, эпителиоретикулярные клетки) наружное корковое в-во, глубокая кора, мозговое в-во(тельца Гассаля),периваскулярная зона.

27 Трахея: Полый оболочечный слоистый орган. Стенка 4 оболочки: слизистая(эпителий – однослойный, многорядный призматический: БОКАЛОВИД, РЕСНИТЧАТЫЕ, кл.Клара, дендритные, эндокриноциты, базальные кл, щеточные кл; собственная. пластинка – РВСТ, сосуды), подслизистая (РВСТ, сосуды, концевые отделы и выводные протоки смешанных желез) , фиброзно-хрящевая(полукольца гиалиновой ткани, надхрящница – ПВСТ), адвентициальная(РВСТ, сосуды).

28 Толстая кишка: Полый оболочечный слоистый орган. Рельеф складки, крипты.. Стенка оболочки: слизистая (эпителий – однослойный призматический каемчатыйсобственная пластинка – РВСТ, сосуды микроциркуляторного русла, лимфоидная ткань, мышечная пластинка – 2 слоя гладкой мышечной ткани), подслизистая – РВСТ, сосуды, лимфоидная ткань,мышечная – 2 слоя гладкой мышечной ткани – циркулярный и продольный,серозная – РВСТ, мезотелий. Эпителий крипт: бокаловидные клетки, клетки Панетта, малодифференцированные клетки, сверху каемчатые энтероциты.

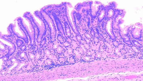
29 Тощая кишка: Полый оболочечный слоистый орган. образует выросты - ворсинки, которые здесь более длинные и тонкие, чем в двенадцатиперстной кишке. Эпителий однослойный призматический каемчатый. Подслизистая- РВСТ+ железы - сложные трубчатые разветвленные, слизистые. Мышечная- 2 слоя ГМК: внутренний - циркулярный; наружный - продольный Серозная – РВСТ, мезотелий.

30 Угол глаза: Тип строения – слоистый орган.Передняя часть фиброзной оболочки органа зрения - роговица. Представлена 5 слоями. На фото панорамный вид. Передний эпителий - многослойный плоский неороговевающй. Задний - однослосный плоский эпителий (эндотелий). Между ними: Боуменова мембрана,  cобственно вещество роговицы десцеметова мембрана.