Материал: Сердечная недостаточность

Внимание! Если размещение файла нарушает Ваши авторские права, то обязательно сообщите нам

Занятие 1. ДИАГНОСТИКА ХСН

Используя рекомендованную литературу подготовьтесь к собеседованию

по следующим вопросам

1.Структура и функция системы кровообращения, работа сердца как насоса,

внутрисердечная гемодинамика (рис. 1).

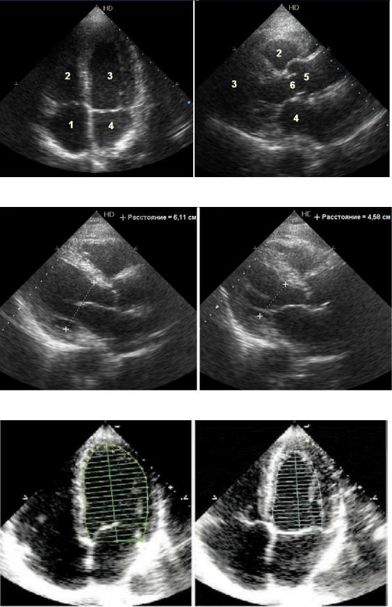
2.Ультразвуковая анатомия сердца (рис. 2).

3.Систолическая функция левого желудочка (рис. 3 и 4).

4.Диастолическая функция левого желудочка (табл. 1).

5.Сердечная недостаточность: определение понятия и классификация

(острая и хроническая, систолическая и диастолическая)

6.Этиология и классификация хронической сердечной недостаточности

7.Клинические проявления ХСН на разных стадиях ее развития

8.Критерии диагностики ХСН

Рис. 1.

6

Рис. 2.

Рис. 3.

Рис. 4.

7

Какие показатели, используемые для оценки диастолической функции,

обозначены в таблице символами X, Y, Z, P?

 

Систолическая

 

 

Диастолическая дисфункция

 

 

дисфункция

 

 

 

 

 

 

 

 

Нет

1-я степень

2-я степень

 

3-я степень

 

 

 

 

 

Есть

X < 1

1 ≤ X < 2

 

X ≥ 2

 

 

 

 

 

 

Нет

Y ≥ 8

 

 

 

 

 

 

 

 

 

 

 

 

 

 

Не имеет значения

Z ≤ 8

P ≤ 35

P > 35

 

Z ≥ 15

 

 

 

 

 

 

 

 

По представленным ниже протоколам эхокардиографического

исследования оцените функциональное состояние сердца и укажите

возможные причины его нарушения

1.Протокол эхокардиогафического исследования

Аорта уплотнена, ее диаметр 3,65 см.

Аортальный клапан трехстворчатый, амплитуда раскрытия створок 2,0 см,

скорость кровотока 1,4 м/сек. Регургитации нет.

Левый желудочек: ТМЖП 1,0 см, ТЗС 0,95 см, КДР 4,62 см, ФВ 49%,

Диастолическая дисфункция 1 степени (замедление расслабления). Акинез переднего и перегородочного апикальных сегментов.

Митральный клапан не изменен, скорость кровотока 0,8 м/сек,

регургитация 1 степени.

Левое предсердие: размер 3,7 см, объем 45 мл.

Легочная артерия: диаметр 2,05 см, систолическое давление в легочной артерии 26 мм рт. ст. Скорость кровотока на клапане легочной артерии 0,9

м/сек, регургитация 1 степени.

Правый желудочек: размер 2,3 см.

Трикуспидальный клапан не изменен, скорость кровотока 0,55 м/сек,

регургитация 1 степени.

Правое предсердие: размер 3,5 см, объем 40 мл.

Нижняя полая вена: диаметр на выдохе 1,7 см, на вдохе 0,8 см.

Полость перикарда не изменена.

8

2.Протокол эхокардиографического исследования

Аорта уплотнена, ее диаметр 3,85 см.

Аортальный клапан трехстворчатый, амплитуда раскрытия створок 2,0 см,

скорость кровотока 1,4 м/сек. Регургитации нет.

Левый желудочек: ТМЖП 1,64 см, ТЗС 1,55 см, КДР 6,2 см, ФВ 39%.

Нарушения локальной сократимости не выявлено, диффузная гипокинезия.

Митральный клапан: скорость кровотока 0,8 м/сек, регургитация 2

степени.

Левое предсердие: размер 5,47 см, объем 105 мл.

Легочная артерия: диаметр 2,5 см, систолическое давление в легочной артерии 36 мм рт. ст. Скорость кровотока на клапане легочной артерии 0,8

м/сек, регургитация 1 степени.

Правый желудочек: размер 2,8 см.

Трикуспидальный клапан: не изменен, скорость кровотока 0,55 м/сек,

регургитация 1 степени.

Правое предсердие: размер 4,3 см, объем 70 мл.

Нижняя полая вена: диаметр на выдохе 2,1 см, на вдохе 1,0 см.

Полость перикарда не изменена.

3.Протокол эхокардиографического исследования

Аорта: диаметр 3,2 см.

Аортальный клапан трехстворчатый, амплитуда раскрытия створок 1,8 см,

скорость кровотока 1,3 м/сек, регургитации нет.

Левый желудочек: ТМЖП 1,05 см, ТЗС 0,98 см, КДР 3,9 см, ФВ 65%.

Митральный клапан с признаками краевого фиброза, комиссуры запаяны,

створки ригидны, совершают однонаправленное движение, раскрытие створок снижено, скорость кровотока через МК 2,1 м/сек, площадь митрального отверстия 0,9 см2, регургитация 1–2 степени.

Левое предсердие: размер 5,2 см.

9

Легочная артерия: диаметр 2,5 см, систолическое давление в легочной артерии 48 мм рт. ст. Скорость кровотока на клапане легочной артерии 0,8

м/сек, регургитация 1 степени.

Правый желудочек: размер 3,3 см.

Трикуспидальный клапан не изменен, скорость кровотока 0,8 м/сек,

регургитация 2 степени.

Правое предсердие: размер 4,8 см.

Нижняя полая вена: диаметр на выдохе 2,7 см, на вдохе 2,4 см.

Полость перикарда: небольшой выпот (сепарация листков перикарда по задней стенке левого желудочка до 6 мм).

4.Протокол эхокардиографического исследования

Аорта: диаметр 3,2 см.

Аортальный клапан трехстворчатый, амплитуда раскрытия створок 1,5 см,

скорость кровотока 0,9 м/сек, регургитации нет.

Левый желудочек: ТМЖП 1,0 см, ТЗС 0,9 см, КДР 3,35 см, ФВ 63%.

Митральный клапан не изменен, скорость кровотока 0,6 м/сек,

регургитации нет.

Левое предсердие: размер 3,2 см, объем 30 мл.

Легочная артерия: диаметр 3,0 см, систолическое давление в легочной артерии 78 мм рт. ст. Скорость кровотока на клапане легочной артерии 0,7

м/сек, регургитация 1–2 степени.

Правый желудочек: размер 4,3 см, толщина свободной стенки 0,9 см. В

четырехкамерной позиции правый желудочек преобладает над левым и участвует в формировании верхушки сердца.

Трикуспидальный клапан не изменен, скорость кровотока 0,55 м/сек,

регургитация 2–3 степени.

Правое предсердие: размер 4,7 см, объем 91 мл.

Нижняя полая вена: диаметр на выдохе 2,7 см, на вдохе 2,2 см.

10