Материал: Патан Серов учебник

Внимание! Если размещение файла нарушает Ваши авторские права, то обязательно сообщите нам

кортикостероиды, биомицин, дигиталис и др.), химическими веществами (профессиональные вредности). Значительную роль играют также микробы (стафилококк, сальмонеллы) и токсины, продукты нарушенного обмена. В одних случаях, например при отравлении алкоголем, недоброкачественными пищевыми продуктами, патогенные факторы непосредственно воздействуют на слизистую оболочку желудка - экзогенные гастриты, в других - это действие опосредованно и осуществляется с помощью сосудистых, нервных, гуморальных и иммунных механизмов - эндогенные гастриты, к которым относятся инфекционный гематогенный гастрит, элиминативный гастрит при уремии, аллергический, застойный гастрит и др.

Патологическая анатомия. Воспаление слизистой оболочки может охватывать весь желудок (диффузный гастрит) или определенные его отделы (очаговый гастрит). В связи с этим различают фундальный, антральный, пилороантральный и пилородуоденальный гастриты.

В зависимости от особенностей морфологических изменений слизистой оболочки желудка выделяют следующие формы острого гастрита: 1) катаральный (простой); 2) фибринозный; 3) гнойньгй (флегмозный); 4) некротический (коррозивный).

При катаральном (простом) гастрите слизистая оболочка желудка утолщена, отечна, гиперемирована, поверхность ее обильно покрыта слизистыми массами, видны множественные мелкие кровоизлияния, эрозии. При микроскопическом исследовании выявляются дистрофия, некробиоз и слущивание поверхностного эпителия, клетки которого отличаются повышенным слизеобразованием. Слущивание клеток ведет к эрозии. В тех случаях, когда имеются множественные эрозии, говорят об эрозивном гастрите. Железы изменяются незначительно, однако секреторная активность их подавлена. Слизистая оболочка пронизана серозным, серознослизистым или серозно-лейкоцитарным экссудатом. Собственный слой ее полнокровен и отечен, инфильтрирован нейтрофилами, встречаются диапедезные кровоизлияния.

При фибринозном гастрите на поверхности утолщенной слизистой оболочки образуется фибринозная пленка серого или желто-коричневого цвета. Глубина некроза слизистой оболочки при этом может быть различной, в связи с чем выделяют крупозный (поверхностный некроз) и дифтерический (глубокий некроз) вариантыфибринозного гастрита.

При гнойном, или флегмонозном, гастрите стенка желудка становится резко утолщенной, особенно за счет слизистой оболочки и подслизистого слоя. Складки слизистой оболочки грубые, с кровоизлияниями, фибринозно-гнойными наложениями. С поверхности разреза стекает желто-зеленая гнойная жидкость. Лейкоцитарный инфильтрат, содержащий большое число микробов, диффузно охватывает слизистую оболочку, подслизистый и мышечный слои желудка и покрывающую его брюшину. Поэтому нередко при флегмонозном гастрите развиваются перигастрит и перитонит. Флегмона желудка иногда осложняет травму его, развивается также при хронической язве и изъязвленном раке желудка.

451

Некротический гастрит возникает обычно при попадании в желудок химических веществ (щелочи, кислоты и др.), прижигающих и разрушающих слизистую оболочку (коррозивный гастрит). Некроз может охватывать поверхностные или глубокие отделы слизистой оболочки, быть коагуляционным или колликвационным. Некротические изменения завершаются обычно образованием эрозий и острых язв, что может привести к развитию флегмоны и перфорации желудка.

Исход острого гастрита зависит от глубины поражения слизистой оболочки (стенки) желудка. Катаральный гастрит может закончиться полным восстановлением слизистой оболочки. При частых рецидивах он может вести к развитию хронического гастрита. После значительных деструктивных изменений, характерных для флегмонозного и некротического гастритов, развивается атрофия слизистой оболочки и склеротическая деформация стенки желудка - цирроз желудка.

Хронический гастрит

В ряде случаев он связан с острым гастритом, его рецидивами, но чаще эта связь отсутствует.

Классификация хронического гастрита, принятая IX Международным конгрессом гастроэнтерологов (1990), учитывает этиологию, патогенез, топографию процесса, морфологические типы гастрита, признаки его активности, степень тяжести.

Этиология. Хронический гастрит развивается при действии на слизистую оболочку желудка прежде всегоэкзогенных факторов: нарушение режима питания и ритма питания, злоупотребление алкоголем, действие химических, термических и механических агентов, влияние профессиональных вредностей и т.д. Велика роль иэндогенных факторов - аутоинфекции (Campylobacter piloridis), хронической аутоинтоксикации, нейроэндокринных нарушений, хронической сердечно-сосудистой недостаточности, аллергических реакций, регургитации дуоденального содержимого в желудок (рефлюкс). Важным условием развития хронического гастрита является длительное воздействие патогенных факторов экзогенной или эндогенной природы, способное «сломать» привычные регенераторные механизмы постоянного обновления эпителия слизистой оболочки желудка. Нередко удается доказать длительное влияние не одного, а нескольких патогенных факторов.

Патогенез. Хронический гастрит может быть аутоиммунным (гастрит типа А) и неиммунным (гастрит типа В).

Аутоиммунный гастрит характеризуется наличием антител к париетальным клеткам, а поэтому поражением фундального отдела желудка, где обкладочных клеток много (фундальный гастрит). Слизистая оболочка антрального отдела интактна. Отмечается

высокий уровень гастринемии. В связи с поражением обкладочных клеток секреция хлористоводородной (соляной) кислоты снижена.

452

При неиммунном гастрите антитела к париетальным клеткам не выявляются, поэтому фундальный отдел желудка относительно сохранен. Основные изменения локализуются в антральном отделе (антральный гастрит). Гастринемия отсутствует, секреция хлористоводородной кислоты снижена лишь умеренно. Среди гастрита типа В выделяют рефлюксгастрит (гастрит типа С). Гастрит типа В встречается в 4 раза чаще гастрита типа А.

Руководствуясь топографией процессав желудке, выделяют хронический гастрит -

антральный, фундальныйи пангастрит.

Морфологические типы. Хронический гастрит характеризуется длительно существующими дистрофическими и некробиотическими изменениями эпителия слизистой оболочки, вследствие чего происходят нарушение его регенерации и структурная перестройка слизистой оболочки, завершающаяся атрофией ее и склерозом; клеточные реакции слизистой оболочки отражают активность процесса. Различают два морфологических типа хронического гастрита - поверхностный и атрофический.

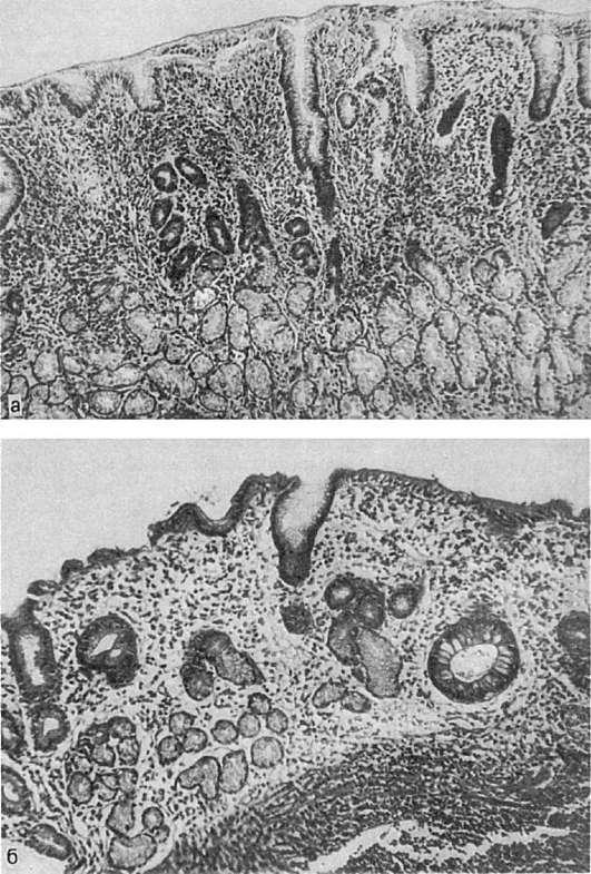
Хронический поверхностный гастрит характеризуется дистрофическими изменениями поверхностного (ямочного) эпителия. В одних участках он уплощается, приближается к кубическому и отличается пониженной секрецией, в других - высокий призматический с повышенной секрецией. Происходит транслокация добавочных клеток из перешейка в среднюю треть желез, уменьшается гистаминстимулированная секреция хлористоводородной кислоты париетальными клетками и пепсиногена - главными клетками. Собственный слой (пластинка) слизистой оболочки отечен, инфильтрирован лимфоцитами, плазматическими клетками, единичными нейтрофилами (рис. 197).

При хроническом атрофическом гастрите появляется новое и основное качество - атрофия слизистой оболочки, ее желез, которая определяет развитие склероза. Слизистая оболочка истончается, число желез уменьшается. На месте атрофированных желез разрастается соединительная ткань. Сохранившиеся железы располагаются группами, протоки желез расширены, отдельные виды клеток в железах плохо дифференцируются. В связи с мукоидизацией желез секреция пепсина и хлористоводородной кислоты нарушается. Слизистая оболочка инфильтрирована лимфоцитами, плазматическими клетками, единичными нейтрофилами. К этим изменениям присоединяется перестройка эпителия, причем метаплазии подвергается как поверхностный, так и железистый эпителий (см. рис. 197). Желудочные валики напоминают ворсинки кишечника, они выстланы каемчатыми эпителиоцитами, появляются бокаловидные клетки и клетки Панета (кишечная метаплазия эпителия, «энтеролизация» слизистой оболочки). Главные, добавочные

(слизистые клетки желез) и париетальные клетки желез исчезают, появляются кубические клетки, свойственные пилорическим железам; образуются так называемые псевдопилорические железы. К метаплазии эпителия присоединяется его дисплазия, степень которой может быть различной. Изменения слизистой оболочки могут быть умеренно (умеренный атрофический гастрит) или резко выражены (выраженный атрофический гастрит).

453

Особую форму представляет так называемый гигантский гипертрофический гастрит, или болезньМенетрие, при котором происходит чрезвычайно резкое утолщение слизистой оболочки, приобретающей вид булыжной мостовой. Морфологически находят пролиферацию клеток железистого эпителия и гиперплазию желез, а также инфильтрацию слизистой оболочки лимфоцитами, эпителиоидными, плазматическими и гигантскими клетками. В зависимости от преобладания изменений желез или интерстиция, выраженности пролиферативных изменений выделяют железистый,

интерстициальный и пролиферативный варианты этой болезни.

Признаки активности хронического гастрита позволяют выделять активный (обострение) и неактивный(ремиссия) хронический гастрит. Для обострения хронического гастрита характерны отек стромы, полнокровие сосудов, но особенно резко выражена клеточная инфильтрация с наличием в инфильтрате большого количества нейтрофилов; иногда появляются крипт-абсцессы и эрозии. При ремиссии эти признаки отсутствуют.

454

Рис.

197. Хронический гастрит (гастробиопсия):

а - хронический поверхностный гастрит; б - хронический атрофический гастрит

Степень тяжести хронического гастрита может быть легкой, умеренной или тяжелой.

455