Материал: Патан Серов учебник

Внимание! Если размещение файла нарушает Ваши авторские права, то обязательно сообщите нам

аденоматозную гиперплазию и так называемые опухольки. Ключевым моментом патогенеза рака легкого является повреждение генома эпителиальной клетки. При этом выделяют три типа генетических изменений: хромосомные аберрации, точечные мутации, активацию иповреждение протоонкогенов (протоонкогены - нормальные гены клеток,

являющиеся прародителями вирусных и невирусных онкогенов).

Классификация. Она учитывает локализацию, характер роста, макроскопическую форму и микроскопический вид (см. ниже).

Клинико-анатомическая классификация рака легкого (по Струкову А.И., 1956).

По локализации: 1) прикорневой (центральный), исходящий из стволового, долевого и начальной части сегментарного бронха; 2) периферический, исходящий из периферического отдела сегментарного бронха и его ветвей, а также из альвеолярного эпителия; 3) смешанный (массивный).

По характеру роста: 1) экзофитный (эндобронхиальный); 2) эндофитный (экзобронхиальный и перибронхиальный).

По макроскопической форме: 1) бляшковидный; 2) полипозный; 3) эндобронхиальный диффузный; 4) узловатый; 5) разветвленный; 6) узловаторазветвленный.

По микроскопическому виду: 1) плоскоклеточный (эпидермоидный) рак; 2) аденокарцинома; 3) недифференцированный анапластический рак: мелкоклеточный, крупноклеточный; 4) железисто-плоскоклеточный рак; 5) карцинома бронхиальных желез: аденоидно-кистозная, мукоэпидермоидная.

Патологическая анатомия. Морфология прикорневого (центрального), периферического и смешанного (массивного) рака легкого различна.

Прикорневой (центральный) рак наблюдается в 45-50% всех случаев рака легкого. Развивается в слизистой оболочке стволового, долевого и начальной части сегментарного бронхов, первоначально в виде небольшого узелка (бляшки) или полипа, а в дальнейшем в зависимости от характера роста (экзофитный, эндофитный), приобретает форму эндобронхиального диффузного, узловатого, разветвленного или узловато-разветвленного рака (рис. 191, 192). Часто и рано, не достигая больших размеров, осложняется сегментарным или долевым ателектазом, являющимся почти постоянным спутником прикорневого рака. Ателектаз ведет к нарушению дренажной функции бронха, развитию пневмонии, абсцесса, бронхоэктазов и тем самым маскирует маленький рак бронха. Из крупного бронха опухоль при эндофитном росте распространяется на ткань средостения, сердечную сорочку и плевру. Развивающийся при этом плеврит носит серозно-геморрагический или геморрагический характер. Прикорневой рак чаще имеет строение плоскоклеточного, реже - железистого или недифференцированного.

Периферический рак обнаруживают в 50-55% случаев рака легкого. Возникает в слизистой оболочке периферического отдела сегментарного

441

бронха, его более мелких ветвей и бронхиол, редко - из альвеолярного эпителия (рис. 191, 193). Периферический рак долгое время растет экспансивно в виде узла, достигая иногда больших размеров (диаметр до 5-7 см). Он не проявляется клинически до тех пор, пока не обнаруживается при случайном обследовании, не достигает плевры (плеврит) или стволового и сегментарного бронхов, сдавление и прорастание которых вызывают нарушение дренажной функции бронхов и компрессионный или обтурационный ателектаз. Часто рак развивается в области рубца (капсула заживших туберкулезных очагов, зарубцевавшийся инфаркт легкого и

442

др.) вблизи плевры в любом участке легкого, может перейти на плевру, вследствие чего она утолщается и в плевральной полости скапливается серозно-геморрагический или геморрагический экссудат, сдавливающий легкое. Иногда самым ранним проявлением небольшого периферического рака являются многочисленные гематогенные метастазы. Периферический рак имеет строение железистого, реже - плоскоклеточного или недифференцированного.

Смешанный (массивный) рак легкого встречается редко (в 2-5% случаев). Он представляет собой мягкую белесоватую, нередко распадающуюся ткань, которая занимает всю долю или даже все легкое (рис. 194). Решить вопрос об источнике роста не представляется возможным. Массивный рак чаще имеет строение недифференцированного или аденокарциномы.

Микроскопический вид рака легкого разнообразен, что определяется как различными источниками его происхождения (покровный и железистый эпителий бронхов, пневмоциты второго типа, эндокринные клетки), так

и степенью дифференцировки опухоли (дифференцированный и недифференцированный рак). В дифференцированном раке легкого, как правило, сохраняются признаки ткани, из которой он исходит: слизеобразование - в аденокарциноме, кератинобразование - в плоскоклеточном раке.

Плоскоклеточный (эпидермоидный) рак может быть высоко-, умеренно- и

низкодифференцированным. Длявысокодифференцированного рака характерно образование кератина многими клетками и формирование раковых жемчужин (плоскоклеточный рак с ороговением - см. рис. 104), для умеренно дифференцированного - митозы и полиморфизм клеток, некоторые из которых содержат кератин, для низкодифференцированногоплоскоклеточного рака - еще больший полиморфизм

443

клеток и ядер (наличие полигональных и веретенообразных клеток), большое число митозов; кератин определяется лишь в отдельных клетках.

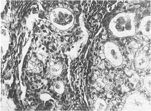
Аденокарцинома легкого также может иметь различную степень дифференцировки.Высокодифференцированная аденокарцинома состоит из ацинарных, тубулярных или сосочковых структур, клетки которых продуцируют слизь (рис. 195); умеренно дифференцированная аденокарцинома имеет железисто-солидное строение, в ней встречается большое число митозов, слизеобразование отмечается лишь у части клеток; низкодифференцированная аденокарцинома состоит из солидных структур,

полигональные клетки ее способны продуцировать слизь. Разновидность аденокарциномы -

бронхиолярно-альвеолярный рак.

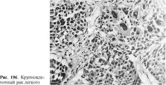
Недифференцированный анапластический рак легкого бывает мелкоклеточным и крупноклеточным.Мелкоклеточный рак состоит из мелких лимфоцитоподобных или овсяновидных клеток с гиперхромными ядрами, клетки растут в виде пластов или тяжей (см. рис. 107). В ряде случаев они обладают эндокринной активностью - способны к продукции АКТГ, серотонина, кальцитонина и других гормонов; электронно-

Рис.

195. Аденокарцинома легкого, слизь в просвете ячеек железистых структур

микроскопически в цитоплазме таких клеток выявляются нейросекреторные гранулы. Мелкоклеточный рак может сопровождаться артериальной гипертонией. В таких случаях мелкоклеточный рак можно рассматривать как злокачественную апудому. Крупноклеточный рак представлен крупными полиморфными, нередко

гигантскими многоядерными клетками (рис. 196), которые неспособны продуцировать слизь.

444

Железисто-плоскоклеточный рак легкого называют также смешанным, так как он представляет собой сочетание двух форм - аденокарциномы и плоскоклеточного рака. Карцинома бронхиальных желез, имеющая аденоидно-кистозное или мукоэпидермоидное строение, встречается довольно редко.

Осложнения рака легкого представлены метастазами, которые в равной мере можно считать и проявлением опухолевой прогрессии, и вторичными легочными изменениями. Метастазы рака, как лимфогенные, так и гематогенные, наблюдаются в 70% случаев. Первые лимфогенные метастазы возникают в перибронхиальных и бифуркационных лимфатических узлах, затем шейных и др. Среди гематогенных метастазов наиболее характерны метастазы в печень, головной мозг, кости (особенно часто в позвонки) и надпочечники. Прикорневой рак чаще дает лимфогенные, периферический - гематогенные метастазы. Как уже говорилось, у больных периферическим раком легкого (небольшим по размеру и протекающим без симптомов) первые клинические признаки могут быть обусловлены гематогенным метастазированием.

Вторичные легочные изменения связаны с развитием ателектаза в случаях прикорневого рака легкого. К ним следует отнести и те изменения, которые появляются в связи с некрозом опухоли: образование полостей, кровотечение, нагноение и др.

Смерть больных раком легкого наступает от метастазов, вторичных легочных осложнений или от кахексии.

Плеврит

Плеврит - воспаление плевры - может быть разной этиологии. Обычно он присоединяется к острым или хроническим воспалительным процессам в легких, к возникшему в легких инфаркту, распадающейся опухоли. Иногда плеврит носит аллергический (например, при ревматизме) или токсический (при уремии) характер. Висцеральная плевра становится тусклой, с точечными кровоизлияниями, иногда она покрыта фибринозными наложениями. На париетальной плевре эти изменения выражены слабее.

445