Материал: Патан Серов учебник

Внимание! Если размещение файла нарушает Ваши авторские права, то обязательно сообщите нам

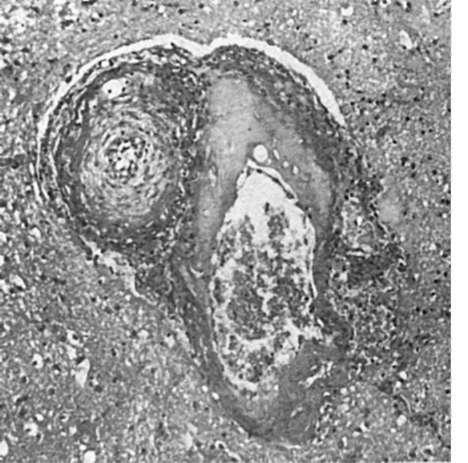
волокнистых структур стенки, к которому ведет спазм сосуда. Элементы деструкции стенки, как и пропитывающие

Рис. 153. Гиалиноз

артериол головного мозга

ее белки и липиды, резорбируются с помощью, макрофагов, однако эта резорбция, как правило, неполная. Развивается гиалиноз артериол, или артериолосклероз (рис. 153). Аналогичные изменения появляются вмелких артериях мышечного типа. Наиболее часто плазматическому пропитыванию и гиалинозу подвергаются артериолы и мелкие артерии почек, головного мозга, поджелудочной железы, кишечника, сетчатки глаза, капсулы надпочечников.

Во время гипертонического криза плазматическое пропитывание артериол, артериолонекроз и геморрагии доминируют в каком-либо одном органе, что определяет клиническую специфику «криза (артериолонекроз почек, ведущий к острой почечной недостаточности, плазматическое пропитывание артериол и диапедезные кровоизлияния в дне IV желудочка, что ведет к внезапной смерти, и т.д.).

Изменения артерий эластического, мышечно-эластического и мышечного типов представлены эластофиброзом и атеросклерозом. Эластофиброз характеризуется гиперплазией и расщеплением внутренней эластической мембраны, развивающимися компенсаторно в ответ на стойкое повышение артериального давления, и разрастанием

между расщепившимися мембранами соединительной ткани, т.е. склерозом. При стойкой и

366

длительной артериальной гипертонии развивается выраженный атеросклероз, который отличается некоторым своеобразием: атеросклеротические изменения имеют более распространенный характер, «спускаясь» в артерии мышечного типа, чего не наблюдается при отсутствии гипертонии; при гипертонии фиброзные бляшки располагаются циркулярно, а не сегментарно, что ведет к более резкому сужению просвета сосуда. Эластофиброз и стенозирующий атеросклероз резко выражены в артериях сердца, мозга, почек, поджелудочной железы, в сонных и позвоночных артериях.

В этой стадии степень гипертрофии миокарда нарастает, масса сердца достигает 900-1000 г, а толщина стенки левого желудочка - 2-3 см (рис. 154). В связи со стенозирующим атеросклерозом венечных артерий возникает гипоксия миокарда, которая ведет к развитию дистрофических и некробиотических изменений мышечных волокон и миогенному расширению полостей гипертрофированного сердца (эксцентрическая гипертрофия миокарда), а также к изменениям интрамуральной нервной системы сердца.

Рис.

154. Гипертрофия миокарда левого желудочка сердца при гипертонической болезни (поперечный разрез)

В условиях кислородного голодания и усиливающихся нарушений трофики миокарда вследствие патологии интрамуральной нервной системы сердца развивается диффузный мелкоочаговый кардиосклероз (гипертонический кардиосклероз; рис. 155).

367

3. Последнюю стадию гипертонической болезни характеризуют вторичные изменения органов в связи с изменением артерий и нарушением внутриорганного кровообращения. Эти вторичные изменения могут появляться

Рис.

155. Кардиосклероз при гипертонической болезни

катастрофически быстро на почве спазма, тромбоза сосуда, завершающего плазматическое пропитывание или фибриноидный некроз его стенки. Тогда они проявляются кровоизлияниями или инфарктами. Вторичные изменения органов могут развиваться и медленно на почве артериоло- и атеросклеротической окклюзии сосудов, что ведет к атрофии паренхимы и склерозу органов.

Клинико-морфологические формы

На основании преобладания сосудистых, геморрагических, некротических и склеротических изменений в сердце, мозге, почках при гипертонической болезни выделяют сердечную, мозговую и почечную клиникоморфологические ее формы.

Сердечная форма гипертонической болезни, как и сердечная форма атеросклероза,

составляет сущность ишемической болезни сердца (см. Ишемическая болезнь сердца).

Мозговая форма гипертонической болезни в настоящее время стала основой цереброваскулярных заболеваний (см. Цереброваскулярные заболевания).

Почечная форма гипертонической болезни характеризуется как острыми, так и хроническими изменениями.

К острым изменениям относятся инфаркты почек и артериолонекроз почек. Инфаркты почек появляются при тромбоэмболии или тромбозе артерий. Иногда они бывают субтотальными или тотальными. Артериолонекроз почек - морфологическое выражение

368

злокачественной гипертонии. Помимо артериол, фибриноидному некрозу подвергаются капиллярные петли клубочков (см. рис. 152), в строме возникают отек и геморрагии, в эпителии канальцев - белковая дистрофия. В ответ на некроз в артериолах, клубочках и строме развиваются клеточная реакция и склероз (злокачественный нефросклероз Фара). Почки выглядят несколько уменьшенными в размерах, пестрыми, поверхность их мелкогранулярная. Артериолонекроз приводит к острой почечной недостаточности и заканчивается обычно летально при отсутствии возможности проведения гемодиализа.

Изменения почек при хроническом доброкачественном течении гипертонической болезни связаны с гиалинозом артериол, артериолосклерозом. Гиалиноз артериол сопровождается коллапсом капиллярных петель и склерозом клубочков - гломерулосклерозом. В результате недостаточного кровоснабжения и гипоксии канальцевая часть большинства нефронов атрофируется и замещается соединительной тканью, которая разрастается также вокруг погибших клубочков. На поверхности почек появляются множественные мелкие очаги западения. Нефроны, соответствующие относительно сохранным клубочкам, гипертрофируются(регенерационная гипертрофия почек) и выступают над почечной поверхностью в виде серо-красных гранул. Почки выглядят маленькими, плотными, поверхность их мелкогранулярная, паренхима атрофична, особенно истончено

Рис.

156. Первично-сморщенная почка. Вид с поверхности (а) и на разрезе (б)

корковое вещество. Такие почки, являющиеся исходом их склероза на почве гиалиноза артериол(артериолосклеротический нефросклероз), называют первично-сморщенными (рис. 156). Клиническое выражение артериолосклеротического нефросклероза - хроническая почечная недостаточность,завершающаяся азотемической уремией.

Изменения глаз при гипертонической болезни вторичные, связанные с характерными изменениями сосудов. Они представлены отеком соска зрительного нерва, кровоизлияниями, отслойкой сетчатки, белковым выпотом и отложением в ней белковых масс, некрозом сетчатки и тяжелыми дистрофическими изменениями нервных клеток ганглиозного слоя.

369

Изменения эндокринных желез: в надпочечниках происходит гиперплазия мозгового и коркового слоев с образованием в последнем регенераторных аденом. В дальнейшем эти изменения сменяются атрофическими. В передней доле гипофиза отмечается гиперплазия базофильных клеток, как и клеток задней доли, выделяющих вазопрессорные вещества.

В других органах нередко возникают изменения, служащие проявлением гипертонических кризов или следствием хронической гипоксии.

Ишемическая болезнь сердца

Ишемическая болезнь сердца - группа заболеваний, обусловленных абсолютной или относительной недостаточностью коронарного кровообращения. Поэтому ишемическая болезнь - это коронарная болезнь сердца. Она выделена как «самостоятельное заболевание» Всемирной организацией здравоохранения в 1965 г. в связи с большой социальной значимостью. Ишемическая болезнь в настоящее время настолько широко рас-

пространена во всем мире, особенно в экономически развитых странах, что говорят об ее эпидемии. Опасность ишемической болезни сердца заключается в скоропостижной смерти. На долю ее приходится примерно 2/3 случаев смерти от сердечно-сосудистых заболеваний. Болеют чаще мужчины в возрасте 40-65 лет.

Этиология и патогенез. Среди непосредственных причин развития ишемической болезни сердца следует назвать длительный спазм, тромбоз или тромбоэмболию венечных артерий сердца и функциональное перенапряжение миокарда в условиях атеросклеротической окклюзии этих артерий. Однако это - лишьместные причины развития ишемии и некроза сердечной мышцы и его последствий. Ими, естественно, не исчерпывается этиология ишемической болезни сердца, генетически связанной с атеросклерозом и гипертонической болезнью. Этиологические факторы атеросклероза и гипертонической болезни, прежде всегопсихоэмоциональное

перенапряжение, ведущее к ангионевротическим нарушениям, являются этиологическими факторами ишемической болезни сердца. Поэтому-то атеросклероз, гипертоническая болезнь и ишемическая болезнь сердца «идут рядом». Лишь в редких случаях при ишемической болезни сердца отсутствует атеросклероз венечных артерий сердца.

Патогенетические факторы ишемической болезни, атеросклероза и гипертонической болезни также общие. Среди них главные: 1) гиперлипидемия; 2) артериальная гипертензия; 3) избыточная масса тела (ожирение); 4) малоподвижный образ жизни; 5) курение; 6) нарушение толерантности к углеводам, в частности сахарный диабет; 7) мочекислый диатез; 8) генетическая предрасположенность; 9) принадлежность к мужскому полу.

Патогенетические факторы ишемической болезни расцениваются эпидемиологами как факторы риска, т.е. показатели вероятности развития инфаркта миокарда - главного

проявления ишемической болезни сердца - в определенный промежуток времени (обычно 10 лет) у определенной группы населения (обычно 1000 мужчин). Так, «предсказательная» ценность гиперлипидемии составляет 21%, а суммы таких факторов, как гиперлипидемия,

370