Материал: Патан Серов учебник

Внимание! Если размещение файла нарушает Ваши авторские права, то обязательно сообщите нам

возрастающее напряжение психоэмоциональной сферы. Болеют чаще мужчины во второй половине жизни.

Выделение гипертонической болезни позволило отграничить ее от симптоматических гипертензий, илигипертонических состояний, которые появляются вторично при многих заболеваниях нервной и эндокринной систем, патологии почек и сосудов.

К развитию симптоматической гипертензий ведут:

1)заболевания ЦНС: энцефалит, полиомиелит на уровне стволовой части мозга, опухоли и травмы мозга (посткоммоционная гипертензия);

2)заболевания эндокринной системы: опухоли надпочечников (феохромоцитома, альдостерома, кортикостерома), параганглиев (параганглиома) и гипофиза (базофильная аденома); эндокринно-сексуальная гипертензия (климактерический период у женщин и мужчин);

3)заболевания почек и мочевыводящих путей (почечная, или нефрогенная, гипертензия): гломерулонефриты, пиелонефрит, гидронефроз, диабетическая и печеночная нефропатия, амилоидоз почек, врожденные аномалии, поликистоз почек;

4)заболевания сосудов: атеросклероз дуги и коарктация аорты на разных уровнях, сужение крупных артерий (подключичной, сонной), системный васкулит; сужение и аномалии почечных артерий (реноваскулярная гипертензия).

Этиология. В возникновении гипертонической болезни, помимо психоэмоционального перенапряжения, ведущего к нарушениям высшей нервной деятельности типа невроза и расстройству регуляции сосудистого тонуса (Ланг Г.Ф., 1922; Мясников А.Л., 1954), велика роль наследственного фактора и избытка поваренной соли в пище.

Патогенез. В механизме развития гипертонической болезни участвует ряд факторов: 1) нервный; 2) рефлекторные; 3) гормональные; 4) почечный; 5) наследственные. Считают,

что психоэмоциональное перенапряжение (нервный фактор) ведет к истощению центров сосудистой регуляции с вовлечением в патогенетический механизм рефлекторных и гуморальных факторов. Среди рефлекторных факторов следует учитывать возможное выключение депрессорных влияний каротидного синуса и дуги аорты, а также активацию симпатической нервной системы. Среди гормональных факторов имеют значение усиление прессорных влияний гипофизарнодиэнцефальной области (гиперплазия клеток задней и передней долей гипофиза), избыточное выделение катехоламинов (гиперплазия мозгового вещества надпочечников) и активация ренин-гипертензивной системы в результате нарастающей ишемии почек (гиперплазия и гипергранулярность клеток юкстагломерулярного аппарата, атрофия интерстициальных клеток мозгового вещества почек).

Почечному фактору в патогенезе гипертонической болезни придается исключительное значение, так как экскреция почками натрия и воды, секреция ими ренина, кининов и простагландинов - один из основных механизмов регуляции артериального давления.

361

В системе кровообращения почка выполняет роль своеобразного регулятора, определяющего величину систолического артериального давления и обеспечивающего по механизму обратной связи его долгосрочную стабилизацию на определенном уровне (баростатная функция почки). Обратную связь в этой системе осуществляют нервные и эндокринные механизмы регуляции артериального давления: автономная нервная система с баро- и хеморецепторами и центрами сосудистой регуляции в стволе головного мозга, ренинангиотензиновая система, нейроэндокринная система (вазопрессин, окситоцин), кортикостероиды, натрий-

уретический гормон и предсердный натрийуретический фактор. В связи с этим обязательным условием развития хронической артериальной гипертензий становится смещение кривой зависимости выделительной функции почки от величины систолического артериального давления в сторону более высоких ее значений. Этот феномен получил название «переключения почки» (Гайтон А., 1980), которое сопровождается сокращением приносящих артериол, торможением работы противоточно-множительной системы почек, усилением реабсорбции воды в дистальных канальцах.

В зависимости от активности прессорных систем почек говорят о вазоконстрикторной гипертензии при высокой активности ренина в плазме крови (наклонность к спазмам артериол резко выражена) или огиперволемической гипертензии при низкой активности ренина (увеличение массы циркулирующей крови). Уровень артериального давления определяется активностью не только прессорных, но и депрессорныхсистем, в том числе кининовой и простагландиновой систем почек, принимающих участие в экскреции натрия и воды.

Роль наследственных факторов в патогенезе гипертонической болезни подтверждена результатами ряда экспериментальных исследований. Показано, например, что экскреторные и инкреторные функции почек, регулирующие уровень артериального давления, могут быть детерминированы генетически. В эксперименте получены линии животных со «спонтанной» артериальной гипертонией, в основе которой лежат дефекты экскреторной и других функций почек. Убедительна в этом отношении и «мембранная теория» первичной гипертензии (Постнов Ю.В., Орлов С.Н., 1987), согласно которой первичным звеном в генезе эссенциальной гипертензии является генетический дефект клеточных мембран в отношении регуляции распределения внутриклеточного кальция, что ведет к изменению сократительных свойств гладких мышц сосудов, усилению выделения медиаторов нервными окончаниями, повышению активности периферического отдела симпатической нервной системы и в финале к сокращению артериол, результатом которого становится артериальная гипертензия и включение почечного фактора («переключение почки»). Естественно, что наследственная патология клеточных мембран не снимает роли стрессовых ситуаций, психоэмоционального напряжения в развитии гипертонической болезни. Мембранная патология клеток может быть лишь фоном, на котором благоприятно действуют другие факторы (схема XIX). Важно подчеркнуть тот факт, что почечный фактор нередко замыкает «порочный круг» патогенеза гипертонической болезни, так как развивающийся артериолосклероз и следующая за ним ишемия почек включают ренин-ангиотензин-альдостероновую систему.

362

Патологическая анатомия. Морфологические изменения при гипертонической болезни отличаются большим разнообразием, отражающим характер и длительность ее течения.

Характер течения болезни может быть злокачественным (злокачественная гипертензия) и доброкачественным (доброкачественная гипертензия).

Схема XIX. Патогенез гипертонической болезни (по Ю.В. Постнову и С.Н. Орлову в модификации)

При злокачественной гипертензии доминируют проявления гипертонического криза, т.е. резкого повышения артериального давления в связи со спазмом артериол. Морфологические проявления гипертонического криза достаточно характерны и представлены гофрированностью и деструкцией базальной мембраны эндотелия и

своеобразным расположением его в виде частокола, что является выражением спазма артериолы (рис. 151),плазматическим пропитыванием или фибриноидным некрозом ее стенки (рис. 152) и присоединяющимсятромбозом. В связи с этим развиваются инфаркты, кровоизлияния. В настоящее время злокачественная гипертония встречается редко, преобладает доброкачественно и медленно текущая гипертоническая болезнь.

При доброкачественной гипертензии, учитывая длительность развития болезни, различают три стадии, имеющие определенные морфологические различия: 1) доклиническую; 2) распространенных изменений артерий; 3) изменений органов в связи с изменением артерий и нарушением внутриорганного кровообращения. Однако следует учитывать, что в любой стадии доброкачественной гипертензии может возникнутьгипертонический криз с характерными для него морфологическими проявлениями.

363

1. О доклинической стадии гипертонической болезни говорят в тех случаях, когда появляются эпизоды временного повышения артериаль-

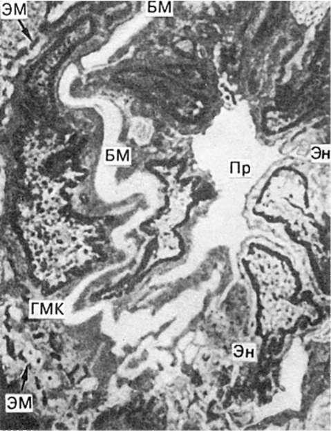
Рис. 151. Спазм

артериолы при гипертонической болезни.

Просвет сосуда (Пр) сужен, эндотелиальные клетки (Эн) плотно прижаты друг к другу, межэндотелиальные пространства не выявляются; базальная мембрана (БМ) гофрирована и расщеплена, внутренняя эластическая мембрана (ЭМ) фрагментирована. ГМК - гладкомышечная клетка. Электронограмма. х16 000 (по Спиро и др.)

364

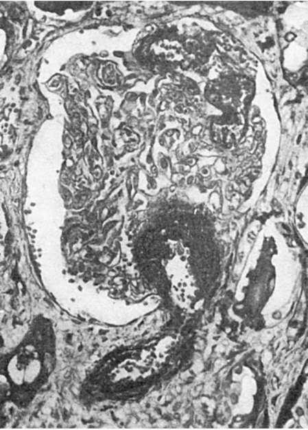
Рис. 152. Фибриноидный почки (участки некроза

черные)

ного давления (транзиторная гипертензия). В этой стадии находят гипертрофию мышечного слоя иэластических структур артериол и мелких артерий, морфологические признаки спазма артериол или более глубокие их изменения в случаях гипертонического

криза. Отмечается умеренная компенсаторная гипертрофия левого желудочка сердца.

2. Стадия распространенных изменений артерий характеризует период стойкого повышения артериального давления. В артериолах, артериях эластического, мышечно-эластического и мышечного типов, а также в сердце возникают характерные изменения. Изменения артериол - наиболее типичный признак гипертонической болезни - выражаются в плазматическом пропитывании и его исходе - гиалинозе, или артериолосклерозе.Плазматическое пропитывание артериол и мелких артерий развивается в связи с гипоксическим повреждением эндотелия, его мембраны, мышечных клеток и

365