Материал: Патан Серов учебник

Внимание! Если размещение файла нарушает Ваши авторские права, то обязательно сообщите нам

ные - типа остеокластов. Отсюда и название опухоли - остеобластокластома (Русаков А.В., 1959). Опухоль может озлокачествляться.

Особого внимания заслуживает опухоль Беркитта, или злокачественная лимфома (см. Опухоли системы крови). В 50% случаев она локализуется в челюстных костях (см. рис. 138), разрушает их и быстро растет, отмечается генерализация опухоли.

Одонтогенные опухоли

Гистогенез опухолей этой группы связывают с зубообразующими тканями: эмалевым органом

(эктодермального происхождения) и зубным сосочком (мезенхимального происхождения). Как известно, из эмалевого органа формируется эмаль зуба, из сосочка - одонтобласты, дентин, цемент, пульпа зуба. Одонтогенные опухоли являются редкими, но

чрезвычайно разнообразными по своей структуре. Это внутричелюстные опухоли. Развитие их сопровождается деформацией и деструкцией костной ткани даже в случае доброкачественных вариантов, которые и составляют основную массу опухолей этой группы. Опухоли могут прорастать в полость рта, сопровождаться спонтанными переломами челюстей. Выделяют группы опухолей, связанных с одонтогенным эпителием, одонтогенной мезенхимой и имеющих смешанный генез.

Опухоли, гистогенетически связанные с одонтогенным эпителием. К ним относятся амелобластома, аденоматоидная опухоль и одонтогенные карциномы.

861

Рис. 359. Фолликулярная

амелобластома

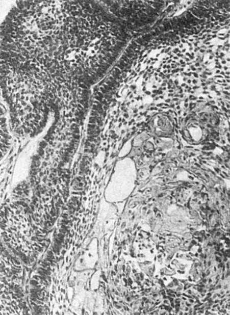
Амелобластома - доброкачественная опухоль с выраженным местным деструирующим ростом. Это самая частая форма одонтогенной опухоли. Для нее типична многоочаговая деструкция кости челюсти. Более 80% амелобластом локализуется в нижней челюсти, в области ее угла и тела на уровне моляров. Не более 10% опухолей локализуется в области резцов. Опухоль чаще всего проявляется в возрасте 20-50 лет, но иногда бывает и у детей. Растет опухоль медленно, в течение нескольких лет. У мужчин и женщин она встречается с одинаковой частотой.

Выделяют две клинико-анатомические формы - кистозную и солидную; первая встречается часто, вторая - редко. Опухоль представлена или плотной белесоватого цвета тканью, иногда с буроватыми включениями и кистами, или множеством кист. Гистологически выделяют фолликулярную, плексиформную (сетевидную),

акантоматозную, базально-клеточную и гранулярно-клеточную формы. Наиболее частыми

862

вариантами являются фолликулярная и плексиформная формы. Фолликулярная амелобластома состоит из островков округлой или неправильной формы, окруженных одонтогенным цилиндрическим или кубическим эпителием; в центральной части состоит из полигональных, звездчатых, овальных клеток, образующих сеть (рис. 359). В результате дистрофических процессов в пределах островков нередко образуются кисты. Структура этой формы амелобластомы напоминает строение эмалевого органа. Плексиформная форма опухоли состоит из сети тяжей одонтогенного эпителия с причудливым ветвлением.

Довольно часто в одной опухоли могут встречаться различные гистологические варианты строения. При акантоматозной форме в пределах островков опухолевых клеток отмечается эпи-

дермоидная метаплазия с образованием кератина. Базально-клеточная форма амелобластомы напоминает базально-клеточный рак. При гранулярно-клеточной

форме эпителий содержит большое число ацидофильных гранул. Амелобластома при нерадикальном удалении дает рецидивы.

Аденоматоидная опухоль чаще всего развивается в верхней челюсти в области клыков, возникает во второй декаде жизни, состоит из одонтогенного эпителия, формирующего образование наподобие протоков. Они расположены в соединительной ткани,нередко с явлениями гиалиноза.

К одонтогенным карциномам, которые встречаются редко, относят злокачественную амелобластому

и первичную внутрикостную карциному. Злокачественной амелобластоме присущи общие черты строения доброкачественной, но с выраженным атипизмом и полиморфизмом одонтогенного эпителия. Темп роста более быстрый, с выраженной деструкцией костной ткани, с развитием метастазов в регионарных лимфатических узлах. Под первичной внутрикостной карциномой (рак челюсти) понимают опухоль, имеющую строение эпидермального рака, развивающегося, как полагают, из островков одонтогенного эпителия периодонтальной щели (островки Малассе) вне связи с эпителием слизистой оболочки полости рта. Первичная карцинома челюстных костей может возникать из эпителия дизонтогенетических одонтогенных кист. Рост опухоли быстрый, с выраженной деструкцией кости.

Опухоли, гистогенетически связанные с одонтогенной мезенхимой. Они также разнообразны.

Из доброкачественных опухолей выделяют дентиному, миксому, цементому. Дентинома - редкое новообразование. На рентгенограммах представляет собой хорошо ограниченное разрежение костной ткани. Гистологически состоит из тяжей одонтогенного эпителия, незрелой соединительной ткани и островков диспластического дентина (рис. 360). Миксома одонтогенная почти никогда не имеет капсулы, отличается местным деструирующим ростом, поэтому часто дает рецидивы после удаления. В отличие от миксомы другой локализации содержит тяжи неактивного одонтогенного эпителия. Цементома (цементомы) - большая

863

группа новообразований с нечетко выделенными признаками. Непременным морфологическим признаком ее является образование цементоподобного вещества с большей или меньшей степенью минерализации (рис. 361). Выделяют доброкачественную цементобластому, которая обнаруживается

около корня премоляра или моляра, обычно на нижней челюсти. Ткань опухоли может быть спаяна с корнями зуба. Цементирующая фиброма - опухоль, в которой среди фиброзной ткани имеются округлые и дольчатые, интенсивно-базофильные массы цементоподобной ткани. Редко встречается гигантская цементома, которая может носить множественный характер и является наследственным заболеванием.

Одонтогенные опухоли смешанного генеза. Группа этих опухолей представлена амелобластической фибромой, одонтогенной фибромой, одонтоамелобластомой и амелобластической фиброодонтомой.

Амелобластическая фиброма состоит из островков пролиферирующего одонтогенного эпителия и рыхлой, напоминающей ткань зубного сосочка соединительной ткани. Эта опухоль развивается в детском и молодом возрасте и локализуется в области премоляров. Одонтогенная фиброма в отличие от амелобластической построена из

островков неактивного одонтогенного эпителия и зрелой соединительной ткани. Встречается у людей старших возрастных групп. Одонтоамелобластома - весьма редкое новообразование, имеющее в своем составе островки одонтогенного эпителия, как в амелобластоме, но, кроме этого, островки эмали и дентина.Амелобластическая фиброодонтома возникает также в молодом возрасте. Гистологически имеет сходство с амелобластической фибромой, но содержит дентин и эмаль.

Злокачественные опухоли этой группы - одонтогенные саркомы (амелобластическая фибросаркома, амелобластическая одонтосаркома). Амелобластическая саркома по

864

строению напоминает амелобластическую фиброму, но соединительнотканный компонент представлен низкодифференцированной фибросаркомой.

Амелобластическая одонтосаркома - редкое новообразование. По гистологической картине напоминает амелобластическую саркому, но в ней обнаруживается небольшое количество диспластического дентина и эмали.

Ряд образований челюстных костей рассматривается как пороки развития - гамартомы, их называютодонтомами. Возникают они чаще в области угла нижней челюсти в месте непрорезавшихся зубов. Одонтомы, как правило, имеют толстую фиброзную капсулу. Различают сложную и составную одонтомы. Сложная одонтома состоит из зубных тканей (эмаль, дентин, пульпа), хаотично расположенных относительно друг друга. Составная одонтома представляет собой большое количество (иногда до 200) мелких зубоподобных образований, где эмаль, дентин и пульпа по топографии напоминают строение обычных зубов.

Болезни слюнных желез

Заболевания слюнных желез бывают врожденными и приобретенными (см. Болезни желудочно-кишечного тракта). К врожденным заболеваниям относят агенезию, гипоплазию,

эктопию, гипертрофию желез и добавочные железы. Ряд заболеваний связан с изменениями протоков желез: атре-

зией протоков, сужением или эктазией, аномальным ветвлением, дефектами стенок с образованием врожденных фистул.

Среди приобретенных болезней наибольшее значение имеют воспаление слюнных желез (сиалоаденит), слюннокаменная болезнь, кисты желез, опухоли и опухолеподобные заболевания.

Сиалоаденит

Сиалоаденитом называют воспаление любой слюнной железы; паротитом - воспаление околоушной железы. Сиалоаденит может быть первичным (самостоятельное заболевание) или чаще вторичным (осложнение или проявление другого заболевания). В процесс может вовлекаться одна железа или одновременно две симметрично расположенные; иногда может быть множественное поражение желез. Сиалоаденит течет остроили хронически, нередко с обострениями.

Этиология и патогенез. Развитие сиалоаденита связано, как правило, с инфекцией. Первичный сиалоаденит, представленный эпидемическим паротитом и цитомегалией, связан с вирусной инфекцией (см. Детские инфекции). Вторичные сиалоадениты вызывают разнообразные бактерии, грибы. Пути проникновения инфекции в железу различны: стоматогенный (через протоки желез), гематогенный, лимфогенный, контактный. Неинфекционной природы сиалоадениты развиваются при отравлении солями тяжелых металлов (при выведении их со слюной).

865