Материал: Патан Серов учебник

Внимание! Если размещение файла нарушает Ваши авторские права, то обязательно сообщите нам

резорбция костных балок в теле челюстных костей, что ведет к расширению костно-мозговых пространств. Происходит формирование пародонтального кармана (рис. 355).

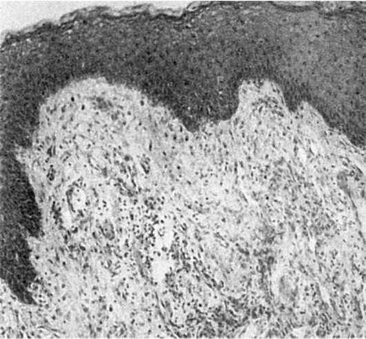
Пародонтальный карман заполнен бесструктурной массой, содержащей колонии микробов, остатки пищи, большое число разрушенных лейкоцитов. При обострениях заболевания глубина кармана увеличивается и по степени ее определяют степень пародонтита. Наружная стенка кармана и дно ее образованы грануляционной тканью, покрытой и пронизанной тяжами многослойного плоского эпителия (см. рис. 355). При этом эпителий достигает верхушки зуба. В грануляционной ткани много нейтрофилов, плазматических клеток, макрофагов и лимфоцитов. Из кармана, особенно в период обострений заболевания, выделяется гной (альвеолярная пиорея). Со временем в альвеолярных отростках челюстей развивается остеопороз, очень хорошо определяемый на рентгеновских снимках.

По результатам рентгенологического исследования челюстных костей выделяют 4 степени резорбции костной ткани лунок: I степень - убыль костных краев лунок не превышает 1/4 корня зуба; II степень - убыль костных краев лунок достигает половины длины корня; III степень - края лунок находятся

851

Рис. 354. Пародонтит.

Гладкая и лакунарная резорбция губчатой кости

852

Рис. 355. Пародонтит. Патологический пародонтальный карман, выстланный многослойным плоским эпителием; клеточная воспалительная инфильтрация ткани пародонта

на уровне 2/3 длины корня зуба; IV степень - полное рассасывание костной ткани лунок, верхушка корня располагается в мягких тканях пародонта. Зуб, лишенный укрепляющего аппарата, как бы выталкивается из своего ложа.

При пародонтите в ткани зуба наблюдается резорбция цемента с формированием цементных и цементно-дентинных ниш. Одновременно происходит новообразование цемента (гиперцементоз) и костных балочек. В пульпе зуба развиваются реактивные изменения (дистрофия, атрофия).

Осложнения и исходы. Пародонтит ведет к расшатыванию и выпадению зубов. Атрофия альвеолярного гребня челюсти затрудняет протезирование. Очаги гнойного воспаления в пародонте могут стать септическими, что ведет к развитию септикопиемии (см. Сепсис).

853

Пародонтоз

Пародонтоз - хронически текущее заболевание пародонта первичнодистрофического характера. Встречается в 4-5% случаев всех заболеваний пародонта. Нередко сочетается с поражением твердых тканей зуба некариозного характера (эрозия эмали, клиновидные дефекты).

Причина пародонтоза неясна. Фоном для его развития являются те же заболевания, что и при пародонтите.

Для пародонтоза характерна ретракция десны с обнажением шейки, а затем и корня зуба без предшествующего гингивита и пародонтита. Процесс развивается чаще всего в области резцов и клыков. В костной ткани альвеол отмечаются задержка смены костных структур, утолщение трабекул, усиление линии склеивания остеонов с последующей утратой обычного строения кости (очаги эбурнеации чередуются с очагами остеопороза); преобладает гладкая резорбция кости. Эти изменения сочетаются с поражениеммикроциркуляторного русла в виде склероза и гиалиноза стенок микрососудов с сужением просвета или полной облитерацией его; капиллярная сеть редуцируется. Отмечаются дистрофические изменения соединительной ткани.

Идиопатический прогрессирующий пародонтолиз

Идиопатический пародонтолиз - заболевание неизвестной природы с неуклонно прогрессирующим лизисом всех тканей пародонта. Встречается в детском, подростковом, юношеском возрасте, сочетаясь с нейтропенией, синдромом Папийона-Лефевра, инсулинзависимым диабетом. Отмечается быстрое образование десневого и пародонтального карманов с альвеолярной пиореей, расшатыванием и выпадением зубов в течение 2-3 лет. У детей происходит потеря молочных, а затем и постоянных зубов.

Пародонтомы

Пародонтомы - опухолевые и опухолевидные заболевания пародонта. Они могут быть представлены истинными опухолями и опухолеподобными заболеваниями.

Опухоли пародонта. Они могут быть представлены прежде всего многими разновидностями так называемых опухолей мягких тканей, чаще доброкачественных (см. Опухоли). Особенностью их течения, определяемой локализацией, является частое

травмирование, изъязвление с последующей воспалительной реакцией.

Опухолевидные заболевания пародонта. Наиболее частым среди них является эпулис, редко встречается фиброматоз десен.

Эпулис (наддесневик) - собирательное понятие, отражающее различные стадии разрастания ткани в результате хронического раздражения десны, вызванного травмой (искусственная плохо припасованная коронка, пломба, корни разрушенного зуба). Возникающее при этом опухолевидное образование бывает чаще на десне резцов, клыков, реже премоляров, как

854

правило, с вестибулярной поверхности. Оно имеет грибовидную, иногда округлую форму, диаметром от 0,5 до 2 см, реже - более. Эпулис прикреплен ножкой или широким основанием к надальвеолярным тканям. Встречается в возрасте 20-40 лет, чаще у женщин. В период беременности рост их может ускоряться. Цвет эпулисов белесоватый, красноватый, иногда буроватый.

По гистологической структуре выделяют ангиоматозный, фиброматозный, гигантоклеточный (периферическая гигантоклеточная гранулема)

эпулисы. Ангиоматозный эпулис по строению напоминает капиллярную гемангиому (рис.

356), фиброматозный - твердую фиброму. Гигантоклеточный эпулис (периферическая гигантоклеточная гранулема) состоит из соединительной ткани, богатой тонкостенными синусоидного типа сосудами, с большим или меньшим числом гигантских клеток типа остеокластов и мелкими клетками типа остеобластов. Имеются множественные мелкие очаги кровоизлияний, скопления зерен гемосидерина, поэтому макроскопически этот тип эпулиса имеет буроватый вид. В нем могут образовываться островки остеоидной ткани и примитивные костные балочки.

Рис.

356. Ангиоматозный эпулис

Выделяют также центральную гигантоклеточную репаративную гранулему, которая по гистологической структуре подобна периферической гигантоклеточной гранулеме, но

855