Материал: Патан Серов учебник

Внимание! Если размещение файла нарушает Ваши авторские права, то обязательно сообщите нам

Фиброзный пульпит - процесс, при котором большая часть полости зуба выполнена соединительной тканью со значительным количеством коллагеновых волокон, с клеточными инфильтратами из лимфоцитов, плазматических клеток. Со временем клеточных элементов становится меньше, коллагеновые волокна гиалинизируются, имеются дентикли и петрификаты.

Осложнения и исходы. Они зависят от характера воспаления и его распространенности. Серозный пульпит при устранении причины может рассасываться. Гнойный пульпит, особенно его диффузная форма, как правило, заканчивается гибелью пульпы и переходом в хронические формы. Хронические пульпиты заканчиваются атрофическими, склеротическими процессами (см. Реактивные изменения пульпы). Частым осложнением пульпита является периодонтит. Таким образом, гнойный пульпит может стать первым звеном в цепи развития одонтогенной инфекции.

Периодонтит

Периодонтитом называется воспаление периодонта.

Этиология и патогенез. Причиной периодонтита являются инфекция, травма, химические вещества, в том числе и медикаментозные. Значение инфекции в развитии периодонтита очень велико, так как она не только сама вызывает развитие воспаления, но и присоединяется к другим патогенным факторам. Основную роль играют стрептококки, другие представители микробной флоры полости рта имеют меньшее значение. Пути проникновения инфекта разные: внутризубной и внезубной. Внутризубной (нисходящий) путь является наиболее частым, развитию периодонтита предшествует пульпит. Внезубной путь может быть контактным - из окружающих тканей и, реже, восходящим -

лимфогенным или гематогенным.

Патологическая анатомия. По локализации воспаления в периодонте выделяют апикальный (верхушечный) имаргинальный (краевой,

десневой) периодонтит (см. Болезни десен и пародонта). По течению периодонтит может быть острым, хроническим и хроническим с обострением.

Острый апикальный периодонтит может быть серозным и гнойным.

При серозном отмечаются воспалительная гиперемия тканей в области верхушки зуба, отек их с инфильтрацией отдельными нейтрофильными лейкоцитами. Очень быстро серозный экссудат становится гнойным. При этом в результате гнойного расплавления тканей может образоваться острый абсцесс или диффузная гнойная инфильтрацияоколоверхушечной ткани с переходом процесса на лунку зуба, десну и переходную складку. При этом в мягких тканях щеки, переходной складки, неба, регионарных к пораженному зубу, может развиться перифокальное серозное воспаление с выраженным отеком тканей, называемое флюсом

(parulis). Острый

процесс в периодонте может длиться от 2-3 сут до 2 нед и закончиться выздоровлением или переходом в хроническую форму.

846

Хронический апикальный периодонтит бывает трех видов: гранулирующим,

гранулематозным и фиброзным. При гранулирующем периодонтите в области верхушки зуба отмечается образование грануляционной ткани с большей или меньшей инфильтрацией ее нейтрофилами. Может наблюдаться остеокластическое рассасывание компактной пластинки альвеолы, цемента, а иногда дентина корня пораженного зуба. В десне могут образоваться свищевые ходы, через которые периодически выделяется гной.

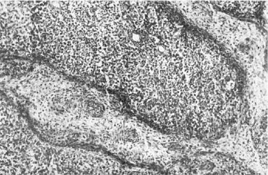
При гранулематозном периодонтите по периферии околоверхушечного скопления грануляционной ткани образуется фиброзная капсула, которая плотно спаяна с тканями, окружающими верхушку зуба. Этот вариант гранулематозного периодонтита носит название простой гранулемы. Среди клеточного пролиферата преобладают фибробласты, макрофаги, встречаются лимфоциты, плазматические, ксантомные клетки, кристаллы холестерина, иногда гигантские клетки типа клеток инородных тел. Костная ткань альвеолярного отростка, соответствующая расположению гранулемы, подвергается резорбции. При обострении воспаления гранулема может нагнаиваться. Наиболее часто встречается второй вариант гранулематозного периодонтита -сложная, или эпителиальная, гранулема (рис. 353). Ее отличие от простой гранулемы заключается в том, что в ней

образуются тяжи многослойного плоского эпителия, пронизывающего грануляционную ткань. Происхождение эпителия в гранулеме связывают с пролиферацией остатков одонтогенного эпителия (островки Малассе). Третий вариант гранулематозного периодонтита - кистогранулема. Морфогенетически она связана с эпителиальной гранулемой и представляет собой полость с эпителиальной выстилкой. Формирование кистогранулемы связывают с нагноением, дистрофическими и некробиотическими процессами в грануляционной ткани. Кистогранулема может

Рис.

353. Хронический периодонтит. Эпителиальная гранулема

847

иметь 0,5-0,8 см в диаметре. Дальнейшая эволюция кистогранулемы ведет к образованию радикулярной кисты челюсти (см. Болезни челюсти).

Фиброзный периодонтит представляет собой исход гранулирующего периодонтита, обусловленного созреванием грануляционной ткани при отсутствии обострения процесса.

Любой из видов хронического верхушечного периодонтита может обостряться и нагнаиваться.

Осложнения и исходы. При тяжелом течении гнойное воспаление в периодонте может распространяться на периост, а затем и на костный мозг альвеолярного отростка. Возникает периостит, возможно развитиеостеомиелита лунки. В процесс могут вовлекаться регионарные лимфатические узлы. Гнойный периодонтит зубов верхней челюсти, проецируемый в верхнечелюстную (гайморову) пазуху, может осложниться развитиемгнойного гайморита.

Болезни десен и пародонта

Для понимания развития заболеваний этой области необходимо знать, что пародонт - это совокупность околозубных тканей: десны, костной альвеолы, периодонта (морфофунациональный комплекс).

По классификации, принятой XVI пленумом Всесоюзного научного общества стоматологов (1983), выделены следующие болезни пародонта: гингивит, пародонтит, зубные отложения, пародонтоз, идиопатический прогрессирующий пародонтолиз, пародонтомы.

Гингивит

Гингивит - воспаление слизистой оболочки десны без нарушения целостности зубодесневого соединения. Он может быть локальным и генерализованным, острым и хроническим.

Этиология и патогенез. Ведущим фактором в развитии гингивита являются микроорганизмы (особенно ассоциации стрептококков) зубного налета. Возникновение локального гингивита (область одного или нескольких зубов) связывают с травмой десны механического, физического или химического характера. Генерализованный гингивит бывает, как правило, при различных заболеваниях инфекционного, обменного и эндокринного генеза у детей и лиц молодого возраста.

Патологическая анатомия. По характеру изменений выделяют следующие формы гингивита: катаральный, язвенный, гипертрофический. По степени вовлечения частей десны в воспалительный процесс различают:легкую, когда поражена только межзубная десна (сосочек), и тяжелую, когда поражен не только сосочек, но и маргинальная и альвеолярная части десны.

Катаральная и язвенная формы гингивита имеют острое и хроническое течение, гипертрофическая - только хроническое, хотя предшествует ему катаральное воспаление. При гипертрофическом хроническом гингивите,

848

помимо массивной инфильтрации ткани десны лимфоцитами и плазматическими клетками, находят содружественное разрастание коллагеновых волокон и клеток покровного эпителия с явлениями гиперкератоза и акантоза. В период обострения, помимо появления в инфильтрате нейтрофильных лейкоцитов, обнаруживают скопления тучных клеток.

Осложнения и исходы. Острый локальный гингивит при устранении вызвавшей его причины может закончиться выздоровлением. Острый генерализованный гингивит при ликвидации заболевания, осложнением которого он является, также обычно исчезает. Хронически текущий катаральный, язвенный и гипертрофический гингивиты нередко являются предстадией пародонтита.

Зубные отложения

Отложения на зубах инородных масс наблюдаются в виде или мягкого белого зубного налета, или плотных известковых масс - зубной камень. В зубном налете, состоящем из нитей слизи, лейкоцитов, остатков пищи и т.д., микробы находят благоприятную почву для своего развития, что способствует возникновению и прогрессированию кариеса. Зубным камнем называют отложения на зубах в участках зубного налета фосфата кальция. Камни образуются чаще всего в области шейки (наддесневые камни) и в десневом кармане(поддесневые камни) с распространением вдоль корня. Различают несколько видов камней в зависимости от их плотности и окраски: белый, бурый, серо-зеленый (самый плотный). Отложение камней может способствовать воспалению десен, развитию периодонтита и пародонтита.

Пародонтит

Пародонтит - воспаление пародонта с последующей деструкцией периодонта, костной ткани зубных перегородок с формированием десневого и пародонтального карманов.

По распространенности процесса различают локальный и генерализованный пародонтит. Локальный пародонтит может быть острым и хроническим, возникает у людей любого возраста. Генерализованный пародонтит протекает хронически, с обострением, встречается у людей старше 30-40 лет, хотя начало его развития приходится на более молодой возраст. В зависимости от глубины сформированного пародонтального кармана выделяют легкую (до 3,5 мм), среднюю (до 5 мм) и тяжелую (более 5 мм) степень пародонтита.

Этиология и патогенез. История изучения причин и механизмов заболеваний пародонта различного генеза, в том числе и воспалительного, насчитывает многие десятилетия. Были созданы теории патогенеза этих заболеваний (сосудистая, неврогенная, аутоиммунная и др.), которые, однако, не раскрыли все стороны их развития. Правильнее, вероятно, говорить о значении в этиологии и патогенезе заболеваний пародонта,

включая и пародонтит, ряда местных и общих факторов. К местным факторам следует отнести: аномалии прикуса и развития зубов (их скученность и дистония), аномалии развития мягких тканей полости рта (мелкое преддверие, короткая уздечка губ, неправильное ее

849

прикрепление и др.). Общие факторы представлены рядом фоновых заболеваний: эндокринной (сахарный диабет, болезнь Иценко-Кушинга, болезни половых органов) и нервной (олигофрения) систем, ревматическими болезнями, заболеваниями пищеварительной (язвенная болезнь, хронический гепатит), сердечно-сосудистой (атеросклероз, гипертоническая болезнь) систем, болезнями обмена веществ, авитаминозами. Сочетание местных и общих факторов создает условия для патогенного воздействия ассоциаций микроорганизмов зубного налета или зубного камня, что определяет развитие гингивита и начальной стадии пародонтита. При этом происходят изменения количества и качества (вязкость, бактерицидность) слюны и ротовой жидкости, от которых зависит образование как зубного налета, так и зубного камня. Безусловное значение в развитии пародонтита имеетмикроангиопатия различного генеза, отражающая характер фонового заболевания (общие факторы), с которой связано нарастание гипоксии, нарушение трофики и регенерации ткани, в том числе и пародонта.

В стадии выраженных изменений деструкция костной ткани пародонта связана с воспалением, при котором образуется много биологически активных веществ.

Это прежде всего лизосомные ферменты полиморфно-ядерных лейкоцитов и медиаторы эффекторных клеток иммунной системы.

В заключение следует отметить, что для локальной формы пародонтита наибольшее значение имеют местные факторы, а для генерализованной - общие факторы, сочетающиеся с местными.

Патологическая анатомия. Процесс начинается с воспаления десны и проявляется хроническим катаральным или гипертрофическим гингивитом. В просвете

десневых борозд наблюдаются значительные накопления рыхлых базофильных масс, образующих над- или поддесневой налет, в котором можно различить скопления микробов, спущенные эпителиальные клетки, аморфный детрит, лейкоциты. Кроме зубного налета находят и зубной камень. Эпителий маргинальной десны с явлениями баллонной дистрофии и некроза плохо регенерирует и замещается ротовым эпителием. В соединительной ткани десны развиваются явления мукоидного, фибриноидного набухания, возникают васкулиты. Воспаление захватывает и альвеолярную часть десны. В результате воспаления десны зубодесневое соединение, а затем и круговая связка зуба разрушаются, формируется зубодесневой карман, микробы и их токсины проникают в периодонтальную

щель, где также начинается воспалительный процесс. Периодонтальная щель расширяется. Уже на ранней стадии пародонтита в костной ткани пародонта обнаруживаются признаки резорбции кости: пазушной, лакунарной и гладкой (рис. 354). Наиболее частый вид рассасывания - лакунарная резорбция кости, которая начинается с области края (гребня) зубных лунок и выражается в появлении остеокластов, распола-

гающихся в лакунах. Это приводит к горизонтальному рассасыванию гребня лунок.

При вертикальном рассасывании остеокласты и очаги рассасывания располагаются по длине межзубной перегородки со стороны пародонта. Одновременно происходит лакунарная

850