Материал: Патан Серов учебник

Внимание! Если размещение файла нарушает Ваши авторские права, то обязательно сообщите нам

Патологическая анатомия. Острый сиалоаденит может быть серозным, гнойным (очаговым или диффузным), редко - гангренозным. Хронический сиалоаденит, как правило, межуточный продуктивный. Особый вид хронического сиалоаденита с выраженной лимфоцитарной инфильтрацией стромы наблюдается при сухом синдроме

Шегрена (см. Болезни желудочнокишечного тракта) и болезни Микулича, при которой в отличие от сухого синдрома артрит отсутствует.

Осложнения и исходы. Острый сиалоаденит заканчивается выздоровлением или переходом в хронический. Исходом хронического сиалоаденита бывает склероз (цирроз) железы с атрофией ацинарных отделов, липоматозом стромы, со снижением или выпадением функции, что особенно опасно при системном поражении желез (синдром Шегрена), так как это ведет к ксеростомии.

Слюннокаменная болезнь

Слюннокаменная болезнь (сиалолитиаз) - заболевание, связанное с образованием в железе, а чаще - в ее протоках конкрементов (камней). Чаще других поражается подчелюстная железа, в околоушной камни образуются редко, почти никогда не поражается подъязычная железа. Заболевают преимущественно мужчины среднего возраста.

Этиология и патогенез. Образование слюнных камней связывают с дискинезией протоков, воспалением их, застоем и ощелачиванием (рН 7,1- 7,4) слюны, увеличением ее вязкости, попаданием в протоки инородных

тел. Эти факторы способствуют выпадению из слюны различных солей (фосфат кальция, карбонат кальция) с кристаллизацией их на органической основе - матрице (спущенные эпителиальные клетки, муцин).

Патологическая анатомия. Камни бывают разной величины (от песчинок до 2 см в диаметре), формы (овальной или продолговатой), цвета (серого, желтоватого), консистенции (мягкие, плотные). При обтурации протока в нем возникает или обостряется воспаление - сиалодохит. Развивается гнойный сиалоаденит. Со временем сиалоаденит становится хроническим с периодическими обострениями.

Осложнения и исходы. При хроническом течении развивается склероз (цирроз) железы.

Кисты желез

Кисты желез очень часто возникают в малых слюнных железах. Причиной их служит травма, воспаление протоков с последующим их склерозом и облитерацией. В связи с этим по своему генезу кисты слюнных желез следует отнести к ретенционным. Величина кист различна. Кисту с мукоидным содержимым называютмукоцеле.

Опухоли

866

Опухоли слюнных желез составляют около 6% всех опухолей, встречающихся у человека, но в стоматологической онкологии они составляют большую долю. Опухоли могут развиваться как в больших (околоушные, подчелюстные, подъязычные), так и в малых слюнных железах слизистой оболочки полости рта: области щек, мягкого и твердого неба, ротоглотки, дна ротовой полости, языка, губ. Чаще всего встречаются опухоли слюнных желез эпителиального генеза. В Международной классификации опухолей слюнных желез (ВОЗ) эпителиальные опухоли представлены следующими формами: I. Аденомы: плеоморфная; мономорфная (оксифильная; аденолимфома, другие типы). II. Муко-эпидермоидная опухоль. III. Ациноклеточная опухоль. IV. Карцинома: аденокистозная, аденокарцинома, эпидермоидная, недифференцированная, карцинома в полиморфной аденоме (злокачественная смешанная опухоль).

Плеоморфная аденома - самая частая эпителиальная опухоль слюнных желез, составляющая более 50% опухолей этой локализации. Почти в 90% случаев она локализуется в околоушной железе. Опухоль встречается чаще у людей старше 40 лет, но может наблюдаться в любом возрасте. У женщин она бывает в 2 раза чаще, чем у мужчин. Растет опухоль медленно (10-15 лет). Опухоль представляет собой узел округлой или овальной формы, иногда бугристой, плотноватой или эластической консистенции, размером до 5-6 см. Опухоль окружена тонкой капсулой. На разрезе ткань опухоли белесоватая, часто ослизненная, с мелкими кистами.Гистологически опухоль чрезвычайно разнообразна, за что и получила название плеоморфной аденомы. Эпителиальные образования имеют структуру протоков, солидных полей, отдельных гнезд, анастомо-

зирующих между собой тяжей, построенных из клеток округлой, полигональной, кубической, иногда цилиндрической, формы. Часты скопления клеток миоэпителия вытянутой веретенообразной формы со светлой цитоплазмой. Кроме эпителиальных структур характерно наличие очагов и полей мукоидного, миксоидного и хондроидного вещества (рис. 362), которое является продуктом секреции миоэпителиальных клеток, подвергшихся опухолевой трансформации. В опухоли могут встречаться очаги гиалиноза стромы, в эпителиальных участках - ороговение.

Мономорфная аденома - редкая доброкачественная опухоль слюнных желез (1-3%). Локализуется чаще в околоушной железе. Растет медленно, имеет вид инкапсулированного узла округлой формы, диаметром 1-2 см, мягкой или плотноватой консистенции, беловаторозоватого или в некоторых случаях коричневатого цвета.Гистологически выделяют аденомы тубулярного, трабекулярного строения, базально-клеточный исветлоклеточный типы, папиллярную цистаденому. В пределах одной опухоли строение их однотипно, строма развита слабо.

Оксифильная аденома (онкоцитома) построена из крупных эозинофильных клеток с мелкой зернистостью цитоплазмы.

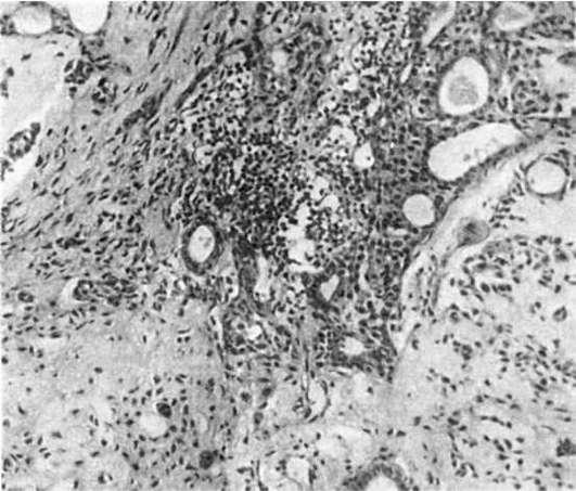
Аденолимфоме среди мономорфных аденом принадлежит особое место. Это относительно редкая опухоль, встречается почти исключительно в околоушных железах и преимущественно у мужчин пожилого возраста. Она представляет собой четко отграниченный узел, до 5 см в

867

диаметре, серовато-белого цвета, дольчатого строения, с множеством мелких или крупных кист. Гистологическое строение характерно: призматический эпителий с резко эозинофильной цитоплазмой располагается в два ряда, формирует сосочковые выросты и выстилает образованные полости. Строма обильно инфильтрирована лимфоцитами, формирующими фолликулы.

Мукоэпидермоидная опухоль - новообразование, характеризующееся двойной дифференцировкой клеток - в эпидермоидные и слизеобра-

Рис.

362. Плеоморфная аденома

зующие. Встречается в любом возрасте, несколько чаще - у женщин, преимущественно в околоушной железе, реже - в других железах. Опухоль не всегда четко отграничена, иногда округлой или неправильной формы, может состоять из нескольких узлов. Цвет ее сероватобелый или серовато-розовый, консистенция плотная, довольно часто обнаруживаются кисты со слизистым содержимым. Гистологически находят различное сочетание клеток эпидермоидного типа, образующих солидные структуры и тяжи из слизеобразующих клеток, которые могут выстилать полости, содержащие слизь. Ороговение не наблюдается, строма хорошо выражена. Иногда имеются мелкие и темные клетки промежуточного типа, способные дифференцироваться в разных направлениях, и поля светлых клеток. Преобладание клеток промежуточного типа, утрата способности к слизеобразованию - показатель низкой дифференцировки опухоли. Такая опухоль может иметь выраженный инвазивный рост и давать метастазы. Признаки злокачественности в виде гиперхромности ядер, полиморфизма

868

и атипизма клеток встречаются редко. Такую опухоль некоторые исследователи называют мукоэпидермоидным раком.

Ациноклеточная опухоль (ацинозно-клеточная) - довольно редкая опухоль, которая может развиваться в любом возрасте и иметь любую локализацию. Клетки опухоли напоминают серозные (ацинарные) клетки слюнных желез, в связи с чем эта опухоль и получила свое название. Цитоплазма их базофильная, мелкозернистая, иногда светлая. Ациноклеточные опухоли часто хорошо отграничены, но могут иметь и выраженный инвазивный рост. Характерно образование солидных полей. Особенностью опухоли является способность к метастазированию при отсутствии морфологических признаков злокачественности.

Карцинома (рак) слюнных желез разнообразна. Первое место среди злокачественных эпителиальных опухолей слюнных желез принадлежит аденокистозной карциноме, которая составляет 10-20% всех эпителиальных новообразований слюнных желез. Опухоль встречается во всех железах, но особенно часто - в малых железах твердого и мягкого неба. Наблюдается чаще в возрасте 40-60 лет как у мужчин, так и у женщин. Опухоль состоит из плотного узла небольшого размера, сероватого цвета, без четкой границы. Гистологическая картина характерна: мелкие, кубической формы с

гиперхромным ядром клетки формируют альвеолы, анастомозирующие трабекулы, солидные и характерные решетчатые (криброзные) структуры. Между клетками накапливается базофильное или оксифильное вещество, образующее столбики и цилиндры, в связи с чем раньше эта опухоль называлась цилиндромой. Рост опухоли инвазивный, с характерным обрастанием нервных стволиков; метастазирует преимущественно гематогенным путем в легкие и кости.

Остальные виды карцином встречаются в слюнных железах значительно реже. Гистологические варианты их разнообразны и аналогичны аденокарциномам других органов. Недифференцированные карциномы имеют быстрый рост, дают лимфогенные и гематогенные метастазы.

Опухолеподобные заболевания

Опухолеподобными заболеваниями слюнных желез считают лимфоэпителиальные поражения, сиалоз и онкоцитоз у взрослых. Встречаются они редко.

Болезни губ, языка, мягких тканей полости рта

Заболевания этих органов имеют разное происхождение: одни - врожденные, другие - приобретенные, иногда приобретенные заболевания развиваются на фоне аномалий развития. В основе заболеваний могут лежать различные патологические процессы:

дистрофические, воспалительные, опухолевые.

Эту группу заболеваний составляют хейлит, глоссит, стоматит, предопухолевые изменения и опухоли.

869

Хейлит

Хейлит - воспаление губ. Нижняя губа поражается чаще верхней. Хейлит может быть самостоятельным заболеванием или сочетаться с поражением языка и слизистой оболочки полости рта. По характеру теченияразличают острый и хронический хейлит, а также хронический хейлит с обострением. Выделяют следующиеклинико-морфологические формы хейлита: эксфолиативный, гландулярный, контактный, метеорологический, актинический и хейлит Манганотти.

При эксфолиативном хейлите поражается только красная кайма губ, характеризуется повышенной десквамацией эпителия. Протекает хронически. Может присоединиться острая экссудативная реакция, тогда появляются гиперемия, отек губ, образуются наложения в виде корок. Гландулярный хейлит характеризуется врожденной гипертрофией и гетеротопией мелких слюнных желез и их инфицированием. Контактный (аллергический)

хейлит возникает при контакте красной каймы губ с самыми разнообразными веществами, выступающими в роли аллергенов. Возникает иммунное воспаление, отражающее реакцию гиперчувствительности замедленного типа (см. Иммунопатологические процессы).

Метеорологический и актинический хейлиты возникают как воспалительная реакция на холод, повышенную влажность воздуха, ветер, ультрафиолетовые лучи. Хейлит Манганотти заслуживает особого внимания. Он встречается у мужчин старше 50 лет и характеризуется поражением только нижней губы. Проявляется эрозиями в центре губы на ярко гиперемированном фоне с образованием кровянистых корок. Поэтому хейлит Манганотти называют абразивным. Он является предраковым заболеванием.

Глоссит

Глоссит - воспаление языка. Встречается часто. Глоссит, так же как и хейлит, может быть самостоятельным заболеванием или сочетаться с

поражением слизистой оболочки полости рта. По характеру течения он может быть острым, хроническим, а также хроническим с обострением. Среди клинико-анатомических форм глоссита выделяют десквамативный, или эксфолиативный («географический язык»), и ромбовидный.

Десквамативный (эксфолиативный) глоссит встречается часто, иногда имеет семейный характер. Характерна выраженная десквамация эпителия со сменой очертаний очагов десквамации и восстановления эпителия(«географический язык»). Нередко может сочетаться со складчатым языком.

Ромбовидный глоссит - хронический, характеризуется частичным или полным отсутствием сосочков с папилломатозными разрастаниями на ограниченном участке языка, имеющем форму ромба или овала; причем этот участок располагается по средней линии спинки языка впереди желобовидных сосочков («срединный индуративный глоссит»). Причина

870