Материал: Патан Серов учебник

Внимание! Если размещение файла нарушает Ваши авторские права, то обязательно сообщите нам

фиброза гибели кониофагов с последующей стимуляцией фибробластов продуктами распада макрофагов.

Патологическая анатомия. В слизистой оболочке и в подслизистом слое носовых раковин, гортани, трахеи обнаруживаются атрофия и склероз. Легкие при силикозе увеличены в объеме, плотные вследствие распространенного склероза и резко повышенного содержания двуокиси кремния (в сухом остатке здоровых легких оно составляет 0,04-0,73%, при силикозе - 4,7-12,35%). В легких силикоз проявляется в виде двух основных форм: узелковой и диффузно-склеротической (или интерстициальной).

При узелковой форме в легких находят значительное число силикотических узелков и узлов (рис. 338), представляющих собой милиарные и более крупные склеротические участки округлой, овальной или неправильной формы, серого или серо-черного цвета. При тяжелом силикозе узелки сливаются в крупные силикотические узлы, занимающие большую часть доли или даже целую долю. В таких случаях говорят обопухолевидной форме силикоза легких (рис. 339). Узелковая форма возникает при высоком содержании в пыли свободной двуокиси кремния и при длительном воздействии пыли.

При диффузно-склеротической форме типичные силикотические узелки в легких отсутствуют или их очень мало, они часто обнаруживаются в бифуркационных лимфатических узлах. Эта форма наблюдается при вдыхании промышленной пыли с малым содержанием свободной двуокиси

кремния. В последние годы в связи с применением различных мер профилактики силикоза чаще встречается диффузно-склеретическая форма силикоза. При этой форме в легких видны

816

многочисленные тонкие тяжи соединительной ткани и склероз вокруг бронхов и сосудов. Соединительная ткань разрастается в альвеолярных перегородках, перибронхиально и периваскулярно. Развиваются распространенная эмфизема, деформация бронхов, сужение и расширение их просвета (бронхоэктазы), различные формы бронхиолита, бронхита (чаще катарально-десквамативного, реже - гнойного). Иногда находят смешанную форму силикоза легких.

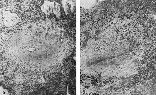
Силикотические узелки могут быть типичными и нетипичными.

Строение типичных силикотических узелков двоякое: одни образованы из концентрически располагающихся гиалинизированных пучков соединительной ткани и имеют поэтому округлую форму, другие не имеют округлой формы и состоят из пучков соединительной ткани, вихреобразно идущих в различных направлениях (рис. 340). Нетипичные силикотические узелки имеют неправильные очертания, в них отсутствует концентрическое и вихреобразное расположение пучков соединительной ткани. Во всех узелках много частиц пыли, лежащих свободно или в макрофагах, которых называют пылевыми клетками, или кониофагами (рис.

341).

Силикотические узелки развиваются в просветах альвеол и альвеолярных ходов, а также на месте лимфатических сосудов. Альвеолярные

Рис.

340. Типичные силикотические узелки:

а - узелок с концентрическим расположением коллагеновых пучков; б - узелок с вихреобразным расположением пучков

гистиоциты фагоцитируют частицы пыли и превращаются в кониофаги. При длительном и сильном запылении не все пылевые клетки удаляются, поэтому в просветах альвеол и альвеолярных ходах образуются их скопления. Между клетками появляются коллагеновые волокна, образуется клеточно-фиброзный узелок.Постепенно пылевые клетки гибнут, количество же волокон увеличивается - образуется типичный фиброзный

817

узелок. Аналогичным образом строится силикотический узелок и на месте лимфатического сосуда.

При силикозе в центре крупных силикотических узлов происходит распад соединительной ткани с образованиемсиликотических каверн. Распад происходит вследствие изменений в кровеносных сосудах и нервном аппарате легких, а также в результате нестойкости соединитель-

Рис. 341. Силикоз. Альвеолярный макрофаг (кониофаг); конгломераты и отдельные частицы кристаллов кварца (Кв) в цитоплазме макрофага; Я - ядро; М - митохондрия; Лз - лизосома. Электронограмма. х25 000 (по Поликару)

ной ткани силикотических узелков и узлов, по биохимическому составу отличающейся от нормальной соединительной ткани. Силикотическая соединительная ткань менее устойчива к воздействию коллагеназы по сравнению с нормальной.

В лимфатических узлах (бифуркационных, прикорневых, реже в околотрахеальных, шейных, надключичных) обнаруживают много кварцевой пыли, распространенный склероз и

818

силикотические узелки. Редко силикотические узелки встречаются в селезенке, печени, костном мозге. Правая половина сердца часто гипертрофирована, вплоть до развития типичного легочного сердца.

К силикозу часто присоединяется туберкулез. Тогда говорят о силикотуберкулезе, при котором, помимо силикотических узелков и туберкулезных изменений, находят так называемые силикотуберкулезные очаги.

Течение силикоза хроническое. Его подразделяют на три стадии (силикоз I, II, III). Редко встречается «острый» силикоз, характеризующийся развитием заболевания и наступлением смерти спустя короткий срок (1-2 года). Этот силикоз развивается при очень высоком содержании в пыли свободной двуокиси кремния. Поздним силикозом называют заболевание, выявляющееся у рабочих спустя несколько лет после оставления ими профессии, связанной с воздействием пыли.

Силикатозы

Силикатозы - пневмокониозы, вызываемые пылью, которая содержит не свободную двуокись кремния, а силикаты (в них она находится в связанном состоянии с другими элементами - магнием, алюминием, железом и др.). Силикаты широко распространены в природе и имеют разнообразное применение в промышленности.

Среди силикатозов выделяют асбестоз, талькоз, каолиноз, цементоз, слюдяной пневмокониоз и др. Наибольшее значение имеют асбестоз, талькоз и слюдяной пневмокониоз.

Асбестоз

Асбестоз - пневмокониоз, развивающийся при длительном контакте с асбестовой пылью. Течение заболевания хроническое с прогрессирующей одышкой, кашлем, легочно-сердечной недостаточностью.

Асбест (горный лен) - минерал волокнистого строения. По химическому составу это водный силикат магния (3Mgх2SiO2х2Н2О). Волокна асбеста имеют длину 2-5 и даже 125-150 мкм, толщина их 10-60 мкм. Асбест находит широкое применение в промышленности.

Патологическая анатомия. При вскрытии постоянной находкой являются катаральнодесквамативныи, реже - гнойный бронхит, бронхо- и бронхиолоэктазы с гиперплазией слизистых желез, дистрофическими изменениями в хрящах и их кальцинозом. Поражение бронхов при асбестозе, по-видимому, связано с формой частиц асбеста, длинные острые пылинки которого, застревая в просвете бронхов и бронхиол, постоянно

травмируют и раздражают их слизистую оболочку. В грудной полости обнаруживаются распространенныеплевральные спайки, плевра значительно утолщена. Легкие уплотнены вследствие разрастания соединительной ткани в межальвеолярных перегородках, между дольками, вокруг бронхов и сосудов. В отличие от силикоза при асбестозе не образуется четко очерченных склеротических узелков и узлов. В разросшейся соединительной ткани

819

находят значительные скопления пыли и небольшие инфильтраты из гистиоцитов, лимфоидных клеток. Характерно наличие асбестовых телец, представляющих собой светлоили темно-желтые образования длиной 15-150 нм, толщиной 1-5 нм, с булавовидными концами, состоящие как бы из отдельных сегментов; форма и величина их различны (рис. 342). В тяжелых случаях межуточный склероз достигает резкой степени, просветы альвеол становятся едва заметными или их совсем не видно.

Лимфатические узлы бифуркации трахеи, прикорневые немного увеличены, плотны, в них содержится много пыли. Отмечается гиперплазия клеток ретикулоэндотелия, очаговый или диффузный склероз, но без развития узелков. На пальцах рук и ног, ладонях, подошвах, реже на голени часто появляются так называемыеасбестовые бородавки, характеризующиеся резким гиперкератозом и акантозом. В роговых массах бородавок обнаруживают волокна - кристаллы асбеста, в шиповатом и базальном слоях находят клетки с фигурами деления и гигантские многоядерные клетки инородных тел.

Смерть при асбестозе наступает от присоединившейся пневмонии, легочно-сердечной недостаточности вследствие эмфиземы и туберкулеза. При сочетании асбестоза с туберкулезом говорят об асбесто-туберкулезе. У умерших от асбестоза часто встречаются мезотелиома и рак легких.

Рис.

342. Асбестовые тельца в легком: а, б - различные формы телец

Талькоз

Талькоз - пневмокониоз, вызываемый тальком. Течение заболевания хроническое.

Тальк - магнезиальный силикат (3MgOх4SiO2хН2О), содержащий 29,8-63,5% двуокиси кремния; в воде не растворяется. Тальк применяют в резиновой, керамической, бумажной, текстильной, парфюмерной, лакокрасочной промышленности.

820