Материал: Патан Серов учебник

Внимание! Если размещение файла нарушает Ваши авторские права, то обязательно сообщите нам

Рис.

цитоплазме; расширение канальцев эндоплазматической сети (ЭС). Я - ядро макрофага. х14 000 (по Поликару)

При диффузном антракотическом пневмосклерозе значительные участки легких оказываются безвоздушными, плотными, серо-черного, аспидного цвета, в связи с чем изменения получили название аспидной, илиантракотической, индурации легких.

При антракозе развиваются хронический бронхит и рецидивирующая очаговая пневмония. Обычно выражена эмфизема. Вследствие расстройств кровообращения и непосредственного воздействия значительного количества угольной пыли легочная ткань может подвергаться омертвению и размягчению с образованием каверн неправильной или округлой формы, с крошащимися черными стенками и крошковатым черным содержимым. Эти формы антракоза,

826

сопровождающиеся кровохарканьем и напоминающие легочный туберкулез, называют черной чахоткой.

Лимфатические узлы при резком антракозе спаиваются со стенкой трахеи или бронхов, при этом возможен прорыв угольных масс в просвет бронхиального дерева с последующей аспирацией в легкие и развитием пневмонии, абсцесса и гангрены легких. При значительном пневмосклерозе и эмфиземе легких наблюдаетсягипертрофия правого сердца.

Пневмокониозы от смешанной пыли

В эту группу входят антракосиликоз, сидеросиликоз, сидеросиликатоз, пневмокониоз электросварщиков и др.

Наибольшее значение среди них имеет антракосиликоз, или силикоантракоз (см. Антракоз).

Пневмокониозы от органической пыли

Среди органической пыли велико значение различных бактерий и грибов (особенно спор термофильных актиномицет), пыли, содержащей антигены животного и растительного происхождения, медикаментозных препаратов. Пневмокониозы встречаются у людей, занятых в сельском хозяйстве («легкое фермера»), птицеводстве («легкое птицевода»), животноводстве, а также хлопкообрабатывающей, текстильной (биссиноз - от греч. byssos - лен) и фармацевтической промышленности.

Патогенез. В развитии бронхиальных и легочных изменений при пневмокониозах от органической пыли большое значение имеют аллергические и иммунопатологические процессы. Это - атопические реакции и реакции немедленной анафилаксии, характерные для бронхиальной астмы, а таже иммунокомплексные реакции с поражением микроциркуляторного русла легких и развитием пневмонита.

Патологическая анатомия. «Легкое фермера», как и «легкое птицевода», имеет в своей основе морфологиюэкзогенного аллергического альвеолита (см. главу Интерстициальные болезни легких). Для биссиноза характерны хронический обструктивный бронхит и бронхиальная астма (см. Хронические неспецифические заболевания легких).

Профессиональные болезни, вызываемые воздействием физических факторов

Среди этих заболеваний наибольший клинический интерес представляют: кессонная (декомпрессионная) болезнь, болезни вследствие воздействия производственного шума (шумовая болезнь), вибраций (вибрационная болезнь), болезни вследствие воздействия электромагнитных волн радиочастот, а также ионизирующих излучений (лучевая болезнь).

Кессонная (декомпрессионная) болезнь

Кессонная болезнь возникает при быстром переходе от повышенного давления к нормальному. Она встречается у работающих в кессонах при постройке мостов, плотин,

827

доков, тоннелей и др. Под влиянием повышенного давления в кессоне азот вдыхаемого воздуха избыточно поглощается тканями и кровью. При быстром переходе в атмосферу с нормальным давлением (декомпрессия) освобождающийся из тканей азот не успевает выделиться через легкие и скапливается в тканях, кровеносных и лимфатических сосудах в виде пузырьков, закупоривающих просвет сосудов (декомпрессионная болезнь). Это вызывает расстройства кровообращения и питания тканей. Смерть может наступить тотчас же, спустя несколько часов или нескольких (1-20) дней после выхода из кессонной камеры.

Патологическая анатомия. При быстром наступлении смерти часто отмечают сильно выраженное трупное окоченение. При надавливании на кожу наблюдается крепитация вследствие скопления в подкожной клетчатке газа и развития эмфиземы, иногда охватывающей лицо. Местами

кожа в результате неравномерного распределения крови в сосудах имеет мраморный вид. В связи с возникающей асфиксией кровь у большинства умерших остается жидкой. Крепитация обнаруживается во многих органах. При микроскопическом исследовании газовые пузырьки находят в расширенных полостях правого сердца и венечных сосудах, нижней полой вене, сосудах легких, головного и спинного мозга, их оболочек, сосудах печени, селезенки, тонкой кишки. Они хорошо заметны в больших кровеносных сосудах, особенно венах: кровь в сосудах приобретает пенистый вид. Отмечается выраженная анемия тканей и органов.

В легких находят отек, кровоизлияния, межуточную эмфизему. Полости сердца немного расширены. В печенинаблюдаются явления жировой дистрофии. В головном и спинном мозге расстройства крово-и лимфообращения ведут к дистрофическим изменениям в нервных клетках и появлению ишемических очагов размягчения мозговой ткани с последующим развитием в этих участках кист. Следствием изменений в спинном мозге, пареза органов малого таза могут быть гнойный цистит и восходящий гнойный пиелонефрит.

При длительном воздействии повышенного атмосферного давления в связи с возникающими нарушениями кровообращения в длинных трубчатых костях, преимущественно нижних конечностей, обнаруживают очаги разрежения, окруженные зоной склероза, а также очаги асептического некроза костной ткани, иногда со вторичным остеомиелитом. В суставах происходит атрофия хряща с развитием деформирующего остеоартроза, артрита.

Болезни вследствие воздействия производственного шума (шумовая болезнь)

Под влиянием производственного шума у рабочих ряда профессий (котельщики, клепальщики и др.) появляются стойкие морфологические изменения в органе слуха. Они являются основой так называемой шумовой болезни.

Патологическая анатомия. В периферическом отделе нерва улитки (n.

cochlears) отмечаются дистрофические изменения, аналогичные наблюдаемым при воздействии различных токсических веществ. Изменения находят в нервных клетках спирального узла, а также в миелиновых нервных волокнах, которые представляют собой

828

периферические отростки биполярных клеток спирального узла, направляющихся к кортиеву органу.

При сильной степени глухоты наблюдается атрофия спирального (кортиева) органа во всех завитках улитки; на его месте появляется плоский тяж из клеток кубической формы, с которым сливается вестибулярная перепонка. Сохраненные нервные волокна находят в верхних завитках улитки, частично или полностью атрофированные - в среднем и основном ее завитках. В связи с этим возникают атрофические изменения в спиральном узле, где сохраняются лишь отдельные нервные клетки. Изменения в слуховом нерве и концевом аппарате вестибулярного нерва

при этом могут отсутствовать. В суставах слуховых косточек возникает тугоподвижность. При действии сверхмощных шумов и звуков происходят повреждение и гибель кортиева органа, разрыв барабанных перепонок, сопровождающийся кровотечением из ушей.

Болезни вследствие воздействия вибраций (вибрационная болезнь)

Вибрационная болезнь встречается у рабочих, имеющих дело с вибрационной техникой. К ней относятся пневматические молотки для бурения и отбойки руды и угля, для чеканки и отрубки металлических изделий, а также установки для шлифовки и полировки металлических и деревянных изделий, установки для уплотнения бетона, асфальтового покрытия дорог, для забивания свай и др.

В основе вибрационной болезни лежит своеобразный вибрационный ангиотрофоневроз, одним из основных симптомов которого является спазм не только мелких, но и более крупных кровеносных сосудов. Помимо спазма сосудов, иногда наблюдается их атония.

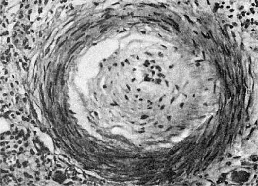
Патологическая анатомия. На основании исследования биоптатов, взятых у лиц, работающих с клепальными молотками, установлено, что на почве спазма в сосудах появляются изменения типа облитерирующего эндартериита (рис. 347). В связи с наличием изменений сосудов появляются трофические изменения в коже и ногтях, развивается гангрена пальцев, ступней. Длительное давление на мышцы инструментов, изменения в спинном мозге и в соответствующих периферических нервах ведут к атрофии мышц предплечья, надлопаточной области, дельтовидной и ромбовидной мышц. В костносуставном аппарате - локтевом и плечевом суставах, костях кисти - обнаруживают повреждение сухожилий, мышц,

829

Рис.

347. Вибрационная болезнь. Изменения сосуда типа облитерирующего эндартериита

суставных капсул, хрящей, суставных концов и прилежащих участков костей с отложением в сухожилиях солей кальция и образованием костной ткани. В костях наблюдаются кистозные очаги разрежения, очаги склероза, также с отложением в них солей кальция. Они чаще располагаются в головках костей запястья и в дистальных эпифизах лучевой и локтевой костей. В костях запястья очаги склероза и кисты чаще локализуются в полулунной, головчатой и ладьевидной костях. При наличии кист может произойти патологический перелом кости. Возможно развитие деформирующего артроза.

Костно-суставные изменения обусловлены нарушением дисперсности тканевых коллоидов, т.е. изменением физико-химических свойств тканей, в результате чего костная ткань теряет способность связывать соли кальция.

Болезни вследствие воздействия электромагнитных волн радиочастот

За последние десятилетия во многих отраслях промышленности широко применяются различные диапазоны электромагнитных волн радиочастот (ЭМВ). Они занимают участок электромагнитного спектра с длиной волны от нескольких миллиметров до десятков тысяч метров. Чем выше частота колебаний, тем короче длина волны. Следовательно, термины «ультракороткие волны» (УКВ) и «волны ультравысоких частот» (УВЧ) равнозначны. Наиболее коротковолновую часть электромагнитного спектра составляют сверхвысокочастотные волны (СВЧ), которые называются также микроволнами (МКВ) и охватывают диапазон от 1 мм до 1 м. К нему непосредственно примыкают УКВ - УВЧ, которые имеют длину волны от 1 до 10 м, а затем следуют KB - ВЧ, которые имеют длину волны от 10 до 1000 м и более.

830