Материал: Патан Серов учебник

Внимание! Если размещение файла нарушает Ваши авторские права, то обязательно сообщите нам

Опухоли у детей, развивающиеся по типу опухолей у взрослых

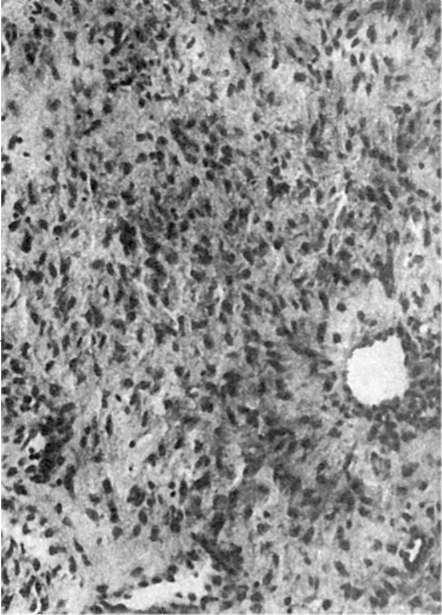
Преобладающими опухолями у детей являются опухоли ЦНС - астроцитомы и опухоли кроветворной ткани(лейкозы, злокачественные лимфомы). Из доброкачественных опухолей мягких тканей следует отметитьюношескую ангиофиброму носоглотки. Встречается в возрасте 8-18 лет. Имеет плотную консистенцию и вид полипозных разрастаний, покрытых слизистой оболочкой, локализуется в носоглотке, растет очень быстро, заполняет полость носа, прорастает кости лицевого скелета, основания черепа. Часто изъязвляется, кровоточит, инфицируется. Микроскопически является фибромой с наличием сочных фибробластов и большого числа тонкостенных сосудов (рис. 336). Радикально удалить опухоль трудно, после операции она часто рецидивирует. Иногда после полового созревания подвергается реверсии. Хотя структура опухоли доброкачественная и метастазов не наблюдается, клиническое течение и прогноз неблагоприятные.

Частыми опухолями у детей являются опухоли костей: доброкачественные -

остеомы и хондромы, остеобластокластомы и злокачественные - остеосаркомы, саркомы Юинга. Доброкачественные хондромы, или так называемые хрящевые экзостозы, часто встречаются у детей школьного возраста в области конечностей. Остеосаркомы (включая саркому Юинга) составляют 18% всех сарком у детей; хондросаркомы у детей встречаются редко. В половине случаев остеосаркомы локализуются в нижнем метафизе бедра, встречаются у детей преимущественно 11-14 лет. Обладают очень быстрым прогрессирующим ростом и широко метастазируют.

811

Рис. 336. Юношеская

ПРОФЕССИОНАЛЬНЫЕ БОЛЕЗНИ 1

К профессиональным относят болезни, развивающиеся в результате воздействия на организм патогенных факторов производственной среды в условиях трудовой деятельности человека.

Этиология и классификация. Единой классификации профессиональных болезней нет. Наиболее принята классификация, в основу которой положен этиологический принцип. Руководствуясь им, выделяют 5 групп профессиональных заболеваний, вызываемых воздействием: 1) химических производственных факторов; 2) промышленной пыли; 3) физических факторов; 4) перенапряжения; 5) биологических факторов.

812

Патогенез. Среди механизмов развития профессиональных заболеваний наряду со специфическими,обусловленными особенностями действия патогенного

профессионального фактора, имеют место инеспецифические. В современных условиях особенности патогенеза профессиональных заболеваний могут определяться комплексным воздействием различных факторов: химических, пылевых,

вибрации, измененными микроклиматическими условиями и т.д. Следует также отметить, что многие профессиональные факторы обладают различными отдаленными эффектами действия. Об онкогенном эффекте можно говорить при асбестозе, когда нередко возникают мезотелиома плевры и рак легких, при бериллиозе, когда развивается рак легких. Длительное воздействие никеля, хрома и цинка может вызвать в отдаленном периоде злокачественную опухоль в месте соприкосновения с ними и в различных органах. Некоторые профессиональные факторы обладают гонадотропным эффектом, вызывают атрофию яичек и яичников - никель, сурьма, марганец, электромагнитные волны (ЭМВ) радиочастот, ионизирующие излучения. В отдаленном периоде многие виды профессиональных факторов могут оказывать не только гонадотропный, но и мутагенный и эмбриотропный эффекты (выкидыши, пороки развития и др.).

Профессиональные болезни, вызываемые воздействием химических производственных факторов

Эта группа заболеваний широка и многообразна. Она представлена острыми и хроническими интоксикациями, а также их последствиями,

1 В обновлении этого раздела приняли участие проф. М.С. Толгская и проф. Н.Н. Шаталов, которым авторы приносят большую благодарность.

протекающими с поражением различных органов и систем; болезнями кожи (контактный дерматит, онихии и паронихии, меланодермия и др.); литейной или фторопластовой (тефлоновой) лихорадкой.

Этиология. Существует большое число ядовитых веществ, которые применяются в промышленности и могут быть причиной отравлений и заболеваний острого и хронического характера. К таким веществам относятся свинец, тетраэтилсвинец, марганец, нитрогазы, или окислы азота, мышьяк и его соединения, мышьяковистый водород, фосфор и его соединения, синильная кислота, дихлорэтан, четыреххлористый углерод, бензол. В сельском хозяйстве широко используются инсектициды и пестициды, которые также могут быть источниками интоксикации. Особенно опасны для человека фосфорорганические инсектициды (тиофос и др.).

Патологическая анатомия. Изменения при отравлениях химическими промышленными ядами разнообразны. Они подробно описаны в учебниках токсикологии, судебной медицины, дерматологии. Однако необходимо отметить, что каждая группа химических веществ при выраженной интоксикации имеет свои особенности в патологоанатомической картине, характерные только для данной интоксикации, т.е. при воздействии каждой группы химических веществ имеется своя преимущественная локализация процесса, свои органымишени. Так, при интоксикации хлорированными углеводородами поражается главным

813

образом печень, при интоксикации веществами, имеющими в своей структуре бензольное кольцо, - кроветворные органы, при интоксикации наркотиками - нервная система и печень, при интоксикации ртутью и ее производными - нервная система и почки.

Профессиональные болезни, вызываемые воздействием промышленной пыли (пневмокониозы)

Пневмокониозы (от лат. pneumon - легкие, conia - пыль) - пылевые болезни легких. Термин «пневмокониоз» предложил в 1867 г. Ценкер.

Промышленной пылью называют образующиеся при производственном процессе мельчайшие частицы твердого вещества, которые, поступая в воздух, находятся в нем во взвешенном состоянии в течение более или менее длительного времени.

Различают неорганическую и органическую пыль. К неорганической пыли относят кварцевую (на 97-99% состоящую из свободной двуокиси кремния - SiO2), силикатную, металлическую, к органической - растительную (мучная, древесная, хлопковая, табачная и др.) и животную (шерстяная, меховая, волосяная и др.). Встречаются смешанная пыль, например, содержащая в различном соотношении каменноугольную, кварцевую и силикатную пыль, или пыль железной руды, состоящая из железной и кварцевой пыли. Частицы промышленной пыли подразделяют на видимые (более 10 мкм в поперечнике), микроскопические (от 0,25 до 10 мкм) и ультрамикроскопические (менее 0,25 мкм), обнаруживаемые с помощью электронного микроскопа.

Наибольшую опасность представляют частицы размером менее 5 мкм, проникающие в глубокие отделы легочной паренхимы. Большое значение имеют форма, консистенция пылевых частиц и их растворимость в тканевых жидкостях. Пылевые частицы с острыми зазубренными краями травмируют слизистую оболочку дыхательных путей. Волокнистые пылинки животного и растительного происхождения вызывают хронический ринит, ларингит, трахеит, бронхит, пневмонию, пневмонит. При растворении частиц пыли возникают химические соединения, оказывающие раздражающее, токсическое и гистопатогенное влияние и обладающие способностью вызывать в легких развитие соединительной ткани, т.е. пневмосклероз.

Классификация. Среди пневмокониозов различают силикоз, силикатозы, металлокониозы, карбокониозы, пневмокониозы от смешанной пыли, пневмокониозы от органической пыли.

Силикоз

Силикоз (от лат. silicium - кремний), или халикоз (от греч. chalix - известковый камень), вызывается длительным вдыханием пыли, содержащей свободную двуокись кремния - SiO2 (рис. 337).

814

Патогенез. В настоящее время развитие силикоза связывают с химическими, физическими и иммунными процессами, возникающими при взаимодействии пылевой частицы с тканями. При этом не исключается значение механического фактора.

Согласно токсико-химической теории, кристаллическая двуокись кремния в тканевых жидкостях медленно растворяется с образованием коллоидного раствора кремниевой кислоты (H2SiO3), которая повреждает ткань и вызывает фиброзный процесс. Однако эта теория не может объ-

Рис.

337. Силикоз. Частицы кварцевой пыли. Электронограмма: а - х10 000; б - х20 000

яснить сложный механизм развития соединительной ткани при силикозе. Физико-химические теориипозволяют объяснить механизм действия частиц кварца нарушением строения его кристаллической решетки, вследствие чего создаются благоприятные условия для активной химической реакции между частицей кварца и окружающей тканью. При медленном растворении частиц кварца образуется кремниевая кислота высокой степени полимеризации, обладающая токсическими свойствами и вызывающая развитие соединительной ткани, причем эта кислота, подобно гликозаминогликанам, принимает участие в построении коллагеновых волокон. Согласно иммунологической теории, при воздействии двуокиси кремния на ткани и клетки, при их распаде появляются аутоантигены, что ведет к аутоиммунизации. Возникающий при взаимодействии антигена и антител иммунный

комплекс оказывает патогенное влияние на соединительную ткань легких, в результате чего образуется силикотическии узелок. Однако специфических антител при силикозе не обнаружено.

Установлено, что первичной реакцией в патогенезе силикоза является повреждение кварцевой пылью легочных макрофагов. Поглощенные частицы кварца повреждают мембраны фаголизосом, в которых они располагаются, нарушая их проницаемость. В результате повышенной проницаемости мембран из фаголизосом выходят в цитоплазму гидролитические ферменты макрофагов, что приводит к аутолизу и гибели последних. Согласно этой теории, речь идет о ведущей роли в патогенезе силикотического

815