Материал: Патан Серов учебник

Внимание! Если размещение файла нарушает Ваши авторские права, то обязательно сообщите нам

или 1,5 мес. Могут поражаться слизистая оболочка полости рта, носа, глотки, гортани, трахеи, конъюнктива глаз, наблюдаются кератоконъюнктивит, регионарный лимфаденит. Прогноз благоприятный, однако возможны случаи с присоединением генерализации процесса и летальным исходом.

Ветряная оспа

Ветряная оспа - varicella (уменьшительное от variola - натуральная оспа) - острое инфекционное заболевание детей, характеризующееся пятнисто-везикулярной сыпью на коже и слизистых оболочках. Болеют дети преимущественно дошкольного и раннего школьного возраста. До 2 мес жизни и после 10 лет заболевание встречается редко.

Этиология и патогенез. Возбудителем является ДНК-содержащий вирус, относящийся к группе вирусов герпеса (поксвирус). Элементарные тельца (тельца Араго) имеют коккоподобный вид, размеры 160-120 нм. В культуре ткани и в клетках человека образуются внутриядерные, эозинофильные и базофильные включения.Вирус ветряной оспы идентичен возбудителю опоясывающего лишая, поскольку наблюдаются перекрестное

заражение и иммунизация. Источник заражения - больной человек, передача осуществляется воздушно-капельным путем. В редких случаях

встречается трансплацентарная передача с развитием поздней фетопатии или врожденной ветряной оспы.

Вирус попадает в дыхательные пути, проникает в кровяное русло, где в период инкубации размножается. В силу эктодермотропности вирус сосредотачивается в эпидермисе кожи, а также в эпителии слизистых оболочек. Заболевание протекает легко, длится 2-3 нед, летальность не превышает 0,01-0,05%. Однако при фетальной врожденной и ветряной оспе недоношенных детей, детей с врожденными иммунодефицитными состояниями, наконец, у детей даже старшего школьного возраста с приобретенными иммунодефицитными состояниями, например при заражении вирусом иммунодефицита человека, лейкозе, злокачественных опухолях и др., ветряная оспа может приобрести характер тяжелого страдания с генерализованными поражениями внутренних органов и смертельным исходом.

Патологическая анатомия. Макроскопические изменения кожи начинаются с появления красноватых, слегка приподнятых зудящих пятнышек, в центре которых быстро формируется везикула с прозрачным содержимым. Когда везикула подсыхает, центр ее западает и покрывается буроватой или черноватой корочкой. Везикулы располагаются преимущественно на туловище и волосистой части головы, на лице и конечностях число их скудное. Типично наличие элементов различной давности, что создает пестроту кожных высыпаний. В 40% случаев наблюдаются высыпания на слизистой оболочке рта и гортани. Здесь в силу мацерации образуются эрозии.

Микроскопически процесс образования везикул кожи начинается с баллонной дистрофии шиповатого слоя эпидермиса, здесь же наблюдается возникновение гигантских многоядерных клеток.

766

Гибель эпидермиса приводит к формированию мелких полостей, которые, сливаясь, образуют везикулы, заполненные серозной жидкостью. Дно везикулы представлено герминативным слоем эпидермиса, крыша - приподнятым роговым слоем (рис. 313). В дерме наблюдаются отек, умеренная гиперемия. Эрозии слизистых оболочек представляют собой дефект эпителия, соединительная ткань слизистой и подслизистой оболочек отечна, сосуды полнокровны, могут наблюдаться экстравазаты и скудные периваскулярные лимфогистиоцитарные инфильтраты. При ветряной оспе с генерализованными поражениями внутренних органов очаги некроза и эрозии наблюдаются в легких, печени, почках,

селезенке, поджелудочной железе, надпочечниках, в слизистой оболочке пищеварительного, дыхательного и мочеполового трактов. Макроскопически очаги поражения представляют собой мелкие округлые фокусы серовато-желтоватого цвета, окруженные черновато-красным венчиком, просвечивающиеся под капсулой печени, под плеврой легкого и обнаруживающиеся на разрезе - в паренхиме органа. Микроскопически эти фокусы представлены очажками коагуляционного некроза с весьма скудной перифокальной клеточной реакцией, часто окружены зоной кровоизлияний. Вирусные включения обнаруживаются по периферии очагов некроза и в области кожных везикул в клетках с явлениями баллонной дистрофии.

Рис.

313. Ветряная оспа. Образование везикулы в эпидермисе

Осложнения представлены вторичным инфицированием кожных высыпаний, чаще стафилококком. У маленьких детей легко может развиться стафилококковый сепсис.

Смертельный исход зависит от присоединившегося стафилококкового сепсиса или в редких случаях отгенерализованных поражений внутренних органов.

767

Цитомегалия

Цитомегалия (от греч. cytos - клетка, megalos - большой) - вирусная инфекция с преимущественным поражением как паренхимы, так и стромы слюнных желез, при которой в тканях образуются гигантские клетки с характерным внутриядерным включением. Чаще болеют дети моложе 2 лет, у взрослых инфекция протекает латентно.

Этиология и патогенез. Возбудителем является ДНК-содержащий вирус, относящийся к группе вирусов герпеса. В культуре ткани человеческих фибробластов вирус образует типичные внутриядерные включения, он может быть выделен от больного

человека из слюны, мочи, грудного молока, вагинального секрета, спермы, желчи, ликвора и свежей крови. Большинство взрослых имеют в крови антитела против вируса цитомегалии. Диагноз при жизни может быть подтвержден обнаружением цитомегалических клеток в осадке мочи, слюны, ликворе или с помощью серологических реакций. Патогенез точно не установлен. Вирус фиксируется в слюнных железах, чаще в околоушной, где он длительное время может существовать в виде латентной инфекции. При снижении иммунной реактивности или у детей раннего возраста возникают виремия игематогенная генерализация с поражением многих органов, которая проявляется развитием васкулитов и характерными цитомегалическими изменениями эндотелия.

Течение и исход болезни всецело зависят от состояния организма заболевшего. У новорожденных, недоношенных и грудных детей наблюдаются тяжелые генерализованные формы. У детей старше 2 лет генерализованные формы отмечаются только при наличии другого тяжелого заболевания (лейкоз, злокачественная опухоль, сепсис, иммунодефицитные врожденные и приобретенные заболевания). Доказана трансплацентарная передача вируса с развитием эмбриопатии, тяжелой фетопатии у мертворожденных и генерализованной инфекции у новорожденных. В плаценте иногда обнаруживаются цитомегалические изменения.

Патологическая анатомия. Вирус вызывает увеличение размеров клетки до 30-40 мкм и образует округлое плотное крупное внутриядерное включение, сначала эозинофильное, а

затем базофильное. Включение окружено зоной просветления, ядерная оболочка резко очерчена из-за распределения на ней глыбок хроматина и остатков ядрышка. Все вместе создает картину, напоминающую глаз совы.

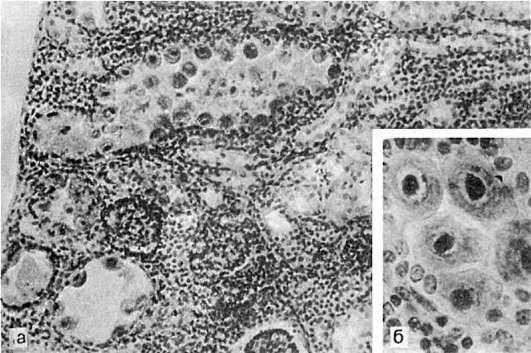
Различают локализованную и генерализованную формы болезни. При локализованной форме в слюнных железах обнаруживаются цитомегалические изменения в эпителии протоков и ацинусов и лимфогистиоцитарная инфильтрация с последующим склерозом. Чаще поражаются околоушные слюнные железы. При генерализованной форме такой же процесс наблюдается во многих органах - в легких, почках (рис. 314), печени, кишечнике, поджелудочной железе, надпочечниках, тимусе и др. Кроме того, у ослабленных и новорожденных детей в органах могут быть кровоизлияния и некрозы.

768

Рис.

314. Генерализованная цитомегалия:

а - цитомегалический метаморфоз клеток почечного эпителия; б - внутриядерные включения

Врожденная генерализованная форма, кроме поражений внутренних органов,

характеризуется, как правило, вовлечением в процесс головного мозга, геморрагической сыпью на коже, гемолитической анемией, тромбоцитопенией, желтухой.

Наблюдается энцефалит с образованием цитомегалических клеток, периваскулярных инфильтратов и очагов кальциноза в субэпендимальных зонах. Очаги кальциноза имеют вид беловато-желтых плотных участков, изменения завершаются гидроцефалией. Заболевание через несколько дней или недель приводит к смерти.

Приобретенная генерализованная форма грудных детей отличается от врожденной отсутствием поражений головного мозга. Наблюдаются формы заболевания с

преимущественным поражением того или иного органа. Наряду с наличием цитомегалических клеток в эпителии бронхов и в альвеолоцитах в легкихразвиваются продуктивный перибронхит и интерстициальная очаговая пневмония, в почках - цитомегалические изменения канальцевого эпителия, в кишечнике - язвенный процесс. Легочная форма часто осложняется пневмоцистной пневмонией, особенно у недоношенных и детей с иммунодефицитами. Течение болезни длительное.

Смерть наступает от присоединения другой острой инфекции или от основного тяжелого заболевания (лейкоз, опухолевый процесс, СПИД и др.).

Инфекционный мононуклеоз

769

Инфекционный мононуклеоз (болезнь Филатова) - острое инфекционное заболевание, вызываемое герпетическим вирусом с преимущественным поражением органов и тканей лимфогистиоцитарной системы.

Этиология и патогенез. Большинство исследователей считают, что герпесоподобный вирус Эпштейн-Барра является возбудителем инфекционного мононуклеоза. Однако вопрос об этиологии инфекционного мононуклеоза нельзя считать окончательно решенным. Заболевают преимущественно дети в возрасте от 2 до 10 лет (Кисляк Н.С, Ленская Р.В.,

1978).

Источником заражения является больной или вирусоноситель. Передача инфекции осуществляется воздушно-капельным путем, но может происходить также контактным и алиментарным путями. Описаны эпидемические вспышки, главным образом среди детей.

Имеются указания на возможность трансплацентарной передачи,обусловливающей желтуху новорожденного.

Входными воротами является слизистая оболочка ротоглотки и верхних дыхательных путей, где вирус вызывает характерные катаральные изменения, которые создают благоприятные условия для присоединения вторичного микробного инфицирования, проявляющегося в виде вируснобактериальной ангины. Вирус распространяется лимфогенно и проникает в лимфатические узлы, а затем гематогенно в печень, костный мозг, селезенку, где вызывает пролиферативные процессы гистиомоноцитарных и лимфоидных клеток, благодаря вымыванию которых в периферическую

кровь в ней обнаруживается большое количество атипичных лимфоцитов и мононуклеаров, так называемыхширокопротоплазменных лимфоцитов.

Существует предположение, что атипичные «широкопротоплазменные лимфоциты» - видоизмененные Т-лимфоциты. У некоторых больных атипичные мононуклеары, подобно Т- лимфоцитам, образуют прямые розетки с эритроцитами барана и не содержат на своей поверхности иммуноглобулинов, что свидетельствует об их принадлежности к популяции Т- лимфоцитов.

Клинически различают типичные и атипичные формы болезни. Они в свою очередь могут быть легкими,средней тяжести и тяжелыми. У детей младшего возраста инфекционный мононуклеоз протекает тяжелее, с более выраженной гепатоспленомегалией, нейтропенией, тромбоцитопенией, изменениями ЦНС. Чаще наблюдаются тонзиллофарингиты и обструктивный синдром со стороны дыхательных путей. Атипичные формы характеризуются отсутствием ведущих симптомов болезни - ангины, температуры, сыпи. Среди атипичных форм выделяют висцеральную с преимущественным поражением внутренних органов и ЦНС.

Патологическая анатомия. Летальные исходы при инфекционном мононуклеозе встречаются редко, и поэтому патологоанатомические изменения изучены главным образом по данным биоптатов и оперативно удаленных миндалин.

770