Материал: Патан Серов учебник

Внимание! Если размещение файла нарушает Ваши авторские права, то обязательно сообщите нам

Рис. 311. Отечная - и спленомегалия

(препарат П.С. Гуревича)

некрозом стенки мелких сосудов. Изменения в мозге соответствуют гипоксической энцефалопатии. Как исход некрозов в печени развивается очаговый фиброз. Гемосидероз выражен умеренно. В почках даже доношенных плодов отмечается широкая зона эмбриональных клубочков.

При анемической форме чаще у недоношенных отмечается общая бледность кожных покровов и видимых слизистых оболочек, иногда небольшая пастозность тканей. Желтухи нет. Имеется малокровие внутренних органов. Печень и селезенка увеличены незначительно,

761

микроскопически в них обнаруживается умеренно выраженный эритробластоз. Дети чаще умирают от присоединившейся пневмонии.

При тяжелой послеродовой желтушной форме желтуха появляется к концу первых или на вторые сутки после рождения и быстро нарастает. Если не принять соответствующих мер (обменные переливания

крови), у новорожденного развивается тяжелое повреждение головного мозга -

билирубиновая энцефалопатия(см. Дистрофия). Проникновение непрямого токсичного билирубина в головной мозг вызывает повреждение ганглиозных клеток, вплоть до их гибели преимущественно в подкорковых отделах - гиппокампе, ядрах дна ромбовидной ямки, нижних оливах, гипоталамическом ядре, бледном ядре, зубчатом ядре мозжечка. Могут повреждаться и клетки коры полушарий большого мозга. Перечисленные ядра интенсивно окрашиваются билирубином в охряно-желтый цвет и при вскрытии на фоне общей желтухи определяется ядерная желтуха.Тяжесть повреждения головного мозга усугубляется гипоксией, наступающей в результате повреждений мелких сосудов головного мозга. В

печени, кроме эритробластоза и распространенного гемосидероза, имеются желчные стазы и тромбы, иногда даже с образованием желчных камней, в почках - билирубиновые инфаркты. Селезенка увеличена, плотна, коричнево-красного цвета вследствие отложения гемосидерина. Распространенность и объем очагов эритробластоза выражены меньше, чем при отечной форме. У детей, перенесших гемолитическую болезнь, могут остаться значительные дефекты развития ЦНС, вплоть до полной идиотии.

ДЕТСКИЕ ИНФЕКЦИИ

Заболевания, обусловленные герпес-вирусами

В настоящее время в отдельную группу герпетических инфекций человека объединены вирусные заболевания, обусловленные ДНКсодержащими вирусами простого герпеса, ветряной оспы, цитомегалии, инфекционного мононуклеоза.

Простой герпес

Герпес (от греч. herpes - лихорадка) - инфекционное заболевание, обусловленное вирусом простого герпеса, характеризующееся многообразием проявлений болезни с преимущественным поражением кожи, слизистых оболочек и нервной системы. Герпес часто у взрослых принимает хроническое рецидивирующее течение. Широкое распространение вируса герпеса связано с длительной персистенцией его в организме человека и наличием бессимптомных форм инфекции.

Различают острый и хронический герпес с обострениями, а также ограниченный (локализованный) и генерализованный. По клиническим проявлениям

выделяют: герпес кожи и слизистых оболочек, офтальмогерпес, гинекологический герпес, герпетический стоматит, герпетический менингоэнцефалит, генерализованный (чаще внутриутробный) герпес.

762

Этиология. Возбудителем простого герпеса (herpes simplex) является ДНК-содержащий вирус типа 1 и 2, вирулентный для человека. Поражения кожи, слизистых оболочек и офтальмогерпес чаще обусловлены заражением вирусом герпеса типа 1, генитальный - типа 2. Может иметь место сочетанное заражение вирусами типа 1 и 2. Генерализованный герпес чаще вызывается вирусом типа 2.

Патогенез. Источник заражения - больной или вирусоноситель. Передача инфекции осуществляется контактным, воздушно-капельным трансплацентарным и трансфузионным путями. Проникновение вируса в области входных ворот при контактном или воздушнокапельном заражении сопровождается повреждением эпителия кожи или слизистой оболочки с последующим развитием регионарного лимфаденита игематогенным распространением вируса с вирусемией и вирурией. Гематогенному распространению вируса способствуют адсорбция его на поверхности эритроцитов и поглощение лейкоцитами и макрофагами по типу незавершенного фагоцитоза. Вирусемия бывает не только при генерализован-

ных, но и при локализованных формах герпеса. Вирус герпеса обладает высокой нейротропностью и поэтому может длительное время персистировать в нервной

ткани, не вызывая никаких болезненных проявлений. При хронических формах герпеса, которые встречаются преимущественно у взрослых, обострения инфекции связаны с провоцирующими моментами - переохлаждением, другими инфекционными заболеваниями и др.Локальный острый первичный герпес у детей чаще наблюдается в возрасте от 6 мес до 5 лет.Генерализованные формы встречаются преимущественно у новорожденных и у детей с врожденными илиприобретенными иммунодефицитами и другими отягощающими фоновыми состояниями.

Патологическая анатомия. Распространенной формой локализованного герпеса является поражение эпителия красной каймы губ, кожи лица, слизистой оболочки полости рта, десен, носа, конъюнктивы глаз, гениталий. Наблюдается припухлость, покраснение с постепенным формированием везикулы или множества мелких везикул с серозным или серозногеморрагическим содержимым, окруженных зоной отека и гиперемии. Травматизация вызывает образование эрозии или язвочки. При подсыхании везикул образуется корочка, которая затем отпадает. Микроскопически в эпителии обнаруживается баллонная дистрофия с гибелью эпителиальных клеток и скоплением серозного экссудата в эпидермисе. Дерма отечна, сосуды ее резко полнокровны, в периваскулярной ткани имеются лимфогистиоцитарные инфильтраты. По периферии везикул расположены многочисленные гигантские клетки. В ядрах клеток эпителия обнаруживаются внутриядерные базофильные включения, окруженные зоной просветления, - тельца Коундри (по автору, установившему связь включений с вирусом герпеса). При электронной микроскопии в ядрах пораженных клеток можно выявить капсиды вируса, которые из ядра по мере созревания вирусных частиц поступают в цитоплазму и здесь бывают заключены в вакуоли. При гибели клетки вирусы высвобождаются.

Герпетический острый некротический менингоэнцефалит, обусловленный вирусом герпеса типа 2,встречается редко. Дает 80-90% летальности и при выживании больного приводит к глубокой деменции. У детей герпетический менингоэнцефалит наблюдается при

763

первичном заражении чаще в возрасте от 5 мес до 2 лет, в сочетании с кожными поражениями встречается всего лишь в 8% случаев. Помимо гематогенного пути, допускается также распространение вируса по нервным стволам, что подтверждено экспериментальными данными.

При герпетическом менингоэнцефалите головной мозг чрезвычайно дряблый. Мягкие мозговые оболочки полнокровны, отечны. На разрезе видны очаги размягчения вещества мозга, иногда в виде полостей, выполненных мутноватым серовато-розовым кашицеобразным содержимым. Расположены они преимущественно в области больших полушарий. Типичным считается поражение височных долей. Очаги могут быть мелкими или очень крупными, расположенными локально или диффузно, вплоть до тотального поражения серого вещества больших полушарий и подкор-

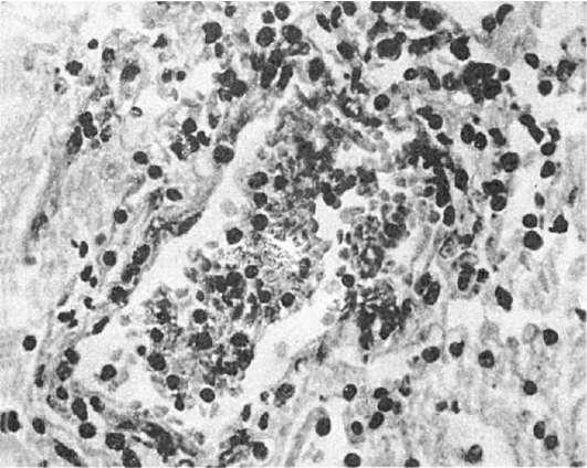
ковых ганглиев. Ствол мозга, мозжечок и спинной мозг не поражаются. Микроскопически отличаются отек и множественные колликвационные некрозы вещества мозга с наличием незначительной периваскулярной лимфоидной инфильтрации, наблюдающейся и в мягких мозговых оболочках на фоне их отека и полнокровия. В сосудах продуктивные васкулиты и тромбоваскулиты, обусловливающие геморрагии (рис. 312). Диагноз подтверждается обнаружением внутриядерных включений вирусных частиц в нейронах с помощью электронной микроскопии и обнаружением иммунофлюоресцентным методом антигена вируса герпеса. В некоторых случаях некротический менингоэнцефалит принимает хроническую форму течения с периодическими обострениями.При этом наблюдается гидроцефалия, в веществе мозга и в подкорковых ганглиях множество кист наряду со свежими очагами колликвационных некрозов, обызвествления и уплотнения

мозговой ткани (глиоз). Микроскопически выявляются отек, колликвационные некрозы, кисты, выполненные зернистыми шарами, очаги обызвествления, мелкие лимфоидные периваскулярные инфильтраты, пролиферация астроцитарной глии.

Описываются единичные наблюдения поражения легких в виде интерстициального пульмонита.

Внутриутробная герпетическая инфекция бывает генерализованной с поражением многих органов и ЦНС или в виде локального поражения ЦНС, или в виде слизисто-кожной формы. Заражение происходит от матери трансплацентарным или восходящим путем, антеили интранатально. Источником заражения является хронический рецидивирующий генитальный герпес матери или бессимптомное носительство. Во время обо-

764

Рис.

312. Герпетический некротический энцефалит. Умеренная периваскулярная лимфоидная инфильтрация

стрения герпеса в последние месяцы беременности риск заражения плода равен 40%.

Генерализованная форма у новорожденных дает 80% летальных исходов, при изолированном поражении ЦНС - 50%. Прогноз слизистокожной формы благоприятный при соответствующем лечении с предотвращением вторичной бактериальной инфекции.

Генерализованный врожденный герпес клинически протекает в большинстве случаев без герпетических поражений кожи и слизистых оболочек. Печень увеличена, на разрезе пестрая, с желтовато-белыми мелкими диаметром 2-3 мм очажками, разбросанными в паренхиме.

Вкоре надпочечников имеются точечные геморрагии, в легких - мелкие фокусы пневмонии.

Вмозге, преимущественно в паравентрикулярных, супра- и субталамических отделах, в лобных долях - едва различимые фокусы некрозов. Иногда наблюдаются очаговый глиоз, умеренная гидроцефалия. Микроскопически в печени выявляются коагуляционные некрозы с глыбчатым распадом. Некрозы встречаются также в надпочечниках, в селезенке, почках, костном мозге, в легких, головном мозге. В печени, кроме некрозов, отмечаются дискомпенсация и дистрофия гепатоцитов, по периферии некрозов - незначительная лейко- и лимфоцитарная инфильтрация. Чаще, чем в других органах, обнаруживаются внутриядерные базофильные включения. В головном мозге имеются мелкие очаги некроза и дистрофические изменения нейронов - в комбинации с очагами глиоза.

Врожденная слизисто-кожная форма характеризуется везикулярной сыпью по всему телу, на лице и конечностях, даже на ладонях и подошвах, постоянно подсыпающей в течение 2-3 нед

765