Материал: Патан Серов учебник

Внимание! Если размещение файла нарушает Ваши авторские права, то обязательно сообщите нам

Этиология и патогенез. Болезнь наследуется по аутосомно-рецессивному типу. В основе патогенеза лежит, вероятно, ферментопатия, характер которой не раскрыт, приводящая к нарушению структуры гликопротеидов (мукоидов). Секрет многих желез становится густым, вязким, что приводит к задержке его эвакуации, развитию ретенционных кист и к нарушению проходимости по естественным каналам. Поражаются прежде всего экскреторный аппарат поджелудочной железы, слизистые железы дыхательного и пищеварительного трактов, желчные пути, слюнные, потовые и слезные железы.

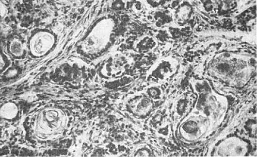
Патологическая анатомия. При макроскопическом исследовании поджелудочная железа может быть без изменений, в редких случаях в ней отмечаются уплотнение, подчеркнутый рисунок долек, появление мелких кист. Микроскопически в кистозно расширенных протоках и в ацинусах наблюдается сгущение секрета. Железистая паренхима атрофична, островковый аппарат сохранен, в интерстиции отмечаются диффузный фиброз и лимфогистиоцитарные инфильтраты (рис. 300). Изменения могут колебаться от кистозного расширения единичных протоков и ацинусов до кистозного превращения всей экскреторной железистой паренхимы. В результате сгущения слизи в бронхах возникают обтурационные ателектазы с неизбежным вторичным инфицированием и развитием хронического бронхита, пневмонии с бронхоэктазами и абсцедированием. В кишечнике отмечается сгущение каловых масс с развитием копростаза, перфорации и калового перитонита. Изменению свойств кала способствует не только сгущение слизи, но и недостаточность поджелудочной железы (отсутствие липазы, липокаина и трипсина). В печени имеется жировая инфильтрация. Сгущение желчи ведет к холестазу и билиарному циррозу. Фетальный муковисцидоз проявляется в виде мекониальной кишечной непроходимости (мекониальный илеус). В поджелудочной железе

Рис.

300. Кистозный фиброз поджелудочной железы при муковисцидозе

выраженные кистозные изменения могут отсутствовать. Вся тонкая кишка до подвздошнослепокишечной (баугиниевой) заслонки заполнена зеленовато-оливковым густым, вязким

731

меконием, толстая кишка спавшаяся, имеет вид так называемой микроколон. После перфорации между петлями кишки видны массы мекония и фибринозно-гнойные наложения на брюшине. При внутриутробном мекониальном перитоните между петлями кишки образуются спайки с замурованными в них зеленоватыми комочками мекония. Такие бляшкообразные плотные наложения встречаются на париетальной брюшине, на капсуле селезенки и печени.

Осложнения. Кроме осложнений, связанных непосредственно с основным заболеванием (хроническая пневмония, каловый и мекониальный перитонит, цирроз печени), у больных наблюдается прогрессирующее общее истощение, которое зависит от нарушений липидного, белкового, витаминного обмена (витаминов A, D, Е и К, растворимых в липидах) в результате нарастающей недостаточности поджелудочной железы.

Смерть наступает от легочно-сердечной недостаточности, перитонита, печеночной комы. При мекониальном илеусе дети погибают в первые дни жизни.

Фиброэластоз эндокарда - врожденное заболевание, при котором в эндокарде и в субэндокардиальном слое миокарда наблюдается склероз с обилием эластических волокон. Встречается редко.

Этиология и патогенез. Отмечается семейный характер заболевания, предполагают влияние вируса цитомегалии, белкового голодания матери, авитаминозов, гипоксии плода. Патогенез не ясен. Возможно, что ведущая роль принадлежит повреждению миокарда, в ответ на которое компенсаторно разрастаются эластическая и коллагеновая ткани эндокарда.

Патологическая анатомия. Сердце увеличено в 2,5-4 раза по сравнению с нормой за счет значительной гипертрофии преимущественно левого желудочка, эндокард его резко утолщен, беловато-желтый. Воз-

можно одновременное поражение эндокарда остальных отделов сердца. В половине случаев отмечаются утолщение и деформация митрального и аортальных клапанов, в 1/3 наблюдений - комбинация с врожденными пороками, чаще с сужением аорты.

Значительный склероз эндокарда и кардиосклероз ведут к снижению сократительной способности миокарда.

Смерть наступает от острой сердечной недостаточности (молниеносная форма) в первые дни жизни или от нарастающей недостаточности сердца при интеркуррентных заболеваниях (пневмония) в первые месяцы жизни.

Диабетическая фетопатия - заболевание плода, обусловленное предиабетом и диабетом матери.

Этиология и патогенез. Основное значение имеют нарушения углеводного обмена плода под влиянием постоянного изменения уровня глюкозы в крови матери, особенно

732

значительных при плохо леченном диабете беременных. В связи с попыткой компенсации уровня глюкозы в крови у плода развиваются гипертрофия инсулярного аппарата с последующим истощением его и дистрофией β-клеток, а также синдром Иценко-Кушинга. После рождения, когда снижается влияние материнского диабета, могут наступить восстановление функции поджелудочной железы плода и нормализация обмена. Если этого не происходит, развивается тяжелое страдание - диабет новорожденного. Однако диабет новорожденного не всегда связан с диабетом матери, так как может зависеть от повреждений инсулярного аппарата плода другого происхождения. В противоположность этому диабетическая фетопатия связана только с диабетом и предиабетом матери.

Патологическая анатомия. При этой фетопатии имеется склонность к рождению крупных плодов - с массой тела 4-6 кг, хотя это и необязательно. Тело плода покрыто обильной сыровидной смазкой, кожа багровосинюшная с петехиями, шея короткая, лицо одутловатое, отечное, мягкие ткани туловища и конечностей пастозные (рис. 301), имеются признаки незрелости - отсутствие ядра окостенения бедра или уменьшение его размеров и др. Отмечается гепато- и кардиомегалия. При микроскопическом исследовании в поджелудочной железе наблюдается гипертрофия островков поджелудочной железы с увеличением числа β- клеток. Наряду с этим отмечаются дегрануляция, вакуолизация и пикноз ядер этих клеток, свидетельствующие об истощении их секреции. В печени имеются диффузная жировая инфильтрация, обширные очаги экстрамедуллярного кроветворения, иногда некрозы. В миокарде отмечаются вакуольная дистрофия, микронекрозы, в почках - отложение гликогена в извитых канальцах, в селезенке - экстрамедуллярное кроветворение. В сосудах микроциркуляторного русла почек, кожи, сетчатки глаза наблюдаются утолщение стенок за счет отложений ШИК-положительного материала, пролиферация эндотелия наряду со значительной извитостью и эктазией сосудистого русла.

Рис.

301. Диабетическая фетопатия

Из осложнений у плодов и новорожденных с диабетической фетопатией часто развивается гипоксия во время родов, образование гиалиновых мембран в легких, что зависит от дефицита антиателектатического фактора - сурфактанта, вещества фосфолипидной природы

733

- в результате нарушений при диабетической фетопатии не только углеводного, но и липидного обмена.

Смерть наступает от асфиксии плода или новорожденного, а также от гипогликемии, наступающей после родового стресса.

ПАТОЛОГИЯ ПОСЛЕДА

При нормальном течении родов через 15-20 мин после рождения плода матка вновь сокращается и из нее изгоняется послед. Послед состоит из плаценты, разорванных остатков плодных оболочек - амниона, гладкого хориона и остатков децидуальной оболочки и пупочного канатика. Плацента является основным органом, осуществляющим обменный процесс между плодом и материнским организмом.

Зрелая плацента имеет вид диска толщиной 2-4 см, диаметром 1220 см, масса ее равна 500600 г. Различают плодовую и материнскую части плаценты.

Плодовая часть состоит из амниона и ветвистого хориона с проходящими в них плодовыми сосудами. Со стороны плода хорион образует пластинку, из которой растут ворсины, покрытые двумя слоями клеток трофобласта - внутренним эпителиальным слоем Лангханса - цитотрофобластом и наружным, образующим синцитий - синцитиотрофобластом. Некоторые ворсины вступают в непосредственный контакт с материнской частью плаценты, закрепляясь в ней, при этом трофобласт ворсин обрастает эрозированную базальную децидуальную оболочку и материнская часть плаценты

оказывается также покрытой клетками трофобласта. Другая часть ворсин свободно свисает в пространство между хориальной и базальной пластинками или соединяется между собой.

Различают основные стволовые ворсины и их разветвления. Каждая стволовая ворсина с разветвлениями составляет дольку (котиледон) плаценты.

Материнская часть состоит из базальной пластинки, представленной децидуальной оболочкой с выстилающим ее слоем трофобласта и септ - перегородок, идущих вертикально и разделяющих разветвления основных ворсин хориона друг от друга. Свободные пространства между ворсинами, хориальной и базальной пластинами и септами получили название межворсинчатых пространств. В них циркулирует материнская кровь. Между кровью матери и плода существует ряд биологических мембран: клетки трофобласта, рыхлая строма ворсин, эндотелий и базальная мембрана сосудов ворсин хориона.

В конце беременности в хориальной пластинке, в ткани, окружающей межворсинчатые пространства на границе трофобласта и децидуальной ткани, в глубине базальной пластинки откладываются фибрин и фибриноид в виде ацидофильного гомогенного вещества. Слой фибриноида и

фибрина в глубине базальной пластинки получил название слоя Нитабуха, в хориальной - слоя Лангханса.Кроме капсулярной децидуальной оболочки и гладкого хориона в состав плодных оболочек входит амнион.

734

Плодные оболочки последа беловато-серого цвета, студневидные, полупрозначные, предствляют собой разорванный мешок, в котором различают плодовую и материнскую поверхность. Плодовая поверхность состоит из амниона, выстланного кубическим эпителием, лежащим на базальной мембране, и соединительнотканного бессосудистого слоя. К нему прилежит гладкий хорион, состоящий из волокнистой соединительной ткани, покрытой с материнской стороны несколькими слоями клеток трофобласта и децидуальной оболочкой.

Пупочный канатик имеет вид извитого шнура длиной в среднем 50 см, толщиной 1-1,5 см, состоит из миксоидной ткани (вартонов студень), снаружи покрыт амнионом. В нем проходят две пупочные артерии и пупочная вена.

На поперечном разрезе пуповины сосуды расположены в виде треугольника, в центре которого виден урахус (остаток аллантоиса).

Возрастные изменения

Возрастные изменения плаценты закономерно возникают в конце беременности и бывают особенно значительно выражены при переношенной беременности.

Макроскопически в плаценте на материнской стороне видны рассеянные беловато-желтые фокусы некрозов и участки кальциноза. При переношенной беременности, кроме того, плацента бывает более бледной, границы котиледонов сглажены. Плодные оболочки и пупочный канатик окрашены меконием в зеленоватый цвет, такого же цвета могут быть воды, количество которых уменьшено. Тургор пупочного канатика снижен, извитость его уменьшена.

Микроскопически основными являются дистрофические изменения. Они появляются при усилении процессов фибриноидного превращения трофобласта и выпадении фибрина из материнской крови межворсинчатых пространств. Результатом этого является блокирование доступа материнской крови к ворсинам хориона. Группы ворсин хориона погибают и формируются ишемические инфаркты плаценты. В некротизированную ткань плаценты откладываются соли кальция. Наблюдаются также фиброз стромы ворсин и склероз их сосудов. Выражением компенсаторных изменений, направленных на улучшение обмена между организмом плода и матери, являются синцитиальные почки. Они представляют собой очаги пролиферации синцития трофобласта в виде нагромождения тесно расположенных гиперхромных ядер, окруженных общей цитоплазмой и расположенных на поверхности ворсин хориона (рис. 302). К компенсаторным процессам следует также отнести увеличение числа сосудов в некоторых ворсинах. В амнионе отмечаются дистрофические изменения эпителия, вплоть до некроза, в пупочном канатике - уменьшение со-

735