Материал: Патан Серов учебник

Внимание! Если размещение файла нарушает Ваши авторские права, то обязательно сообщите нам

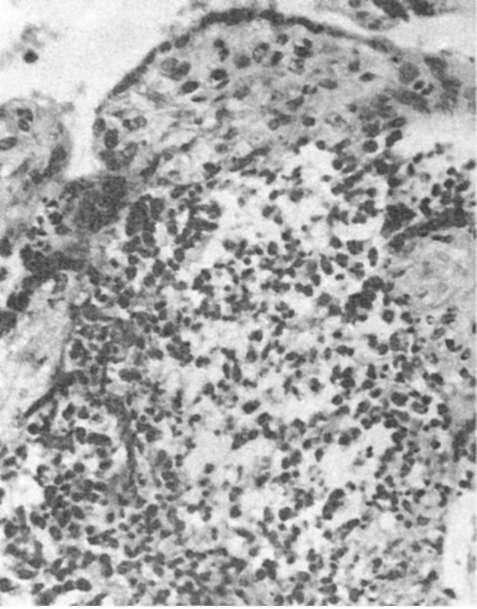
Рис. 303. Базальный децидуит при вирусно-бактериальной пневмонии у матери. Массивная лейкоцитарная инфильтрация (препарат И.О. Харит)

741

Рис.

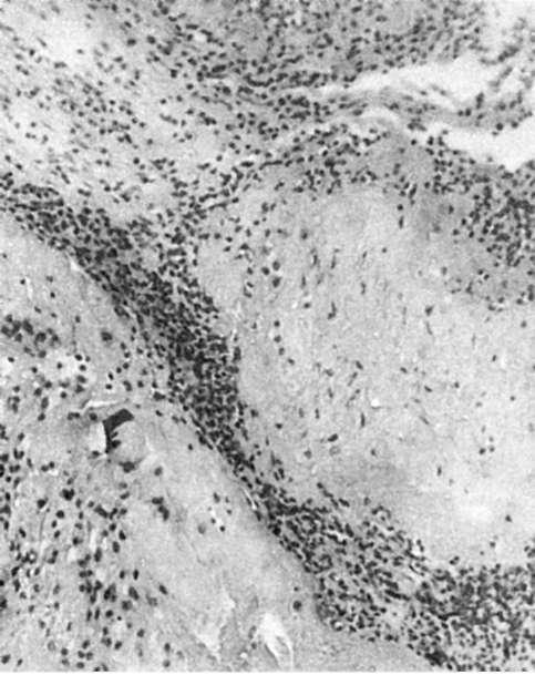
304. Интервиллезит и виллезит при листериозе (препарат И.О. Харит)

мер образование гиперхромных гигантских клеток при аденовирусной инфекции, цитомегалических клеток с включениями при цитомегалии, внутриядерных эозинофильных и базофильных включений при простом герпесе, ветряной оспе с образованием мелких очагов некроза.

Для гноеродной бактериальной инфекции характерно серозно-гнойное или гнойное воспаление, иногда с развитием флегмоны или абсцессов. При листериозе инфильтраты имеют лейкоцитарно-гистиоцитарный характер (рис. 304) в строме ворсин, наблюдаются отек, эндартерииты, тромбофлебиты, иногда обнаруживаются листериомы. Встречается небольшое число листерий. При туберкулезе в плаценте возникают казеозные очаги, бугорки с эпителиоидными и гигантскими клетками, чаще поражается базальная пластинка.

При сифилисе масса плаценты увеличена, она отечна, с крупными котиледонами; при микроскопическом исследовании наблюдаются отек и фиброз стромы ворсин,

742

облитерирующий эндартериит, очаги некроза. Изменения не являются специфичными, диагноз можно поставить только при обнаружении трепонем.

При токсоплазмозе обнаруживаются цисты, псевдоцисты и свободнолежащие паразиты в области некрозов с обызвествлениями. При малярии в межворсинчатых пространствах и в сосудах децидуальной оболочки отмечается большое число возбудителей, в тканях - отложение малярийного пигмента.

Плацентарная недостаточность

Плацентарная недостаточность представляет собой такие паталогоанатомические изменения плаценты, при которых она неспособна осуществлять основные барьерные функции: транспортную, метаболическую, эндокринную, иммунную, гемодинамическую, что приводит к гибели или патологии плода или новорожденного.

Этиология плацентарной недостаточности разнообразна. Имеют значение генетические особенности материнского организма, различные экстрагенитальные заболевания, осложнения беременности или комбинация указанных причин.

Патогенез плацентарной недостаточности зависит от нарушений процессов имплантации и плацентации - аномалий прикрепления и строения плаценты, васкуляризации, дифференциации ворсин хориона.

Различают острую и хроническую плацентарную недостаточность. При острой плацентарной недостаточности имеются острые нарушения маточно-плацентарного кровообращения: преждевременная отслойка плаценты, обширные инфаркты, коллапс межворсинчатых пространств, предлежание плаценты.

При хронической плацентарной недостаточности часто наблюдаются сочетание циркуляторных нарушений (инфаркты, тромбозы межворсинчатых пространств и др.) с различными вариантами дисэмбриогенеза ворсинчатого хориона наряду с очагами их нормальной структуры и компенсаторно-приспособительными изменениями, дефекты прикрепления пуповины, воспалительные процессы (Федорова М.В. и Калашникова Е.П.,

1986).

Синдром плацентарной недостаточности как причина мертворожденности составляет 57,8%.

Различают степень плацентарной недостаточности, определяющейся площадью плаценты, выключенной из кровообращения. Более 10% выключенной из кровообращения площади является для плода состоянием риска, более 30% - несовместимо с жизнью плода. Острая плацентарная недостаточность чаще приводит к мертворожденности, хроническая - к гипотрофии, незрелости, асфиксии недоношенного и новорожденного.

743

ПЕРИНАТАЛЬНАЯ ПАТОЛОГИЯ

Перинатальный период в буквальном смысле слова - «период вокруг родов», начинается со 196-го дня внутриутробной жизни плода, что соответствует 28 нед беременности, и заканчивается 1-й неделей внеутробной жизни. К 28-й неделе беременности масса плода достигает 1000 г, длина - 35 см. Такой плод считается жизнеспособным. Роды плодом меньшей массы носят название выкидыша. В настоящее время наблюдается выживаемость плодов меньшей массы.

Новорожденным называют младенца, начавшего самостоятельно дышать. Мертворожденным является плод, у которого в момент рождения отсутствует

дыхание и его не удается вызвать искусственным путем. Сердцебиение у такого плода некоторое время может продолжаться.

Мертворожденность и смертность детей в первые 7 дней после рождения называют перинатальной смертностью. Для определения показателя перинатальной

смертности необходимо вычислить в промилле отношение между числом мертворожденных и умерших до 7-х суток новорожденных ко всем родившимся.

Перинатальный период и соответствующую ему патологию и смертность делят на антенатальную(дородовую), интранатальную (во время акта родов)

и постнатальную (послеродовую), или неонатальную.

Недоношенность и переношенность

К недоношенным относятся новорожденные, масса которых при рождении менее 2500 г, длина - менее 45 см.

Причины недоношенности многообразны: заболевания половых органов беременной, плацентарная недостаточность, острые и хронические инфекции, тяжелые токсикозы беременности (нефропатия, эклампсия), несовместимость крови матери и плода и др.

Морфологическими признаками недоношенности являются наличие на лице, плечах, спине длинных пушковых волос (lanugo), мягкость ушных раковин, слабое развитие ногтей на пальцах ног и рук. У мальчиков яички не спущены в мошонку, у девочек зияет половая щель вследствие недоразвития половых губ. Кости черепа относительно мягкие. Ядро окостенения эпифиза бедра отсутствует. У зрелого плода ядро окостенения нижнего эпифиза бедра (ядро Беклара) составляет 5-7 мм.

Переношенным считается плод, беременность которым длится свыше 41 нед. Среди переношенных чаще наблюдается мертворожденность. Причины переношенности неясны, она чаще наблюдается у «старых» первородящих.

Морфологическими признаками переношенности являются сухость, шелушение и частичная мацерация кожи, общая гипотрофия, наличие ядер окостенения проксимального эпифиза большеберцовой и плечевой костей, которые в норме у новорожденного отсутствуют. В

744

пуповинной крови определяется снижение содержания кислорода. Наблюдается маловодие. Воды, пуповина, оболочки последа окрашены меконием, что свидетельствует о гипоксии плода. Состояние нарастающей гипоксии при переношенности зависит от инволютивных изменений плаценты. Переношенность может приводить к антенатальной и интранатальной смерти плода от гипоксии.

Асфиксия (аноксия)

Асфиксия (от греч. а - отрицательная частица и sphygmus - пульс) - удушье и связанное с ним острое кислородное голодание с накоплением углекислоты, характеризующееся расстройствами дыхания и кровообращения. Буквальное значение слова «асфиксия» не соответствует его пониманию. Под асфиксией плода и новорожденного понимают не удушье, а аноксию, точнее, гипоксию, возникающую в перинатальном периоде и вызванную разнообразными причинами. Аноксия - полное отсутствие кислорода в тканях. Истинной аноксии почти никогда не бывает. Как правило, имеет место гипоксия - кислородное голодание, или кислородная недостаточность в тканях плода. Термин «асфиксия» для состояния кислородной недостаточности плода и новорожденного является неточным. Однако этот термин прочно вошел в медицину и им широко пользуются как за рубежом, так и в нашей стране.

Асфиксия занимает основное место в патологии перинатального периода и может наступить в анте- и интранатальном периодах и после родового акта. Анте- и интранатальную асфиксию называютвнутриутробной асфиксией плода, наступившую после родов, - асфиксией новорожденного.

Антенатальная асфиксия плода. Она непосредственно связана с плацентарной недостаточностью.

Этиология и патогенез интранатальной асфиксии. Интранатальная асфиксия, кроме плацентарной недостаточности, которая играет основную роль в нарушении адаптации плода к родовому стрессу, может возникнуть от осложнений самого акта родов: слабости родовой деятельности, тазового предлежания плода, несоответствия головки плода родовым путям матери (узкий таз, макросомия плода), разрыва короткой пуповины, при тугом обвитии длинной пуповины вокруг шейки плода, при выпадении петли пуповины с последующим ее прижатием головкой плода и др.

Этиология и патогенез асфиксии новорожденного. В основе асфиксии новорожденного всегда лежит нарушение акта самостоятельного дыхания. Внеутробное дыхание нарушается при повреждении дыхательного центра вследствие тяжелой степени внутриутробной гипоксии, при массивных внутричерепных кровоизлияниях, наступающих как во время родов, так и у новорожденного, в результате различных причин, препятствующих расправлению легочной ткани, заполнению ее воздухом. Частой причиной, препятствующей заполнению легких воздухом, является аспирация амниотических вод и содержимого родовых путей матери при повышении содержания углекислоты в крови плода в интранатальном периоде. Углекислота раздражает дыхательный центр плода, и у него появляются преждевременные

745