Материал: Патан Серов учебник

Внимание! Если размещение файла нарушает Ваши авторские права, то обязательно сообщите нам

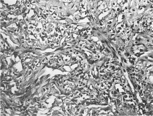
Рис.

254. Саркома Капоши у больного СПИДом. Поражение кожи

хаотично расположенных тонкостенных сосудов с хорошо определяемым эндотелием и пучков веретенообразных клеток (рис. 254). В рыхлой строме часто видны кровоизлияния и скопления гемосидерина. У больных СПИДом саркома Капоши имеет злокачественный характер и отличается от классического варианта генерализацией процесса с поражением лимфатических узлов, желудочно-кишечного тракта, легких и других внутренних органов.

Злокачественные лимфомы при СПИДе преимущественно В-клеточные. Часто встречается лимфома Беркитта (см. Лимфомы).

Многообразие оппортунистических инфекций, часто сочетающихся между собой, а также с опухолями, делает клиническую картину СПИДа чрезвычайно полиморфной. В связи с этим выделяют несколько наиболее типичных клинических вариантов СПИДа: легочный, синдром поражения центральной нервной системы, желудочно-кишечный синдром, лихорадку неясного генеза.

Легочный вариант - самый частый (у 80% больных). Он представлен сочетанием пневмоцистной пневмонии, цитомегаловирусной и атипичной микобактериальной инфекции и саркомы Капоши. Синдром поражения центральной нервной системы включает ВИЧ-

энцефалит, поражения, связанные с токсоплазмозом, криптококкозом и цитомегаловирусной инфекцией, а также лимфому; приводит к развитию деменции.Желудочнокишечный синдром - это сочетание кандидоза, цитомегаловирусной инфекции, криптоспоридиоза и атипичной микобактериальной инфекции;

616

сопровождается диареей и развитием в финале кахексии. Лихорадка неясного генеза; в ряде случаев удается обнаружить атипичную микобактериальную инфекцию или злокачественную лимфому.

Причины смерти. Смерть наступает чаще от оппортунистических инфекций и генерализации опухолей. В развитых странах 50% больных умирают в течение 18 мес со дня постановки диагноза и 80% - в течение 36 мес. Летальность достигает 100%.

Натуральная оспа

Натуральная оспа (variola vera, лат. variolus - пестрый) - острое контагиозное вирусное заболевание из группы карантинных инфекций с поражением легких, кожи и реже других органов. Оспа ликвидирована во всем мире, но это не исключает случаи заражения.

Этиология и патогенез. Возбудителем оспы является ДНК-содержащий вирус (Poxvirus variola). Колонии вируса видны под световым микроскопом в виде элементарных телец. Тельца Пашена представляют собой мелкие кокковидные образования, тельца Гуарниери - более крупные образования. Источник инфекции - больной человек. Заражение происходит воздушно-капельным и контактным путем. Входными воротами чаще являются органы дыхания, где появляется первичное поражение. Из места первичного поражения вирус в короткие сроки распространяется в организме, как следствие вирусемии возникают множественные вторичные поражения, которые особенно выражены в коже.

Патологическая анатомия. При натуральной оспе поражаются кожа и дыхательные пути, наиболее типично поражение кожи. Различают три основные формы натуральной оспы: папулопустулезную, геморрагическую и вариолоид.

Папулопустулезная форма характеризуется появлением на коже папулопустулезной сыпи, особенно обильной на лице, волосистой части головы, шее, груди, спине. Самые ранние изменения возникают в дерме в виде полнокровия, отека, незначительной периваскулярной клеточной инфильтрации. Вслед за этим наступает пролиферация, набухание, гидропическая дистрофия клеток росткового (мальпигиева) слоя эпидермиса, которая сменяется его баллонной дистрофией, или «баллонирующей дегенерацией» эпидермиса (рис. 255).

Баллонообразные клетки сливаются и образуют пузырьки, разделенные на камеры тяжами эпителиальных клеток; клетки, входящие в эти тяжи, сдавливаются, подвергаются дистрофии, ядра их сморщиваются(ретикулярная дегенерация). Макроскопически эти образования вначале имеют вид папул, затем превращаются в везикулы и гнойнички - пустулы (рис. 256). На 3-й неделе пустулы заживают, оставляя рубчики разных размеров в зависимости от глубины деструктивного процесса.

Геморрагическая форма характеризуется присоединением к папулам и пустулам кровоизлияний, сопровождается отеком кожи, полнокровием. На коже появляются сливные и крупнопятнистые кровоизлияния, мно-

617

Рис.

255. Натуральная оспа. Баллонная дистрофия эпидермиса: цитоплазма заполнена огромными вакуолями (В), в которых находятся частицы вируса (Вр); ультраструктуры клетки разрушены. х1 000 000 (по Девису и др.)

618

Рис. 256. Изменения кожи при оспе

жество пузырей, которые лопаются, что ведет к образованию кровоточащих дефектов кожи («черная оспа»). Для этой формы характерно очень тяжелое течение, исходом которого становится смерть больных. Важное клинико-эпидемиологическое значение имеет так называемая оспенная пурпура - форма натуральной оспы, протекающая как острый сепсис и всегда быстро заканчивающаяся гибелью больных.

Вариолоид - легкая форма натуральной оспы, которая может протекать как с сыпью, так и без нее. Она наблюдается у ревакцинированных лиц, нередко в период инкубации. Заболевание заканчивается благоприятно, но может провоцировать скрыто протекающие болезни крови, сердца, легких и др.

Характерные для оспы изменения встречаются в слизистой оболочке дыхательных путей и легких. В слизистой оболочке трахеи и бронхов на фоне катаральных изменений образуются везикулы и пустулы. В легких могут возникать очажки некроза. В слизистой

619

оболочке полости рта, пищевода, кишечника, влагалища также могут развиваться оспенные пустулы с изъязвлением. В яичках нередко появляются очаги некроза («некротический» орхит). Иногда очаги некроза встречаются и в костном мозге эпифизов трубчатых костей (оспенный остеомиелит). Селезенка резко увеличена, полнокровна; микроскопически в ней обнаруживаются миелоз, кровоизлияния, очаги некроза. Лимфатические узлы увеличены, в них отмечают гиперплазию фолликулов и фокусы некроза.

Осложнения. Очень опасны осложнения, связанные с развитием оспенных гнойников в конъюнктиве глаза, что может привести к разрушению роговицы и слепоте. Поражение слизистой оболочки среднего уха приводит к глухоте. Оспенные пустулы могут быть источником флегмоны кожи. В легких развиваются абсцессы, гангрена.

Смерть больных оспой наступает от оспенного токсикоза, сепсиса или от осложнений в связи с присоединившейся бактериальной инфекцией.

Бешенство

Бешенство (rabies, от лат. rabere - бесноватый), водобоязнь, гидрофобия (от греч. hydor -

вода, hobos - боязнь) - острое инфекционное заболевание, которым болеют люди и животные (антропозооноз), характеризуется поражением центральной нервной системы.

Этиология и патогенез. Возбудителем болезни является вирус бешенства из семейства рабдовирусов, патогенный для человека и большинства теплокровных животных. Заражение человека происходит при укусе больным животным. Кожная рана считается входными воротами инфекции. Из раны вирус, обладающий нейротропностью, распространяется по периневральным пространствам, достигает нервных клеток головного и спинного мозга, внедряется в них и репродуцируется. Инкубационный период длится 30-40 дней. Продолжительность болезни - 5-7 дней. В течение заболевания различают стадию предвестников, возбуждения и паралитическую. В момент начала заболевания в области укуса, который к этому времени заживает рубцом, нередко вспыхивает экссудативное воспаление, а в периферических нервах той же области обнаруживаются воспалительные инфильтраты и распад миелиновых оболочек.

Патологическая анатомия. Характерные для бешенства изменения выявляются главным образом в головном мозге, который становится отечным, полнокровным, иногда с мелкими кровоизлияниями в области продолговатого мозга. Характерные изменения, которые находят лишь при микроскопическом исследовании, касаются нервных клеток стволовой части головного мозга, стенок III желудочка мозга и гиппокампа. В результате репродукции вируса бешенства в нервных клетках развиваются хроматолиз, гидропия, завершающиеся некрозом. Вокруг погибших нервных клеток, мелких сосудов обнаруживаются скопления микроглиальных и лимфоидных клеток, образующих узелки бешенства. Их особенно много в продолговатом мозге, области водопровода большого мозга (сильвиев водопровод), но они встречаются и в других отделах нервной системы. Иногда появляются мелкие кровоизлияния. Описанные изменения в головном мозге соответствуют картине энцефалита. Аналогичные изменения

620