Материал: Патан Серов учебник

Внимание! Если размещение файла нарушает Ваши авторские права, то обязательно сообщите нам

который в 1986 г. был назван «ВИЧ». В последнее время этот вирус стали обозначать ВИЧ-1, так как был выявлен другой вирус-ВИЧ-2 (вирус «африканского СПИДа»),

который чаще обнаруживается у аборигенов Западной Африки. Обнаружено много различных штаммов вируса благодаря его феноменальной склонности к мутациям. Диаметр зрелых вирусных частиц 100-140 мкм. Нуклеоид содержит две молекулы РНК (геном вируса) и обратную транскриптазу. Капсид содержит два гликопротеида - 41 и 120, причем последний обеспечивает специфическое связывание вируса с клетками, несущими на своей поверхности антиген СД4. Такими клетками являются прежде всего Т4-лимфоциты (хелперы), в меньшей степени - моноциты и макрофаги, а также микроглия. ВИЧ нестоек во внешней среде и гибнет при температуре 56 °С в течение 30 мин, при 70-80 °C - в течение 10 мин, быстро инактивируется этиловым спиртом, ацетоном, эфиром, 1% раствором глютаральдегида и др., но относительно устойчив к действию ионизирующей радиации и ультрафиолетовому облучению.

Происхождение вируса спорно. Наиболее доказательной считается «теория африканского происхождения», согласно которой ВИЧ в течение длительного времени существовал в Центральной Африке, где СПИД носил характер эндемического заболевания. В середине 70-х годов нашего столетия в связи с усиленной миграцией населения из Центральной Африки, обусловленной засухой и голодом, ВИЧ был завезен в США и Западную Европу, где он долго циркулировал среди гомосексуалистов, а затем стал распространяться среди других слоев населения.

Патогенез. При заражении ВИЧ попадает в кровь непосредственно (при инъекциях) либо через поврежденные слизистые оболочки половых путей (при половом контакте) и связывается с клетками, к которым обладает тропизмом. При взаимодействии вируса с клеткой-мишенью его оболочка сливается с клеточной мембраной, вирус оказывается внутри клетки. С РНК вируса с помощью обратной транскриптазы снимается ДНК-копия (провирус), которая встраивается в хромосомную ДНК клетки-мишени. Вирусный генетический материал остается в клетке пожизненно, при делении клетки он передается ее потомству. ВИЧ ведет себя различно в зависимости от типа зараженной клетки, уровня ее активности, а также от состояния иммунной системы. В Т4-лимфоцитах он может находится в латентном состоянии неопределенно долго, чем объясняется возможность длительного латентного вирусоносительства при СПИДе. Активация Т4-лимфоцитов (например, при инифицировании другим агентом) может спровоцировать бурную репликацию ВИЧ, что ведет к массовой гибели клеток. В моноцитах и макрофагах репликация происходит очень медленно, без выраженного цитопатического действия, но изменяя функциональное состояние клетки. Разнообразное поведение вируса в клетке-мишени определяется сложной организацией его генома, в состав которого входят не только структурные гены (с ними связан синтез вирусспецифичных белков), но и регуляторные гены, взаимодействие которых определяет начало репликации и ее интенсивность. Сложные механизмы регуляции репликации ВИЧ находятся в тесном взаимодействии с метаболизмом клетки-хозяина.

Ведущим звеном в развитии иммунодефицита считают поражение Т4- лимфоцитов (хелперов), которое подтверждается у больных СПИДом прогрессирующей лимфопенией. Не

611

только уменьшается количество Т-хелперов, но и снижается отношение Т48 (хелперносупрессорное отношение), которое при СПИДе всегда меньше 1. Снижение T4/T8 является главной особенностью иммунологического дефекта при СПИДе и определяется при всех его клинических вариантах.

Механизм гибели Т4-лимфоцитов нельзя сводить только к цитопатическому действию вируса. Большое значение имеет образование нежизнеспособных многоядерных клеточных симпластов, связанных с зараженной клеткой, причем одна зараженная клетка может связывать до 500 нормальных. Экспрессируемые на поверхности инфицированных клеток вирусные антигены стимулируют иммунный ответ в виде продукции анти-ВИЧ-антител и цитотоксических лимфоцитов, которые обусловливают цитолиз как поврежденных, так и неповрежденных Т4-клеток. Гибель непораженных Т4-лимфоцитов связана с их способностью связывать свободные молекулы вирусного гликопротеина, отделившегося от зараженных клеток и циркулирующих в крови. В последнее вре.мя установлено, что ВИЧ не только приводит к уменьшению количества Т4-лимфоцитов, но и вызывает выделение оставшегося растворимого фактора супрессии, в результате чего Т4-клетки теряют способность осуществлять узнавание антигена.

Количественные и качественные изменения Т4-лимфоцитов, которые являются «дирижерами» иммунного процесса, а также повреждение вирусом макрофагов приводят к грубому полому в первую очередь клеточного, а также и гуморального иммунитета. Повреждение клеточного иммунитета у больных СПИДом проявляется резким снижением, а в финале заболевания и полной утратой реакций ГЗТ на различные антигены, как и снижение реакции бласттрансформации in vitro. Повреждение гуморального иммунитета представлено неспецифической поликлональной активацией В-клеток, сопровождающейся повышением уровня сывороточных иммуноглобулинов. Однако способность формировать специфический гуморальный ответ снижается по мере прогрессирования заболевания. В финале развивается угнетение и гуморального звена иммунитета.

Особенности взаимодействия ВИЧ с клеткой, а также раннее и прогрессирующее повреждение иммунной системы приводят к тому, что организм оказывается неспособным элиминировать ВИЧ и противостоять вторичной инфекции. Он становится беззащитным в отношении воздействия многих вирусов, грибов, некоторых бактерий (в частности, микобактерий туберкулеза). Ведущими в клинике СПИДа становятся оппортунистические инфекции и опухоли.

Периоды течения СПИДа и их морфология. Полагают, что все инфицированные ВИЧ рано или поздно заболевают СПИДом. Заболевание развивается длительное время (от 1 года до 15 лет), медленно прогрессирует, проходя несколько периодов (стадий), имеющих определенное клиниче-

ское и морфологическое выражение. Среди периодов СПИДа различают: 1) инкубационный; 2) персистирующей генерализованной лимфоаденопатии; 3) пре-СПИД, или СПИДассоциированньгй комплекс; 4) СПИД (схема XXIII).

612

Инкубационный период, его продолжительность зависит от путей и характера заражения, величины инфицирующей дозы, первоначального состояния иммунной системы; он может длиться от нескольких недель до 10-15 лет. В этот период можно установить сам факт инфицирования при определении в крови антигена или анти-ВИЧ-антител. Количество антигена вируса в крови в первое время резко увеличивается, затем, начиная с 6-8-й недели, когда появляются анти-ВИЧ-антитела, снижается, т.е. происходит сероконверсия. Некоторые исследователи выделяют сероконверсию в самостоятельный период СПИДа.

В большинстве случаев в инкубационный период симптомов заболевания нет, однако у некоторых отмечается синдром, похожий на мононуклеоз: лихорадка, увеличение различных групп лимфатических узлов,

Схема XXIII. Периоды СПИД

иногда острый энцефалит. Но проявления этого синдрома проходят обычо в течение нескольких недель.

Второй период - период персистирующей генерализованной лимфоаденопатии -

характеризуется стойким, в течение нескольких месяцев, увеличением различных групп лимфатических узлов. В основе лимфоаденопатии лежит неспецифическая гиперреактивность В-клеток, проявляющаяся фолликулярной гиперплазией лимфатических

613

узлов (увеличение лимфоидных фолликулов и их светлых центров). Длительность стадии - 3- 5 лет.

Третий период заболевания, возникающий на фоне умеренного иммунодефицита,

называют преСПИД, илиСПИД-ассоциированным комплексом. Для него характерны лихорадка, лимфоаденопатия, диарея, незначительная потеря массы тела. На этом фоне появляется наклонность к развитию вторичных инфекций - острых вирусных респираторных инфекций, опоясывающего лишая, пиодермии и др. Этот период длится несколько лет.

Четвертый период заболевания, который продолжается около двух лет, - это период синдрома приобретенного иммунодефицита (СПИД). Для него характерны оппортунистические инфекции и опухоли, истощение и деменция. В этот финальный период, как правило, снижается количество анти-ВИЧ-антител (они могут вообще не определяться), а количество вирусных антигенов нарастает, что необходимо учитывать при диагностике

СПИДа.

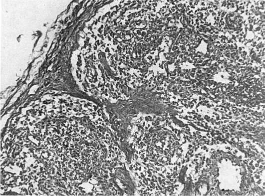
Патологическая анатомия. Происходят изменения лимфатических узлов, характерные поражения ЦНС и изменения, типичные для оппортунистических инфекций и опухолей. Фолликулярная гиперплазия лимфатических узлов сменяется полным истощением их лимфоидной ткани (рис. 253). Лимфатические узлырезко уменьшаются, определяются с трудом. Поражение ЦНС представлено ВИЧ-энцефаломиелитом, при этом основные изменения находят главным образом в белом веществе и подкорковых узлах мозга. При микроскопическом исследовании находят микроглиальные узелки, многоядерные симпласты, в которых удается обнаружить частицы ВИЧ. В боковых и задних столбах спинного мозга определяются очаги размягчения и вакуолизация белого вещества. Благодаря демиелинизации белое вещество приобретает сероватый оттенок. Для оппортунистических инфекций при СПИДе характерно тяжелое рецидивирующее течение, часто с генерализацией процесса и устойчивостью к проводимой терапии. Оппортунистические инфекции могут вызываться простейшими (пневмоцисты, токсоплазмы, криптоспоридии), грибами

(рода Candida, криптококки), вирусами (цитомегаловирусы, герпетические вирусы, некоторые вирусы медленных инфекций), бактериями(Mycobacterium avium intracellulare, легионелла, сальмонелла). Одна из самых частых и характерных инфекций при СПИДе вызывается пневмоцистами. Она приводит к развитию тяжелой пневмонии с образованием в альвеолах большого количества пенистых эозинофильных масс, в ко-

614

Рис.

торых выявляются пневмоцисты. Довольно часто возникает и токсоплазменная инфекция, при которой находят энцефалит; для него характерны фокусы некроза и абсцедирования. При криптоспоридиозе поражается кишечник, развиваются энтериты и колиты, проявляющиеся длительной профузной диареей. Среди поражений грибами часто отмечается кандидоз с вовлечением пищевода, трахеи, бронхов, легких, а также криптококков, склонный к диссеминации процесса. Из вирусных инфекций наиболее типична цитомегаловирусная с развитием ринита, пневмонита, колита, энцефалита. Герпетической инфекции свойственно длительное поражение слизистых оболочек и кожи. Среди бактериальных инфекций наиболее характерна атипичная микобактериальная инфекция Mycobacteria avium intracellulare, которая приводит к развитию диссеминированного процесса с поражением лимфатических узлов и внутренних органов.

Злокачественные опухоли при СПИДе встречаются в 40% случаев. Наиболее характерными являются саркома Капоши (у 30% больных) и злокачественные лимфомы.

Саркома Капоши (множественная идиопатическая геморрагическая саркома) - редкое заболевание, возникающее обычно у мужчин старше 60 лет, характеризуется медленным довольно доброкачественным течением. Проявляется багрово-красными пятнами, бляшками и узлами, расположенными обычно на коже дистальных отделов нижних конечностей. Характерны изъязвления. Возможна самопроизвольная инволюция с возникновением на месте опухоли рубцов и депигментированных пятен. Микроскопически опухоль состоит из множества новообразованных

615