Материал: Патан Серов учебник

Внимание! Если размещение файла нарушает Ваши авторские права, то обязательно сообщите нам

В венах конечностей, надпочечников, почек, мозговых синусах воспалительные изменения сочетаются с образованием тромбов - тромбофлебитов, а в артериях очаговый лизис внутренней эластической мембраны сочетается с утолщением интимы и пристеночными тромбами - тромбартериитом.

Особенности течения гриппа у детей. У детей раннего возраста заболевание протекает тяжелее, чем у взрослых; часто развиваются легочные и внелегочные осложнения. Отмечается преобладание общей интоксикации с поражением нервной системы, обилием петехий во внутренних органах, серозных и слизистых оболочках. Местные изменения иногда сопровождаются катаральным воспалением и отеком слизистой оболочки гортани, сужением ее просвета (ложный круп) и асфиксией.

Осложнения. Они наблюдаются главным образом в легких. Карнификация экссудата, облитерирующий бронхит и бронхиолит, склероз стенки

бронхов ведут к развитию бронхоэктазов, пневмофиброза, хронической обструктивной эмфиземы, хронической пневмонии, легочно-сердечной недостаточности. У детей бронхоэктатическая болезнь в 75% наблюдений связана с тяжелым гриппом в раннем возрасте. Осложнения, возникающие в нервной системе (энцефалит, арахноидит, неврит), способствуют инвалидизации больных.

Смерть при гриппе наступает от интоксикации, кровоизлияний в жизненно важные центры (головной мозг), от легочных осложнений (пневмония, эмпиема плевры), сердечной или сердечно-легочной недостаточности. Большую опасность грипп представляет для маленьких детей, стариков и больных сердечнососудистыми заболеваниями.

Парагрипп

Парагрипп (от греч. рага - возле, около) - гриппоподобное острое инфекционное заболевание, вызываемое вирусами парагриппа; характеризуется преимущественным поражением дыхательных путей и умеренной интоксикацией. Распространен повсеместно, составляет около 20% от общего числа ОРВИ. В эпидемии гриппа нередко является сопутствующим заболеванием. Болеют люди разного возраста, но преимущественно дети.

Этиология и патогенез. Возбудители парагриппа - пневмотропные РНК-содержащие вирусы типов 1-4, относятся к семейству Paramyxoviridae. Вирусы имеют форму неправильных сфер диаметром 150-300 нм или длинных спиралей. Капсид вируса содержит фактор, вызывающий образование многоядерных клеточных симпластов. Вирусы парагриппа менее агрессивны по сравнению с вирусами гриппа. Патогенез парагриппа сходен с таковым при гриппе, однако интоксикация выражена меньше и течение заболевания более легкое. Парагрипп, вызванный вирусами типов 1 и 2, протекает как легкая форма гриппа, однако при этом часто возникают острый ларингит и отек гортани, осложняющиеся ложным крупом и асфиксией. Вирус парагриппа типа 3 ведет к поражению нижних дыхательных путей, а вирус типа 4 вызывает интоксикацию. Показана возможность размножения вируса парагриппа в клетках эпендимы и сосудистых сплетений головного мозга.

606

Патологическая анатомия. Изменения органов дыхания при парагриппе сходны с описываемыми при гриппе, но выражены в меньшей степени. Характерным является пролиферация эпителия трахеи и бронхов с появлением полиморфных клеток, имеющих одно или несколько пузырьковидных пикнотичных ядер. Такие клетки образуют подушкообразные разрастания. Такие же многоядерные клетки встречаются при поражении легких в серознодесквамативном экссудате. Интерстициальная клеточная реакция в легких выражена умеренно, а кровоизлияния редки. Возможно развитие менингоэнцефалита.

Осложнения парагриппа наблюдаются при присоединении вторичной инфекции. Наиболее часто развиваются бронхопневмония, ангина, синуситы, отит, евстахеит.

Смерть больных при неосложненном парагриппе может наступить от асфиксии, обусловленной ложным крупом, или вирусной пневмонии, при присоединении вторичной инфекции - от легочных осложнений. Парагрипп опасен для детей раннего возраста в связи с возможностью генерализации инфекции.

Респираторно-синцитиальная инфекция

Респираторно-синцитиальная инфекция (PC-инфекция) - острое респираторное инфекционное заболевание, вызываемое респираторносинцитиальным вирусом (PCвирусом); обладает высокой контагиозностью и нередко носит эпидемический характер.

PC-инфекцией болеет не только человек, но и некоторые животные (шимпанзе).

Этиология и патогенез. PC-вирус относится к РНК-содержащим вирусам из

семейства Paramyxoviridae и обладает способностью формировать в культуре гигантские клетки и синцитий, имеет диаметр 90-120 нм. Патогенез РС-инфекции сходен с патогенезом гриппа и парагриппа. Первоначально поражаются легкие, позже - верхние дыхательные пути, что чаще встречается у детей младшего возраста. У детей старшего возраста и у взрослых поражаются только верхние дыхательные пути, и заболевание протекает легко. Возможна генерализация инфекции, которая встречается в основном у детей первых месяцев жизни.

Патологическая анатомия. При PC-инфекции находят ларинготрахеобронхит,

бронхиолит ибронхопневмонию. Морфологической особенностью является пролиферация эпителия трахеи, бронхов, бронхиол, альвеолярных ходов в виде сосочков или пластов из нескольких клеток. Эпителиальные пролифераты, как и экссудат, могут вести к обструкции бронхиального дерева и развитию очагов острой эмфиземы и ателектаза легких. Клеточная инфильтрация интерстициальной ткани легких резко выражена и нередко сочетается с деструктивными изменениями стенок альвеол. При бронхопневмонии в воспалительном экссудате обнаруживается большое число крупных клеток, образующих симпласты. В альвеолярных симпластах и сосочковых разрастаниях бронхов методом иммунолюминесценции определяется PC-антиген. В легких случаях PC-инфекции изменения ограничиваются катаральным воспалением верхних дыхательных путей.

607

При генерализации инфекции выявляют характерные изменения во внутренних органах: в кишечнике, печени, поджелудочной железе, почках клеточная воспалительная инфильтрация сочетается с сосочковыми разрастаниями эпителия, в центральной нервной системе - с очаговой пролиферацией эпендимы.

Осложнения. Преимущественно легочные в связи с присоединением вторичной инфекции.

Смерть в тяжелых случаях наступает от пневмонии, легочных осложнений, обусловленных вторичной инфекцией, а также генерализации инфекции.

Аденовирусная инфекция

Аденовирусная инфекция - острое респираторное заболевание, вызываемое аденовирусами; характеризуется поражением дыхательных путей, конъюнктивы, лимфоидной ткани зева и глотки, реже - кишечника и лимфатических узлов брюшной полости.

Этиология и патогенез. Аденовирусы - группа ДНК-содержащих вирусов, образующих в клетках внутриядерные включения. Диаметр вирионов составляет 70-90 нм, они содержат двунитчатую ДНК. В капсиде отсутствуют углеводы, липиды и ферменты. Инфекция передается преимущественно воздушно-капельным путем, источником заражения являются больной человек и носители. Адсорбированный вирус проникает в эпителиальную клетку путем пиноцитоза, вирусная ДНК транспортируется в ядро, где происходит репродукция вируса. Цитопатическое действие вируса проявляется в формировании внутриядерных включений, состоящих из вирусных частиц, что определяет в итоге лизис клетки. Выход вируса из клеток при их гибели ведет к интоксикации, которая выражена в меньшей степени, чем при гриппе. Возможны генерализация процесса с поражением многих органов и тканей, а также присоединение вторичной инфекции.

Патологическая анатомия. Выраженность изменений при аденовирусной инфекции зависит от тяжести ее течения. При легкой форме возникают острое катаральное воспаление верхних дыхательных путей (острый риноларинготрахеобронхит), глотки (острый фарингит), регионарный лимфаденит и острый конъюнктивит. Слизистая оболочка верхних дыхательных путей гиперемирована, отечна, с петехиальными кровоизлияниями,

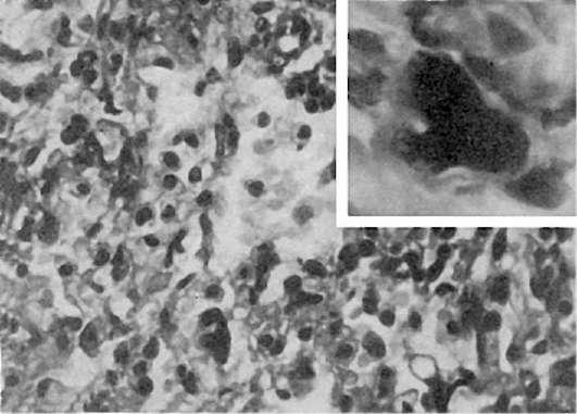
лимфогистиоцитарной инфильтрацией и выраженной десквамацией эпителиальных клеток. В цитоплазме десквамированных клеток находят фуксинофильные включения, увеличенные в размерах ядра содержат включения аденовируса. Такие аденовирусные клетки (рис. 252) являются маркером аденовирусной инфекции. У детей до 1 года нередко возникает пневмония, связанная со специфическим действием аденовируса -аденовирусная пневмония (см. рис. 252). В экссудате, который состоит из белковых масс с незначительным числом макрофагов, лимфоидных клеток, нейтрофилов и альвеолярного эпителия, обнаруживаются аденовирусные клетки. В межальвеолярных перегородках среди пролиферирующих септальных клеток также встречаются аденовирусные клетки. Иногда в альвеолах образуются гиалиновые мембраны.

608

Тяжелая форма заболевания обусловлена генерализацией вируса или присоединением вторичной инфекции. При генерализации инфекции вирусы размножаются в эпителиальных элементах кишечника, печени, почек, поджелудочной железы, ганглиозных клетках головного мозга, при этом образуются аденовирусные клетки. В этих органах развиваются расстройства кровообращения и воспаление. Присоединение вторичной инфекциименяет характер морфологических изменений в органах, присоединяются нагноение и некроз.

Рис.

252. Аденовирусная инфекция. Вверху справа - аденовирусная клетка

Осложнения. Отит, синусит, ангина, пневмония, развитие которых связано с присоединением вторичной инфекции.

Смерть может наступить от аденовирусной пневмонии, легочных осложнений в связи с присоединением бактериальной инфекции или от распространенных поражений внутренних органов (особенно головного мозга) при генерализации инфекции.

СПИД

СПИД (синдром приобретенного иммунодефицита) - заболевание, вызываемое вирусом иммунодефицита человека (ВИЧ). Свое название получило в связи с развивающимся в финале заболевания тотальным угнетением иммунной системы, сопровождающимся развитием оппортунистических инфекций и опухолей (саркома Капоши, злокачественные лимфомы). Оппортунистическими называют инфекции, вызываемые условно-патогенными (маловирулентными) возбудителями, заражение которыми у здорового человека не сопровождается патологическими изменениями. СПИД всегда заканчивается летально.

Эпидемиология. Первые случаи СПИДа появились в США в 1979 г., но официально заболевание зарегестрировано лишь два года спустя. В последующие годы распространение

609

СПИДа получило характер пандемии. К марту 1988 г. было зарегистрировано 81 433 случая заболевания в 133 странах, однако, поскольку диагностируется лишь небольшой процент случаев СПИДа, по мнению ВОЗ, реальная цифра больных - 250 тыс. Общее количество инфицированных 5-10 млн, из них к 1991 г. заболеет не менее 1 млн человек. Большая часть больных выявлена в США, странах Западной Европы, Африке. В Центральной Африке создалось катастрофическое положение, так как в отдельных ее регионах инфици-

ровано 5-20% взрослого населения. Примерно через каждые 8-10 мес число больных СПИД удваивается, из них половина умирает в течение 5 лет. Среди заболевших преобладают лица в возрасте 20-50 лет (пик заболевания приходится на 30-40 лет); нередко болеют дети.

Источником заражения является больной человек и вирусоноситель. Наибольшая концентрация вируса обнаруживается в крови, сперме, спинномозговой жидкости, в меньших количествах вирус выявляется в слезах, в слюне, цервикальном и вагинальном секретах больных. В настоящее время доказаны 3 пути передачи вируса: 1) половой (при гомосексуальных и гетеросексуальных контактах); 2) посредством парентерального введения вируса с препаратами крови или при использовании инфицированных инструментов; 3) от матери ребенку - транспланцентарный или с молоком. Другие пути передачи вируса (воздушно-капельный, контактно-бытовой, фекально-оральный, трансмиссивный - через укус кровососущих насекомых) убедительных доказательств не получили.

Среди населения США, Канады, а также европейских стран четко определяются контингенты населения, в которых заболеваемость СПИДом особенно высока, что позволило выделить группы риска. К ним отнесены: 1) гомосексуалисты; 2) наркоманы, пользующиеся внутривенным введением наркотиков; 3) больные гемофилией; 4) реципиенты крови; 5) гетеросексуальные партнеры больных СПИДом и вирусоносителей, а также лиц, входящих в группы риска; 6) дети, родители которых принадлежат к одной из групп риска.

Для пандемии СПИДа характерна неравномерность географического, расового и полового распределения случаев заболевания. В США и других промышленно развитых странах с большим числом заболевших основные пути распространения вируса - гомосексуализм и внутривенное применение наркотиков, причем среди больных примерно в 1015 раз больше мужчин. В Центральной, Восточной и Южной Африке, а также некоторых странах Карибского бассейна СПИД распространяется преимущественно гетеросексуальным путем, при этом число заболевших мужчин и женщин примерно одинаково. В этих районах также высока роль перинатальной (от матери ребенку) передачи вируса, а также заражение с донорской кровью.

ВВосточной Европе, на Ближнем Востоке, в Азии зарегистрировано немного случаев СПИДа.

Вэтих регионах зарегистрированы случаи заражения при половых контактах и внутривенных инъекциях, в некоторых случаях заболевание было вызвано импортированной донорской кровью и кровепродуктами. Современная эпидемиологическая ситуация по СПИДу не дает оптимистического прогноза на будущее.

Этиология. Вирус СПИДа впервые выделили в 1983 г. независимо друг от друга Л. Монтанье (Франция) и Р. Галло (США). Им оказался вирус из семейства Т-лимфотропных ретровирусов,

610