Материал: Микро Экзамен

Внимание! Если размещение файла нарушает Ваши авторские права, то обязательно сообщите нам

22. Меланома

( МЕЛАНОБЛАСТОМА)

ОПУХОЛИ МЕЛАНИНООБРАЗУЮЩЕЙ ТКАНИ

Злокачественная опухоль

Это одна из самых злокачественных опухолей, очень рано и быстро метастазирует.

Развивается в коже, пигментной оболочке глаза, мозговых оболочках, мозговом слое надпочечников. Может иметь вид коричневого пятна с

розовыми и черными вкраплениями, иногда встречаются беспигментные меланомы.

Возможно развитие меланомы из невуса.

Меланомы кожи делятся на три типа:

1)поверхностно-распространяющуюся.

2)узловую.

3)злокачественную лентиго-меланому.

МЕЛАНОМА состоит из веретенообразных или полиморфных, уродливых клеток.

В опухоли много митозов, отмечаются очаги кровоизлияний и некроза.

Метастазирует лимфогенно и гематогенно.

Микро.В базальных слоях многослойного плоского эпителияи в дерме имеются скопленияполиморфных клеток, содержащих меланин (бурый пигмент, пигментные клеткипроизводное нейроэктодермы)

ХОДЖКИНА)-

23. Лимфогрануломатоз лимфатического узла

ОПУХОЛИ СИСТЕМЫ КРОВИ (ГЕМОБЛАСТОЗЫ)

ЛИМФОМЫ-РЕГИОНАРНЫЕ ОПУХОЛЕВЫЕ ЗАБОЛЕВАНИЯ

ХОДЖСКИНСКАЯ ЛИМФОМА

Злокачественная опухоль

(неходжкинские лимфомы: ретикулосаркома, грибовидный микоз, болезнь Сезар ́)

ЛИМФОГРАНУЛЕМАТОЗ(болезнь

злокачественное заболевание лимфоидной ткани, характерным признаком которого является наличие гигантских клеток

Рид — Березовского — Штернберга,

обнаруживаемых при микроскопическом исследовании поражённых лимфатических

узлов.

Наиболее характерный признак лимфогранулематоза пролиферация атипичных клеток:

МАЛЫЕ КЛЕТКИ ХОДЖКИНА

(АНАЛОГИЧНЫ

Рисунок лимфатического узла стерт, фолликулы не определяются

ЛИМФОБЛАСТАМ

ОДНОЯДЕРНЫЕ ГИГАНТСКИЕ КЛЕТКИ

(большие клетки ХОДЖКИНА)

Многоядерные клетки Рид-

Березовского-Штернберга

микроскопически обнаруживается стирание рисунка лимфоузла (невозможно выделить фолликулы, деление на зоны), наблюдается вытеснение лимфоидной ткани опухолевой. Необходимо отыскать диагностические клетки опухоли.

24. Крупозная пневмония (серое опеченение)

ИЛИ ДОЛЕВАЯ или ЛОБАРНАЯ или ФИБРИНОЗНАЯ или ПЛЕВРОПНЕВМОНИЯ

ОСТРЫЕ ВОСПАЛИТЕЛЬНЫЕ ЗАБОЛЕВАНИЯ ЛЕГКИХ

Стадия серого опеченения

Эта стадия возникает на 4-6 день болезни. В просвете альвеол можно видеть нити фибрина, нейтрофилы и макрофаги, которые фагоцитируют пневмококки. В этой стадии начинается лизис фибрина нейтрофилами.

Макроскопически доля легкого увеличена, плотная, на плевре фибринозные наложения. При разрезе легкое СЕРОГО цвета, с его зернистой поверхности стекает мутноватая жидкость.

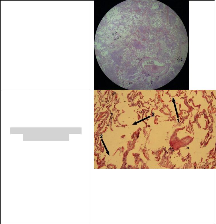
25. Хроническая обструктивная эмфизема легких

хроническое неспецифическое заболевание легких

Различают несколько видов эмфиземы: хроническую диффузную обструктивную , хроническую очаговую , викарную, первичную панацинарную, старческую и межуточную.

Макроскопическая картина: легкие увеличены,

вздутые, бледные, мягкие, не спадаются и режутся с хрустом.

Микроскопическая картина:

Стенки альвеол тонкие, выпрямляются. Бронхи утолщенные, с воспалительным инфильтратом

Стенки альвеол истончены(1), видны разрывы альвеол, приводящие к образованию крупных полостей(2).

26. Острая язва желудка

Чаще всего в малой кривизне,антрально и пилорическом отделе

Основным морфологическим субстратом язвенной болезни является хроническая рецидивирующая язва. В своем морфогенезе она проходит стадии эрозии и острой язвы

э р о з и я –дефект слизистой до мышечной пластинки ее

о с т р а я я з в а – имеет округлую или овальную форму, диаметр от 2 мм до 3 см, края острой язвы мягкие, дном является мышечная оболочка, реже — серозная

х р о н и ч е с к а я я з в а

Осложнения острой язвы: кровотечение, прободение (сквозное разрушение язвой всех слоев стенки органа).

Солянокислый гематин - железосодержащий гемоглобиногенный пигмен, образующийся в язве при окислении гемоглобина соляной кислотой