Материал: Лучевая диагностика и лучевая терапия

Внимание! Если размещение файла нарушает Ваши авторские права, то обязательно сообщите нам

В зависимости от способа и типа регистрации излучений все радиометрические приборы разделяются на следующие группы: для регистрации радиоактивности отдельных проб различных биологических сред и образцов (лабораторные радиометры); для измерения величины абсолютной радиоактивности образцов или растворов радионуклидов (дозкалибраторы); для измерения радиоактивности тела исследуемого или отдельного органа больного (медицинские радиометры); для регистрации динамики перемещения РФП в органах и системах с представление информации в виде кривых (радиографы);

для регистрации распределения РФП в теле больного или в обследуемом органе с получением данных в виде изображений (сканеры) или в виде кривых распределения (профильные сканеры);

для регистрации динамики перемещения, а также для изучения распределения в теле больного и исследуемого органа РФП (сцинтилляционная гамма-камера).

2. Общие понятия развития костной системы

От слова «кость» возникло понятие «костность», т.е. неизменность. Так считали древние. С появлением систематизированной анатомии стало ясно, что скелет проходит сложный путь развития. Первым начинает формироваться соединительнотканный скелет, затем со второго месяца утробной жизни происходит его преобразование в хрящевой скелет. И только к 22-23 годам происходит окончательное формирование костного скелета. Но разумеется на этом изменения в скелете не заканчиваются. Функциональная перестройка продолжается и в дальнейшем: с 40-45 лет отмечаются инволютивные изменения в скелете - разрежение структуры костной ткани, обызвествление в местах прикрепления связок к поверхности кости, утолщение замыкающей пластинки эпифизов, постепенное сужение суставных щелей. Все эти периоды отражаются при лучевых исследованиях костно-суставного аппарата. Сущность постнатального формирования костно-суставной системы можно описать следующими процессами: скелет претерпевает различные структурные изменения на протяжении всей жизни. В детском возрасте это процессы оссификации, в пожилом это дегенеративно-дистрофические процессы. Начинает своё формирование соединительно-тканный скелет, затем со второго месяца внутриутробного развития начинает преобразовываться в хрящевой скелет, затем идут процессы перехода к костному скелету. Завершает своё развитие скелет человека к 25 годам. Все эти процессы находят своё отражение при рентгенологическом исследовании. Ребенок рождается с неполностью ещё оссифцированным скелетом.

Костной тканью образованы только диафизы и частично метафизы трубчатых костей, часть тел и дуг позвонков, лопатки кости таза, таранная и пяточная кости стопы. Эпифизы и часть метафизов трубчатых костей, апофизы, кости запястья и переднего отдела предплюстны, краевые отделы тела лопатки, костей таза, тел позвонков имеют хрящевое строение. Исключением из этого перечня представляет только дистальный эпифиз бедренной кости и проксимальный эпифиз большеберцовой. Наличие в них ядер окостенения является признаком доношенности плода. Полное окостенение происходит уже после рождения - в постнатальном периоде - в результате последовательного появления центров оссификации, прогрессивно увеличивающихся в размерах ии заполняющих костной тканью хрящевые модели апофизов, эпифизов, тел позвонков костей запястья и предплюстны. Параллельно с процессами окостенения происходит и увеличение размеров хрящевых отделов костей. Формирование костно-суставной системы по взрослому типу заканчивается в основном к 16-17 годам, хотя процесс оссификации медиальных поверхностей лобковых костей и рост позвонков продолжается до 20-22 лет Показателями окончания энхондрального костеобразования является синостозирование метаэпифизарных и апофизарных ростковых зон.

. Классификация костей скелета

Различают длинные кости, короткие, плоские и воздухоносные. Трубчатые кости. Делятся на длинные и короткие. Длинные кости характеризуются большим размером длинны, чем ширины и толщины. Включают в себя: диафиз (среднюю часть), эпифизы (проксимальный и дистальный суставные концы). Участок, примыкающий к эпифизу называют метафизом. У детей выделяют еще и прослойку эпифизарного хряща (на рентгенограммах-полоска просветления) между эпифизом и метафизом.

Костные выступы на метафизах имеющие собственные центры окостенения, служат местом прикрепления сухожилий и называются апофизами. Примеры: кости конечностей. Короткие кости. Имеют все приблизительно равные размеры. Располагаются в отделах скелета с большой подвижностью. Например: кости кистей, стоп, позвоночника. Плоские кости. Имеют два размера преобладающих над третьим. Служат для прикрепления больших мышц и/или выполняют защитную роль. Пример: лопатки, кости таза и черепа. Воздухоносные, или пневматизированные кости. Входят в состав костей черепа, имеют неправильную форму. Пример: височная, клиновидные кости.

. Строение костей, их лимфо-кровоснабжение, иннервация

В структуре кости выделяют губчатое и компактное вещество. Компактное вещество, покрывающее все отделы кости, кроме суставных поверхностей, называется корковым. Самая большая толщина коркового вещества находится в области средины диафизов длинных костей. Здесь компактное вещество имеет остеонное строение. Остеоны - это цилиндры, образованные гаверсовыми пластинками, расположенными соответственно длиннику кости, соединяющейся между собой. Корковое вещество ограничено снаружи системой наружных генеральных пластинок, а от губчатого вещества - системой внутренних пластинок. Губчатое вещество на рентгенограммах дает особый костный рисунок, составленный переплетом костных балок. Эти костные балки и трабекулы располагаются в виде изогнутых пластинок, соединенных поперечными перекладинами, или имеют вид трубок, образующих ячеистую структуру.

Соотношение костных балок и трабекул с костномозговыми пространствами обуславливает костную структуру. Она зависит как от генетической информации, так и от внешних факторов, возникающих на протяжении жизни. В поперечном направлении корковое вещество пронизано системой фолькмановских каналов. Через них в кость проходят нервы и сосуды. Внутренняя поверхность коркового вещества без резкой границы переходит в пластинки губчатого вещества, из которого формируются балки, расположенные соответственно силовым линиям. Между пластинками губчатого вещества расположены ячейки с костным мозгом. Тонкая соединительная пластинка, выстилающая наружную поверхность кости, называется надкостницей или периостом. Она состоит из: наружного волокнистого слоя и внутреннего камбиального. В камбиальном слое и в эндосте находятся особые клетки: остеобласты и остеокласты, благодаря которым происходят процессы построения и рассасывания костной ткани. Кровоснабжение костей зависит от состояния сердечно-сосудистой системы, центральной нервной системы и др. Лимфатические сосуды находятся только в наружном слое периоста. Кроме того, надкостница богата нервными веточками.

. Соединение костей, строение суставов

Соединения костей подразделяют на неподвижные или малоподвижные и подвижные (истинные суставы). Неподвижные, в свою очередь, делят в зависимости от типа соединяющей ткани на: 1. синдесмозы или соединительнотканные соединения, пример - соединение костей черепа. 2. синхондрозы или хрящевые соединения, пример - лобковое сочленение 3. синостозы или костные соединения, пример - кости таза Суставы это сложные соединения костей с различными вспомогательными компонентами. Суставы могут быть малоподвижными и свободноподвижными.

В зависимости от количества сочленяющихся поверхностей подразделяются на простые и сложные. Обычный сустав включает в себя: 1. суставные поверхности костей 2. суставные хрящи 3. суставную полость 4. суставную капсулу или сумку 5. вспомогательный связочный аппарат. Сочленяющиеся поверхности суставной головки и суставной впадины покрыты гиалиновым хрящом. Для большего соответствия суставных поверхностей существуют дополнительные хрящевые образования: диски, мениски, губы, сесамовидные косточки и т.д. Суставная капсула состоит из двух слоев: наружного (продолжение надкостницы) и внутреннего (синовиальной ткани, продуцирующей синовиальную жидкость).

6. Рентген анатомия костной системы

Рентгенография является одним из основных методов исследования позвоночника. Стандартные проекции при рентгенографии позвоночника - прямая и боковая. В норме позвоночник, представленный 24 позвонками, образует естественные изгибы: кпереди в шейном и поясничном отделах, кзади - в грудном и крестцовом. Эти физиологические отклонения от срединной линии видны на боковых рентгенограммах. Изучение функционального состояния позвоночника проводят путем выполнения рентгеновских снимков в боковой проекции в положении максимального сгибания, максимального разгибания и в среднем положении. Пример рентгенограмм поясничного отдела позвоночника представлен на рис. 3.

Обзорные рентгенограммы черепа в прямой и боковой проекциях являются основой для изучения костей мозгового и лицевого черепа (рис. 3)

Рис. 3. Рентгенограмма поясничного отдела позвоночника в прямой (а) и боковой (б) проекциях: 1 - тело позвонка; 2 - суставной отросток; 3 - поперечный отросток; 4 - остистый отросток; 5 - пространство межпозвонкового диска; 6 - верхняя замыкательная пластинка тела позвонка; 7 - нижняя замыкательная пластинка; 8 - подвздошно-крестцовое сочленение; 9 - крестец

Исследование затрудняет дифференцирование тканей, но все же удается различать множество анатомических структур. Толщина костей свода невелика - от 0,5 до 1 см. В области теменных и затылочных бугров кости толще, в области височной впадины - тоньше.

Рис. 4. Обзорные рентгенограммы черепа (а - прямая, б - боковая проекции): 1 - лобная кость; 2 - теменная кость; 3 - затылочная кость; 4 - височная кость; 5 - клиновидная кость, 6 - решетчатая кость; 7 - глазница; 8 - верхняя челюсть и верхнечелюстная пазуха; 9 - носовая перегородка; 10 - нижняя челюсть

Рис. 5. МСКТ черепа: а - поперечный срез; б - трехмерная реконструкция, вид спереди; в - трехмерная реконструкция, вид сбоку ференцируются борозды оболочных артерий, каналы и звездчатые разветвления диплоэтических вен и пахионовых грануляций, а также пальцевые вдавления. Отдельные кости черепа соединяются между собой разного вида швами. В черепе ребенка места с неоконченным окостенением называются родничками.

Верхнюю и нижнюю челюсти, височно-нижнечелюстной сустав исследуют с помощью традиционной рентгенографии и на специальных дентальных рентгенодиагностических аппаратах. В специализированных клиниках к рентгеновскому методу добавляется КТ и МРТ.

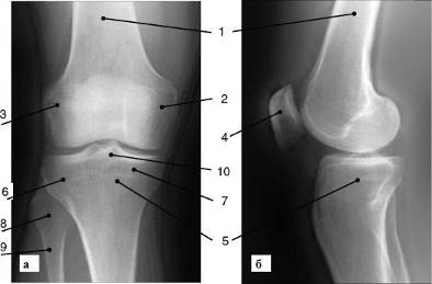
Суставы состоят из суставных поверхностей соответствующих костей и хрящевых структур. Последние на рентгенограммах не определяются. Из-за проекционного искажения суставная щель на рентгенограммах шире анатомической. Суставные концы костей четко очерчены и окаймлены плотной замыкающей (субхондральной) пластиной, которая имеет вид плотной тонкой тени. Эта тень является продолжением тени коркового слоя диафиза (рис. 6).

Рис. 6. Рентгенограмма коленного сустава (а - передняя; б - боковая проекция): 1 - бедренная кость; 2 - латеральный мыщелок бедренной кости; 3 - медиальный мыщелок бедренной кости; 4 - надколенник; 5 - большеберцовая кость; 6 - латеральный мыщелок большеберцовой кости; 7 - медиальный мыщелок большеберцовой кости; 8 - головка малоберцовой кости; 9 - шейка малоберцовой кости; 10 - межмыщелковое возвышения суставов широко используют МР-томографию и ультразвуковое исследование.

Внедрение МР-томографии позволило значительно улучшить качество исследования суставов.

Рис. 7. МР-томограмма коленного сустава (а - фронтальный срез; б, в - сагиттальные срезы; г - парасагиттальный срез): 1 - бедренная кость; 2 - латеральный мыщелок бедренной кости; 3 -медиальный мыщелок бедренной кости; 4 - надколенник; 5 - большеберцовая кость; 6 - латеральный мыщелок большеберцовой кости; 7 - медиальный мыщелок большеберцовой кости; 8 - головка малоберцовой кости; 9 - шейка малоберцовой кости; 10 - межмыщелковое возвышение; 11 - медиальный мениск, передний рог; 12 - латеральный мениск, передний рог; 13 - латеральный мениск, задний рог; 14 - передняя крестообразная связка; 15 - задняя крестообразная связка

Такое исследование позволяет врачам визуализировать не только окружающие сустав мышцы и связки, но и суставную сумку, покрывающие хрящи, мениски и определять количество жидкости в суставах (рис. 7).

УЗИ суставов в настоящее время все активнее внедряется в клиническую практику. Благодаря короткому времени выполнения и безвредности УЗИ его можно проводить не только в специализированных кабинетах. Достоинством метода является также существенный объем получаемой диагностической информации. При УЗИ можно изучать состояние костей, мягких тканей, связок и хрящей (рис. 3-8), визуализировать даже незначительные количества жидкости.

Рис. 8. УЗИ локтевого сустава (норма). Стрелкой указана головка лучевой кости

У детей рентгенологическое изображение скелета отличается рядом особенностей. Это связано с наличием росткового хряща и ядер окостенения. Рентгенологическая картина суставов у детей зависит от возраста ребенка. Примером отличий рентгенограмм скелета ребенка от рентгенограммы взрослого человека является снимок костей кисти трехлетнего ребенка.

Рис. 9. Рентгенограмма кисти 3-летнего ребенка (норма). Видны широкие зоны роста и ядра окостенения

Из всех компонентов опорно-двигательной системы естественной рентгеновской контрастностью обладает только костная ткань. Хрящевая ткань "проницаема" для рентгеновских лучей. Поэтому на рентгенограммах костей и суставов детей не получает отображение целый ряд анатомических образований. Например: на первом году жизни это эпифизы трубчатых костей, кости запястья и предплюсны, в более старшем возрасте - апофизы и бугристости костей. Рентгенограммы отображают морфологию кости - ее форму, очертания и внутреннее строение. Рентгеновское излучение поглощается в основном плотными частями кости, содержащими соли кальция, т.е. костными балками. Надкостница, эндост, костный мозг, сосуды, нервы, суставной и ростковый хрящ не дают в норме на обычной рентгенограмме различимой тени на снимках. Такую возможность врачам предоставляют современные методы исследования, чаще в комплексном использовании: КТ, МРТ, сонография. На обычных рентгенограммах о них можно судить по косвенным признакам - состоянии костных балок, кортикального слоя кости, суставной щели. В кортикальном слое балки расположены настолько близко друг к другу, что на снимках он представляется сплошным массивом. В губчатом веществе балки находятся на некотором расстоянии друг от друга - они разделены пространствами, заполненными костным мозгом.

Именно соотношение костных балок и костномозговых пространств создает костную структуру. На протяжении всей жизни человека проходят два противоположных процесса - рассасывание и создание костных балок. Мягкие ткани, окружающие кости слабо задерживают рентгеновские лучи, и поэтому являются как бы фоном, на котором отчетливо просматривается костная структура. Рентгенограмма кости фиксирует ее строение на данный момент, но повторные снимки могут отразить динамику изменений костной ткани. Кроме того, рентгеновский снимок это плоскостное двухмерное изображение, которого чаще недостаточно для точной диагностики, поэтому рекомендуются исследования в различных проекциях или «послойные» изображения. Для правильной постановки диагноза необходимо придерживаться определенного алгоритма в рассмотрении и описании диагностических исследований. Алгоритм - предписание о поэтапном выполнении в определенной последовательности элементарных операций для решения задач определенного класса.