Материал: Литусов_Пиогенные кокки

Внимание! Если размещение файла нарушает Ваши авторские права, то обязательно сообщите нам

  1. Основным компонентом клеточной стенки стафилококков является (один правильный ответ):

    1. миколовые кислоты

    2. пептидогликан

    3. липиды

    4. липополисахарид

    5. хитин

  1. Элективной средой для стафилококков является (один правильный ответ):

    1. среда Плоскирева

    2. среда Эндо

    3. среда Левина

    4. желточно-солевой агар

    5. висмут-сульфитный агар

  1. Селективной средой для стафилококков является (один правильный ответ):

    1. мясо-пептонный агар

    2. желточно-солевой агар

    3. щелочной агар

    4. висмут-сульфитный агар

    5. среда Эндо

  1. Питательные среды, позволяющие выявить патогенетически значимые признаки

S. aureus (несколько правильных ответов):

    1. среда Эндо

    2. желточно-солевой агар

    3. кровяной агар

    4. мясо-пептонный агар

    5. агар Левина

  1. По типу дыхания стафилококки являются (один правильный ответ):

    1. облигатными анаэробами

    2. микроаэрофилами

    3. облигатными аэробами

    4. факультативными анаэробами

    5. капнофилами

  1. Стафилококки – это (один правильный ответ):

    1. грамотрицательные диплококки

    2. грамположительные диплококки

    3. грамположительные кокки в виде виноградной грозди

    4. грамотрицательные палочки

    5. грамположительные кокки, расположенные цепочкой

  1. Антигены стафилококков (несколько правильных ответов):

    1. белок М

    2. Vi-антиген

    3. К-антиген

    4. белок А

    5. Н-антиген

  1. Характерно для золотистого стафилококка (несколько правильных ответов):

    1. грамотрицательная палочка

    2. грамположительная палочка

    3. образование зон гемолиза на кровяном агаре

    4. грамположительный кокк

    5. отсутствие зон гемолиза на кровяном агаре

  1. Характерно для сапрофитного стафилококка (несколько правильных ответов):

    1. грамотрицательная палочка

    2. грамположительная палочка

    3. образование зон гемолиза на кровяном агаре

    4. грамположительный кокк

    5. отсутствие зон гемолиза на кровяном агаре

  1. Для Staphylococcus aureus характерно (несколько правильных ответов):

    1. продукция плазмокоагулазы

    2. отрицательная окраска по Граму

    3. положительная окраска по Граму

    4. отсутствие плазмокоагулазы

    5. спорообразование

  1. Для внутривидовой дифференциации стафилококков используют следующие тесты (несколько правильных ответов):

    1. наличие плазмокоагулазы

    2. наличие гиалуронидазы

    3. наличие каталазы

    4. продукция лецитиназы

    5. продукция нейраминидазы

  1. Стафилококки являются представителями нормальной микробиоты следующих биотопов (несколько правильных ответов):

    1. кожи

    2. легких

    3. носовой полости

    4. мочевого пузыря

    5. почек

  2. Для рода Staphylococcus характерны следующие признаки (несколько правильных ответов):

    1. расположение клеток в виде гроздьев

    2. наличие спор

    3. подвижность

    4. анаэробная ферментация глюкозы

    5. наличие тейхоевых кислот

  1. Липохромный пигмент имеется у следующих видов бактерий (один правильный ответ):

    1. S. aureus

    2. S. intermedius

    3. S. epidermidis

    4. S. sonnei

    5. S. flexneri

  1. Стафилококки (несколько правильных ответов):

    1. каталазоотрицательные

    2. спорообразующие

    3. каталазоположительные

    4. подвижные

    5. неподвижные

  1. Характерные признаки стафилококков (несколько правильных ответов):

    1. грамотрицательные

    2. грамположительные

    3. неподвижные

    4. строгие анаэробы

    5. факультативные анаэробы

  1. Представители семейства Staphylococcus (один правильный ответ)

    1. грамнегативные кокки

    2. грамотрицательные палочки

    3. грампозитивные кокки

    4. грамположительные спорообразующие палочки

    5. грампозитивные неспорообразующие палочки

  1. Патогенный вид стафилококков (один правильный ответ):

    1. S. aureus

    2. S. epidermidis

    3. S. saprophiticus

    4. S. flexneri

    5. S. sonnei

  1. К факторам патогенности стафилококков относятся (несколько правильных ответов):

    1. экзотоксины

    2. споры

    3. белок А

    4. эндотоксин

    5. гиалуронидаза

  1. Факторами патогенности золотистого стафилококка являются (несколько правильных ответов):

    1. шига-токсин

    2. плазмокоагулаза

    3. оксидаза

    4. эндотоксин

    5. эксфолиативный токсин

  1. Плазмокоагулазу продуцируют (один правильный ответ):

    1. эпидермальный стафилококк

    2. все стафилококки

    3. золотистый стафилококк

    4. только S. epidermidis

    5. только S. saprophyticus

  1. Белок А S. aureus (один правильный ответ):

    1. препятствует фагоцитозу

    2. способствует инвазии

    3. обладает свойствами экзотоксина

    4. повреждает мембрану лейкоцитов

    5. вызывает гемолиз эритроцитов

  2. Гиалуронидаза золотистого стафилококка (один правильный ответ):

    1. разрушает эритроциты

    2. способствует адгезии

    3. повреждает мембрану лейкоцитов

    4. препятствует фагоцитозу стафилококков

    5. способствует распространению микроба по тканям

  1. Ферменты патогенности S. aureus (несколько правильных ответов):

    1. лецитиназа

    2. пероксидаза

    3. гиалуронидаза

    4. муциназа

    5. плазмокоагулаза

  1. Антифагоцитарные факторы S. aureus (несколько правильных ответов):

    1. липаза

    2. белок А

    3. стафилолизины

    4. плазмокоагулаза

    5. лейкоцидин

  1. Фактор S. aureus, определяющий образование псевдокапсулы (несколько правильных ответов):

    1. клампинг-фактор

    2. альфа-токсин

    3. стафилокиназа

    4. плазмокоагулаза

    5. гиалуронидаза

  1. Плазмокоагулаза вызывает (один правильный ответ):

    1. разрушение гиалуроновой кислоты

    2. свертывание плазмы крови

    3. разрушение эритроцитов крови

    4. разрушение лецитина

    5. растворение фибрина

  1. Гиалуронидаза вызывает (один правильный ответ):

    1. разрушение гиалуроновой кислоты

    2. нарушение свертываемости крови

    3. разрушение лецитина

    4. растворение фибрина

    5. разрушение лейкоцитов

  1. Лецитиназа вызывает (один правильный ответ):

    1. разрушение гиалуроновой кислоты

    2. нарушение свертываемости крови

    3. разрушение лецитина

    4. растворение фибрина

    5. разрушение эритроцитов

  1. Фибринолизин вызывает (один правильный ответ):

    1. разрушение гиалуроновой кислоты

    2. разрушение эритроцитов

    3. растворение сгустков фибрина

    4. разрушение лецитина

    5. разрушение нейраминовой кислоты

  1. Укажите факторы патогенности стафилококков (несколько правильных ответов):

    1. микрокапсула

    2. споры

    3. плазмокоагулаза

    4. каталаза

    5. жгутики

  2. Эксфолиативный токсин золотистого стафилококка обусловливает (один правильный ответ):

    1. скарлатинозную сыпь

    2. активацию образования цАМФ

    3. синдром токсического шока

    4. синдром “ошпаренной кожи”

    5. гемолиз эритроцитов

  1. Основной фактор патогенности стафилококков при пищевых отравлениях (один правильный ответ):

    1. плазмокоагулаза

    2. гиалуронидаза

    3. фибринолизин

    4. энтеротоксин

    5. эксфолиативный токсин

  1. Источник стафилококковых инфекций (несколько правильных ответов):

    1. больные люди

    2. бактерионоситель

    3. членистоногие

    4. вода

    5. инфицированные продукты питания

  1. Источник стафилококковых инфекций (один правильный ответ):

    1. больные люди и бактерионосители

    2. предметы обихода

    3. вода

    4. продукты питания

    5. членистоногие

  1. Основной путь передачи патогенных стафилококков (один правильный ответ):

    1. шприцевой

    2. инъекционный

    3. трансплацентарный

    4. алиментарный

    5. контактный

  1. К патогенным стафилококкам относятся (несколько правильных ответов):

    1. S. aureus

    2. S. saprophyticus

    3. S. epidermidis

    4. коагулазопозитивные стафилококки

    5. коагулазонегативные стафилококки

  1. Стафилококки - облигатные представители нормальной микрофлоры (несколько правильных ответов):

    1. S. aureus

    2. S. saprophyticus

    3. S. epidermidis

    4. коагулазопозитивные стафилококки

    5. коагулазонегативные стафилококки

  1. Staphylococcus aureus вызывает (один правильный ответ):

    1. фурункулез

    2. гепатиты

    3. ревматизм

    4. менингококцемию

    5. гонорею

  1. К стафилококковым инфекциям относятся (несколько правильных ответов):

    1. синдром “ошпаренных младенцев”

    2. скарлатина

    3. карбункул

    4. синдром токсического шока

    5. дифтерия

  1. Заболевания, вызываемые стафилококками (несколько правильных ответов):

    1. брюшной тиф

    2. дизентерия

    3. фурункул

    4. абсцесс

    5. ангина

  1. Основной метод микробиологической диагностики стафилококковых инфекций (один правильный ответ):

    1. аллергический

    2. серологический

    3. биологический

    4. бактериологический

    5. микроскопический

  1. Для первичного выделения стафилококков используют следующие среды (один правильный ответ):

    1. среда Левенштейна-Йенсена

    2. среда Эндо

    3. среда Левина

    4. среда Плоскирева

    5. ЖСА

  1. Для определения наличия плазмокоагулазы производят посев (один правильный ответ):

    1. на сывороточный агар

    2. на желточно-солевой агар

    3. на кровяной агар

    4. в цитратную плазму

    5. на среду Эндо

  1. Для определения лецитиназной активности используют (один правильный ответ):

    1. реакцию преципитации

    2. посев на желточно-солевой агар

    3. посев на среду Левина

    4. посев на сывороточный агар

    5. биопробу

  1. Механизм действия стафилококкового энтеротоксина (один правильный ответ):

    1. подавляет синтез белка на рибосомах

    2. нарушает целостность ЦПМ

    3. необратимо активирует аденилатциклазную систему

    4. блокирует передачу нервных импульсов

    5. вызывает поликлональную активацию Т-лимфоцитов

  1. Продолжительность инкубационного периода при стафилококковой интоксикации (один правильный ответ):

    1. 2 - 24 часа

    2. 3 - 4 дня

    3. 1 - 2 недели

    4. 3 - 4 недели

    5. 1 - 6 месяцев

  1. Лечение стафилококковых инфекций осуществляют с помощью (несколько правильных ответов):

    1. противовирусных препаратов

    2. антибиотиков

    3. убитой вакцины

    4. живой вакцины

    5. бактериофагов

  1. Специфическая профилактика стафилококковых инфекций предусматривает использование (один правильный ответ):

    1. живой вакцины

    2. инактивированной вакцины

    3. химической вакцины

    4. не разработана

    5. антибиотиков

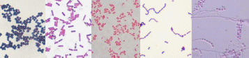
  1. Выберите изображение, соответствующее S. aureus, окраска по Граму (один правильный ответ):

61.1 61.2 61.3 61.4 61.5

Правильные ответы: 1.2; 2.3; 3.4; 4.2; 5.3, 5.5; 6.3; 7.2; 8.2, 8.3, 8.5; 9.2, 9.4, 9.5; 10.1,

10.5; 11.2; 12.2; 13.4; 14.2; 15.2, 15.3; 16.4; 17.3; 18.3, 18.4; 19.3, 19.4; 20.4, 20.5; 21.1,

21.3; 22.1, 22.3, 22.4; 23.1, 23.3; 24.1, 24.4, 24.5; 25.1; 26.3, 26.5; 27.2, 27.3, 27.5; 28.3;

29.1; 30.1, 30.3, 30.5; 31.2, 31.5; 32.3; 33.1; 34.5; 35.1, 35.3, 35.5; 36.2, 36.4; 37.1, 37.4;

38.2; 39.1; 40.3; 41.3; 42.1, 42.3, 42.4; 43.4; 44.4; 45.1, 45.2; 46.1; 47.5; 48.1, 48.4; 49.3,

49.5; 50.1; 51.1, 51.3, 51.4; 52.3, 52.4, 52.5; 53.4; 54.5; 55.4; 56.2; 57.3; 58.1; 59.2, 59.5;

60.4; 61.1.