Материал: Грамположительные аэробные Кокки

Внимание! Если размещение файла нарушает Ваши авторские права, то обязательно сообщите нам

56

Предрасполагающими факторами к развитию эндогенной инфекции являются застойные явления в легких, разрушение сурфактанта, снижение уровня секреторного иммуноглобулина А.

Различают “инвазивные” и “неинвазивные” формы пневмококковой инфекции. При “инвазивных” пневмококковых инфекциях (ИПИ) возбудитель обнаруживается в жидкостях и тканях организма, стерильных в нормальных условиях (кровь, спинномозговая, перитонеальная и плевральная жидкости и др.). К таким формам инфекции относятся пневмококковый менингит, острый средний отит, пневмококковая пневмония, септический артрит, остеомиелит и др.

К “неинвазивным” формам пневмококковой инфекции относятся “небактериемическая” пневмония (при отсутствии возбудителя в крови), синусит и другие поражения.

Лабораторная диагностика пневмококковой инфекции. Основным методом лабораторной диагностики пневмококковой инфекции является бактериологический метод. Он основан на выделении S. pneumoniae. Исследуемый материал – кровь, спинномозговая жидкость (при диагностике инвазивных форм пневмококковой инфекции), мокрота, жидкость из полости среднего уха (при неинвазивных заболеваниях).

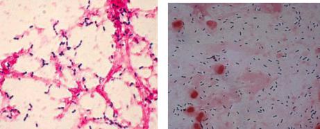
Микроскопическое исследование окрашенного по Граму мазка, приготовленного из исследуемого материала, позволяет обнаружить капсульные грамположительные диплококки (рисунок 79).

Рисунок 79 – Капсульные диплококки в мазке из исследуемого материала, окраска по Граму.

Для выделения пневмококков материал высевают на кровяной агар и инкубируют в атмосфере углекислого газа при температуре 37ОС в течение суток. Дальнейшему исследованию подвергают сероватые колонии, образующие α-гемолиз (зеленое окрашивание агара вокруг колоний). Пневмококки, имеющие сильно развитую капсулу, на кровяном агаре образуют выпуклые сероватые слизистые (напоминающие капли масла) колонии несколько миллиметров в диаметре.

Характерным для S. pneumoniae является ингибирование роста культуры оптохином (чувствительность к оптохину). Для этого культуру высевают на кровяной агар и сверху на засеянную поверхность помещают бумажные диски, содержащие 5 мкг оптохина. Инкубирование проводят в течение 18-24 часов при температуре 35ОС в атмосфере с 5-7% углекислого газа. Зона задержки роста ≥14 мм

57

(диск диаметром 6 мм) или ≥16 мм (диск диаметром 10 мм) свидетельствует о присутствии пневмококка (рисунок 80).

а б Рисунок 80 – Проба с оптохином: а - положительная проба, б – контроль

(отрицательная проба).

Зона задержки роста <14 мм (<16 мм) требует проведения других тестов, в частности, теста лизиса в присутствии солей желчных кислот. Соли желчных кислот обладают способностью избирательно лизировать колонии S. pneumoniae на агаре или в бульоне. При этом происходит активация пневмококковых аутолизинов – ферментов, участвующих в синтезе клеточной стенки. Для проведения этого теста к микробной суспензии добавляют 10% раствор дезоксихолата натрия, тщательно перемешивают и инкубируют в течение 0,5-2 часов при температуре 35ОС. У большинства штаммов пневмококков в течение этого времени наступает визуальный лизис культуры, выявляемый по изменению мутности суспензии (просветление жидкости).

Серологическое типирование пневмококка проводится с помощью реакции латексной агглютинации (РЛА) или реакции набухания капсулы по Нейфельду. Для реакции латекс-агглютинации используют групповые диагностические сыворотки (например, наборы PNEUMOTEST LATEX). Образование крупных хлопьев на фоне полного просветления указывает на положительную реакцию (рисунок 81).

Рисунок 81 – Реакция латекс-агглютинации: А – положительная реакция, Б – отрицательная реакция (Алябьева Н.М., 2014 г.).

Феномен набухания капсулы проявляется в резком увеличении размеров капсулы в присутствии противокапсульной сыворотки. Результат реакции наблюдают с помощью фазово-контрастного микроскопа (рисунок 82).

58

а б Рисунок 82 – Реакция набухания капсулы по Нейфельду: а - отрицательная реакция,

б – положительная реакция (Алябьева Н.М., 2014 г.).

Антигены пневмококка в сыворотке крови, спинномозговой жидкости, моче можно обнаружить с помощью латекс-агглютинации, встречного иммуноэлектрофореза, иммунохроматографического теста (рисунок 83).

Рисунок 83 – Иммунохроматографический экспресс-тест Пневмококк Binax NOW для качественного определения антигена пневмококка в моче, спинномозговой жидкости.

ПЦР основана на выявлении фрагментов специфических генов, кодирующих синтез аутолизина, пневмолизина, поверхностных белков клеточной стенки и др.

Профилактика пневмококковой инфекции. С целью специфической профилактики пневмококковой инфекции в Российской Федерации зарегистрированы 7-валентная, 10-валентная, 13-валентная конъюгированные вакцины и поливалентная пневмококковая вакцина.

Вакцина пневмококковая конъюгированная адсорбированная 7-

валентная содержит коньюгаты генно-модифицированного нетоксичного дифтерийного белка CRM197 с пневмококковыми полисахаридами серотипов 4, 6В,

9V, 14, 18C, 19F и 23F.

Вакцина пневмококковая 10-валентная конъюгированная с D-протеином нетипируемой Haemophilus influenzae, столбнячным и дифтерийным анатоксинами адсорбированная содержит полисахариды 1, 4, 5, 6В, 7F, 9V, 14, 18C, 19F, 23F. К таким препаратам относится вакцина Синфлорикс.

Вакцина пневмококковая полисахаридная конъюгированная адсорбированная 13-валентная представляет собой комплекс полисахаридов 13

серотипов пневмококка (1, 3, 4, 5, 6А, 6В, 7F, 9V, 14, 18C, 19A, 19F, 23F),

индивидуально конъюгированных с дифтерийным белком CRM197 и адсорбированных на фосфате алюминия.

59

Конъюгированные вакцины предназначены, в первую очередь, для вакцинации детей с первого года жизни (рисунок 84).

Рисунок 84 – Конъюгированные пневмококковые вакцины.

Полисахаридная поливалентная пневмококковая вакцина содержит капсульные полисахариды S. pneumoniae 23 серотипов (1, 2, 3, 4, 5, 6B, 7F, 8, 9N, 9V, 10A, 11A, 12F, 14, 15B, 17F, 18C, 19A, 19F, 20, 22F, 23F, 33F). Вакцину Пневмо 23,

содержащую полисахариды 23 серотипов, применяют детям старше 2 лет. Для вакцинации необходима всего одна доза вакцины (рисунок 85).

Рисунок 85 – Вакцина Пневмо 23.

Длительность иммунитета после вакцинации составляет от 3-5 лет до 10 лет. Прививка особенно рекомендуется пациентам из групп риска:

-лицам в возрасте старше 65 лет (летальность от пневмококковой пневмонии

уних достигает 40%);

-пациентам с хроническими заболеваниями сердечно-сосудистой, дыхательной систем, сахарным диабетом, циррозом печени;

-детям в возрасте до 5 лет, часто болеющим инфекциями дыхательных

путей.

Лечение пневмококковой инфекции проводится с использованием антибиотиков. Однако в последние годы возросло количество сообщений о распространении пневмококков, устойчивых к пенициллинам, макролидам, триметоприму/сульфаметоксазолу, цефалоспоринам III поколения.

4. Энтерококки

Энтерококки относятся к порядку Lactobacillales, семейству Streptococcaceae, роду Enterococcus. До 1984 г. энтерококки относились к стрептококкам группы Д, а

60

с 1984 г. на основе анализа геномной ДНК энтерококки выделены в отдельный род. Род Enterococcus включает более 25 видов. Клиническое значение имеют виды

E. faecalis, E. faecium, E. durans, E. gilvus, E. pallens. Энтерококки входят в состав нормальной микробиоты кишечника человека и животных. Основными представителями нормальной микробиоты кишечника человека являются E. faecalis

и E. faecium.

Морфологические и тинкториальные свойства энтерококков.

Энтерококки представляют собой овальные клетки размерами 0,6-2,0х0,6-2,5 мкм. По Граму они окрашиваются в фиолетовый цвет (грамположительные), в мазках располагаются парами или короткими цепочками (рисунок 86).

а б Рисунок 86 – Энтерококки, окраска по Граму (а) и электронная фотография (б).

Энтерококки не образуют спор и капсул, в большинстве случаев неподвижные, но некоторые виды имеют от 1 до 4 жгутиков.

Культуральные и биохимические свойства энтерококков. Энтерококки являются факультативными анаэробами. Они хорошо растут на простых питательных средах, образуя через 24 часа мелкие серовато-белые колонии (рисунок

87).

Рисунок 87 – Характер роста энтерококков на плотных питательных средах.

Оптимальная температура роста энтерококков 35-37ОС. Способны расти на средах, содержащих 6,5% хлористого натрия. На кровяном агаре большинство энтерококков не вызывают гемолиза. Однако некоторые виды энтерококков способны вызывать гемолиз (α- или β-гемолитические свойства) в зависимости от типа используемой крови (кролика, лошади, барана, человека). На агаре с кровью энтерококки образуют мелкие кремовые или белые колонии с ровным краем и гладкой поверхностью (рисунок 88).