Материал: Банк задач по терапии

Внимание! Если размещение файла нарушает Ваши авторские права, то обязательно сообщите нам

Методический центр аккредитации специалистов_СЗ_Лечебное дело_2018 г.

Вопросы:

1.Выделите синдромы, определите ведущий.

2.Сформулируйте диагноз.

3.Обоснуйте поставленный Вами диагноз.

4.Составьте план дополнительных обследований.

5.Назначьте лечение.

261

Методический центр аккредитации специалистов_СЗ_Лечебное дело_2018 г.

Ситуационная задача 225 [K002908]

Инструкция: ОЗНАКОМЬТЕСЬ С СИТУАЦИЕЙ И ДАЙТЕ РАЗВЕРНУТЫЕ ОТВЕТЫ НА ВОПРОСЫ

Основная часть

Больная Т. 35 лет, офис-менеджер, доставлена бригадой скорой медицинской помощи в приѐмное отделение городской больницы в связи с внезапно начавшимся приступом одышки смешанного характера, сердцебиением, колющей болью в прекардиальной области, головокружением и общей слабостью. В анамнезе отмечено, что за 5 суток до приступа одышки у больной появились мягкий отѐк правой нижней конечности от стопы до паховой складки, незначительный цианоз и умеренная болезненность конечности. В последующем указанные симптомы сохранялись, пыталась лечиться самостоятельно, используя различные мази с антибиотиками и спиртовые компрессы. Настоящий приступ одышки возник впервые в конце продолжительного рабочего дня на фоне полного благополучия. Из анамнеза жизни известно, что пациентка работает в офисе и проводит большую часть времени в положении сидя, ведѐт малоподвижный образ жизни, курит, применяет комбинированные оральные контрацептивы.

Объективно: состояние тяжѐлое. Кожа и видимые слизистые бледные, чистые, видимая пульсация шейных вен. Отмечается отѐк правой нижней конечности, мягкий и тѐплый наощупь, распространяющийся от уровня стопы до верхней трети бедра со слабо выраженным цианозом, умеренной болезненностью при пальпации и сохранѐнной пульсацией на артериях стопы, подколенной и общей бедренной артериях. Суставы без патологии. Грудная клетка правильной формы. Перкуторно над лѐгкими ясный лѐгочный звук. Дыхание везикулярное, хрипов нет, частота дыхания - 25 в минуту. Пульс одинаковый на обеих лучевых артериях, слабого наполнения, 110 в минуту, АД - 90/65 мм рт. ст. Акцент II-тона в точке выслушивания клапана лѐгочной артерии. Шумов нет. Живот симметричный, мягкий, безболезненный во всех отделах при поверхностной и глубокой пальпации. Печень выступает из-под рѐберной дуги на 1 см. Симптом поколачивания отрицательный. Индекс массы тела более 31 кг/м2. Субфебрилитет. При лабораторных и инструментальных исследованиях выявлены следующие данные.

Общий анализ крови: гемоглобин - 130 г/л, эритроциты - 4,1×1012/л, лейкоциты - 5,7×109/л, эозинофилы - 1%, палочкоядерные нейтрофилы - 10%, сегментоядерные нейтрофилы - 50%, лимфоциты - 35%, моноциты - 4%; СОЭ - 24 мм/ч.

Общий анализ мочи: соломенно-жѐлтая, прозрачная, рН кислая, удельный вес - 1010, эпителий – 2-4 в поле зрения, эритроциты, цилиндры, соли не определяются.

Биохимическое исследование крови: билирубин общий - 12,8 мкмоль/л, креатинин - 0,093 ммоль/л, глюкоза – 6,9 ммоль/л, холестерин – 6,2 ммоль/л, калий - 3,7 ммоль/л, общий белок - 75 г/л, фибриноген – 8,2 г/л, СРБ – 25 мг/л.

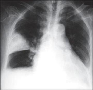
ЭКГ

262

Методический центр аккредитации специалистов_СЗ_Лечебное дело_2018 г.

Рентгенография ОГК

263

Методический центр аккредитации специалистов_СЗ_Лечебное дело_2018 г.

Вопросы:

1.Выделите синдромы, определите ведущий.

2.Интерпретируйте представленную электрокардиограмму.

3.Сформулируйте диагноз.

4.Составьте план дополнительных обследований.

5.Назначьте лечение.

264

Методический центр аккредитации специалистов_СЗ_Лечебное дело_2018 г.

Ситуационная задача 226 [K002909]

Инструкция: ОЗНАКОМЬТЕСЬ С СИТУАЦИЕЙ И ДАЙТЕ РАЗВЕРНУТЫЕ ОТВЕТЫ НА ВОПРОСЫ

Основная часть

Больная М. 52 лет, бухгалтер, госпитализирована с жалобами на неритмичное сердцебиение, общую слабость, головокружение, быструю утомляемость, одышку при ускоренной ходьбе.

Анамнез заболевания: в течение 15 лет отмечает повышение артериального давления до максимальных 190/120 мм рт. ст. Регулярно принимает Эналаприл 10 мг 2 раза в сутки, Амлодипин 5 мг вечером. Адаптированным давлением считает 140/100 мм рт. ст. Болей в грудной клетке никогда не отмечала. Ухудшение состояния отмечает в течение 3 дней, когда впервые в жизни появились вышеописанные жалобы. Учитывая их прогрессирующий характер, вызвала скорую помощь.

Объективно: сознание ясное, активна. Отѐков нет. Рост - 178 см, вес - 107 кг. Отложение подкожно-жирового слоя на бѐдрах и животе. Кожные покровы повышенной влажности. Грудная клетка гиперстеническая. В лѐгких везикулярное дыхание, хрипов нет. Область сердца не изменена. Левая граница сердца – на 2 см кнаружи от срединноключичной линии в V межреберье слева. Тоны сердца неритмичные. ЧСС - 121 ударов в минуту. АД в покое сидя - 170/115 мм рт. ст. Пульс на лучевых артериях симметричный, неритмичный, неравномерный с частотой 100 ударов в минуту.

При лабораторных и инструментальных исследованиях выявлены следующие данные.

Липидограмма: общий ХС - 5,9 ммоль/л (норма менее 5,0 ммоль/л), ХС ЛНП - 3,5 ммль/л (норма - менее 3,0 ммоль/л), ХС ЛВП - 0,9 ммоль/л (норма - более 1,0 ммоль/л), ТГ - 2,0 ммоль/л (норма - менее 1,7 ммоль/л).

Эхо-КГ: толщина задней стенки ЛЖ - 1,3 см (норма - 0,8-1,1 см), ФВ ЛЖ - 53%

(норма - 55-75%).

Записана ЭКГ

265