Материал: Банк задач по терапии

Внимание! Если размещение файла нарушает Ваши авторские права, то обязательно сообщите нам

Методический центр аккредитации специалистов_СЗ_Лечебное дело_2018 г.

Ситуационная задача 65 [K000245]

Инструкция: ОЗНАКОМЬТЕСЬ С СИТУАЦИЕЙ И ДАЙТЕ РАЗВЕРНУТЫЕ ОТВЕТЫ НА ВОПРОСЫ

Основная часть

Женщина 35 лет выявлена при профилактическом ФЛГ-обследовании.

Из анамнеза: хронические заболевания – тиреоксикоз, у врача-эндокринолога наблюдается нерегулярно. Условия жизни благополучные, профессиональных вредностей нет, работает продавцом-консультантом. В прошлом 1,5 года назад имел место туберкулѐзный контакт с коллегой по работе, профилактические мероприятия не проводились. Профилактическая ФЛГ не делалась 3 года.

Жалоб не предъявляет, симптомы интоксикации отсутствуют. Перкуторно, аускультативно изменений нет.

Микроскопия мокроты на МБТ – отр.

Иммунодиагностика: проба Манту 2 ТЕ – р. 12 мм, ДСТ – р. 4 мм Рентген - томографически: в верхней доле левого лѐгкого субплеврально

определяется неоднородное ограниченное затемнение округлой формы размерами 1,5×2,0 см.

Вопросы:

1.Сформулируйте предварительный диагноз.

2.Обоснуйте предварительный диагноз.

3.Составьте и обоснуйте план дополнительного обследования пациента.

4.Какие основные методы лечения рекомендуются?

5.Определите сроки нетрудоспособности пациентки.

71

Методический центр аккредитации специалистов_СЗ_Лечебное дело_2018 г.

Ситуационная задача 66 [K000246]

Инструкция: ОЗНАКОМЬТЕСЬ С СИТУАЦИЕЙ И ДАЙТЕ РАЗВЕРНУТЫЕ ОТВЕТЫ НА ВОПРОСЫ

Основная часть

Молодой человек 18 лет обратился в поликлинику с жалобами на повышенную утомляемость, снижение аппетита, похудание, непостоянный субфебрилитет, навязчивый кашель. Эти симптомы появились после ОРВИ и усиливались в течение 1,5 месяцев, несмотря на противокашлевую и антибактериальную терапию. Ухудшение самочувствия в течение последней недели: повышение температуры до 38 °С, усиление кашля с мокротой, появление одышки. Профилактическая флюорография 2 года назад, обнаружены единичные очаги Гона.

Из анамнеза: контакт с больным туберкулѐзом отцом, умершим от туберкулѐза 1 год назад. В противотуберкулѐзном диспансере никогда не наблюдался. Противоэпидемические мероприятия в очаге не проводились. Условия жизни неблагополучные, живет с матерью в коммунальной квартире. Курит в течение 5 лет.

Объективно: состояние средней тяжести, масса тела - 50 кг, выражены симптомы интоксикации, ЧД – 30 в минуту, бледность, акроцианоз. Перкуторно – укорочение звука в верхних и средних отделах, непостоянные влажные хрипы над всеми лѐгочными полями.

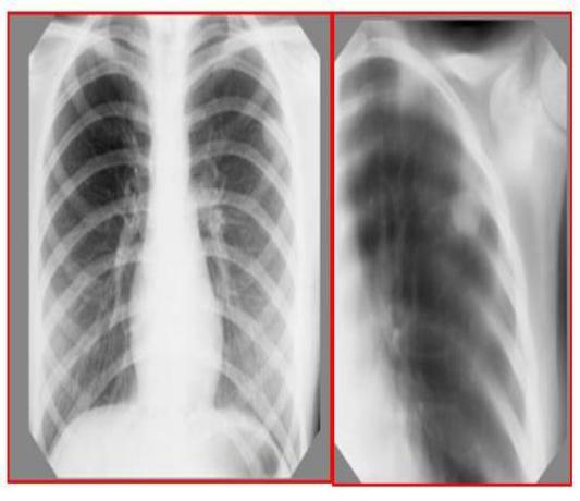
Рентгенологически: очаговая диссеминация по всем лѐгочным полям с обеих сторон, преимущественно в верхних и средних отделах. Контуры очагов нечѐткие, очаги сливаются в фокусные тени, с участками просветления.

Был госпитализирован во фтизиатрический стационар.

Иммунодиагностика: проба Манту 2 ТЕ – папула 12 мм, Диаскинтест – папула 10

мм.

Исследование мокроты на МБТ микроскопически – отр. Посев методом BACTEC - рост МБТ, устойчивых к рифампицину и изониазиду.

72

Методический центр аккредитации специалистов_СЗ_Лечебное дело_2018 г.

Вопросы:

1.Сформулируйте диагноз.

2.Обоснуйте диагноз.

3.Составьте и обоснуйте план дополнительного обследования пациента.

4.Какие необходимые профилактические мероприятия не были проведены данному больному?

5.Какие особенности будет иметь специфическая химиотерапия у данного больного? Ответ обоснуйте.

73

Методический центр аккредитации специалистов_СЗ_Лечебное дело_2018 г.

Ситуационная задача 67 [K000247]

Инструкция: ОЗНАКОМЬТЕСЬ С СИТУАЦИЕЙ И ДАЙТЕ РАЗВЕРНУТЫЕ ОТВЕТЫ НА ВОПРОСЫ

Основная часть

Больной 20 лет, студент, поступил в терапевтическое отделение с жалобами на боли в левой половине грудной клетки, одышку, повышение температуры до 39 °С.

Анамнез: в течение трѐх месяцев отмечал повышенную утомляемость, слабость, похудание, повышение температуры до субфебрильных цифр, колющие боли под левой лопаткой, которые расценивались как невралгия. Самочувствие ухудшилось резко после переохлаждения, появились кашель без мокроты, одышка при небольшой нагрузке, боли и тяжесть в грудной клетке, связанные с дыханием, повысилась температура. Год назад имел контакт с родственником, больным туберкулѐзом с МБТ (+).

При осмотре: состояние средней тяжести. Бледность, одышка с ЧД – 30 в минуту в покое. Пульс - 110 ударов в минуту, удовлетворительного наполнения. Тоны сердца чистые. Левая половина грудной клетки отстаѐт в акте дыхания, межрѐберные промежутки сглажены. Отмечается укорочение перкуторного звука над нижними отделами левого лѐгкого, голосовое дрожание ослаблено, дыхание в этих отделах не прослушивается. Со стороны органов брюшной полости - без особенностей.

Клинический анализ крови: гемоглобин - 120 г/л, эритроциты - 4,8×1012/л, лейкоциты - 5,0×109/л, палочкоядерные нейтрофилы - 8%, сегментоядерные нейтрофилы - 66%, эозинофилы - 1%, лимфоциты - 18%, моноциты - 7%, СОЭ - 35 мм/час.

Общий анализ мочи: без патологии. R-Манту с 2 ТЕ: папула 17 мм. Диаскинтест - папула 15 мм.

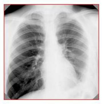
Обзорная рентгенограмма грудной клетки: отмечается гомогенное затенение нижних отделов левого лѐгочного поля и реберно-диафрагмального синуса. Затенение имеет косую верхнюю границу, идущую сверху вниз и снаружи внутрь.

74

Методический центр аккредитации специалистов_СЗ_Лечебное дело_2018 г.

Вопросы:

1.Сформулируйте предположительный диагноз.

2.Обоснуйте предположительный диагноз.

3.Составьте и обоснуйте план дополнительного обследования пациента.

4.Какие лабораторные данные исследования плевральной жидкости будут в пользу туберкулѐзной этиологии плеврита у этого больного?

5.Назначьте режим химиотерапии при отсутствии обнаружения МБТ в патологическом материале.

75