|
|
|
|
40 |
|
Выводные протоки |
ЗАДАНИЕ 1.108 |
||||
|
В препарате выявляется орган, |
||||
|
паренхима которого образована |
||||
|
эпителием, |
|
формирующим |
||
|
обозначенные |
на |
рис.1.108 |
||
|
структуры. |
Назовите |
данный |
||
Концевые отделы |
орган. |
|
|
|
|
А. Экзокринная железа. |
|||||
|
|||||
|
Б. Эндокринная железа. |
||||
|
В. Смешанная железа. |
|
|||
|
Г. Экзоэпителиальная железа. |
||||
|
Д. Эндоэпителиальная железа. |
||||
|
Рис. 1.108 |
|
|
|
|
1.Низкое ядерно- |
ЗАДАНИЕ 1.109 |
||||
В препарате выявляется орган, |
|||||
цитоплазматическое |
|||||
паренхима которого образована |
|||||
отношение |
|||||
|
|
|
|
||
2.Формируют тяжи. |
эпителиальными |
|
клетками, |
||
3. В цитоплазме |
признаки которых обозначены |
||||
могут депонировать |
на рис.1.109. Назовите данный |
||||
секрет. |
|||||
орган. |
|
|
|
||
3.Секрет выделяют в |
|
|
|
||
А. Экзокринная железа. |
|||||
гемокапилляры. |
|||||
|
|
|
|
||
|
Б. Эндокринная железа. |
||||
|
В. Смешанная железа. |
|
|||
|
Г. Экзоэпителиальная железа. |
||||
|
Д. Эндоэпителиальная железа. |
||||
|
Рис. 1.109 |
|
|
|
|
|
|
ЗАДАНИЕ 1.110 |
|
||
|
В препарате |
слюнной |
железы |
||
|
выявляется |
эпителиальное |
|||
1.Многорядный |
трубчатое образование, |
струк- |
|||
туры |
которого обозначены на |
||||
кубический |
|||||
рис. |
1.110. |
Назовите |
данное |
||
эпителий. |
|||||
образование. |
|
|
|||
2.Базальная |
|
|
|||
мембрана. |
А. Выводной проток. |
|
|||
|
Б. Трабекула. |
|
|
||
|
В. Эндокринный островок. |
||||
|
Г. Фолликул. |
|
|
||
|
Д. Секреторный (концевой) |
||||
|
отдел. |
|
|
|
|
|
Рис. 1.110 |
|
|
|
|
|
|
|
|
|
|
41 |
|
|
|
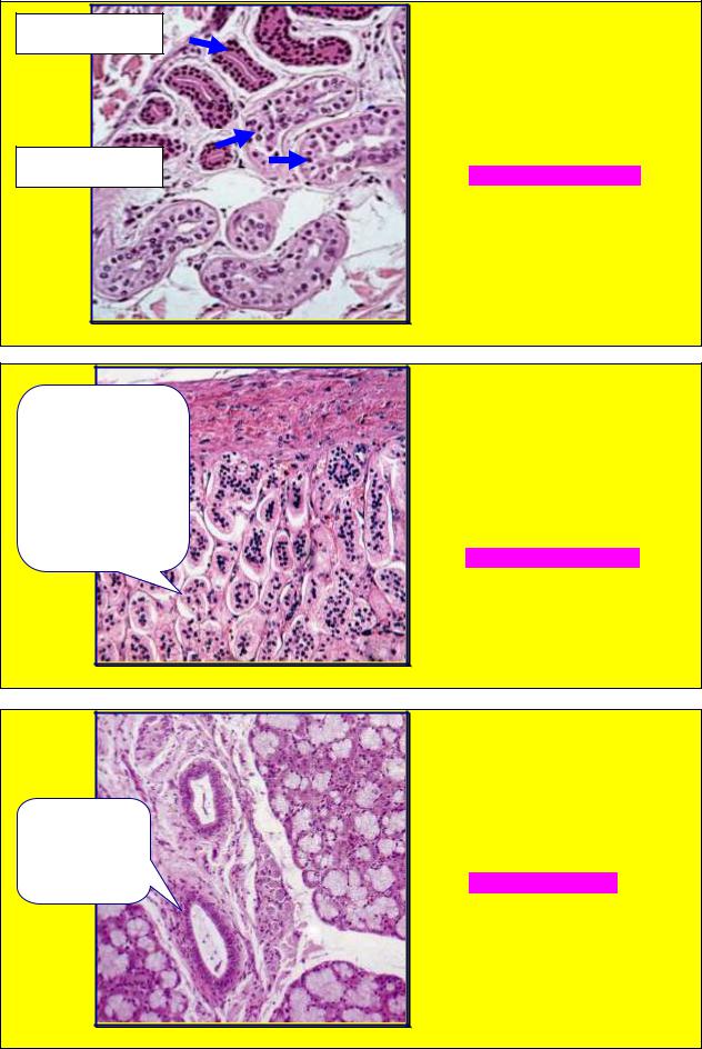
ЗАДАНИЕ 1.111 |
|
||||
|
В препарате |
потовой |
железы |
||||
|
выявляются |
округлые |
эпите- |
||||
|
лиальные образования (стрел- |
||||||
|
ки), |
клеточный состав которых |
|||||
|
обозначен |
|
на |
рис.1.111. |
|||
1. Миоэпителиальные |
Назовите данные образования. |
||||||
|
|
|
|
|
|
||
клетки. |
А. Выводные протоки. |
|
|||||
|
Б. Трабекулы. |
|
|
|
|||
|
В. Эндокринные островки. |
||||||
1.Сероциты. |
Г. Фолликулы. |
|
|
||||
|
Д. Секреторные (концевые) |
||||||
|
отделы. |
|
|
|
|||
Рис. 1.111 |
|
|
|
|
|
|
|
1.Синтез секрета. |
|
ЗАДАНИЕ 1.112 |
|
||||
В препарате |
слюнной |
железы |
|||||
2.Депонирование |
|||||||
выявляются |
округлые |
эпите- |
|||||
секрета в апикальных |
|||||||
полюсах клеток. |
лиальные образования, функ- |
||||||
3.Выведение секрета |
ции |
которых обозначены на |
|||||
в просвет канальца. |
рис.1.112. |
Назовите |
данные |
||||
|
|||||||
|
образования. |
|
|
|
|||
|
А. Выводные протоки. |
|
|||||
|
Б. Трабекулы. |
|
|
|
|||
|
В. Эндокринные островки. |
||||||
|
Г. Фолликулы. |
|
|
||||
|
Д. Секреторные (концевые) |
||||||
|
отделы. |
|
|
|
|||
Рис. 1.112 |
|
|
|
|
|
|
|
1.Много секреторных |
|
ЗАДАНИЕ 1.113 |
|
||||
гранул с муцином. |
В препарате |
слюнной |
железы |
||||
2.Светлая |
|||||||
концевые |
отделы |
образованы |
|||||
цитоплазма. |
|||||||
клетками, |
|
морфологические |
|||||
3.Плоское ядро в |
|
||||||
базальном полюсе. |
признаки |
которых |
обозначены |
||||
|
на рис.1.113. Назовите тип |
||||||
|
концевого отдела. |
|
|
||||
|
А. Слизистый. |
|
|
||||
|
Б. Серозный (белковый). |
|
|||||
|
В. Смешанный. |
|
|
||||
|
Г. Выводной. |
|
|
|
|||
|
Д. Секреторный. |
|
|
||||
Рис. 1.113 |
|
|
|
|
|
|
|
|
|
|
42 |
|
1.Много |
ЗАДАНИЕ 1.114 |
|||
В препарате слюнной железы |
||||
секреторных |
||||
концевые |
отделы |
образованы |
||
белковых |
||||
гранул. |
клетками, |
морфологические |
||
2.Базофильная |
признаки |
которых |
обозначены |
|
цитоплазма. |
на рис. |
1.114. Назовите тип |
||
3.Круглое ядро |
||||
концевого отдела. |
|
|||
в базальном |
|
|||
А. Слизистый. |
|
|||
полюсе. |
|
|||
|
Б. Серозный (белковый). |
|||
|
В. Смешанный. |
|
||
|
Г. Выводной. |
|
||
|
Д. Секреторный. |
|
||
|
Рис. 1.114 |
|
|
|
|
ЗАДАНИЕ 1.115 |
|
|||
|
В препарате слюнной железы |
||||
|
концевые |
отделы |
образованы |
||
|
клетками, |
обозначенными |
на |
||
|
рис. 1.115. Назовите тип |
||||
Сероциты |
концевого отдела. |
|
|
||
А. Слизистый. |
|
|
|||
|
|
|
|||
|
Б. Серозный (белковый). |
|
|||
|
В. Смешанный. |
|
|
||
Мукоциты |
Г. Выводной. |
|
|
||
Д. Секреторный. |
|
|
|||
|
|
|
|||
|
Рис. 1.115 |
|
|
|
|
1. Накопление |
ЗАДАНИЕ 1.116 |
|
|||
секреторных |
В процессе секреции веществ из |
||||
гранул в |
гландулоцита |
происходят |
|||
апикальном |
|||||
события, обозначенные на рис. |
|||||
полюсе. |
|||||
1.116. Назовите тип секреции. |
|
||||
3.Слияние |
|
||||
|
|
|
|
||
мембран гранул с |
А. Мерокринный. |
|
|
||
плазмолеммой. |
Б. Апокринный. |
|
|
||
4.Выход |
В. Голокринный. |
|
|
||
содержимого |
|
|
|||
Г. Смешанный. |
|
|
|||
гранул в просвет |
|
|
|||
Д. Эндокринный. |
|
|
|||
органа. |
|
|
|||
|
|
|
|
||
|
Рис. 1.116 |
|
|
|
|
|
|
43 |
|
1. Накопление |
ЗАДАНИЕ 1.117 |
||
секреторных гранул |
В процессе секреции веществ из |
||
в апикальном |
|||
гландулоцита |
происходят |
||
полюсе. |
|||
события, обозначенные на рис. |
|||
3.Выпячивание |
|||
|
|
||
цитоплазмы с |
1.117. Назовите тип секреции. |
||
гранулой. |
А. Мерокринный. |
|
|
4.Отшнуровка |
Б. Апокринный. |
|
|
части цитоплазмы с |
|
||
В. Голокринный. |
|
||
гранулой в просвет |
|
||
Г. Смешанный. |
|
||
канальца. |
|
||
|
|
||
5.Восстановление |
Д. Эндокринный. |
|
|
плазмолеммы. |
|
|
|
|
Рис. 1.117 |
|
|
|
ЗАДАНИЕ 1.118 |
||
|
В процессе секреции веществ из |
||
|
гландулоцита |
происходят |
|
|
события, обозначенные на рис. |
||
1.Накопление |
1.118. Назовите тип секреции. |
|||
секреторных |
А. Мерокринный. |
|||
гранул в клетке. |
||||
Б. Апокринный. |
||||
3.Кариопикноз, |
||||
В. |
Голокринный. |
|
||
кариорексис. |
|
|||
4.Разрушение |
Г. Смешанный. |
|||
клетки (апоптоз). |
Д. Эндокринный. |
|||
5. Выход секрета |
|
|
|
|
клетки в просвет |
|
|
|
|
выводного |
|
|
|
|
протока. |
|
|
|
|
Рис. 1.118 |
|
|
|
|
|
|
|
|
ЗАДАНИЕ 1.119 |
|
|
||||
В |
препарате |
|
|
слизистой |
|||
оболочки |
желудка |
выявили |
|||||
экзокринные железы, |
концевые |
||||||
отделы |
которых |
обозначены |
|||||
стрелками на рис. 1.119. Дайте |
|||||||
характеристику |
желез |
по |
их |
||||
форме. |
|
|
|
|
|
|
|
А. Трубчатые. |
|
|
|
|
|
||
Б. Неразветвленные. |
|
|
|
|
|||
В. Простые. |
|
|
|
|
|
||
Г. Разветвленные. |
|
|
|
|
|||
Д. Сложные. |
|
|
|
|
|
||
Рис. 1.119 |
|
|
|
|
|
|
|
|
|
|
|
|
|
|
44 |
|
|
|
ЗАДАНИЕ 1.120 |
|
|||
|
|
В |
препарате |
слюнной |
железы |
||
|
|
выявили |
концевые |
отделы, |
|||
|
|
обозначенные стрелками на рис. |
|||||
|
|
1.120. Дайте их характеристику |
|||||
|
|
по форме. |
|
|
|
|
|
|
|
А. Трубчатые. |
|
|
|
||
|
|
Б. Неразветвленные. |
|
|
|||
|
|
В. Простые. |
|
|
|
||
|
|
Г. Разветвленные. |
|
|
|||
|
|
Д. Альвеолярные. |
|
|
|||
|
Рис. 1.120 |
|
|
|
|
|
|
|
Концевые |
|
ЗАДАНИЕ 1.121 |
|
|||
|
отделы |
В |
препарате |
слюнной |
железы |
||
|
|
||||||
|
|
выявили структуры, обозна- |
|||||
|
|
ченные стрелками на рис.1.121. |
|||||
|
|
Дайте характеристику желез. |
|||||
|
|
А. Трубчатые. |
|
|
|
||
|
|
Б. Сложная альвеолярная. |
|
||||
|
|
В. Простая разветвленная. |
|
||||
|
|
Г. Простая трубчатая. |
|
|
|||
|
|
Д. Альвеолярно-трубчатая. |
|
||||
|
Выводные |
|
|
|
|
|
|
|
протоки |
|
|
|
|
|
|
|
Рис.1.121 |
|
|
|
|
|
|
|
|
|
ЗАДАНИЕ 1.122 |
|
|||
|
|
В |
препарате |
кожи |
выявили |
||
Выводной |
|
структуры |
сальной |
железы, |
|||
проток |
|
обозначенные |
стрелками |
на |
|||
|
|
рис.1.122. Дайте характерис- |
|||||
|
|
тику желез. |
|
|
|
|
|
|
|
А. Трубчатые. |
|
|
|
||
|
|
Б. Сложная альвеолярная. |
|
||||
|
|
В. Простая разветвленная. |
|
||||
|
|
Г. Простая трубчатая. |
|
|
|||
|
|
Д. Альвеолярно-трубчатая.. |
|
||||
Концевой отдел |
|
|
|
|
|
|
|
Рис.1.122