Материал: Obschaya_gistologia_Ch_1__2010

Внимание! Если размещение файла нарушает Ваши авторские права, то обязательно сообщите нам

45

ТЕСТОВЫЕ ЗАДАНИЯ ДЛЯ ПРОВЕРКИ ДОСТИЖЕНИЯ КОНКРЕТНЫХ ЦЕЛЕЙ ОБУЧЕНИЯ

ТЕСТОВОЕ ЗАДАНИЕ 1.1 В гистологическом препарате слизистой оболочки трахеи определяется ткань, которая

состоит из нескольких рядов клеток, тесно связанных с базальной мембраной и между собой. Определите тип ткани.

А. Ткань внутренней среды. Б. Мышечная.

В. Нервная.

Г. Эпителиальная. Д. Кровь.

ТЕСТОВОЕ ЗАДАНИЕ 1.2 В составе эпителиальной ткани печени выявили

структуру, отмеченную стрелкой на рисунке. Назовите данный гистологический элемент.

А. Клетка.

Б. Постклеточная структура. В. Межклеточное вещество. Г. Симпласт.

Д. Синцитий.

ТЕСТОВОЕ ЗАДАНИЕ 1.3 В составе соединительной ткани выявили

структуру, отмеченную стрелкой на рисунке. Назовите данный гистологический элемент.

А. Клетка.

Б. Постклеточная структура. В. Межклеточное вещество. Г. Симпласт.

Д. Синцитий.

ТЕСТОВОЕ ЗАДАНИЕ 1.4 В динамике культивирования фибробласта прослежены закономерности структурной

перестройки клетки в виде увеличения объема цитоплазмы, площади цистерн гранулярной эндоплазматической сети, комплекса Гольджи, количества митохондрий. Укажите данное свойство.

А. Детерминация. Б. Изменчивость.

В. Дифференцировка. Г. Регенерация.

Д. Апоптоз.

46

ТЕСТОВОЕ ЗАДАНИЕ 1.5 В слизистой оболочке тонкой кишки определяется

эпителий, отмеченный скобкой на рисунке. Укажите разновидность ткани.

А. Однослойный многорядный реснитчатый.

Б. Переходный. В. Мезотелий.

Г. Однослойный призматический каемчатый.

Д. Многослойный призматический.

ТЕСТОВОЕ ЗАДАНИЕ 1.6 В гистологическом препарате роговицы глаза

определяется ткань (стрелка), состоящая из нескольких слоев клеток. Какая ткань покрывает орган?

А. Переходный эпителий.

Б. Многорядный мерцательный эпителий. В. Многослойный плоский ороговевающий

эпителий. Г. Мезотелий.

Д. Многослойный плоский неороговевающий эпителий.

ТЕСТОВОЕ ЗАДАНИЕ 1.7 При изучении гистологических препаратов биопсийного материала печени, взятого у

больного через шесть месяцев после удаления доли органа, в эпителиальной ткани были выявлены признаки регенерации. Какой вид регенерации характерен для данной ткани? А. Клеточный.

Б. Внутриклеточный. В. Замена биомембран.

Г. Клеточный и внутриклеточный. Д. Специализированный.

ТЕСТОВОЕ ЗАДАНИЕ 1.8 В гистологическом препарате дермы кожи

определяется ткань (стрелки на рисунке), состоящая из пласта клеток. Какая ткань покрывает орган?

А. Переходный эпителий.

Б. Многорядный мерцательный эпителий. В. Многослойный плоский ороговевающий

эпителий.

Г. Однослойный плоский эпителий.

Д. Многослойный плоский неороговевающий эпителий.

47

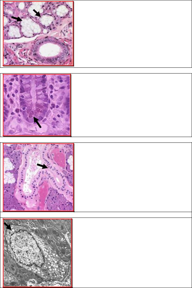
ТЕСТОВОЕ ЗАДАНИЕ 1.9 В препарате слюнной железы выявляются

эпителиальные образования, обозначенные стрелками на рисунке. Назовите данные образования.

А. Выводные протоки. Б. Трабекулы.

В. Эндокринные островки. Г. Фолликулы.

Д. Секреторные (концевые) отделы.

ТЕСТОВОЕ ЗАДАНИЕ 1.10 В составе эпителия крипты тонкой кишки

определяется структура, отмеченная стрелкой на рисунке. Назовите данную структуру.

А. Экзокриноцит. Б. Эндокриноцит.

В. Эндокринный островок. Г. Фолликул.

Д. Концевой отдел.

ТЕСТОВОЕ ЗАДАНИЕ 1.11 В составе паренхимы слюнной железы эпителий

формирует структуру, отмеченную стрелкой на рисунке. Назовите данную структуру.

А. Выводной проток. Б. Трабекула.

В. Эндокринный островок. Г. Фолликул.

Д. Концевой отдел.

ТЕСТОВОЕ ЗАДАНИЕ 1.12 В однослойном эпителии слизистой оболочки

желудка определяется структура, отмеченная стрелкой на рисунке. Назовите данную структуру. А. Экзокриноцит.

Б. Эндокриноцит.

В. Эндокринный островок. Г. Фолликул.

Д. Концевой отдел.

48

ГЛАВА 2. ТКАНИ ВНУТРЕННЕЙ СРЕДЫ. КРОВЬ. ЛИМФА

Актуальность: важнейшим условием существования организма человека является обеспечение постоянства внутренней среды (гомеостаза) и уменьшение энтропии (хаотичности) в тканях и органах в условиях изменения окружающей среды. Именно такая функция является главной для тканей внутренней среды. Изучение крови как ткани для врача имеет важное диагностическое значение, поскольку первым клиническим анализом является общий анализ крови, в котором отображаются количественные и качественные особенности наиболее реактивной ткани организма. Универсальность данной ткани состоит еще и в том, что благодаря редкой плазме с кровью ко всем органам транспортируются различные вещества (питательные, регуляторные, газы, ионы), а из органов выводятся конечные продукты метаболизма. Кроме того, кровь является обязательным участником защитных реакций организма – поставляет клетки, которые реализуют механизмы неспецифической (фагоцитоз) и специфической (иммунитет) защиты.

2.1. Мезенхима, особенности строения, значение.

 

 

 

 

 

 

ЗАДАНИЕ 2.1

 

Отростчатые клетки

В

препарате

зародыша

выявляется

эмбриональная

 

 

ткань, состоящая из структур,

 

обозначенных

на

рис.2.1.

 

Назовите данную ткань.

 

 

А. Кожная эктодерма.

 

 

Б. Целомический эпителий.

Межклеточное

В. Мезенхима.

 

 

вещество

Г. Энтодерма.

 

 

 

Д. Нервная.

 

 

Рис. 2.1

 

 

 

 

 

 

ЗАДАНИЕ 2.2

 

Эктодерма

В

теле

зародыша

из

зародышевых листков, обозна-

 

 

ченных на рис.2.2 выселяются

 

клетки, формирующие ткань во

Мезодерма

всех зачатках органов. Назовите

 

данную ткань.

 

 

Энтодерма

А. Кожная эктодерма.

 

 

Б. Пигментная.

 

 

 

В. Мезенхима.

 

 

 

Г. Слизистая.

 

 

 

Д. Нервная.

 

 

Рис. 2.2

 

 

 

 

 

 

 

 

 

49

1.Высокое ядерно-

 

ЗАДАНИЕ 2.3

цитоплазматическое

В составе эмбриональной ткани

отношение.

выявляются

клетки

(стрелки),

2.Цитоплазматически

основные

 

морфологические

е отростки.

 

3.Много ядрышек и

признаки

которых

представ-

эухроматина.

лены

на

 

рис.2.3.

Назовите

4.Базофильная

данные клетки.

 

цитоплазма.

 

А. Нейробласты.

 

 

 

 

Б. Пигментные.

 

 

В. Мезенхимные.

 

 

Г. Слизистые.

 

 

Д. Миоэпителиальные.

 

Рис. 2.3

 

 

 

 

1.Кровь.

ЗАДАНИЕ 2.4

 

2.Лимфа.

Эмбриональная

ткань

является

3.Волокнистые

источником

развития

тканей,

соединительные

обозначенных

 

на

рис.2.4.

ткани.

 

Назовите данную ткань.

4.Соединительные

ткани со

А. Ретикулярная.

 

специальными

Б. Слизистая.

 

 

 

свойствами.

В. Мезенхима.

 

 

5.Скелетные

 

 

Г. Лимфоидная.

 

 

ткани.

 

 

Д. Миелоидная.

 

 

6.Эндотелий.

 

 

7.Гладкая

 

 

 

 

мышечная ткань.

 

 

 

 

 

Рис.2.4

 

 

 

2.2. Общая морфофункциональная характеристика тканей внутренней среды.

Классификация.

 

 

 

 

Белая

ЗАДАНИЕ 2.5

 

В препарате выявляются разно-

жировая

 

 

 

 

 

 

 

видности тканей мезенхимного

 

 

 

 

 

 

 

 

 

 

 

 

 

 

происхождения,

обозначенные

 

Волокнистая

 

 

 

 

 

на рис.2.5. Что

формируют

 

соединительная

 

 

 

 

 

данные ткани?

 

 

 

 

 

 

 

 

 

 

 

 

 

 

 

 

 

 

А.

Внутреннюю среду

 

 

 

 

 

 

 

 

 

организма.

 

 

 

 

 

 

 

 

 

 

Б. Барьер между внешней

 

 

 

 

 

 

 

средой и организмом.

 

 

 

 

 

 

 

В. Жидкую межклеточную

 

Гиалиновая

 

 

 

 

 

 

среду.

 

 

 

хрящевая

 

 

 

 

 

 

 

 

Г. Систему кроветворных

 

 

 

 

 

 

 

 

 

 

 

 

 

 

 

органов.

 

 

 

 

 

 

 

 

 

 

 

 

 

 

 

 

 

Рис. 2.5

 

Д. Микроокружение стволовых

 

 

 

 

 

 

клеток.