Материал: 2020 Практическое занятие № 4

Внимание! Если размещение файла нарушает Ваши авторские права, то обязательно сообщите нам

Опишите микроскопические изменения

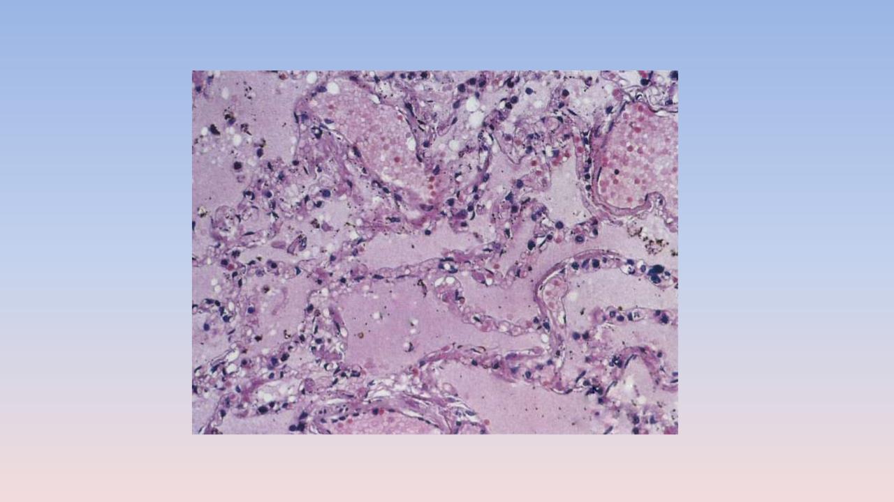
2. Отек легких

Опишите микроскопические изменения

3. Организация тромба

Опишите микроскопические изменения

4. Мускатная печень

Контроль знаний студентов

Вариант №1

1.Артериальное полнокровие: виды, морфологическая характеристика, исходы, клиническое значение.

2.Дайте определение терминам: организация, индурация, гемосидероз.

Вариант №2

1.Венозное полнокровие: морфологическая характеристика острого и хронического венозного полнокровия.

2.Дайте определение терминам: эмболия, атрофия, тромбоз.

Вариант №3

1.Венозный застой в системе малого круга кровообращения: виды, клиникоморфологическая характеристика.

2.Дайте определение терминам: склероз, стеатоз, стаз.

Вариант №4

1.Хронический венозный застой в системе большого круга кровообращения: клинико-морфологическая характеристика.

2.Дайте определение терминам: метаплазия, эмболия, гиперплазия.