Материал: Задание+26.+Патология+беременности

Внимание! Если размещение файла нарушает Ваши авторские права, то обязательно сообщите нам

ФГБОУ ВО «УРАЛЬСКИЙ ГОСУДАРСТВЕННЫЙ МЕДИЦИНСКИЙ УНИВЕРСИТЕТ»

Министерства здравоохранения Российской Федерации

Кафедра патологической анатомии и судебной медицины

«Утверждаю»

Заведующий кафедрой

Д.м.н., проф. ____________ Л.М.Гринберг

«____» ______________________ 20___ год

МЕТОДИЧЕСКАЯ РАЗРАБОТКА К ПРАКТИЧЕСКОМУ ЗАНЯТИЮ для студентов

(учебное задание)

ООП специальности 31.05.02 «Педиатрия»

Дисциплина Б1.Б.22 «Патологическая анатомия, клиническая патологическая анатомия»

  1. ТЕМА ЗАНЯТИЯ: БОЛЕЗНИ БЕРЕМЕННОСТИ И ПОСЛЕРОДОВОГО ПЕРИОДА. ПРЕ- и ПОСТНАТАЛЬНАЛАЯ ПАТОЛОГИЯ. ВНУТРИУТРОБНЫЕ ИНФЕКЦИИ.

  1. УЧЕБНАЯ ЦЕЛЬ ЗАНЯТИЯ: Изучение морфологической сущности болезней беременности и послеродового периода.

  1. ЗАДАЧИ ЗАНЯТИЯ:

По окончании занятия студент должен знать:

- Этиологию, патогенез, виды, морфологический субстрат патологии беременности и послеродового периода

- Патоморфологические проявления и осложнения самопроизвольного аборта, внематочной беременности, токсикозов беременных

- Классификацию и патологическую анатомию трофобластических болезней

-Морфологическую характеристику различных вариантов патологии последа и пуповины

-Понятие о врожденных пороках развития плода

-Понятие о перинатальном периоде, выкидыше, аборте. Болезни перинатального периода: недоношенность, переношенность, асфиксия, родовая травма, пневмопатии, врожденная пневмония и их морфологическая характеристика.

Студент должен уметь:

-объяснить этиологию и патогенез различных видов патологии беременности и послеродового периода.

-различать морфологические проявления различных видов патологии беременности и послеродового периода.

-оценить их функциональное значение и исходы.

-назвать осложнения, возникающие при патологически протекающей беременности.

-различать патологию последа на основании макро-и микроскопической характеристики.

- оценить их функциональное значение и исходы.

-различать гаметопатии, бластопатии, эмбриопатии, фетопатии.

шифр

Содержание компетенции

знать

уметь

владеть

ОК-1

способностью к абстрактному мышлению, анализу, синтезу

- определение, механизмы развития, разновидности: причины, пато- и морфогенез, этиологию, патоморфоз, принципы классификации клинико-морфологическая характеристику, методы диагностики, исходы различных видах патологии беременности и послеродового периода, пре- и постнатальной патологии; внутриутробных инфекциях

- работать с увеличительной техникой (микроскоп);

- оценить гистофизиологическое состояние основных клеточных, тканевых и органных структур организма при различных видах патологии беременности и послеродового периода, пре- и постнатальной патологии; внутриутробных инфекциях;

- описывать морфологические изменения изучаемых макроскопических, микроскопических препаратов и электроннограмм при различных видах патологии беременности и послеродового периода, пре- и постнатальной патологии; внутриутробных инфекциях;

- дифференцировать на микро и макро препаратах различные виды патологии беременности и послеродового периода, пре- и постнатальной патологии; внутриутробных инфекций

- медико-функциональным понятийным аппаратом по вопросам различных видов патологии беременности и послеродового периода, пре- и постнатальной патологии; внутриутробных инфекциях;

- методами исследования биопсийного и операционного материала при различных видах патологии беременности и послеродового периода, пре- и постнатальной патологии; внутриутробных инфекциях

ОК- 2

способностью использовать основы философских знаний для формирования мировоззренческой позиции

ОК- 5

готовностью к саморазвитию, самореализации, самообразованию, использованию творческого потенциала

ОК-8

готовностью к работе в коллективе, толерантно воспринимать социальные, этнические, конфессиональные и культурные различия

ОПК-1

готовностью решать стандартные задачи профессиональной деятельности с использованием информационных, библиографических ресурсов, медико-биологической терминологии, информационно-коммуникационных технологий и учетом основных требований информационной безопасности

ОПК-3

способностью использовать основы экономических и правовых знаний в профессиональной деятельности

ОПК-4

способностью и готовностью реализовать этические и деонтологические принципы в профессиональной деятельности

ОПК- 6

готовностью к ведению медицинской документации

ОПК-9

способностью к оценке морфофункциональных, физиологических состояний и патологических процессов в организме человека для решения профессиональных задач

ПК-5

готовностью к сбору и анализу жалоб пациента, данных его анамнеза, результатов осмотра, лабораторных, инструментальных, патолого-анатомических и иных исследований в целях распознавания состояния или установления факта наличия или отсутствия заболевания

ПК-6

способностью к определению у пациентов основных патологических состояний, симптомов, синдромов заболеваний, нозологических форм в соответствии с Международной статистической классификацией болезней и проблем, связанных со здоровьем - X пересмотр, принятой 43-ей Всемирной Ассамблеей Здравоохранения, г. Женева, 1989 г.

ОК-1

способностью к абстрактному мышлению, анализу, синтезу

ОК- 2

способностью использовать основы философских знаний для формирования мировоззренческой позиции

  1. ПРОДОЛЖИТЕЛЬНОСТЬ ЗАНЯТИЯ: 2 часа

  1. КОНТРОЛЬНЫЕ ВОПРОСЫ ПО ТЕМЕ:

Для успешной работы на практическом занятии необходимо:

5.1. Проработать тренировочные тесты по теме занятия на сайте кафедры.

5.2. Дигностировать микропрепараты по теме занятия на сайте кафедры.

5.3. Знать теоретический материал:

  • Патология плаценты. Патология пуповины.

  • Патология беременности. Спонтанные аборты. Эктопическая бере­менность. Гестозы. Трофобластическая болезнь.

  • Структура перинатальной заболеваемости и смертности. Недоношенность, переношенность, синдром задержки развития плода (СЗРП). Мертворождения.

  • Родовая травма и родовые повреждения.

  • Внутриутробные инфекции, обусловленные возбудителями, ассоциированными в TORCH-комплекс: токсоплазмоз, краснуха, цитомегалия, герпес, хламидиоз, микоплазмоз, респираторные вирусы.

  • Гемолитическая болезнь плода-новорожденного.

  • Диабетическая фетопатия

6. ЗАДАНИЯ И МЕТОДИЧЕСКИЕ УКАЗАНИЯ К ИХ ВЫПОЛНЕНИЮ

На занятии студенту необходимо выполнить:

6.1. Ответить на входного тест-контроля

6.2. Ответить на вопросы преподавателя

6.3. Принять участие в обсуждении

6.4. Изучить таблицы: 6-нарушение кровообращения.

6.5. Описать по схеме и сделать заключение по макропрепаратам: 235, 236, 237, 240, 241, 243, 97.

6.6. Изучить, зарисовать и отметить существенные элементы на микропрепаратах:

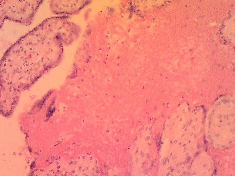
17. Ишемические инфаркты в плаценте

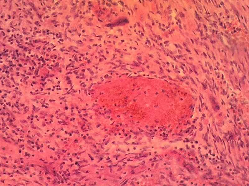
В плаценте видны множественные очаги некроза неправильной формы розового цвета. В них определяются контуры ворсин хориона, ядерная пыль (кариорексис), сморщивание и гиперхромия ядер ланггансова эпителия (пикноз). Демаркационная зона не выражена.

Существенные элементы: 1. участок некроза

2. кариорексис

232. Послеродовой эндометрит

Эндометрий разрушен. На миометрии свертки крови смешанно­го характера и элементы плаценты. На большем увеличении — обильная нейтрофильная инфильтрация свертков крови к миометрия. Среди миоцитов лежат крупные неправильной формы клетки хориального эпителия с уродливыми ядрами. В венах миометрия стаз и смешанные тромбы. В строке миометрия отек.

Существенные элементы: 1. остатки плаценты

2. смешанные тромбы в венах

3. инвазивный хориальный эпителий

4. свертки крови

5. нейтрофильноклеточная инфильтрация

3

5

2

3

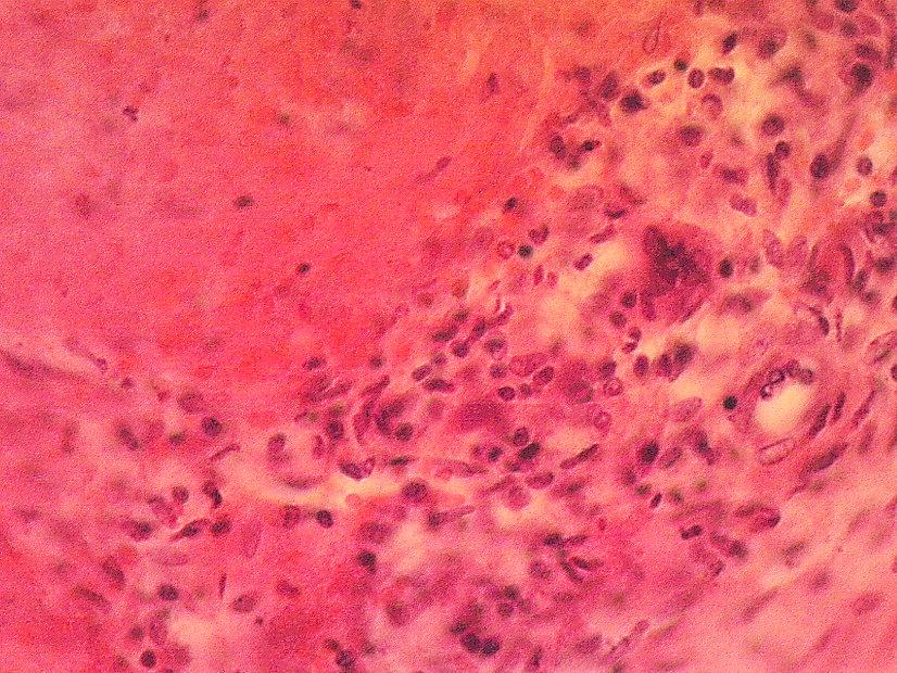
233. Гнойный плацентит

В препарате фрагмент плаценты с базальной децидуальной пластинкой и ворсинами хориона. В децидуальной ткани видны оча­ги некроза и диффузная лейкоцитарная нейтрофильная инфильтрация. Это - базальный децидуит. Ворсины хориона отечные, ин­фильтрированы лейкоцитами — этот процесс называется веллузит, В межворсинчатых пространствах скопление белковых масс, ин­фильтрированных лейкоцитами. Этот процесс получил название — интервеллузит.

Существенные элементы: 1. базальный децидуит

2. веллузит

3. интервеллузит

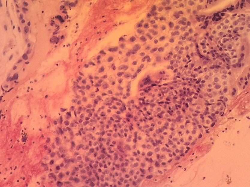
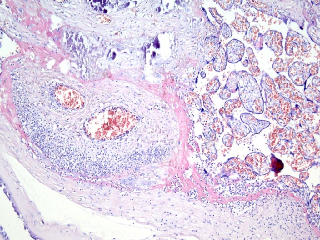
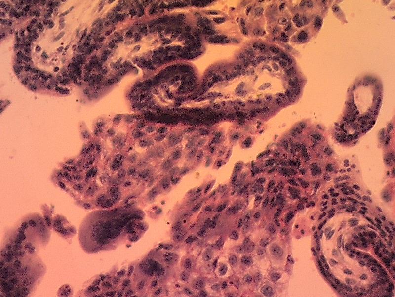
235. Маточная беременность

В препарате соскоб эндометрия, в котором среди свертков кро­ви и фибрина лежат пласты децидуальных клеток и ворсины хо­риона. Хориальные ворсины неправильной формы, различные по ве­личине и выделяются светлой бедноклеточной стромой. На большем увеличении — децидуальные клетки крупные, цитоплазма их блед­ная» базофильная. Ворсины хориона покрыты слоем кубических клеток (Ланггансовы клетки) и слоем поверхностных клеток.

Существенные элементы: 1. ворсины хориона

2. пласты децидуальных клеток (стрелка)

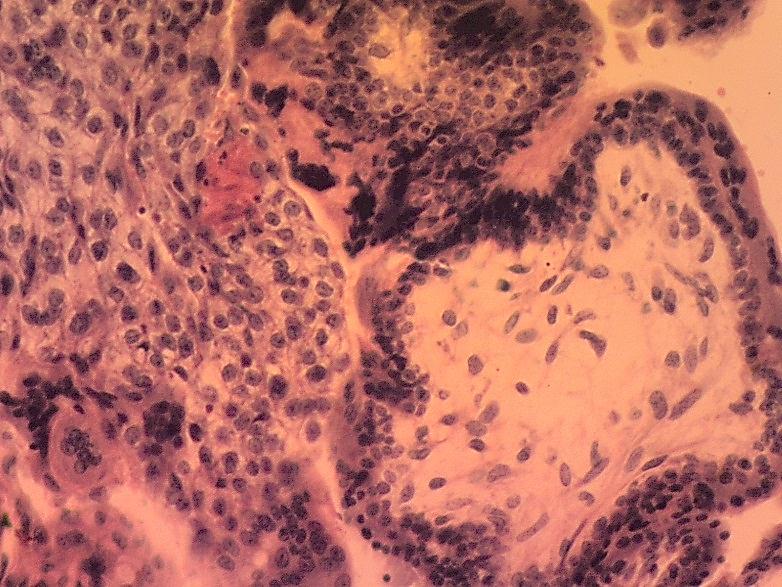
236. Трубная беременность

В ворсинах маточной трубы видны элементы плаценты. Четко контурируют ворсины хориона и пласты децидуальных клеток. На большем увеличении многоядерные клетки хориона выделяются сре­ди стромальных клеток ворсин.

Существенные элементы: 1. ворсины хориона

2. хориальный эпителий

3. пласты децидуальных клеток (стрелка)

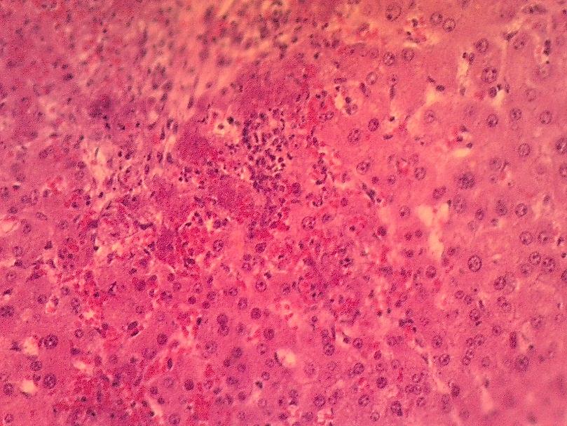
237. Печень при эклампсии

В печени мелкие очаги кровоизлияний и некроза, которые вы­деляются сиренево-розовым цветом. На большем увеличении в очагах некроза распавшиеся гепатоциты. В окружающих клетках зернистая и жировая дистрофия. В сосудах полнокровие и тромбы.

Существенные элементы: 1. очаги некроза (стрелка)

2. очаги кровоизлияний

3. тромбы в сосудах

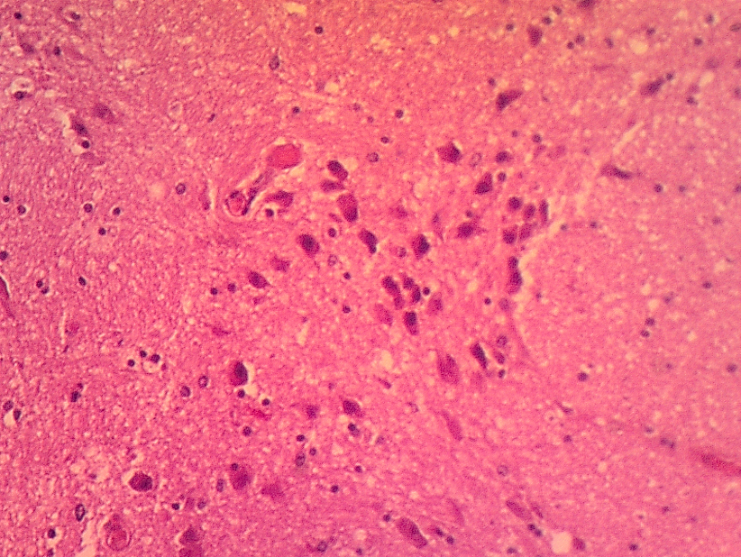
238. Головной мозг при эклампсии

В ткани мозга неравномерное кровенаполнение: гиперемия и шаговое малокровие. В стенках мелких сосудов определяются фибриноидное набухание (утолщение, неравномерная гомогенизация стенки) и очаги фибриноидного некроза (бесструктурные, более ярко окрашенные зернистые участки стенки). В сосудах микроциркулярного русла (артериолы, капилляры, венулы) фибриновые тромбы. В ткани мозга видны петехии — мелкие очаговые скопле­ния эритроцитов, и более крупные кровоизлияния. Выражены дис­трофические изменения нервных клеток (нечеткость контуров кле­ток и ядер, бледные ядра, включения в цитоплазме) и мелкие бес­структурные участки мозга, окрашенные в розовый цвет (некроз). Вокруг сосудов, глиальных и ганглиозных клеток светлый ободок — отек.

Существенные элементы: 1. очаги гиперемии

2. очаги малокровия

3. фибриновые тромбы

4. фибриноидный некроз стенки сосудов

5. петехии

6. мелкие очаги некроза ткани мозга

7. отек

6.7. ОЦЕНИВАНИЕ ЗНАНИЙ, УМЕНИЙ, НАВЫКОВ ПО ТЕМЕ ЗАНЯТИЯ

ПРАКТИЧЕСКОЕ ЗАНЯТИЕ – max 2,5 балла:

за тест: 1 б. – оц.-5; 0,7 б. – оц.-4; 0,5б. – оц.-3.

за устный ответ: 1 б. – оц.-5; 0,7 б. – оц.-4; 0,5б. – оц.-3.

Отчет по практической части занятия, по лекции – 0,5 балла

7. УЧЕБНО-ИССЛЕДОВАТЕЛЬСКАЯ РАБОТА:

«Родовая травма»

«Хорионкарцинома»

«TORCH-комплекс внутриутробных инфекций»

8. ЛИТЕРАТУРА ДЛЯ ПОДГОТОВКИ К ЗАНЯТИЮ:

Основная:

    1. Лекционный материал

    2. Патология. Под редакцией М.А. Пальцева. – М: «Медицина». – 2017. – В 2 томах.

    3. Зайратьянц О.В. Патологическая анатомия. Атлас

Дополнительная:

    1. учебник «Патологическая анатомия», 2017, Т.2, часть 1,

9. Методическая разработка подготовлена доцентом, к.м.н. А.С. Филатовой

Обсуждена на заседании кафедры № ____ от «___» _______________ 20___ г.