Материал: Задание+20.+Болезни+ЖКТ-1

Внимание! Если размещение файла нарушает Ваши авторские права, то обязательно сообщите нам

ФГБОУ ВО «УРАЛЬСКИЙ ГОСУДАРСТВЕННЫЙ МЕДИЦИНСКИЙ УНИВЕРСИТЕТ»

Министерства здравоохранения Российской Федерации

Кафедра патологической анатомии и судебной медицины

«Утверждаю»

Заведующий кафедрой

Д.м.н., проф. ____________ Л.М. Гринберг

«____» ______________________ 20___ год

МЕТОДИЧЕСКАЯ РАЗРАБОТКА К ПРАКТИЧЕСКОМУ ЗАНЯТИЮ

(для студентов)

ООП специальности 31.05.02 «Педиатрия»

Дисциплина Б1.Б.22 «Патологическая анатомия, клиническая патологическая анатомия»

  1. ТЕМА ЗАНЯТИЯ: ПАТОЛОГИЯ СЛЮННЫХ ЖЕЛЕЗ, ПИЩЕВОДА И ЖЕЛУДКА. ХРОНИЧЕСКИЙ ГАСТРИТ. ЯЗВЕННАЯ БОЛЕЗНЬ. ОПУХОЛИ СЛЮННЫХ ЖЕЛЕЗ, ПИЩЕВОДА И ЖЕЛУДКА.

  1. УЧЕБНАЯ ЦЕЛЬ ЗАНЯТИЯ: изучение этиологии, пато- и морфогенеза, морфологической сущности острых воспалительных заболеваний пищевода, желудка; изучение принципов классификации, терминологии и нозологической принадлежности эзофагитов, хронических гастритов, язвенной болезни; составление представления о широте распространения и значимости заболеваний желудочно-кишечного тракта, факторов риска и условиях их реализации. Составление представления об опухолевых процессах пищевода и желудка.

  1. ЗАДАЧИ ЗАНЯТИЯ:

По окончании занятия студент должен знать:

- принципы классификации эзофагитов, гастритов, их терминологию и нозологическую принадлежность;

- макро- и микроскопическую характеристику воспалительных и опухолевых заболеваний желудочно-кишечного тракта;

- возможные исходы и осложнения заболеваний желудочно-кишечного тракта.

Студент должен уметь:

- диагностировать острые воспалительные заболевания слюнных желез, пищевода, желудка;

- проводить дифференциальную диагностику воспалительных и опухолевых заболеваний слюнных желез, пищевода и желудка;

- устанавливать нозологическую принадлежность в конкретных клинических ситуациях.

шифр

Содержание компетенции

знать

уметь

владеть

ОК-1

способностью к абстрактному мышлению, анализу, синтезу

- определение, механизмы развития, разновидности: причины, пато- и морфогенез, этиологию, патоморфоз, принципы классификации клинико-морфологическая характеристику, методы диагностики, исходы различных болезней слюнных желез, пищевода и желудка

ОК- 1,4,7,8

ПК - 15, 16, 17, 18

- работать с увеличительной техникой (микроскоп);

- оценить гистофизиологическое состояние основных клеточных, тканевых и органных структур организма при различных болезнях слюнных желез, пищевода и желудка;

- описывать морфологические изменения изучаемых макроскопических, микроскопических препаратов и электроннограмм при различных болезнях пищевода и желудка;

- описывать морфологические изменения изучаемых макроскопических, микроскопических препаратов и электроннограмм при различных болезнях пищевода и желудка

- дифференцировать на микро и макро препаратах различные болезни пищеварительной системы

ОК- 1,4,7,8

ПК - 3, 6, 15, 16, 17, 18, 20, 34, 36

- медико-функциональным понятийным аппаратом по вопросам различных болезней пищеварительной системы;

- методами исследования биопсийного и операционного материала при различных болезнях слюнных желез, пищевода и желудка

ОК- 1,4,7,8

ПК - 3, 6

ОК- 2

способностью использовать основы философских знаний для формирования мировоззренческой позиции

ОК- 5

готовностью к саморазвитию, самореализации, самообразованию, использованию творческого потенциала

ОК-8

готовностью к работе в коллективе, толерантно воспринимать социальные, этнические, конфессиональные и культурные различия

ОПК-1

готовностью решать стандартные задачи профессиональной деятельности с использованием информационных, библиографических ресурсов, медико-биологической терминологии, информационно-коммуникационных технологий и учетом основных требований информационной безопасности

ОПК-3

способностью использовать основы экономических и правовых знаний в профессиональной деятельности

ОПК-4

способностью и готовностью реализовать этические и деонтологические принципы в профессиональной деятельности

ОПК- 6

готовностью к ведению медицинской документации

ОПК-9

способностью к оценке морфофункциональных, физиологических состояний и патологических процессов в организме человека для решения профессиональных задач

ПК-5

готовностью к сбору и анализу жалоб пациента, данных его анамнеза, результатов осмотра, лабораторных, инструментальных, патолого-анатомических и иных исследований в целях распознавания состояния или установления факта наличия или отсутствия заболевания

ПК-6

способностью к определению у пациентов основных патологических состояний, симптомов, синдромов заболеваний, нозологических форм в соответствии с Международной статистической классификацией болезней и проблем, связанных со здоровьем - X пересмотр, принятой 43-ей Всемирной Ассамблеей Здравоохранения, г. Женева, 1989 г.

ОК-1

способностью к абстрактному мышлению, анализу, синтезу

ОК- 2

способностью использовать основы философских знаний для формирования мировоззренческой позиции

ОК- 5

готовностью к саморазвитию, самореализации, самообразованию, использованию творческого потенциала

  1. ПРОДОЛЖИТЕЛЬНОСТЬ ЗАНЯТИЯ: 2 часа

  1. Для успешной работы на практическом занятии необходимо:

5.1 Проработать тренировочные тесты по теме занятия на сайте кафедры.

5.2 Диагностировать микропрепараты по теме занятия на сайте кафедры.

5.3. Знать теоретический материал:

  • Определение и принципы классификации заболевания желудочно-кишечноготракта;

  • Патологическая анатомия болезней слюнных желез (пороки развития, воспалительные – сиалоадениты, дистрофические – сиалолитиаз, опухоли),

  • Нозологическая принадлежность и место в структуре диагноза острого и хронического эзофагитов, осложнения, исходы;

  • Опухолевые заболевания пищевода: классификации, морфологические особенности;

  • Определение и принципы классификации заболеваний желудка;

  • Виды хронических гастритов, особенности этиологии, патогенеза и морфологических характеристик;

  • Этиология, патогенез, патологическая анатомия, осложнения и исходы язвенной болезни желудка и 12-перстной кишки;

  • Опухолевые заболевания желудка и 12-перстной кишки: классификации, морфологические особенности

6. ЗАДАНИЯ И МЕТОДИЧЕСКИЕ УКАЗАНИЯ К ИХ ВЫПОЛНЕНИЮ

На занятии студенту необходимо выполнить:

6.1. Ответить на входного тест-контроля

6.2. Ответить на вопросы преподавателя

6.3. Принять участие в обсуждении

6.4. Изучить таблицы: 57 – вторичные изменения в опухолях; 58 – предопухолевые процессы с переходом в рак; 62 – опухоли эпетелиального происхождения (злокачественные); 63 – опухоли эпетелиального происхождения (злокачественные)

6.5. Описать по схеме и сделать заключение по макропрепаратам: 209/210, 2/4, 295/297. Сделать заключение: 2/3,298, 308/309/310, 358/359, 343/340.

6.6. Изучить, зарисовать и отметить существенные элементы на микропрепаратах: 99, 200. Изучить: 96, 100, 195.

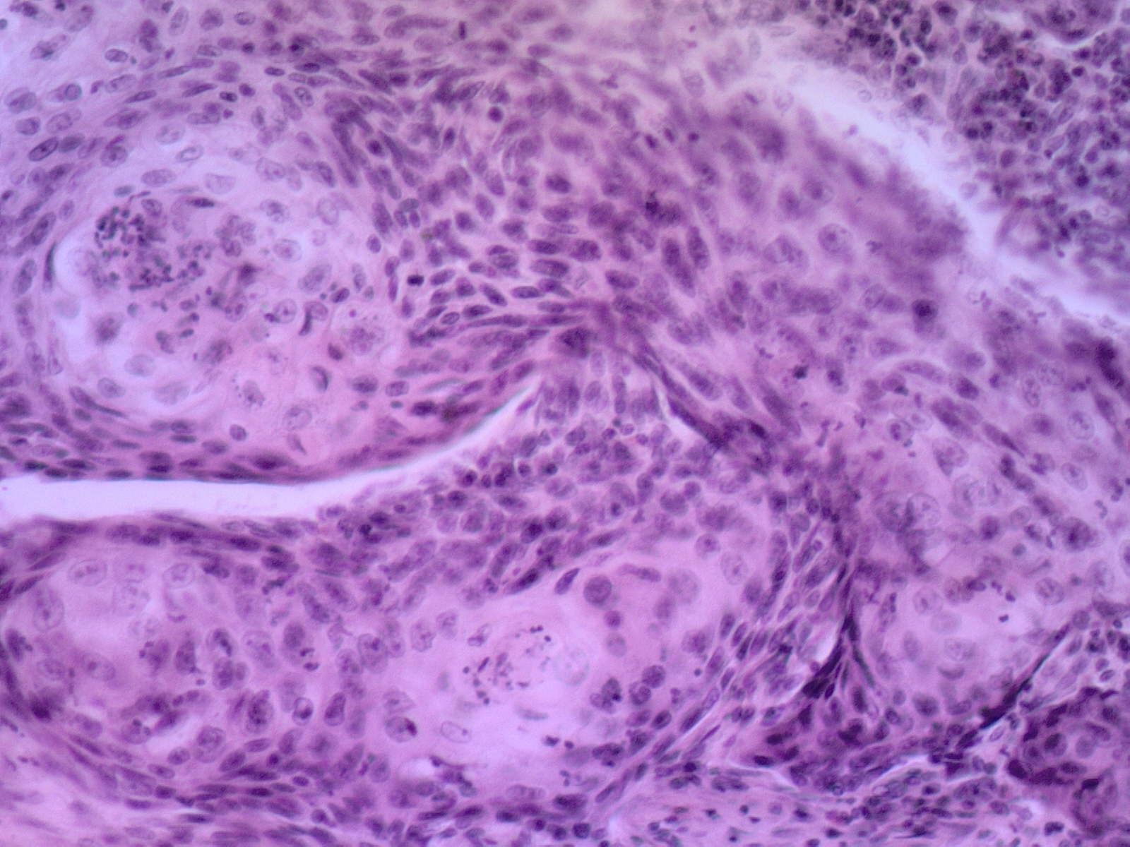
96. Плоскоклеточный ороговевающий рак пищевода

В пищеводе неороговевающий многослойный плоский эпителий расположен на базальной мембране. Раковые разрастания из этого эпителия в виде тяжей и пластов различной формы и величины проникают в подмышечный и мышечный слои. В глубине опухоле­вых пластов видны розового цвета ороговевающие клетки, которые формируют концентрические структуры. Это раковые «жемчужины». На большем увеличении отмечается клеточный и ядерный полиморфизм, а также фигуры деления ядер. Вокруг опухоли густая лимфоидноклеточная инфильтрация.

Существенные элементы: 1. тяжи раковых клеток

2. раковые «жемчужины»

3. лимфоидноклеточные инфильтраты

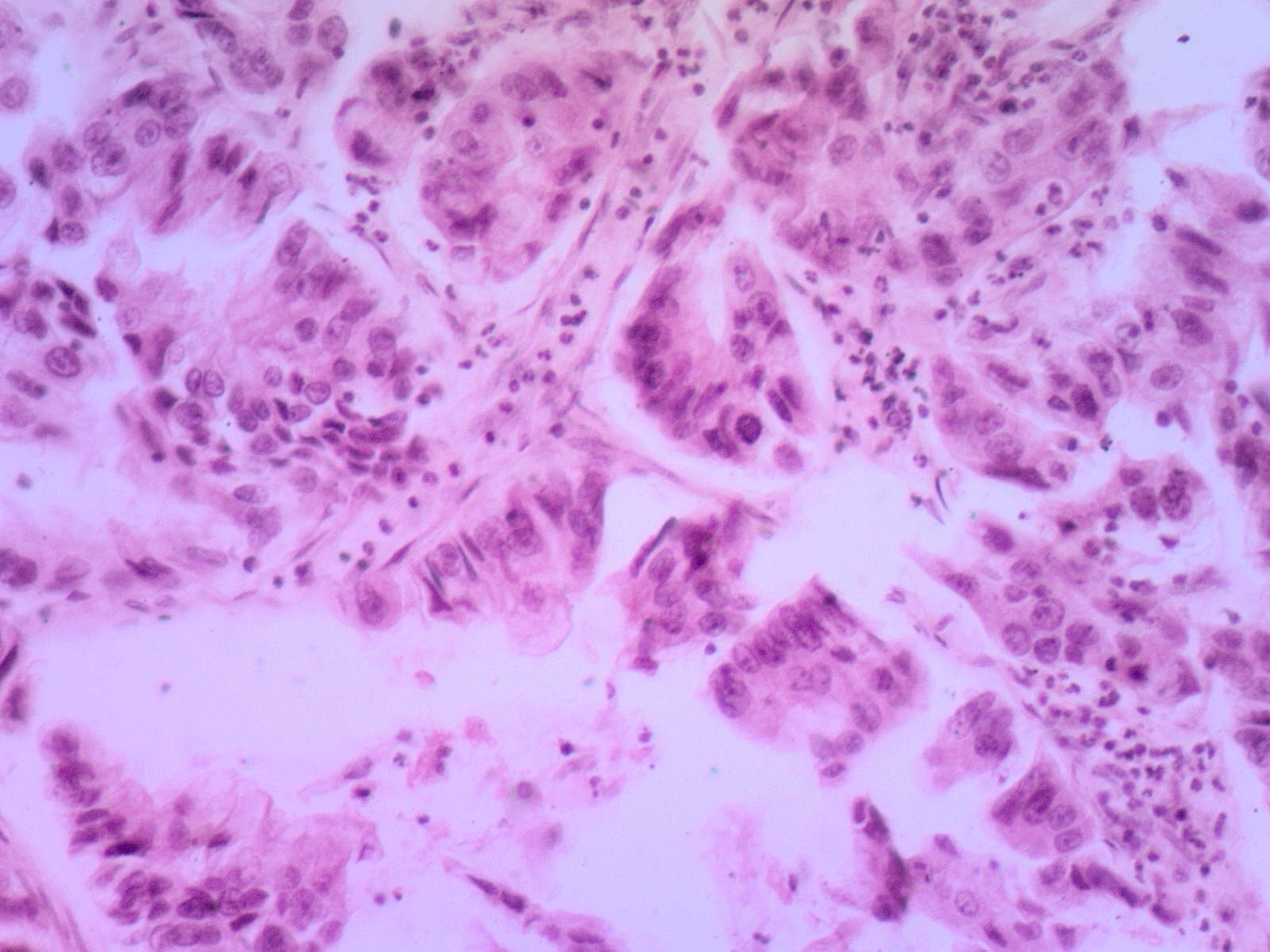
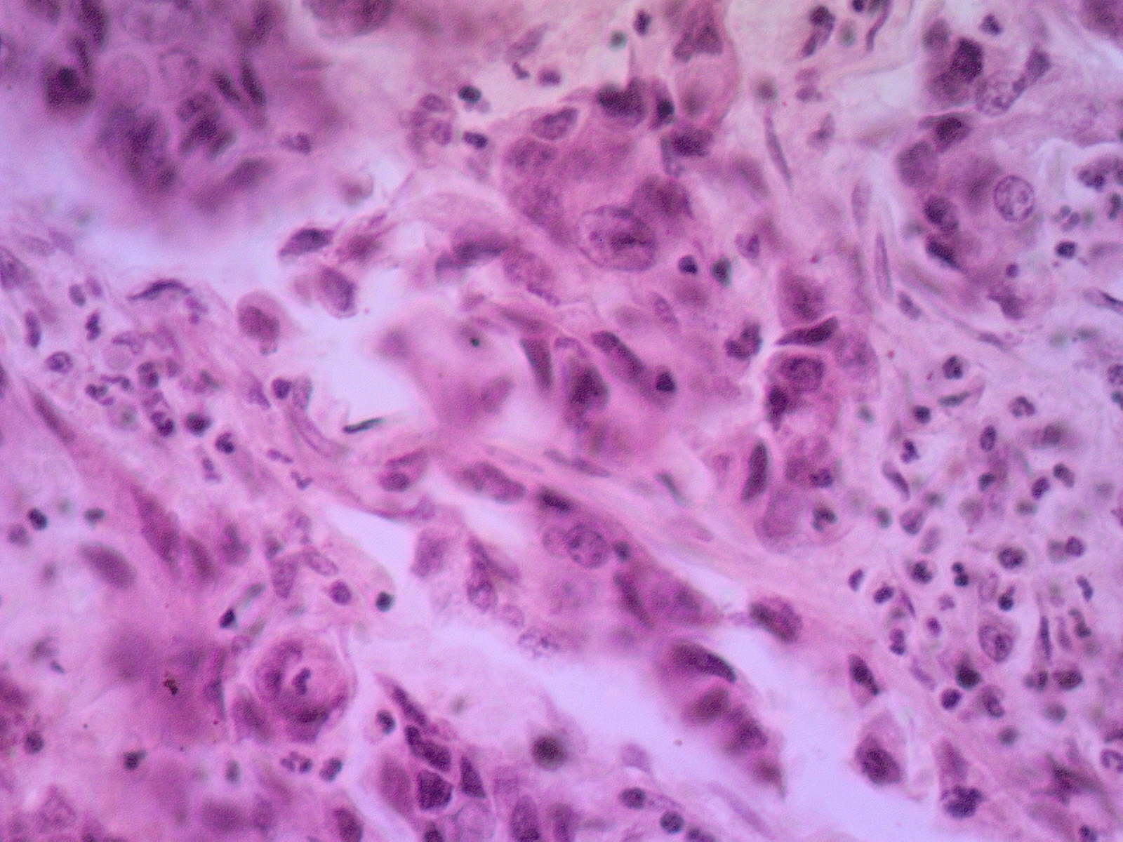
99. Аденокарцинома пилоруса

В пилорическом отделе желудка, кроме слизистой оболочки обычной структуры, видны разрастания опухоли железистого строе­ния. Железы полиморфные. Они различны по величине и форме, распределены в строме неравномерно. На большем увеличении — эпителий опухолевых желез полиморфный, располагается хаотично, иногда в несколько рядов, полярность клеток нарушена, ядра гипер- и гипохромные, большие, встречаются различные фигуры деле­ния ядер (митозы).

Существенные элементы: 1. полиморфные железы

2. полиморфный эпителий

3. полиморфные ядра

4. митозы

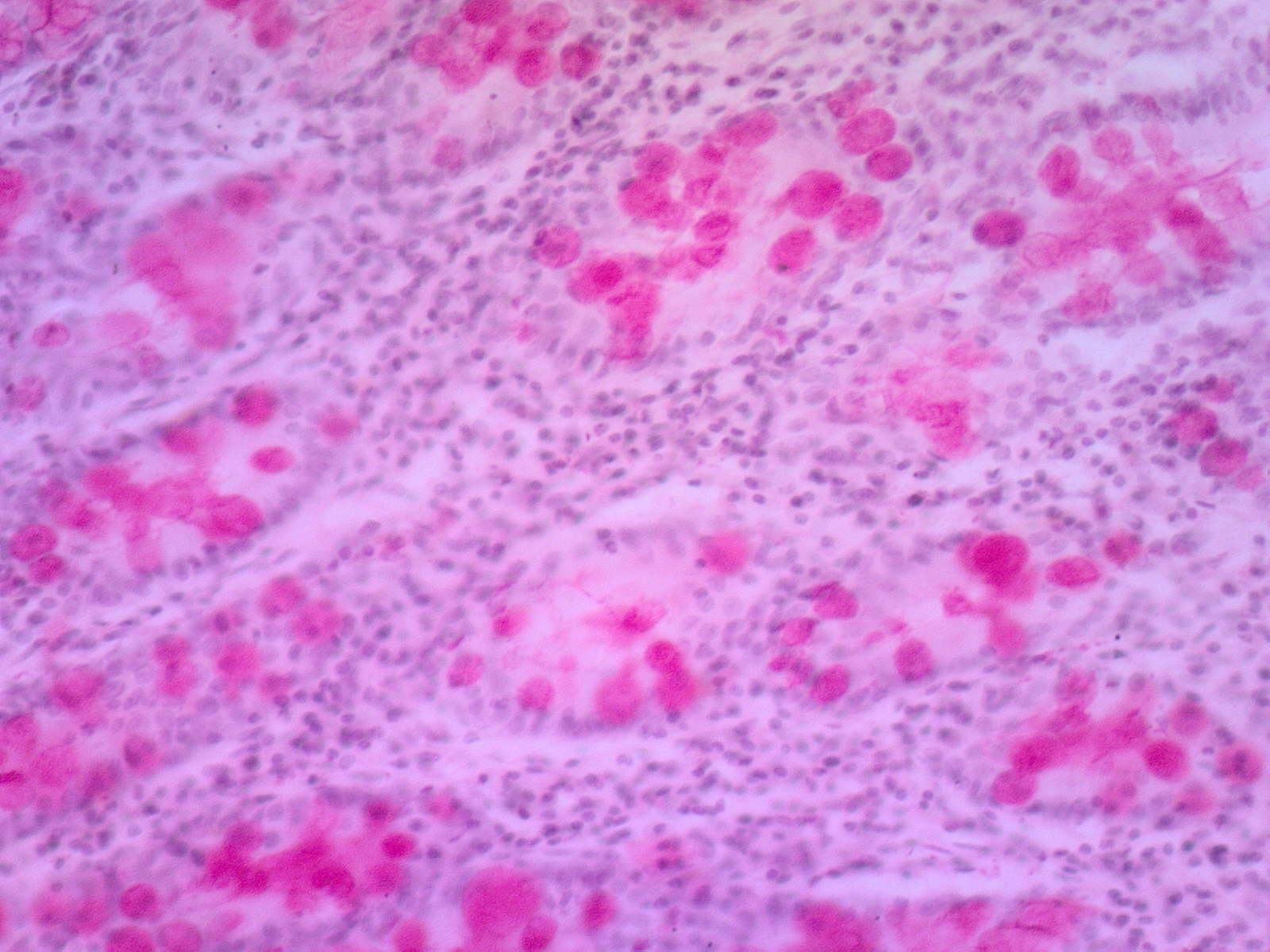
100. Перстневидноклеточная карцинома (гастробиоптат)

В гастробиоптате определяются железы желудка обычного строения. Рядом расположены островки и поля крупных клеток со светлой цитоплазмой и ядром, оттесненным капелькой слизи на пе­риферию («перстневидные клетки»).

Существенные элементы: 1. железы желудка

2. перстневидные опухолевые клетки

195. Катаральный гастрит

Окраска по Мейеру.

В гистопрепарате срез желудка. Четко видны все слои желудка. Слизистая оболочка утолщена, отечна. Выявляется дистрофия, не­кробиоз и слущивание эпителия. Эти цветки отличаются повышен­ным слизеобразованием. Поверхность слизистой оболочки обильно покрыта слизистыми массами (при данной окраске слизь имеет ма­линовый цвет). Сосуды полнокровные, определяются множествен­ные мелкие кровоизлияния и круглоклеточные инфильтраты.

Существенные элементы: 1. отечная слизистая оболочка

2. полнокровие

3. слизистые массы

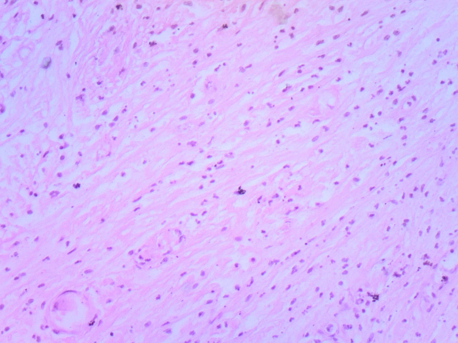
200. Хроническая язва желудка в период обострения Визуально в стенке желудка определяется язвенный дефект. На малом увеличении в дне язвы отмечается широкая зона фибри­ноидного некроза с воспалительной клеточной инфильтрацией. За зоной некроза располагается слой грануляционной ткани с боль­шим количеством сосудов. Самый глубокий слой представлен пучками и тяжами зрелой соединительной ткани с участками гиалиноза. Встречаются сосуды с резко утолщенными стенками и разросшиеся нервные волокна по типу невром.

Существенные элементы: 1. гнойно-некротический слой

2. слой грануляционной ткани

3. слой зрелой соединительной ткани

4. склерозированные стенки сосудов

5. разросшиеся нервные волокна

6.7. ОЦЕНИВАНИЕ ЗНАНИЙ, УМЕНИЙ, НАВЫКОВ ПО ТЕМЕ ЗАНЯТИЯ

ПРАКТИЧЕСКОЕ ЗАНЯТИЕ – max 2,5 балла:

за тест: 1 б. – оц.-5; 0,7 б. – оц.-4; 0,5б. – оц.-3.

за устный ответ: 1 б. – оц.-5; 0,7 б. – оц.-4; 0,5б. – оц.-3.

Отчет по практической части занятия, по лекции – 0,5 балла

  1. УЧЕБНО-ИССЛЕДОВАТЕЛЬСКАЯ РАБОТА:

«Патоморфоз острой язвы желудка»

«Перстневидный рак»

  1. ЛИТЕРАТУРА ДЛЯ ПОДГОТОВКИ К ЗАНЯТИЮ:

Основная:

    1. Лекционный материал

    2. Патология. Под редакцией М.А. Пальцева. – М: «Медицина». – 2017. – В 2 томах.

    3. Зайратьянц О.В. Патологическая анатомия. Атлас

Дополнительная:

    1. учебник «Патологическая анатомия», 2017, Т.2, часть 1,

9. Методическая разработка подготовлена доцентом, к.м.н. А.С. Филатовой

Обсуждена на заседании кафедры № ____ от «___» _______________ 20___ г.