Материал: Задание+14.+Ревматические+болезни-1-1

Внимание! Если размещение файла нарушает Ваши авторские права, то обязательно сообщите нам

ФГБОУ ВО «УРАЛЬСКИЙ ГОСУДАРСТВЕННЫЙ МЕДИЦИНСКИЙ УНИВЕРСИТЕТ»

Министерства здравоохранения Российской Федерации

Кафедра патологической анатомии и судебной медицины

«Утверждаю»

заведующий кафедрой

Д.м.н., проф. ____________Л.М.Гринберг

«____»______________________20___год

МЕТОДИЧЕСКАЯ РАЗРАБОТКА К ПРАКТИЧЕСКОМУ ЗАНЯТИЮ для студентов

(учебное задание)

ООП специальности 31.05.02 «Педиатрия»

Дисциплина Б1.Б.22 «Патологическая анатомия, клиническая патологическая анатомия»

  1. ТЕМА ЗАНЯТИЯ: РЕВМАТИЗМ. ПОРОКИ СЕРДЦА. МОРФОЛОГИЯ НЕДОСТАТОЧНОСТИ КРОВООБРАЩЕНИЯ.

  1. УЧЕБНАЯ ЦЕЛЬ ЗАНЯТИЯ: Изучение клинико-морфологической сущности ревматизма. Изучение клинико-морфологической сущности пороков сердца и недостаточности кровообращения.

  1. ЗАДАЧИ ЗАНЯТИЯ:

По окончании занятия студент должен знать:

- Общие принципы классификации заболеваний соединительной ткани неинфекционной и инфекционной этиологии.

- Общая характеристика морфологических изменений при системных заболеваниях соединительной ткани. Фазы системной дезорганизации соединительной ткани и стенок сосудов микроциркуляторного русла.

- Ревматизм. Определение понятия, этиология и патогенез, факторы риска, эпидемиология. Классификация, клинико-морфологическая характеристика, методы диагностики, осложнения, исходы.

- Пороки сердца, определение, причины развития, разновидности, характеристика.

- Морфология недостаточности кровообращения.

Студент должен уметь:

- работать с увеличительной техникой (микроскоп);

- оценить гистофизиологическое состояние основных клеточных, тканевых и органных структур организма при ревматизме и недостаточности кровообращения;

- описывать морфологические изменения изучаемых макроскопических, микроскопических препаратов и электроннограмм при ревматизме, пороках сердца и недостаточности кровообращения;

- дифференцировать на микро- и макропрепаратах изменения в органах и тканях при ревматизме, пороках сердца, недостаточности кровообращения.

шифр

Содержание компетенции

знать

уметь

владеть

ОК-1

способностью к абстрактному мышлению, анализу, синтезу

определение, пато- и морфогенез, этиологию, патоморфоз, принципы классификации клинико-морфологическую характеристику, методы диагностики, исходы ревматизма;

пороки сердца и морфологию недостаточности кровообращения.

- работать с увеличительной техникой (микроскоп);

- оценить гистофизиологическое состояние основных клеточных, тканевых и органных структур организма при ревматизме, пороках сердца и недостаточности кровообращения;

- описывать морфологические изменения изучаемых макроскопических, микроскопических препаратов и электроннограмм при ревматизме, пороках сердца, недостаточности кровообращения

- дифференцировать на микро и макро препаратах изменения характерные для ревматизма, недостаточности кровообращения, пороков.

- медико-функциональным понятийным аппаратом по вопросам ревматизма, пороков сердца и недостаточности кровообращения;

- методами исследования биопсийного и операционного материала при ревматизме, недостаточности кровообращения.

ОК- 2

способностью использовать основы философских знаний для формирования мировоззренческой позиции

ОК- 5

готовностью к саморазвитию, самореализации, самообразованию, использованию творческого потенциала

ОК-8

готовностью к работе в коллективе, толерантно воспринимать социальные, этнические, конфессиональные и культурные различия

ОПК-1

готовностью решать стандартные задачи профессиональной деятельности с использованием информационных, библиографических ресурсов, медико-биологической терминологии, информационно-коммуникационных технологий и учетом основных требований информационной безопасности

ОПК-3

способностью использовать основы экономических и правовых знаний в профессиональной деятельности

ОПК-4

способностью и готовностью реализовать этические и деонтологические принципы в профессиональной деятельности

ОПК- 6

готовностью к ведению медицинской документации

ОПК-9

способностью к оценке морфофункциональных, физиологических состояний и патологических процессов в организме человека для решения профессиональных задач

ПК-5

готовностью к сбору и анализу жалоб пациента, данных его анамнеза, результатов осмотра, лабораторных, инструментальных, патолого-анатомических и иных исследований в целях распознавания состояния или установления факта наличия или отсутствия заболевания

ПК-6

способностью к определению у пациентов основных патологических состояний, симптомов, синдромов заболеваний, нозологических форм в соответствии с Международной статистической классификацией болезней и проблем, связанных со здоровьем - X пересмотр, принятой 43-ей Всемирной Ассамблеей Здравоохранения, г. Женева, 1989 г.

ОК-1

способностью к абстрактному мышлению, анализу, синтезу

ОК- 2

способностью использовать основы философских знаний для формирования мировоззренческой позиции

  1. ПРОДОЛЖИТЕЛЬНОСТЬ ЗАНЯТИЯ: 3 часа

  1. КОНТРОЛЬНЫЕ ВОПРОСЫ ПО ТЕМЕ:

Для успешной работы на практическом занятии необходимо:

5.1. Проработать тренировочные тесты по теме занятия на сайте кафедры.

5.2. Диагностировать микропрепараты по теме занятия на сайте кафедры.

5.3. Знать теоретический материал:

- Общие принципы классификации заболеваний соединительной ткани неинфекционной и инфекционной этиологии.

- Общая характеристика морфологических изменений при системных заболеваниях соединительной ткани. Фазы системной дезорганизации соединительной ткани и стенок сосудов микроциркуляторного русла.

- Ревматизм. Определение понятия, этиология и патогенез, факторы риска, эпидемиология. Классификация, клинико-морфологическая характеристика, методы диагностики, осложнения, исходы.

- Пороки сердца, определение, причины развития, разновидности, характеристика.

- Морфология недостаточности кровообращения.

6. ЗАДАНИЯ И МЕТОДИЧЕСКИЕ УКАЗАНИЯ К ИХ ВЫПОЛНЕНИЮ

На занятии студенту необходимо выполнить:

6.1. Ответить на вопросы входного тестового контроля.

6.2. Ответить на вопросы преподавателя.

6.3. Принять участие в обсуждении.

6.4. Описать по схеме и сделать заключение по макропрепаратам: №№ 23, 24, 41, 168, 170, 171, 172, 173, 561.

6.5. Изучить, зарисовать и отметить существенные элементы на микропрепаратах:

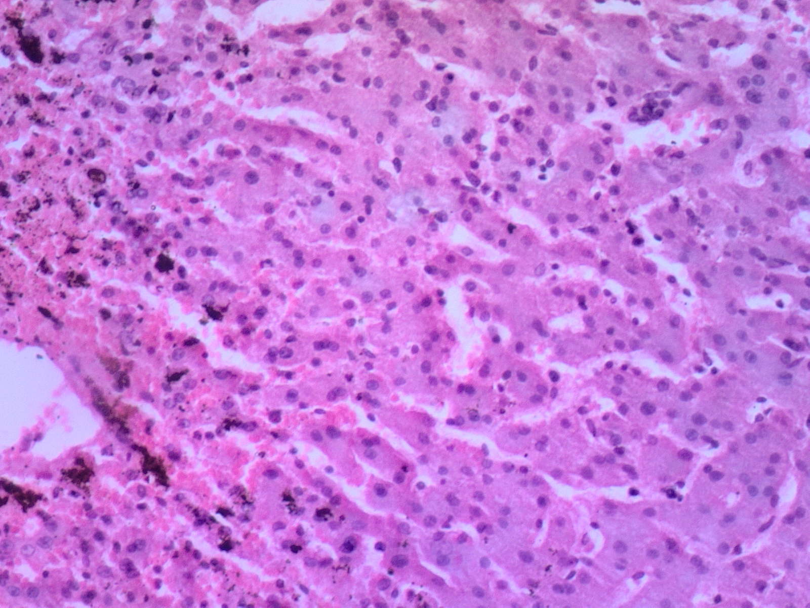
1. Венозная гиперемия печени («мускатная» печень)

В печени определяется неравномерное кровенаполнение. Цент­ральные вены и синусоидные капилляры долек значительно расши­рены и переполнены кровью. Печеночные трабекулы центральной зоны истончены (атрофичны). Часть печеночных клеток погибла. На их месте образовались кровяные озера. В периферической зоне до­лек структура сохранена. На большем увеличении — в цитоплазме гепатоцитов видны округлой формы пустоты. Это растворенные при обработке капли жира.

Существенные элементы: 1. гиперемия центральной части дольки

2. расширенная центральная вена

3. обычное кровенаполнение периферической части дольки

2. Венозная гиперемия легкого (бурая индурация легкого)

Капилляры межальвеолярных перегородок расширены, переполнены кровью. В альвеолах видны единичные эритроциты, бледно-розовая жидкость и различное количество клеток — легочных макрофагов. На большем увеличении - в цитоплазме макрофагов содержатся глыбки и зерна золотисто-бурого кровяного пигмента (гемосидерина). Это «клетки сердечных пороков». В строме легкого определяется пигмент как свободнолежащий, так и в цитоплазме макрофагов. Межальвеолярные перегородки утолщены за счет разросшейся соединительной ткани.

Существенные элементы: 1. гиперемия межальвеолярных перегородок

2. эритроциты в просвете альвеол

3. «клетки сердечных пороков» в альвеолах

4. разросшаяся соединительная ткань альвеолярных перегородок

24. Мукоидное набухание створки клапана сердца

Окраска по Хейлу.

Створка клапана утолщена, рыхлая, набухшая, неравномерно окрашена. Имеются участки бледно-розового и различных оттенков синего цвета - базофилия (мукоидное набухание). При окраске по Хейлу эти участки сине-зеленого цвета, при окраске толуидиновым синим они розово-красного цвета (метахромазия).

Существенные элементы: 1. участки мукоидного набухания

2. утолщенная створка

184. Острый бородавчатый эндокардит

На поперечном разрезе створки митрального клапана заметно ее неравномерное утолщение. На поверхности видны бородавчатые отложения фибрина интенсивно розового цвета. На большем уве­личении отмечается нарушение целостности эндотелия в месте отложения фибрина. В толще клапанной створки скопления гистио­цитов и фибриноидный некроз (бесструктурная масса розового цвета).

Существенные элементы: 1. отложения фибрина (бородавка)

2. скопления гистиоцитов

3. дефект эндотелиальной выстилки

185. Возвратно-бородавчатый эндокардит

В препарате створка митрального клапана на разрезе с частью предсердия и желудочка. В дистальном отделе створка клапана бу­лавовидно утолщена, с бородавчатым наложением фибрина интен­сивно розового цвета. Булавовидное утолщение — это организовав­шиеся фибринозные массы, где видны пучки коллагеновых волокон и новообразованные сосуды. Свежие очаги дезорганизации – базофильные. Участки фибриноидного некроза бесструктурные и розового цвета видны в толще организовавшейся бородавки. На поверхности бородавки свежие наложения фибрина, а в толще ее скопления гистиоцитов.

Существенные элементы: 1. организовавшаяся бородавка

2. фибринозные наложения

3. новообразованные сосуды

4. скопление гистиоцитов

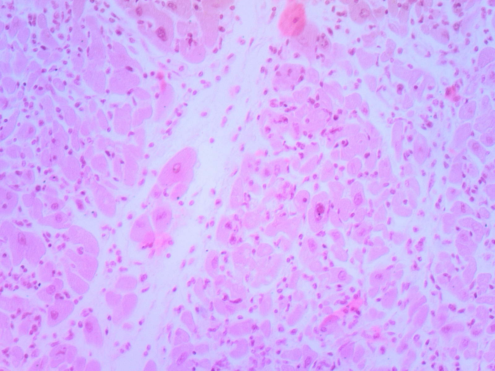
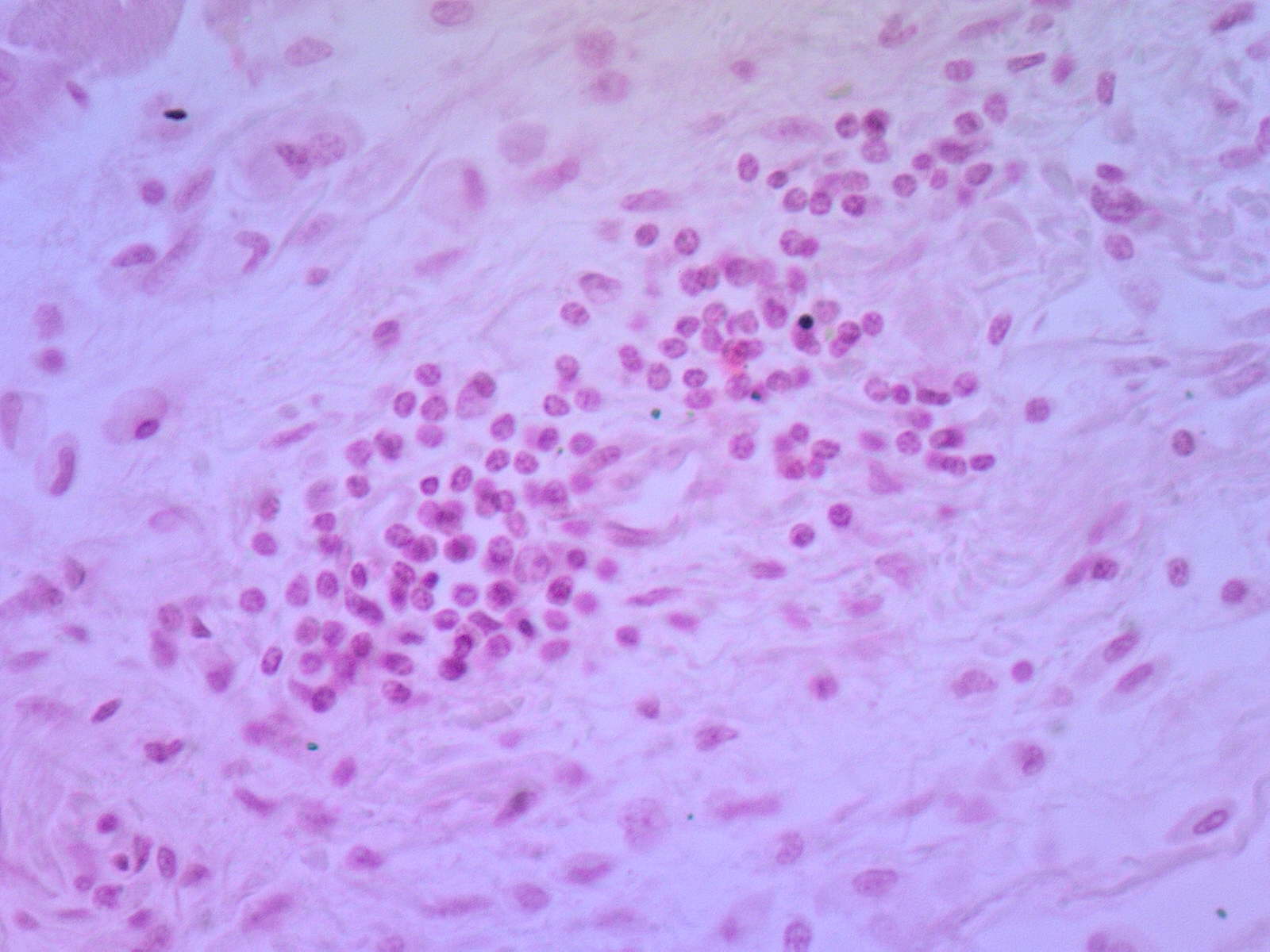
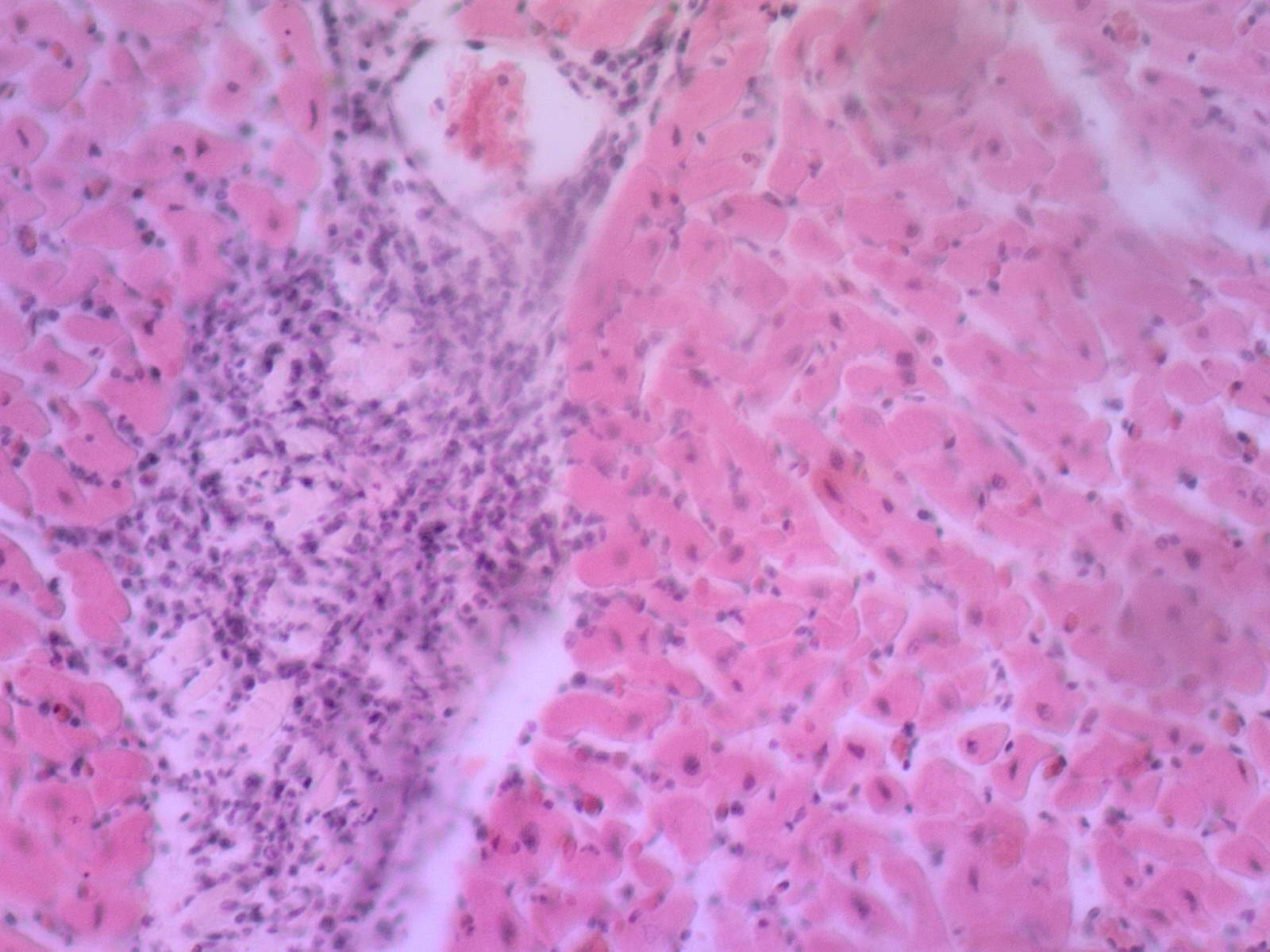
187. Ревматический мио- перикардит

В препарате эпикард и часть миокарда. На эпикарде массивные беспорядочные наложения фибрина розового цвета и лейкоци­ты. Эпикард утолщен за счет отека, полнокровных сосудов и кле­точной пролиферации. В строме миокарда, преимущественно около сосудов, видны клеточные островки — Ашофф—Талалаевские гра­нулемы. На большем увеличении в гранулемах определяются круп­ные клетки с базофильной цитоплазмой и гиперхромным ядром, лимфоидные клетки и единичные лейкоциты. В центре некоторых гранулем некроз («цветущая» гранулема). Клетки в некоторых гра­нулемах вытянутые и складываются в пучки — «созревающие» гранулемы.

Существенные элементы: 1. фибрин

2. гиперемированные сосуды

3. гранулема «цветущая»

4. «созревающая» гранулема

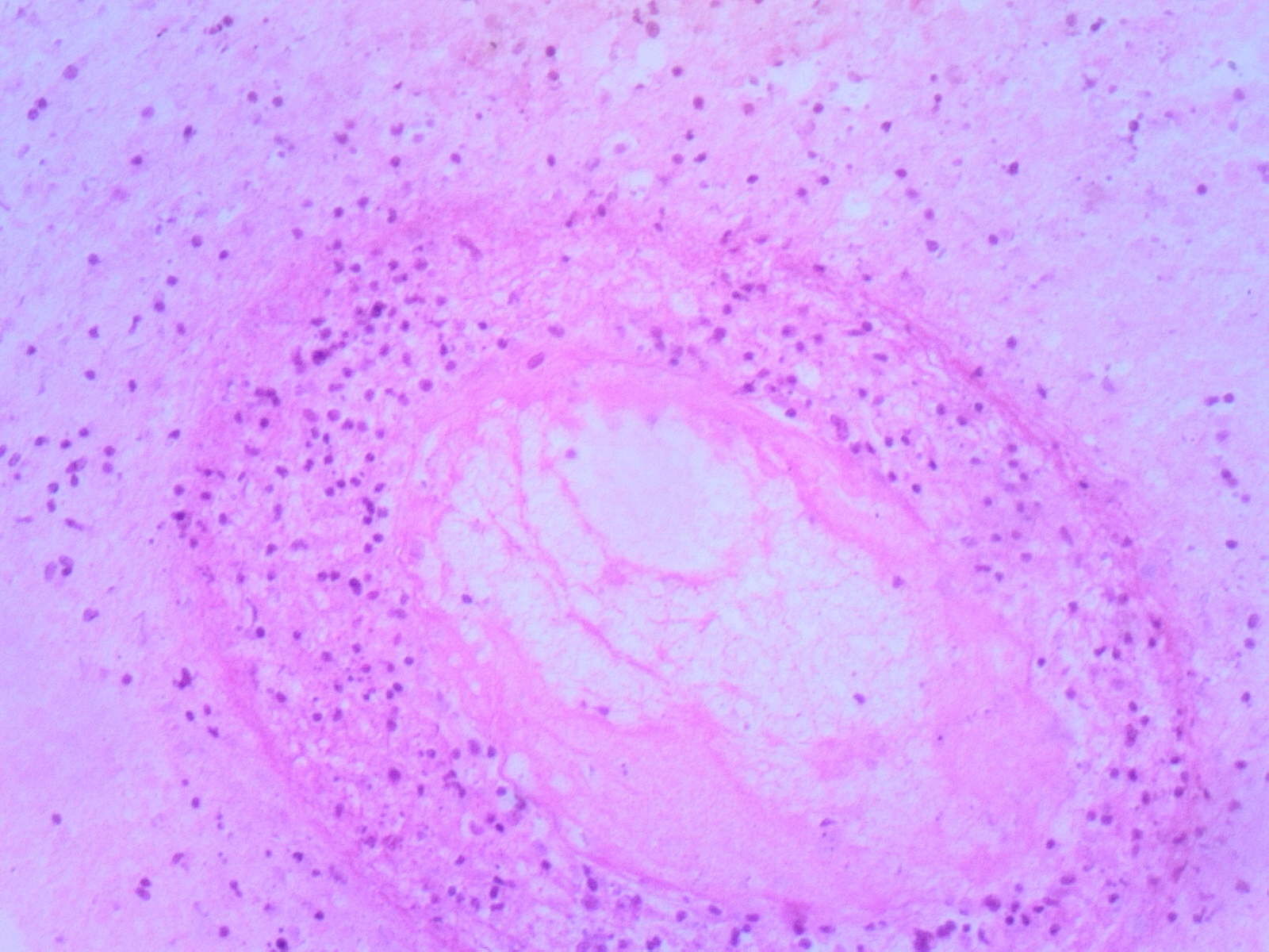
188. Тромбоваскулит головного мозга при ревматизме В головном мозгу диапедезные кровоизлияния, в просвете сосу­дов смешанные тромбы и периваскулярные клеточные муфты. На большем увеличении отмечаются белковое пропитывание и стертость сосудистых стенок (фибриноидный некроз). Периваскулярные муфты состоят из кругло-овальных клеток — клетки адвентиции и глин. Вокруг ганглиозных и глиальных клеток светлый ободок — перицеллюлярный отек.

Существенные элементы: 1. фибриноидный некроз сосудистой стенки

2. смешанный тромб в сосуде

3. периваскулярные клеточные муфты

4. перицеллюлярный отек

192. Межуточный диффузный миокардит

В миокарде строма выделяется широкими светлыми прослой­ками — отек стромы. В отечной соединительной ткани большое ко­личество клеток. На большем увеличении определяется полиморфноклеточный состав: нейтрофилы, лимфоциты, фибробласты и плаз­матические клетки. Среди гипертрофированных миоцитов выделяют­ся крупные клетки неправильной формы — регенерирующие миоциты. В цитоплазме мышечных клеток бурый пигмент — липофусцин; отмечается слабая поперечнополосатая исчерченность.

Существенные элементы: 1. полинуклеары

2. мононуклеары 3. отечная строма 4. регенерирующий миоцит 5. липофусцин

  1. ОЦЕНИВАНИЕ ЗНАНИЙ, УМЕНИЙ, НАВЫКОВ ПО ТЕМЕ ЗАНЯТИЯ

ПРАКТИЧЕСКОЕ ЗАНЯТИЕ – max 2,5 балла:

за тест: 1 б. – оц.-5; 0,7 б. – оц.-4; 0,5б. – оц.-3.

за устный ответ: 1 б. – оц.-5; 0,7 б. – оц.-4; 0,5б. – оц.-3.

Отчет по практической части занятия, по лекции – 0,5 балла

  1. УЧЕБНО-ИССЛЕДОВАТЕЛЬСКАЯ РАБОТА:

«История изучения ревматических болезней»

«Врожденные пороки сердца»

  1. ЛИТЕРАТУРА ДЛЯ ПОДГОТОВКИ К ЗАНЯТИЮ:

Основная:

    1. Лекционный материал

    2. Патология. Под редакцией М.А. Пальцева. – М: «Медицина». – 2017. – В 2 томах.

    3. Зайратьянц О.В. Патологическая анатомия. Атлас

Дополнительная:

    1. учебник «Патологическая анатомия», 2017, Т.2, часть 1,

10. Методическая разработка подготовлена доцентом, к.м.н. А.С. Филатовой

Обсуждена на заседании кафедры № ____ от «___» _______________ 20___ г.