Материал: Задание+10.+Процессы+адаптации,+регенерации

Внимание! Если размещение файла нарушает Ваши авторские права, то обязательно сообщите нам

ФГБОУ ВО «УРАЛЬСКИЙ ГОСУДАРСТВЕННЫЙ МЕДИЦИНСКИЙ УНИВЕРСИТЕТ»

Министерства здравоохранения Российской Федерации

Кафедра патологической анатомии и судебной медицины

«Утверждаю»

Зав. кафедрой

д.м.н., проф. Гринберг Л.М.

«__»__________ 20__ г.

МЕТОДИЧЕСКАЯ РАЗРАБОТКА К ПРАКТИЧЕСКОМУ ЗАНЯТИЮ для студентов

(учебное задание)

ООП специальности 31.05.02 «Педиатрия»

Дисциплина Б1.Б.22 «Патологическая анатомия, клиническая патологическая анатомия»

1. ТЕМА ЗАНЯТИЯ: ПРОЦЕССЫ АДАПТАЦИИ. РЕГЕНЕРАЦИЯ. ЗАЖИВЛЕНИЕ РАН

Занятие ориентирует студентов на принципы классификации процессов адаптации, их практическую значимость, изучение морфологического субстрата атрофии, гипертрофии, гиперплазии, метаплазии, дисплазии, перестройки тканей, регенерации и процессов заживления ран. Сопоставлению изученных процессов и болезней человека, способствует развитию клинического мышления, навыков клинико-морфологических сопоставлений и основным принципам патологоанатомической диагностики.

2. УЧЕБНАЯ ЦЕЛЬ ЗАНЯТИЯ – Изучение клинико-морфологической сущности процессов адаптации и их значение в патологии.

3. ЗАДАЧИ ЗАНЯТИЯ

По окончании занятия студент должен знать –

  • морфологическую характеристику и фазы становления процессов адаптации;

  • морфофункциональные изменения в органах и тканях при атрофии, гипертрофии, гиперплазии, метаплазии, дисплазии, перестройке ткани и организации;

  • исходы и значение процессов адаптации

Студент должен уметь –

  • определить микро- и макроскопические изменения при атрофии, гипертрофии, гиперплазии, метаплазии, дисплазии, перестройке ткани и организации;

  • проводить дифференциальную диагностику;

  • установить логическую связь

шифр

Содержание компетенции

знать

уметь

владеть

ОК-1

способностью к абстрактному мышлению, анализу, синтезу

- анатомо-физиологические, возрастно-половые и индивидуальные особенности строения и развития организма человека;

- понятия, морфологическую характеристику и фазы становления процессов адаптации;

- морфофункциональные изменения в органах и тканях при атрофии, гипертрофии, гиперплазии, метаплазии, дисплазии, перестройке ткани и организации;

- исходы и значение процессов адаптации

- функциональные системы организма человека, их регуляция и саморегуляция при воздействии с внешней средой в норме и при патологических процессах.

- работать с увеличительной техникой (микроскоп);

- оценить гистофизиологическое состояние основных клеточных, тканевых и органных структур организма при атрофии, гипертрофии, гиперплазии, метаплазии, дисплазии, перестройке ткани и организации;

- описывать морфологические изменения изучаемых макроскопических, микроскопических препаратов при атрофии, гипертрофии, гиперплазии, метаплазии, дисплазии, перестройке ткани и организации;

- дифференцировать на микро и макро препаратах при атрофии, гипертрофии, гиперплазии, метаплазии, дисплазии, перестройке ткани и организации;

- медико-функциональным понятийным аппаратом;

- умения узнавать макро и микро- изменения тканей и органов при атрофии, гипертрофии, гиперплазии, метаплазии, дисплазии, перестройке ткани и организации;

ОК- 2

способностью использовать основы философских знаний для формирования мировоззренческой позиции

ОК- 5

готовностью к саморазвитию, самореализации, самообразованию, использованию творческого потенциала

ОК-8

готовностью к работе в коллективе, толерантно воспринимать социальные, этнические, конфессиональные и культурные различия

ОПК-1

готовностью решать стандартные задачи профессиональной деятельности с использованием информационных, библиографических ресурсов, медико-биологической терминологии, информационно-коммуникационных технологий и учетом основных требований информационной безопасности

ОПК-3

способностью использовать основы экономических и правовых знаний в профессиональной деятельности

ОПК-4

способностью и готовностью реализовать этические и деонтологические принципы в профессиональной деятельности

ОПК- 6

готовностью к ведению медицинской документации

ОПК-9

способностью к оценке морфофункциональных, физиологических состояний и патологических процессов в организме человека для решения профессиональных задач

ПК-5

готовностью к сбору и анализу жалоб пациента, данных его анамнеза, результатов осмотра, лабораторных, инструментальных, патолого-анатомических и иных исследований в целях распознавания состояния или установления факта наличия или отсутствия заболевания

ПК-6

способностью к определению у пациентов основных патологических состояний, симптомов, синдромов заболеваний, нозологических форм в соответствии с Международной статистической классификацией болезней и проблем, связанных со здоровьем - X пересмотр, принятой 43-ей Всемирной Ассамблеей Здравоохранения, г. Женева, 1989 г.

4. ПРОДОЛЖИТЕЛЬНОСТЬ ЗАНЯТИЯ (в академических часах) – 3 часа

5. ОСНАЩЕНИЕ ЗАНЯТИЯ:

Для успешной работы на практическом занятии необходимо:

  • 5.1. Проработать тренировочные тесты по теме занятия на сайте кафедры.

  • 5.2. Диагностировать микропрепараты по теме занятия на сайте кафедры.

  • 5.3. Знать теоретический материал:

    • Регенерация, определение. Условия, определяющие виды и качество регенерации. Репаративная регенерация, определение, характеристика, функциональное значение.

    • Регенерация, определение, виды. Патологическая регенерация, определение, характеристики, функциональное значение.

    • Процессы приспособления и компенсации, определение, виды, фазы развития. Регенерация эпителия, нервной ткани.

    • Регенерация сосудов, крови, соединительной и жировой тканей.

    • Регенерация костной, хрящевой, мышечной тканей.

    • Гипертрофия и гиперплазия, определение, виды, морфологическая характеристика, значение.

    • Атрофия, определение, виды, морфологическая характеристика, значение.

    • Процессы организации. Заживление ран.

    • Склероз, определение, классификация, морфологическая характеристика.

6. ЗАДАНИЯ И МЕТОДИЧЕСКИЕ УКАЗАНИЯ К ИХ ВЫПОЛНЕНИЮ

На занятии студенту необходимо выполнить:

  • 6.1. Ответить на вопросы входного тестового контроля.

  • 6.2. Ответить на вопросы преподавателя.

  • 6.3. Принять участие в обсуждении.

  • 6.4. Микроскопы

  • 6.5. Таблицы: № 32 Гипертрофия – гипертрофия миокарда левого желудочка сердца / гипертрофированный / нормальный миокард; № 33 Атрофия – гипофизарная кахексия / атрофия почки и викарная гипертрофия другой почки / бурая атрофия миокарда; № 34 Атрофия – нефролитиаз с развитием гидронефроза; № 35 Атрофия – атрофия скелетной мышцы [ложная гипертрофия] / нейротическая атрофия скелетной мышцы; № 36 Регенерация / Метаплазия – гиперплазия костного мозга бедра при анемии / метаплазия эпителия в бронхе; № 37 Регенерация – регенерация толстой кишки в исходе дизентерии; № 38 Регенерация – неправильно сросшийся перелом диафиза бедренной кости / костная мазоль ребра / постинфарктные рубцы селезенки / незаживающая рана бедра; № 39 Регенерация – грануляционная ткань [плазматическая клетка/лейкоцит/макрофаг/эритроцит/сосуд/лимфоидная клетка/фибробласт].

  • 6.6. Микропрепараты: № 71 – грануляционная ткань; № 72 – костная мазоль; № 73 – заживление раны вторичным натяжением; № 74 – организованный тромб в артерии [окраска по ван Гизону]; № 75 – облитерированные пупочные сосуды [окраска по Вейгерту]; № 77 – оссификация артерии; № 78 – кардиосклероз [окраска по ван Гизону]; № 80 – болезнь Менетрие – врожденная гипертрофия слизистой оболочки желудка; № 81 – почка при гидронефрозе [окраска по ван Гизону].

  • 6.7. Макропрепараты: № 73; № 74; № 76; № 78; 79; № 85; № 88; № 90.

  • 6.8. Изучить, зарисовать и отметить существенные элементы на микропрепаратах:

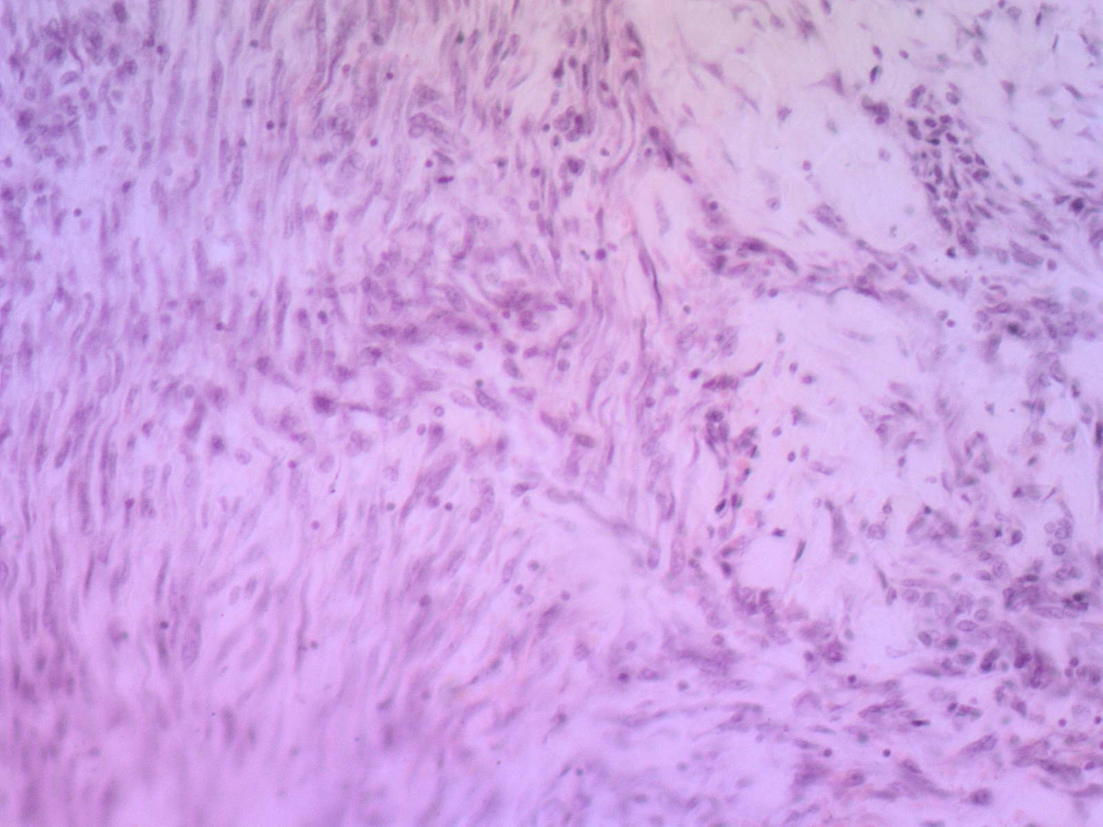
71. Грануляционная ткань

В молодой соединительной ткани определяются мелкие сосуды и большое количество клеток. На большем увеличении среди клеток видны гистиоциты — округлые клетки с несколько эксцентриче­ски расположенным и интенсивно окрашенным ядром и широким ободком цитоплазмы, лимфоциты — круглые клетки с интенсивно окрашенным ядром и узким пояском цитоплазмы, эпителиоидные клетки — клетки с телом полигональной и овальной формы, пузырь-кообразным ядром и широким ободком цитоплазмы; фибробласты и фиброциты — вытянутые клетки с гиперхромным ядром. Среди кле­ток видны полинуклеары, плазмоциты и эритроциты.

Существенные элементы: 1. новообразованные сосуды

2.гистиоциты

3.лимфоциты

4.эпителиоидные клетки

5.фибробласты

72. Костная мозоль

В губчатой кости — зона бывшего перелома отличается интен­сивной фиолетово-синей окраской и более компактным строением. На большем увеличении — в месте перелома волокнистая соедини­тельная ткань с большим количеством вытянутых клеток и новообразованных сосудов в просвете которых зеленая краска. Это сформированная соединительнотканная мозоль. В соединительной ткани имеются костные балки сине-сиреневого цвета, в глубине которых видны остеоциты, а вокруг балок — остеобласты, Это формирующаяся костная мозоль.

Существенные элементы: 1. соединительнотканная мозоль

2. Формирующаяся костная мозоль

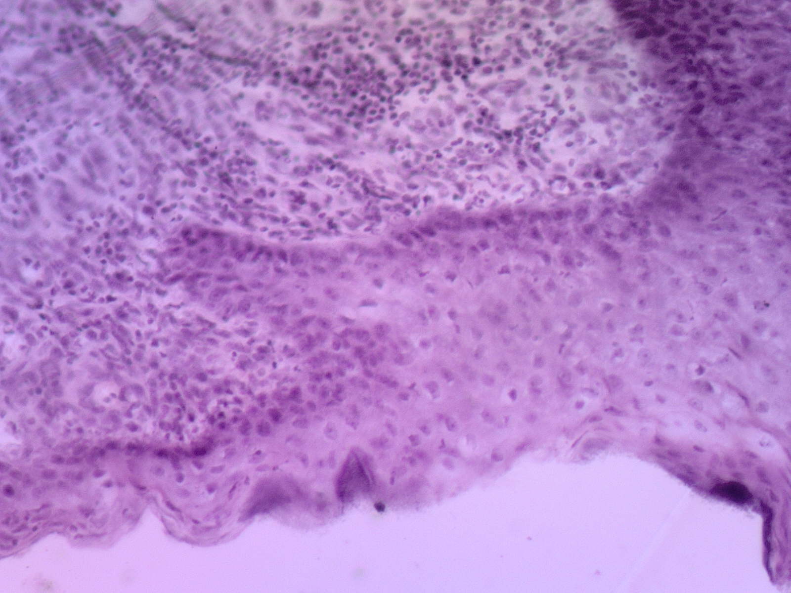
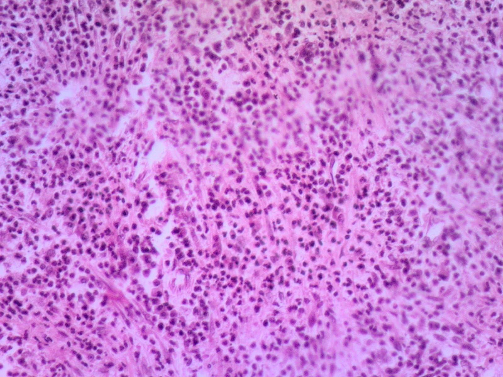
73. Заживление раны вторичным натяжением

Рана кожи заполнена грануляционной тканью. На большем увеличении — в ране поверхностный слой грануляционной ткани содержит новообразованные капилляры, между которыми расположены лейкоциты, лимфоциты, плазматические клетки, эпителиоидные клетки и фибробласты. Это зона вертикальных сосудов и сосудистых петель. Ниже определяются мелкие артерии и гистиоциты которыми видны пучки горизонтально лежащих фибробластов фиброцитов. Самый глубокий слой представлен волокнистыми структурами и толстостенными сосудами. Многослойный плоский эпителий на крае раневого дефекта с явлениями паракератоза акантоза.

Существенные элементы: 1. зона сосудистых петель и вертикальных сосудов

2. слой созревающей соединительной ткани

3. пласты горизонтально расположенных фибробластов и фиброцитов

4. волокнистая соединительная ткань

5. разросшийся эпителий

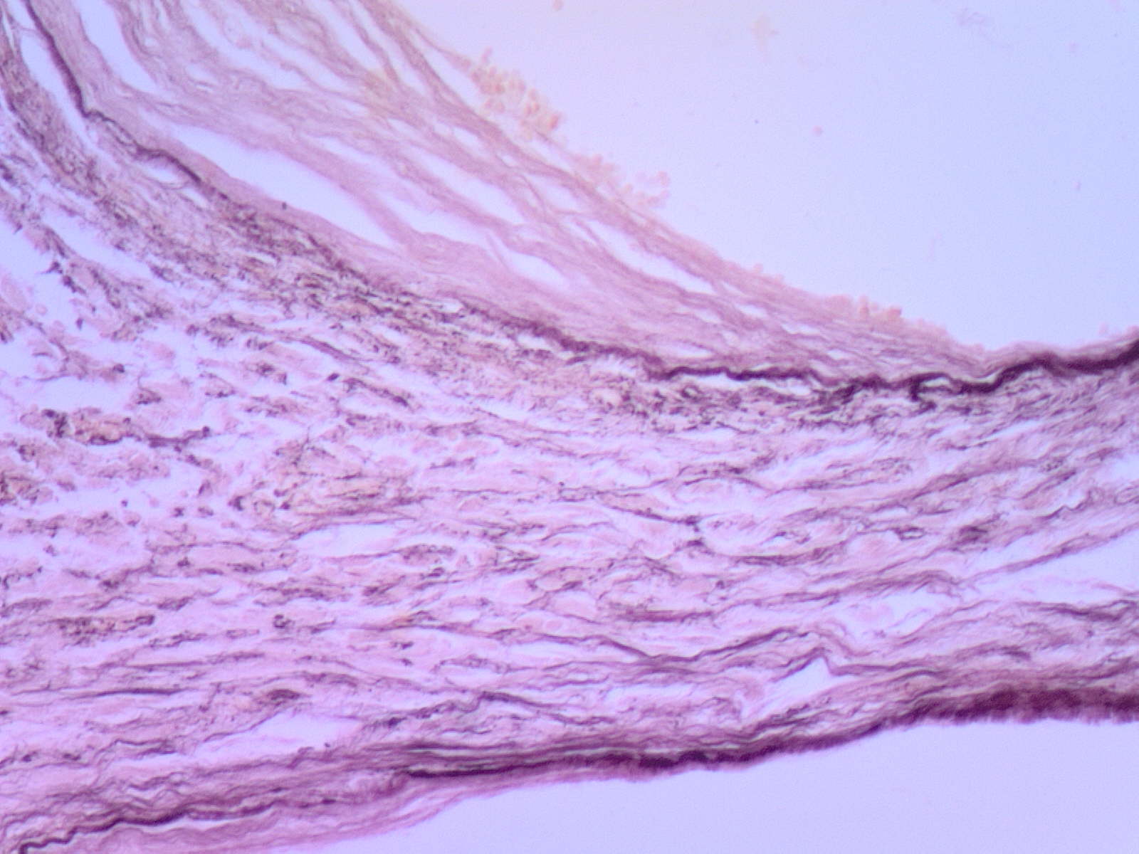
74. Организованный тромб в артерии

Окраска по ван Гизону

Просвет артерии облитерирован белковыми массами желтого цвета, коллагеновыми волокнами розового цвета и эластическими волокнами черного цвета. В средней и наружной оболочках артерии видны многочисленные тонкостенные полнокровные сосуды. Вокруг облитерированной артерии в жировой клетчатке лежат коллатерали — артериальные сосуды с утолщенными стенками за счет гипертрофированного гладкомышечного слоя. Эластичные волокна извилистые, утолщены, расщеплены и местами разорваны.

Существенные элементы: 1. тромб в просвете артерии

2. коллагеновые волокон

3. гипертрофированный мышечный слой

4. коллатеральные артерии

75. Облитерированные пупочные сосуды

Окраска по Вейгерту.

В препарате поперечный срез пупочной артерии. На малом, увеличении видно, что в сосуде резко утолщенная станка и уменьшен просвет. Утолщение стенки артерии произошло за счет разрастания эластических волокон, окрашенных в черный цвет на желтом фоне. Разросшиеся волокна расположены циркулярно во внутренней обо­лочке сосуда.

Существенные элементы: 1. артерия с утолщенной стенкой

2. циркулярно расположенные эласти­ческие волокна

77. Оссификация артерии

В препарате артерия мышечно-эластического типа. Интима со­суда утолщена, частично отслоена от средней оболочки, представ­лена малоклеточной плотной соединительной тканью. В средней обо­лочке артерии видны вновь образованные костные балки с узкими межбалочными пространствами, заполненные рыхлой соединитель­ной тканью. По периферии балок также видна соединительная ткань с лимфоцитарными очаговыми скоплениями.

Существенные элементы: 1. склерозированная интима

2. костные балки в средней оболочке

78. Кардиосклероз

Окраска по ван Гизону.

В миокарде видны большие поля зрелой соединительной ткани розового цвета. На большем увеличении- соединительная ткань в основном волокнистого строения. Среди тяжей и пучков соедини­тельной ткани лежат крупные мышечные клетки зеленого цвета. Ядра миоцитов темные (гиперхромные), большие и неправильной формы. Это миоциты с явлениями регенерационной гипертрофии.

Существенные элементы: 1. поля и тяжи соединительной ткани

2. гипертрофированные миоциты

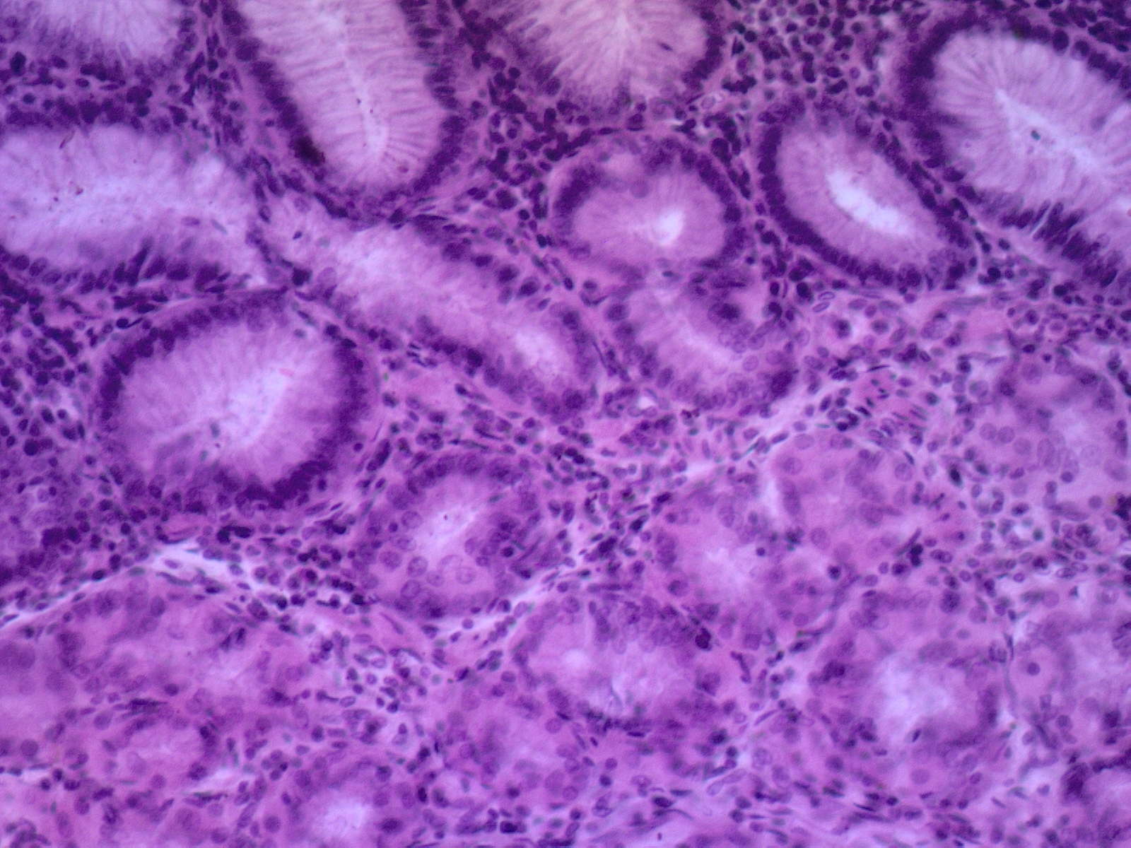
80. Болезнь Менетрие — врожденная гипертрофия слизистой оболочки желудка

Слизистая оболочка желудка утолщена в 2-3 раза и четко выде­ляется в срезе. На большем увеличении отмечается обычное строение слизистой оболочки. Желудочные железы удлиненные, типичной структуры и тесно прилежат друг к другу. В строме между железа­ми встречаются лимфоидные фолликулы и гиперемированные сосуды.

Существенные элементы: 1. желудочные гиперплазированные железы

2. утолщенный слой слизистой желудка

81.Почка при гидронефрозе

Капсула почки неравномерно утолщена. Мозговой и корковый слои уменьшены, истончены, атрофичные. Канальцы мозгового слоя раздвинуты широкими прослойками волокнистой соединительной ткани розового цвета. В просвете сдавленных или рас­ширенных канальцев лежат белковые (гиалиновые) цилиндры желтовато-зеленого цвета. Эпителий канальцев уплощенный (атрофия канальцев). Основная масса сосудистых клубочков в той или иной степени склерозирована и даже гиалинизирована и определяется а виде красных шаровидных образований. В строме почки обиль­ная круглоклеточная инфильтрация.

Существенные элементы: 1. атрофичные канальцы

2. белковые цилиндры

3. разросшаяся соединительная ткань

4. склерозированные клубочки

7. ОЦЕНИВАНИЕ ЗНАНИЙ, УМЕНИЙ, НАВЫКОВ ПО ТЕМЕ ЗАНЯТИЯ

ПРАКТИЧЕСКОЕ ЗАНЯТИЕ – max 2,5 балла:

за тест: 1 б. – оц.-5; 0,7 б. – оц.-4; 0,5б. – оц.-3.

за устный ответ: 1 б. – оц.-5; 0,7 б. – оц.-4; 0,5б. – оц.-3.

Отчет по практической части занятия, по лекции – 0,5 балла