Материал: Задача-1

Внимание! Если размещение файла нарушает Ваши авторские права, то обязательно сообщите нам

СИТУАЦИОННАЯ ЗАДАЧА № 5

На приеме у педиатра ребенок 7 лет. Со слов матери, ребенка беспокоит кашель, периодически отмечается повышение температуры тела до 37,5°C, в течение последних трех месяцев - сниженный аппетит, слабость.

Объективно: Ребенок отстаёт в физическом развитии. Кожные покровы бледные. Пальпируются шейные и подмышечные лимфатические узлы мягко-эластичной консистенции, безболезненные, около 1 см в диаметре. ЧДД 16 в минуту, в межлопаточном пространстве справа определяется притупление перкуторного звука, дыхание везикулярное, хрипов нет. ЧСС 104 в минуту, тоны сердца ясные, ритмичные. Живот мягкий, безболезненный.

Реакция Манту с 2 ТЕ - папула 13 мм, предыдущие - отрицательные.

При рентгенологическом исследовании органов грудной клетки выявлены изменения.

Задание:

  1. Опишите рентгенограмму.

  2. Перечислите основные заболевания, при которых могут наблюдаться указанные клинико-рентгенологические изменения.

  3. Дайте обоснование предварительного диагноза туберкулеза.

  4. Укажите дополнительные обследования, которые необходимо провести для установления диагноза туберкулеза.

  5. Сформулируйте диагноз в соответствии с клинической классификацией туберкулеза.

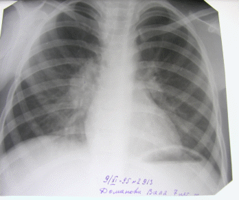
(1) Представлена рентгенограмма органов грудной клетки в прямой проекции.

- Постановка больного правильная;

- Костно-рёберных изменений не наблюдается;

- Костно-диафрагмальные синусы свободные;

- Тень средостения без особеностей;

- Легочной рисунок усилен.

- Корень правого лёгкого не структурный, левого мало структурный.

- Купола диафрагмы правильной формы, правое на уровне 5 м/р, левое 6 м/р.

- Патологическое образование располагается в корне правого лёгкого, образовано за счёт увеличения лимфатических узлов.

- Форма тени имеет неправильную овальную форму;

- Тень средней интенсивности;

- Структура неоднородная.

(2) Пневмониилимфогранулематоз, лимфосаркома, саркоидоз лёгких, лимфолейкоз, опухоли и кисты средостения, метастазы рака.

(3) Со слов матери, ребенка беспокоит кашель, периодически отмечается повышение температуры тела до 37,5°C, в течение последних трех месяцев - сниженный аппетит, слабость.

Объективно: Ребенок отстаёт в физическом развитии. Кожные покровы бледные. Пальпируются шейные и подмышечные лимфатические узлы мягко-эластичной консистенции. В межлопаточном пространстве справа определяется притупление перкуторного звука. ЧСС 104 в минуту.

Реакция Манту с 2 ТЕ - папула 13 мм, предыдущие - отрицательные.

При рентгенологическом исследовании органов грудной клетки выявлены изменения.

(4)

- Бактериологическое исследование мокроты на МБТ, если у ребёнка нет мокроты или по каким-то соображениям не получается собрать, то мочу на МБТ.

- Молекулярно-генетическое исследование мокроты;

- Исследование чувствительности МБТ к препаратам;

- Кровь на IGRA;

- Эндоскопия бронхов (показана при подозрении на туберкулез бронхов, неспецифический эндобронхит, лимфобронхиальный свищ и для дифференциальной диагностики);

- КТ органов грудной клетки ( для уточнения размеров и структуры лимфоузлов).

(5) Туберкулёз внутригрудных лимфатических узлов правого лёгкого. Инфильтративная форма.