Материал: Верхняя конечность

Внимание! Если размещение файла нарушает Ваши авторские права, то обязательно сообщите нам

Доступ

Положение больного

Доступ – заднемедиальный

 

параолекрановый

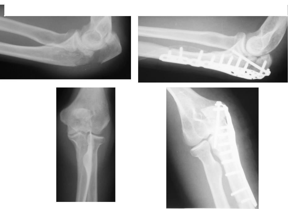
Клинический пример 3

Клинический пример 3

Через 12 месяцев