Материал: СОЕД

Внимание! Если размещение файла нарушает Ваши авторские права, то обязательно сообщите нам

А. Хондробласт.

Б. Хондроцит.

В. Остеобласт.

*Г. Остеоцит.

Д. Остеокласт.

Тестовое задание № 15

На электронной микрофотографии представлена клетки скелетной ткани, которая имеет призматическую форму, светлое ядро с большим количеством эухроматина, цитоплазму с хорошо развитой гранулярной эндоплазматической сетью, митохондриями, комплексом Гольджи. Гистохимически в этой клетке определяется высокая активность щелочной фосфатазы. Назовите данные клетки.

А. Хондробласт.

Б. Хондроцит.

*В. Остеобласт.

Г. Остеоцит.

Д. Остеокласт.

Тестовое задание № 16

На электронной микрофотографии представлена крупная клетка скелетной ткани, содержащая много ядер и большой объем цитоплазмы. Поверхность клетки, обращенная к межклеточному матриксу, формирует много цитоплазматических выростов - гофрированный край. В цитоплазме выявляется большое количество лизосом и митохондрий. Как называется данная клетка?

А. Хондробласт.

Б. Хондроцит.

В. Остеобласт.

Г. Остеоцит.

*Д. Остеокласт.

Тестовое задание № 17

При световой микроскопии определяется соединительная ткань, клетки и межклеточное вещество которой образуют трабекулы. В межклеточном веществе коллагеновые волокна I типа формируют пучки, которые располагаются в разных направлениях. В толще межклеточного вещества трабекул видны лакуны с одиночными клетками, анастомозирующими между собой с помощью отростков. Определите вид ткани.

А. Ретикулярная.

Б. Нервная.

*В. Грубоволокнистая (ретикулофиброзная) костная.

Г. Пластинчатая костная.

Д. Волокнистая хрящевая.

Тестовое задание № 18

В гистологическом препарате определяется скелетная ткань, состоящая из клеток и минерализованного межклеточного вещества. В межклеточном веществе коллагеновые волокна формируют концентрические темные и светлые пластинки, сосредоточенные вокруг кровеносного сосуда. Между пластинками располагаются одиночные клетки в лакунах, связанные между собой цитоплазматическими отростками. Укажите структурно-функциональную единицу данной ткани?

А. Изогенная группа клеток.

Б. Костная балка.

В. Лакуна.

Г. Костная пластинка.

*Д. Остеон.

Тестовое задание № 19

У 12-летнего пациента при клиническом обследовании в месте соединения ребер с грудиной в зоне повреждения гиалинового хряща выявили признаки регенерации. Какие клетки ткани обеспечивают данный процесс?

А. Остеобласты.

Б. Хондробласты, фибробласты.

*В. Хондробласты, хондроциты I типа.

Г. Остеобласты, хондробласты.

Д. Хондроциты I и II типов.

Тестовое задание № 20

В гистологическом препарате трубчатой кости определяются остеогенные клетки (остеобласты) различной степени дифференцировки, которые обеспечивают ее рост в ширину. Где локализуются данные клетки?

А. В эндосте

Б. В метаэпифизарном хряще.

В. В наружном слое надкостницы.

*Г. Во внутреннем слое надкостницы.

Д. В наружном слое костный пластинок.

Тестовое задание № 21

У пациента после перелома трубчатой (лучевой) кости выявили морфологические признаки посттравматической регенерации костной ткани? Укажите клетки, реализующие данный процесс.

А. Фибробласты, остеобласты.

Б. Остеогенные клетки эндоста.

В. Остеокласты и остеоциты.

Г. Остеогенные клетки надкостницы.

*Д. Остеогенные клетки надкостницы и эндоста.

Тестовое задание № 22

У спортсмена при выполнении интенсивной физической нагрузки наблюдается перестройка костной ткани губчатого вещества бедренной кости. Какие клетки обеспечивают данный процесс?

А. Фибробласты, остеобласты.

Б. Остеогенные клетки эндоста.

В. Остеокласты и остеоциты.

Г. Остеогенные клетки надкостницы.

*Д. Остеобласты, остеокласты.

Тестовое задание № 23

При исследовании участка челюсти эмбриона прослеживаются три стадии развития ткани: первая характеризовалась очаговой пролиферацией мезенхимных клеток и васкуляризацией их островков. Вторая проявлялась дифференцировкой мезенхимных клеток, образованием бластынх клеток оксифильного межклеточного вещества с коллагеновыми волокнами. На третьей стадии происходила минерализация межклеточного вещества, окончательная дифференцировка бластных клеток. Гистогенез какой ткани представлен в препарате?

А. Гладкой мышечной (лейомиогенез).

*Б. Костной (прямой остеогенез).

В Плотной волокнистой соединительной.

Г. Костной (непрямой остеогенез).

Д. Хрящевой (хондрогенез).

Тестовое задание № 24

При микроскопическом исследовании участка челюсти эмбриона в препарате выявляются участки прямого остеогенеза. При этом наблюдается локальная пролиферация и конденсация мезенхимных клеток, появление кровеносных сосудов (васкуляризация). Какая стадия остеогенеза представлена в препарате?

А. Образование остеоида.

Б. Обызвествление остеоида.

*В. Формирование остеогенного островка. 16

Г. Формирование хондрогенных островков.

Д. Формирование хрящевой модели кости.

Тестовое задание № 25

При микроскопическом исследовании участка челюсти эмбриона в препарате определялись признаки прямого остеогенеза, при этом наблюдали скопления бластных клеток с базофильной цитоплазмой, которые располагались на участках гомогенного оксифильного межклеточного вещества, содержащего коллагеновые фибриллы. Какая стадия остеогенеза представлена в препарате?

*А. Образование остеоида.

Б. Обызвествление остеоида.

В. Формирование остеогенного островка.

Г. Формирование хондрогенных островков.

Д. Формирование хрящевой модели кости.

Тестовое задание № 26

В гистологическом препарате определяется участок остеогенеза на стадии формирования остеоида. Укажите, какие клетки его синтезируют?

А. Остеоциты.

Б. Фибробласты.

В. Мезенхимные клетки.

*Г. Остеобласты.

Д. Остеокласты.

Тестовое задание № 27

В гистологическом препарате определяется участок формирующейся кости на стадии обызвествления остеоида. Укажите механизм этого процесса.

А. Секреция солей кальция.

Б. Разрушение органической матрицы кости и секреция солей кальция.

*В. Отложение кристаллов гидроксиапатита внутри матриксных пузырьков..

Г. Секреция остеобластами остеонектина.

Д. Диффузное накопление кристаллов кальция.

Тестовое задание № 28

В гистологическом препарате зародыша человека 5 недель развития в формирующейся челюсти определяется участок ткани на стадии обызвествления остеоида. Какая ткань образуется таким образом?

А. Гиалиновая хрящевая.

*Б. Грубоволокнистая костная.

В. Пластинчатая костная.

Г. Волокнистая хрящевая.

Д. Цемент.

Тестовое задание № 29

В гистологическом препарате развивающейся бедренной кости на разрушенных остатках гиалинового хряща выявляется формирующаяся скелетная ткань, состоящая из клеток и оксифильного межклеточного вещества. Зачаток ткани окружен призматическими клетками с базофильной цитоплазмой, встречаются отдельные крупные многоядерные клетки. Какой процесс представлен в препарате?

А. Прямой остеогенез.

Б. Непрямой остеогенез, перихондральное окостенение.

*В. Непрямой остеогенез, эндохондральное окостенение.

Г. Аппозиционный хондрогенез.

Д. Интерстициальный хондрогенез.

Тестовое задание №30

При электронной микроскопии участка минерализованной ткани определяется клетка, расположенная в костной лакуне, ее цитоплазматические отростки погружены в костные канальцы. Назовите клетку.

А. Остеобласт.

*Б. Остеоцит.

В. Остекласт.

Г. Макрофаг.

Д. Хондроцит.

Тестовое задание №31

На электронной микрофотографии представлена многоядерная клетка, в цитоплазме которой различают светлую зону, ядросодержащую часть и гофрированный край, который прилежит к минерализованному матриксу и содержит многочисленные эндоцитозные пузырьки и лизосомы. Назовите данную клетку.

А. Мегакариоцит.

Б. Гигантская клетка инородного тела.

*В. Остекласт.

Г. Макрофаг.

Д. Нейтрофил.

Тестовое задание №32

На электронной микрофотографии представлена многоядерная клетка, в цитоплазме которой различают светлую зону, ядросодержащую часть и гофрированный край, который прилежит к минерализованному матриксу и содержит многочисленные эндоцитозные пузырьки и лизосомы. Какую функцию выполняет данная клетка?

А. Образование костной ткани.

Б. Презентация антигена.

В. Фагоцитоз.

*Г. Резорбция костной ткани.

Д. Лизис коллагеновых волокон.

Тестовое задание №33

В гистологическом препарате ремоделирования (перестройки) кости выявляются остеокласты. Укажите, какую роль играют данные клетки?

*А. Резорбция кристаллов гидроксиапатитов и разрушение органического матрикса.

Б. Секреция матричных пузырьков.

В. Формирование кристаллов гидроксиапатитов.

Г. Секреция перекиси водорода.

Д. Секреция коллагена и гликозаминогликанов.

Тестовое задание №34

В гистологическом препарате зародыша человека наблюдается хрящевая модель бедренной кости, в толще которой идентифицированы кровеносные сосуды в сопровождении мезенхимных и остеогенных клеток. Назовите вид остеогенеза.

А. Прямой.

Б. Аппозиционный.

В. Интерстициальный.

*Г. Непрямой.

Д. Репаративный.

Тестовое задание №35

При электронной микроскопии участка энхондрального остеогенеза, расположенного между диафизом и эпифизом бедренной кости, выявляется зона с большим количеством митотически делящихся хондроцитов. Как называется данная зона.

А. Зона пузырчатых клеток (разрушения).

Б. Зона неизмененного хряща.

*В. Зона столбчатых клеток (роста).

Г. Зона кальцификации.

Д. Зона костной манжетки.

Тестовое задание № 36

В гистологическом препарате между диафизом и эпифизом бедренной кости выявляется участок энхондрального остеогенеза, в котором крупные хондроциты располагаются в виде колонок, имеют вакуолизированную цитоплазму и пикнотизированное ядро. Межклеточное вещество данной зоны базофильно за счет отложения минеральных солей. Назовите данную зону.

*А. Зона пузырчатых клеток (разрушения).

Б. Зона неизмененного хряща.

В. Зона столбчатых клеток (роста). 17

Г. Зона кальцификации.

Д. Зона костной манжетки.

Тестовое задание № 37

В скелетной ткани межпозвоночного диска выявляются группы округлых клеток, окруженных капсулой. Укажите данные структуры.

А. Лакунарно-канальцевая система.

*Б. Изогенные группы.

В. Лимфоидные узелки.

Г. Концевые отделы.

Д. Остеогенные островки.

Тестовое задание № 39

При электронно-микроскопическом исследовании функционально активного остеобласта в цитоплазме определяется большое количество цистерн гранулярной эндоплазматической сети, комплекс Гольджи. Что синтезирует данная клетка?

А. Неколлагеновые белки.

Б. Протеогликаны.

В. Эластин и микрофибриллин.

Г. Гликопротеины.

*Д. Все компоненты межклеточного вещества.

Тестовое задание № 40

При электронной микроскопии участка костной ткани отмечаются признаки минерализации органического матрикса. Какие клетки обеспечивают этот процесс?

А. Остеоциты.

*Б. Остеобласты.

В. Остеокласты.

Г. Хондробласты.

Д. Хондроциты.

Тестовое задание № 41

При электронной микроскопии участка пластинчатой костной ткани отмечаются признаки минерализации органического матрикса. Укажите механизм его минерализации.

А. Диффузия солей кальция.

Б. Фибриллогенез.

В. Протеолиз белков ферментами лизосом.

*Г. Секреция матриксных везикул с кристаллами гидроксиапатитов.

Д. Секреция неколлагеновых белков.

1. В гистологическом препарате декальцинированной трубчатой кости неполовозрелого животного выявляется участок гиалиновой хрящевой ткани, в которой клетки делятся и формируют колонки (столбчатая зона). Что обеспечивает данная зона?

А. Прочность кости.

Б. Защиту от механических воздействий.

В. Рост кости в ширину.

Г. Рост кости в длину.

Д. Трофику кости.

 

2. В гистологическом препарате декальцинированной трубчатой кости неполовозрелого животного выявляется участок хрящевой ткани, в которой клетки делятся и формируют колонки (столбчатая зона). Укажите разновидность хрящевой ткани в данном участке.

А. Эластическая хрящевая ткань.

Б. Волокнистая хрящевая ткань.

В. Надхрящница.

Г. Гиалиновая хрящевая ткань.

Д. Зона зрелого хряща.

 

3. В гистологическом препарате трубчатой кости определяются остеогенные клетки (остеобласты) различной степени дифференцировки, которые обеспечивают ее рост в ширину. Где локализуются данные клетки?

А. В эндосте

Б. В метаэпифизарном хряще.

В. В наружном слое надкостницы.

Г. Во внутреннем слое надкостницы.

Д. В наружном слое костный пластинок.

 

4. У пациента после перелома трубчатой (лучевой) кости выявили морфологические признаки посттравматической регенерации костной ткани? Укажите клетки, реализующие данный процесс.

А. Фибробласты, остеобласты.

Б. Остеогенные клетки эндоста.

В. Остеокласты и остеоциты.

Г. Остеогенные клетки надкостницы.

Д. Остеогенные клетки надкостницы и эндоста.

10.3. Костные ткани

10.3.1. Компоненты костных тканей

10.3.1.1. Межклеточное вещество

Состав

Межклеточное вещество костей представлено

 не только обычными компонентами (коллагеновыми волокнами, протеогликанами, гликопротеинами),

 но и (на 70 %) минеральными солями - главным образом, кристаллами гидроксиапатита                         Са10(РО4)6 (ОН)2.

 Содержание воды - очень низкое (от 6 до 20 %).

Физические свойства

Поэтому межклеточное вещество находится в твёрдом состоянии, что придаёт костям, по сравнению с хрящом,

 более высокую прочность  и в то же время - хрупкость.

10.3.1.2. Клетки

а) Клетки костной ткани -

 остеобласты,  остеоциты и  остеокласты.

б) Остеобласты и остеоциты - последовательные стадии развития клеток соответствующего дифферона - т.н. дифферона механоцитов.

в) В отличие от хондробластов и хондроцитов, но так же , как зрелые фибробласты и фиброциты,

 остеобласты и остеоциты не способны к митотическим делениям.

I-А. Остеобласты: общее описание

Происхож- дение и локали- зация

а) Остеобласты развиваются

 из стволовых остеогенных клеток.

б) В образующейся кости они покрывают почти непрерывным слоем

 поверхность строящихся костных балок.

в) В сформированной кости остеобласты встречаются

 в надкостнице,

 в эндосте (выстилает костномозговую полость в диафизах трубчатых костей и покрывает костные балки в губчатом веществе костей), а также

 в периваскулярном пространстве остеонов (см. ниже).

Функцио- нальная активность

Остеобласты

 образуют компоненты межклеточного вещества

 и со временем превращаются в остеоциты.

Морфо- логия

Остеобласты отличаются

 полигональной формой и  резко базофильной цитоплазмой (из-за высокой белоксинтезирующей активности).

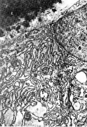
I-Б. Остеобласты: электронограмма

а) А вот какова ультраструктурная организация остеобласта. -

В нём (в связи с интенсивным синтезом внеклеточных белков) хорошо развиты

 шероховатая ЭПС (5-6) и  комплекс Гольджи (8) (как всегда, находящийся возле ядра (3).

б) А рядом с клеткой (вверху снимка) находятся продукты её деятельности:

 органическая матрица кости (2) - остеоид с поперечно срезанными коллагеновыми волокнами

 и (несколько далее) - минерализованное основное вещество (1) кости, имеющее вид тёмной массы.

Электронная микрофотография - остеобласт.

II. Остеоциты

Локализация

а) Остеоциты - основной тип клеток сформированной кости.

б) Они

 лежат в костных полостях (лакунах);

 но, в отличие от хондроцитов, не образуют при этом изогенных групп; т.е. располагаются поодиночке.

Морфология

При этом остеоциты

   имеют многочисленные тонкие отростки, которые

 проходят в костных канальцах и  контактируют с сосудами или отростками соседних клеток.

Функция

а) По отросткам и окружающему их пространству канальцев происходит 

 обмен веществами между сосудами и костной тканью.

б) Таким образом, остеоциты выполняют

 трофическую функцию.