Материал: Презентация на тему .Скелетные ткани

Внимание! Если размещение файла нарушает Ваши авторские права, то обязательно сообщите нам

Образуются костные балки из грубоволокнистой костной ткани – первичная губчатая кость.

Балки растут в длину и в ширину.

4. Перестройка грубоволокнистой костной ткани в

пластинчатую.

Непрямой остеогенез

Стадии

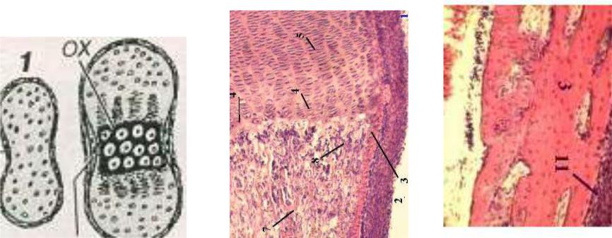
1.Образование хрящевой модели кости.

2. Преобразование надхрящницы в надкостницу.

Основное условие: развитие кровеносных сосудов.

3. Образование перихондральной костной

манжетки из грубоволокнистой костной ткани (первичный центр окостенения)

4. Образование эндохондральной костной ткани.

Содержит остатки межклеточного вещества хряща.

Является пластинчатой костной тканью.

5. Образование метаэпифизарной пластинки

(пластинки роста).

Зоны:1) неизмененного хряща,

2) пролиферирующего хряща (монетных столбиков),

3) обезвествленного хряща (пузырчатая зона),

4)оссификации (образования кости).