Материал: Патан Серов учебник

Внимание! Если размещение файла нарушает Ваши авторские права, то обязательно сообщите нам

бронхогшевмонии. В большинстве случаев абсцесс сообщается с просветом бронхов (дренажные бронхи), через которые гной выделяется с мокротой.Бронхогенный абсцесс легкого появляется при разрушении стенки бронхоэктаза и переходе воспаления на соседнюю легочную ткань с последующим развитием в ней некроза, нагноения и формированием полости - абсцесса. Стенка абсцесса образована как бронхоэктазом, так и уплотненной легочной тканью. Бронхогенные абсцессы легкого обычно бывают множественными. Острый абсцесс легкого иногда заживает спонтанно, но чаще принимает хроническое течение.

Рис. 185. Абсцесс

легкого

Гангрена легкого - наиболее тяжелый вид острых деструктивных процессов легких. Она осложняет обычно пневмонию и абсцесс легкого любого генеза при присоединении гнилостных микроорганизмов. Легочная ткань подвергается влажному некрозу, становится серо-грязной, издает дурной запах. Гангрена легкого обычно приводит к смерти.

Хронические неспецифические заболевания легких

426

К хроническим неспецифическим, заболеваниям легких (ХНЗЛ) относят хронический бронхит,

бронхоэктазы, эмфизему легких, бронхиальную астму, хронический абсцесс, хроническую пневмонию, интерстициальные болезни легких, пневмофиброз (пневмоцирроз).

Среди механизмов развития этих заболеваний выделяют бронхитогенный, пневмониогенный и пневмонитогенный (схема XXI). В основе бронхитогенного механизма ХНЗЛ лежит нарушение дренажной функции бронхов и бронхиальной проводимости. Заболевания, объединяемые этим механизмом, илихронические

обструктивные заболевания легких, представлены хроническим бронхитом, бронхоэктазами (бронхоэктатической болезнью), бронхиальной астмой и эмфиземой легких (особенно хронической диффузной обструктивной). Пневмониогенный механизм ХНЗЛ связан с острой пневмонией и ее осложнениями. Он ведет к развитию группы хронических необструктивных заболеваний легких, в которую входят хронический абсцесс и хроническая пневмония. Пневмонитогенный механизм ХНЗЛ определяет развитие хронических интерстициальных заболеваний легких, представленных

различными формами фиброзного (фиброзирующего) альвеолита, или пневмонита. В финале все три механизма ХНЗЛ ведут к развитию пневмосклероза (пневмоцирроза), вторичной легочной гипертензии, гипертрофии правого желудочка сердца и сердечно-легочной недостаточности (см. схему XXI).

Хронический бронхит

Хронический бронхит - хроническое воспаление бронхов, возникающее в результате затянувшегося острого бронхита (например, после перенесенной кори или гриппа) или же длительного воздействия на слизистую оболочку бронхов биологических, физических и химических факторов (возбудители инфекции, курение, охлаждение дыхательных путей, запыление и т.д.).

Хронический бронхит инфекционной природы может вначале иметь локальный характер. Он развивается чаще в бронхах II, VI, VIII, IX и X сегментов, т.е. там, где чаще всего возникают очаги пневмонии и имеются неблагоприятные предпосылки для рассасывания экссудата. Локальные формы хронического бронхита становятся источником развития хронического диффузного бронхита, когда поражается все бронхиальное дерево. При этом стенка бронхов становится утолщенной, окружается прослойками соединительной ткани, иногда отмечается выраженная в

Схема XXI. Пато- и морфогенез ХНЗЛ

427

той или иной степени деформация бронхов. При длительном течении бронхита могут возникать мешковидные или цилиндрическиебронхоэктазы.

Микроскопические изменения в бронхах при хроническом бронхите разнообразны. В одних случаях преобладают явления хронического слизистого или гнойного катара с

нарастающей атрофией слизистой оболочки, кистозным превращением желез, метаплазией покровного призматиче-

428

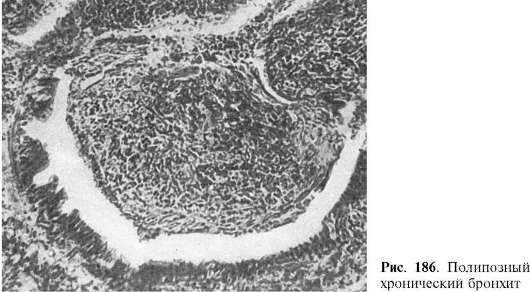
ского эпителия в многослойный плоский, увеличением числа бокаловидных клеток; в других - в стенке бронха и особенно в слизистой оболочке резко выражены клеточная воспалительная инфильтрация и разрастания грануляционной ткани, которая выбухает в просвет бронха в виде полипа - полипозный хронический бронхит (рис. 186). При созревании грануляционной и разрастании в стенке бронха соединительной ткани мышечный слой атрофируется и бронх подвергается деформации - деформирующий хронический бронхит.

При хроническом бронхите нарушается дренажная функция бронхов, что ведет к задержке их содержимого в нижележащих отделах, закрытию просвета мелких бронхов и бронхиол и развитию бронхолегочных осложнений, таких как телектаз (активное спадение респираторного отдела легких вследствие обтурации или компрессии бронхов), обструктивная эмфизема, хроническая пневмония, пневмофиброз.

Бронхоэктазы

Бронхоэктазы - расширения бронхов в виде цилиндра или мешка, которые могут быть врожденными и приобретенными. Врожденные бронхоэктазы встречаются сравнительно редко (2-3% по отношению к общему числу ХНЗЛ) и развиваются в связи с нарушениями формирования бронхиального дерева. Иногда образуются кисты (так называемое кистозное легкое), так как в паренхиме легкого слепо заканчиваются мелкие бронхи. Гистологическим признаком врожденных бронхоэктазов является беспорядочное расположение в их стенке структурных элементов бронха. Врожденные бронхоэктазы выявляются обычно при нагноении их содержимого.Приобретенные бронхоэктазы являются следствием хронического бронхита. Они появляются в очаге неразрешившейся пневмонии,

в участках ателектаза (активного спадения респираторного отдела легких вследствие обтурации или компрессии бронхов) и коллапса (спадение респираторных структур легкого вследствие механического его сдавления со стороны плевральной полости). Внутрибронхиальное давление, повышающееся во время кашлевых толчков, воздействуя на измененную при хроническом воспалении бронхиальную стенку, ведет к ее выбуханию в сторону наименьшего сопротивления, просвет бронха расширяется и образует мешковидный

429

бронхоэктаз. При диффузном расширении просвета бронха образуются цилиндрические бронхоэктазы (рис. 187). Расширенные на почве воспаления бронхиолы обозначают как бронхиолоэктазы. Они бывают обычно множественными, поверхность разреза легкого

при этом имеет мелкоячеистый вид, такое легкое называютсотовым, так как оно напоминает пчелиные соты.

Полость бронхоэктаза выстлана призматическим эпителием, но нередко многослойным плоским, возникшим в результате метаплазии. В стенке бронхоэктаза наблюдается хроническое воспаление, эластические и мышечные волокна на значительном протяжении разрушены и замещены соединительной тканью. В полости бронхоэктаза имеется гнойное содержимое. Прилежащая к бронхоэктазам легочная ткань резко изменяется, в ней возникают фокусы воспаления (абсцессы, участки организации экссудата), поля фиброза. В сосудах развивается склероз, что при множественных бронхоэктазах и неизбежно возникающей при хроническом бронхите обструктивнои эмфиземе ведет к гипертензии в малом круге кровообращения и гипертрофии правого желудочка сердца (легочное сердце). В связи с этим у больных появляется гипоксия с последующим нарушением трофики тканей. Очень характерно утолщение тканей ногтевых фаланг пальцев рук и ног: пальцы приобретают вид барабанных палочек. При длительном существовании бронхоэктазов может развитьсяамилоидоз. Весь комплекс легочных и внелегочных изменений при наличии бронхоэктазов называютбронхоэктатической болезнью.

Рис.

187. Цилиндрические бронхоэктазы (гистотопографический срез)

Эмфизема легких

Эмфиземой легких (от греч. emphysao - вздуваю) называют заболевание, которое характеризуется избыточным содержанием воздуха в легких и увеличением их размеров. Различаются следующие виды эмфиземы: хроническая диффузная обструктивная;

430