Материал: Патан Серов учебник

Внимание! Если размещение файла нарушает Ваши авторские права, то обязательно сообщите нам

отличаются поверхностной альтерацией клеток и тканей, что объясняют отсутствием участия комплемента в реакции и преобладанием сосудисто-экссудативных изменений, связанных

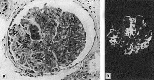
Рис.

79. Реакция гиперчувствительности немедленного типа:

а - острое иммунное воспаление: участки фибриноидного набухания и фибриноидного некроза капилляров почечного клубочка при волчаночном гломерулонефрите; б - в участках фибриноида фиксация IgG (иммунолюминесцентное исследование)

с массивной дегрануляцией тканевых базофилов (лаброцитов) и выбросом гистамина; в инфильтрате преобладают эозинофилы - ингибиторы базофилов. Примером реагиновой реакции могут служить изменения при атонической бронхиальной астме (см. Бронхиальная астма).

Реакция гиперчувствительности замедленного типа (ГЗТ). В этой реакции участвуют два вида клеток -сенсибилизированные лимфоциты и макрофаги. Лимфоцитарная и макрофагальная инфильтрация в очаге иммунного конфликта являются выражением хронического иммунного воспаления, лежащего в основе ГЗТ.

Разрушение клетки-мишени, т.е. иммунологически обусловленный клеточный цитолиз, обычно связан с действием белков-перфоринов лимфоцитов-киллеров (см. схему

XIII). Макрофаги вступают в специфическую реакцию с антигеном при помощи медиаторов клеточного иммунитета - лимфокинов и цитофильных антител, адсорбированных на поверхности этих клеток. При этом между лимфоцитами и макрофагами появляются контакты в виде цитоплазматических мостиков, которые, повидимому, служат для обмена информацией между клетками об антигене. Иммунологически обусловленный клеточный цитолиз может быть связан и с клеточными антителами, т.е. с NK- и К-клетками (см. схему

XIII).

Доказательством участия Т-лимфоцитов в ГЗТ является тот факт, что с помощью сенсибилизированных лимфоцитов возможна передача ГЗТ.

201

Воспаление в виде лимфогистиоцитарной и макрофагальной инфильтрации ткани в сочетании с сосудисто-плазморрагическими и паренхиматозно-дистрофическими процессами может считаться иммунным, т.е. отражающим ГЗТ, лишь при наличии доказательств связи клеток инфильтрата с сенсибилизированными лимфоцитами. Эти доказательства могут быть найдены при гистохимическом и электронномикроскопическом исследовании (см. рис. 78).

К клинико-морфологическим проявлениям ГЗТ относят: реакцию туберкулинового типа в коже в ответ на введение антигена, контактный дерматит (контактную аллергию), аутоиммунные болезни, реакции при многих вирусных и некоторых бактериальных (вирусный гепатит, туберкулез, бруцеллез) инфекциях. Морфологическим проявлением ГЗТ служит гранулематоз

(см. Пролиферативное (продуктивное) воспаление).

Для определения ГЗТ в клинике и эксперименте разработан ряд критериев и тестов. In vivo ГЗТ определяют при помощи внутрикожной пробы с антигеном, путем пассивного

переноса ГЗТ от одного животного другому клетками лимфоидных органов. Для определения ГЗТ in vitro используют: реакцию бласттрансформации лимфоцитов под действием антигена или неспецифического антигенного раздражителя, феномен цитопатического действия лимфоцитов на нормальные фибробласты в культуре ткани в присутствии антигена, реакцию угнетения макрофагов под действием антигена и реакцию адсорбции на лимфоцитах аутоэритроцитов, нагруженных антигеном.

Реакции ГНТ и ГЗТ нередко сочетаются или сменяют друг друга, отражая динамику иммунопатологического процесса.

Проявления трансплантационного иммунитета представлены реакцией организма реципиента на генетически чужеродный трансплантат донора, т.е. реакцией отторжения трансплантата. Антигены трансплантата индуцируют выработку специфических антител, которые циркулируют в крови, и продукцию сенсибилизированных лимфоцитов, осуществляющих клеточную инвазию трансплантата. Основную роль в реакции отторжения играют сенсибилизированные лимфоциты, поэтому проявления трансплантационного иммунитета подобны ГЗТ.

Морфологические проявления реакции отторжения сводятся к нарастающей инфильтрации трансплантата в основном лимфоцитами, а также гистиоцитами в результате инвазии этих клеток и размножения их на месте. Клеточная инфильтрация сопровождается расстройством кровообращения и отеком трансплантата. В финале среди клеток инфильтрата появляется много нейтрофилов и макрофагов. Считают, что иммунные лимфоциты, разрушая клетки трансплантата, способны насыщаться его антигенами, поэтому гуморальные антитела, направленные против трансплантационных антигенов, не только связываются клетками трансплантата, но и лизируют лимфоциты. Высвобождающиеся из активированных лимфоцитов ферменты разрушают клетки трансплантата, что ведет к высвобождению новых трансплантационных антигенов. Так осуществляется все нарастающая ферментативная деструкция трансплантата. Реакция отторжения может быть подавлена с помощью ряда иммунодепрессивных средств. Это позволяет при пересадке органов и тканей пользоваться

202

не только изотрансплантатом (реципиент и донор - близнецы), но и аллотрансплантатом (реципиент и донор чужеродны) как от живого человека, так и от трупа.

Аутоиммунизация и аутоиммунные болезни

Аутоиммунизация (аутоаллергия, аутоагрессия) - состояние, характеризующееся появлением реакции иммунной системы на нормальные антигены собственных тканей.

Аутоиммунизация тесно связана с понятием иммунологической толерантности (от лат. tolerare - переносить, терпеть). Оно характеризуется состоянием ареактивности («терпимости») лимфоидной ткани по отношению к антигенам, способным вызывать иммунный ответ. В период созревания лимфоидной ткани возникает иммунологическая

толерантность к антигенам всех органов и тканей, кроме тканей глаза, щитовидной железы, семенников, надпочечников, головного мозга и нервов. Считается, что антигены этих органов и тканей отграничены от лимфоидной ткани физиологическими барьерами, что и объясняет отсутствие к ним толерантности иммунокомпетентной системы. «Свои» и «чужие» тканевые антигены иммунная система начинает распознавать у новорожденного через несколько недель после рождения. При этом продукция аутоантител в незначительных количествах постоянно происходит на протяжении всей жизни и ауто-антитела, как полагают, принимают участие в регу-

ляции различных функций организма. Их действие находится под контролем Т-супрессоров и антиидиотипических антител, что не позволяет развиться аутоиммунному процессу.

Среди этиологических факторов аутоиммунизации ведущее значение придается хронической вирусной инфекции, радиации и генетическим нарушениям. Этиология тесно связана с патогенезом. В патогенезеаутоиммунных

заболеваний различают предрасполагающие, инициирующие и способствующие факторы. Кпредрасполагающим факторам относят определенные гены системы HLA, определяющие количественные и качественные индивидуальные особенности иммунного ответа; гормональный фон, связанный прежде всего с полом (у женщин аутоиммунные болезни встречаются в 6-9 раз чаще, чем у мужчин), и генетически обусловленные особенности клеток органов-мишеней аутоиммунного процесса. Неблагоприятное сочетание этих факторов определяет 50% риска развития болезни. Инициирующими факторами могут быть вирусные и бактериальные инфекции, физические, химические воздействия как на органы иммунной системы, так и на органы-мишени. Способствующие факторы аутоиммунизации - это дисфункция иммунной системы - снижение супрессорной активности Т-лимфоцитов и антиидиотипических антител.

Аутоиммунные болезни - это болезни, в основе которых лежит аутоиммунизация, т.е. агрессия аутоантител, циркулирующих иммунных комплексов, содержащих аутоантигены, и эффекторных иммунных клеток (лимфоцитов-киллеров) в отношении антигенов собственных тканей организма. Поэтому аутоиммунные болезни называют также аутоагрессивными.

203

Руководствуясь механизмом аутоиммунизации, различают две группы аутоиммунных заболеваний. Первая группа - это органоспецифические аутоиммунные болезни, которые развиваются в связи с повреждением физиологических барьеров иммунологически обособленных органов, что позволяет иммунной системе реагировать на их неизмененные антигены выработкой аутоантител и сенсибилизированных лимфоцитов. При этом в органах развиваются морфологические изменения, характерные преимущественно для ГЗТ: ткань органов инфильтрируется лимфоцитами, паренхиматозные элементы погибают, в финале развивается склероз. В эту группу входят тиреоидит (болезнь Хасимото) (рис. 80), энцефаломиелит, полиневрит, рассеянный склероз, идиопатическая аддисонова болезнь, асперматогения, симпатическая офтальмия.

Вторая группа - это органонеспецифические аутоиммунные заболевания. Ведущими при этих заболеваниях являются нарушения контроля иммунологического гомеостаза лимфоидной системой. Аутоиммунизация при этом развивается по отношению к антигенам многих органов и тканей, не обладающих органной специфичностью и неспособных вызывать продукцию антител при парентеральном введении. В органах и тканях развиваются морфологические изменения, характерные для реак-

Рис.

80. Тиреоидит Хасимото:

а - инфильтрация лимфоцитами ткани щитовидной железы, разрушение паренхиматозных элементов (микроскопическая картина); б - миграция лимфоцита (Лц) между клетками фолликула (КФ); множественные контакты и переплетения цитоплазматических отростков лимфоцита и фолликулярных клеток. Пр - просвет фолликула. Электронограмма. χ10 000 (по Ирвину и Муру)

204

ций гиперчувствительности как замедленного, так и особенно немедленного типов. К этой группе аутоиммунных заболеваний относят системную красную волчанку, ревматоидный артрит, системную склеродермию, дерматомиозит (группа ревматических болезней), вторичную тромботическую тромбоцитопеническую пурпуру (болезнь Мошковича).

Существуют аутоиммунные болезни промежуточного типа, т.е. близкие аутоиммунным заболеваниям первого или второго типа. Это миастения гравис, сахарный диабет I типа, тиреотоксикоз, синдромы Шегрена и Гудпасчера и др.

Помимо аутоиммунных заболеваний, выделяют болезни с аутоиммунными нарушениями. Появление аутоантигенов при этих заболеваниях связывают с изменением

антигенных свойств тканей и органов - денатурацией тканевых белков (при ожоге, облучении, травме, хроническом воспалении, вирусной инфекции); образование аутоантигена возможно при воздействии бактериального антигена, особенно перекрестно реагирующего (например, при гломерулонефрите, ревматизме). В образовании аутоантигена большое значение придается гаптенному механизму, причем в роли гаптена могут выступать как продукты обмена тела, так и микроорганизмы, токсины и лекарственные средства. Аутоиммунизация в

этих условиях определяет не возникновение заболевания, а прогрессирование характерных для него локальных (органных) изменений, которые отражают «морфологию реакций гиперчувствительности замедленного и немедленного типов. В эту группу заболеваний включают: определенные формы гломерулонефрита, гепатита, хронического гастрита и энтерита, цирроз печени, ожоговую болезнь, аллергические анемии, тромбоцитопению, агранулоцитоз, лекарственную аллергию.

Иммунодефицитные синдромы

Иммунодефицитные синдромы являются крайним проявлением недостаточности иммунной системы. Они могут быть первичными, обусловленными недоразвитием (гипоплазия,

аплазия) иммунной системы -наследственные и врожденные иммунодефицитные синдромы, или вторичными (приобретенными), возникающими в связи с болезнью или проводимым лечением.

Первичные иммунодефицитные синдромы

Первичные иммунодефицитные синдромы могут быть выражением недостаточности: 1) клеточного и гуморального иммунитета; 2) клеточного иммунитета; 3) гуморального иммунитета.

Синдромы недостаточности клеточного и гуморального иммунитета называют комбинированными. Они встречаются у детей и новорожденных,

наследуются по аутосомно-доминантному типу (агаммаглобулинемия швейцарского типа, или синдром Гланцманна-Риникера; атаксиятелеангиэктазия Луи-Бар). При этих синдромах находят гипоплазию как вилочковои железы, так и периферической лимфоидной ткани (табл. 4), что и определяет дефект клеточного и гуморального иммунитета. В связи с

205