Материал: Патан Серов учебник

Внимание! Если размещение файла нарушает Ваши авторские права, то обязательно сообщите нам

Рис.

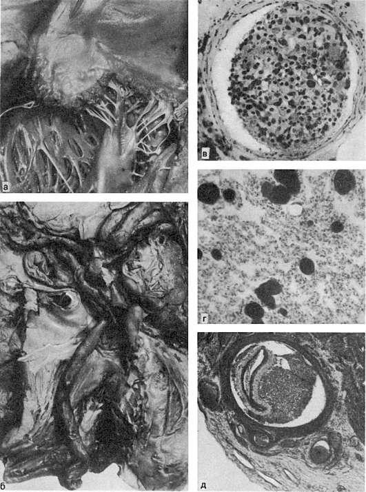
а - бородавчатый эндокардит митрального клапана - источник тромбоэмболии большого круга кровообращения; б - тромбоэмболия легочной артерии; полость правого желудочка и просвет легочной артерии выполнены массами тромбоэмбола; в - жировая эмболия капилляров почечного клубочка (капли жира окрашены осмием в черный цвет); г - жировая эмболия капилляров легкого в эксперименте (капли жира окрашены осмием в черный цвет); д - эмболия тканью мозжечка венечной артерии сердца у новорожденного

Большую опасность представляют прогрессирующий тромбоз и септический тромбоз.

156

Обтурирующие тромбы в крупных венах дают различные проявления в зависимости от их локализации. Так, тромбоз венозных синусов твердой мозговой оболочки как осложнение отита или мастоидита может привести к расстройству мозгового кровообращения, тромбоз воротной вены - к портальной гипертензии и асциту, тромбоз селезеночной вены - к спленомегалии (тромбофлебитическая спленомегалия). При тромбозе почечных вен в ряде случаев развиваются нефротический синдром или венозные инфаркты почек, при тромбофлебите печеночных вен - болезнь Бадда-Киари, а при тромбозе брыжеечных вен - гангрена кишки. Характерную клиническую картину дает тромбофлебит (флебит, осложненный тромбозом) вен нижних конечностей, афлеботромбоз (тромбоз вен) становится источником тромбоэмболии легочной артерии.

Клиническое значение тромбозов и тромбоэмболии обусловлено тем, что они часто становятся смертельными осложнениями многих заболеваний, причем частота тромбоэмболических осложнений в последние годы возрастает.

Эмболия

Эмболия (от греч. em-ballein - бросать внутрь) - циркуляция в крови (или лимфе) не встречающихся в нормальных условиях частиц и закупорка ими сосудов. Сами частицы называются эмболами (см. рис. 61). Эмболы чаще перемещаются по току крови по трем направлениям: 1) из венозной системы большого круга кровообращения и правого сердца в сосуды малого круга кровообращения. Если эмболы имеются, например, в системе нижней или верхней полой вены, то они попадают в легкие; 2) из левой половины сердца, аорты и крупных артерий, а также (редко) из легочных вен в артерии сердца, мозга, почек, селезенки, кишечника, конечностей и т.д.; 3) из ветвей портальной системы в воротную вену печени. Однако реже эмбол в силу своей тяжести может двигаться против тока крови, например, через нижнюю полую вену опускаться в почечную, печеночную или даже в бедренную вену. Такую эмболию называют ретроградной. При наличии дефектов в межпредсердной или межжелудочковой перегородке возникает парадоксальная эмболия: эмбол из вен большого круга, минуя легкие, попадает в артерии. К парадоксальным эмболиям можно отнести микроэмболию сосудов через артериовенозные анастомозы.

Механизм развития. Его нельзя свести лишь к механическому закрытию просвета сосуда. В развитии эмболии огромное значение имеет рефлекторный спазм как основной сосудистой магистрали, так и ее коллатералей, что вызывает тяжелые дисциркуляторные нарушения.

Спазм артерий может распространяться на сосуды парного или какого-либо другого органа (например, реноренальный рефлекс при эмболии сосудов одной из почек, пульмокоронарный рефлекс при тромбоэмболии легочной артерии).

В зависимости от природы эмболов, которые могут быть единичными или множественными, различают следующие виды эмболии: тромбоэмболию, жировую, воздушную, газовую, тканевую (клеточную), микробную, эмболию инородными телами.

157

Тромбоэмболия - наиболее частый вид эмболии (см. рис. 61). Возникает она при отрыве тромба или его части, причем размеры тромбоэмболов могут быть разными - от определяемых только под микроскопом до длиной в несколько сантиметров.

Если эмболами становятся тромбы вен большого круга кровообращения или камер правой половины сердца, то они попадают в разветвления легочной артерии.

Возникает тромбоэмболия системы легочной артерии (см. рис. 61). При тромбоэмболии мелких ветвей легочной артерии обычно развивается геморрагический инфаркт легкого, а при тромбоэмболии крупных ветвей наступает внезапная смерть. Иногда внезапная смерть наступает в тех случаях, когда тромбоэмбол обнаруживается в месте разветвления основного ствола легочной артерии. В генезе смерти при тромбоэмболии легочной артерии придается значение не столько механическому фактору закрытия просвета сосуда, сколько пульмокоронарному рефлексу. При этом наблюдается спазм бронхиального дерева, ветвей легочной артерии и венечных артерий сердца.

Источником тромбоэмболии большого круга кровообращения служат, как уже говорилось,

тромбы, возникающие на створках клапанов левого сердца, тромбы, расположенные между трабекулярными мышцами левого желудочка, в ушке левого предсердия или в аневризме сердца, в аорте и других артериях. В этих случаях развивается тромбоэмболический синдром с инфарктами во многих органах (см. Тромбоз).

О жировой эмболии говорят в тех случаях, когда источником ее являются капли жиров. Как правило, это жиры тела. Попадающие в вены жировые капли облитерируют капилляры легких или же, минуя легкие, через артериовенозные анастомозы поступают в капилляры клубочков почек, головного мозга и других органов (см. рис. 61). Макроскопически органы при жировой эмболии не изменяются, жировые эмболы обнаруживаются в капиллярах только при микроскопическом исследовании срезов, специально окрашенных на жиры (судан III или IV, осмиевая кислота и др.).

Жировая эмболия развивается обычно при травматическом размозжении подкожной клетчатки, костного мозга (при переломе или огнестрельном ранении длинных трубчатых костей). Редко она возникает при введении больному лекарств или контрастных веществ, приготовленных на масле. Очень часто, например при переломе длинных трубчатых костей, жировая эмболия клинически не проявляется, так как в легких жир эмульгируется, омыляется и рассасывается липофагами (изредка при этом возникает пневмония). Жировая эмболия становится опасной, если выключается 2/3 легочных капилляров. Тогда развивается острая легочная недостаточность и остановка сердца.

Смертельный исход может наступить и при жировой эмболии капилляров мозга, что ведет к появлению многочисленных точечных кровоизлияний в мозговой ткани.

Воздушная эмболия возникает при попадании в кровоток воздуха. Это редкий вид эмболии, который встречается при ранении вен шеи, чему способствует отрицательное давление в них; при зиянии вен внутренней поверхности матки после родов; при повреждении склерозированного легкого, вены которого не спадаются; при наложении пневмоторакса; при

158

операциях на открытом сердце; при случайном введении воздуха в вену вместе с лекарственными веществами. Попавшие в кровь пузырьки воздуха вызывают эмболию сосудов малого круга кровообращения, наступает внезапная смерть. При этом воздух накапливается в полости правого сердца и растягивает его.

Для диагностики воздушной эмболии на вскрытии нужно проколоть правое сердце, не вынимая его и предварительно заполнив полость сердечной сорочки водой. Воздушная эмболия распознается по выделению воздуха через отверстие на месте прокола; кровь в полости сердца, особенно правого, имеет пенистый вид, вены содержат пузырьки воздуха.

Газовая эмболия, т.е. закупорка сосудов пузырьками газа, встречается у рабочих, занятых на кессонных работах, водолазов в случаях быстрого перехода от высокого атмосферного давления к нормальному, т.е. при быстрой декомпрессии. Известно, что с повышением атмосферного давления в крови происходит накопление и растворение большого количества азота, который переходит в ткани. При быстрой декомпрессии высвобождающийся из тканей азот не успевает выделиться легкими и накапливается в виде пузырьков газа в крови. Газовые эмболы закупоривают капилляры головного и спинного мозга, печени, почек и других органов, что сопровождается появлением в них очагов ишемии и некроза (особенно часты очаги размягчения в головном и спинном мозге), развитием множественных кровоизлияний и тромбов. Эти изменения характерны длякессонной болезни. Близки к кессонной болезни изменения, которые встречаются у летчиков при скоростных подъемах и спусках. Иногда газовая эмболия возникает как осложнение газовой (анаэробной) гангрены.

Тканевая (клеточная) эмболия возможна при разрушении тканей в связи с травмой или патологическим процессом, ведущим к поступлению кусочков тканей (клеток) в кровь (см. рис. 61). Эмболами могут быть опухолевая ткань или комплексы клеток опухоли при ее распаде, кусочки клапанов сердца при язвенном эндокардите, ткань головного мозга при травме головы. Эмболия тканью головного мозга сосудов малого и большого круга кровообращения возможна и у новорожденных при родовой травме. К тканевой относят также эмболию амниотической жидкостью у родильниц. Чаще тканевая (клеточная) эмболия наблюдается в сосудах большого круга, реже - в сосудах малого круга кровообращения. Особую категорию тканевой эмболии составляет эмболия клетками злокачествен-

ной опухоли, так как она лежит в основе гематогенного метастазирования

опухоли. Метастазированием (от греч. metastasis - перемещение) называют перенос кровью эмболов, содержащих элементы, которые способны расти и развиваться на месте переноса. Очаг, образующийся в результате такого переноса, называютметастазом.

Микробная эмболия возникает в тех случаях, когда циркулирующие в крови микробы обтурируют просвет капилляров. Это могут быть комочки склеившихся бактерий или грибов, животные паразиты, простейшие. Нередко бактериальные эмболы образуются при гнойном расплавлении тромба. На месте закупорки сосуда бактериальными эмболами образуются метастатические гнойники: при эмболии сосудов малого круга - в легких, при эмболии сосудов большого круга - в почках, селезенке, сердце и других органах.

159

Эмболия инородными телами наблюдается при попадании в просвет крупных сосудов осколков снарядов и мин, пуль и других тел. Вследствие того, что масса таких инородных тел высокая, они проходят небольшие отрезки кровеносного русла, например из верхней полой вены в правые отделы сердца. «Тяжелые эмболы» по понятным причинам могут давать и ретроградную эмболию, т.е. спускаются против тока крови, например из верхней или нижней полой вены в нижележащие венозные стволы. К эмболии инородными телами относят эмболию известью и кристаллами холестерина атеросклеротических бляшек, выкрашивающихся в просвет сосуда при их изъязвлении.

Значение. Эмболии осложняют многие заболевания. Лишь газовая эмболия является сущностью и проявлением самостоятельного заболевания - кессонной болезни. Однако значение эмболии как осложнения неоднозначно и определяется видом эмбола, распространенностью эмболии и их локализацией. Огромное клиническое значение имеют тромбоэмболические осложнения и прежде всего тромбоэмболия легочной артерии, ведущая к внезапной смерти. Тромбоэмболия артерий большого круга является частой причиной развития инфаркта головного мозга, почек, селезенки, гангрены кишечника, конечностей. Нередко в таких случаях возникает тромбоэмболический синдром, плохо поддающийся лечению. Не меньшее значение для клиники имеет бактериальная эмболия как механизм распространения гнойной инфекции и одно из наиболее ярких проявлений сепсиса. То же следует сказать и об эмболии клетками злокачественных опухолей как основе их метастазирования. Значение воздушной и жировой эмболии невелико, но в ряде случаев они могут стать причиной смертельного исхода.

Шок

Шок (от франц. choc) - остро развивающийся патологический процесс, обусловленный действием сверхсильного раздражителя и характеризующийся нарушением деятельности ЦНС, обмена веществ и главное ауторегуляции микроциркуляторной системы, что ведет к деструктивным изменениям органов и тканей.

В основе шока различного происхождения лежит единый сложный многофазный механизм развития. Но для раннего периода шока характерны относительно специфичные признаки, обусловленные особенностями этиологии и патогенеза.

Исходя из этого, различают следующие виды шока: 1) гиповолемический, в основе которого лежит острое уменьшение объема циркулирующей крови (или жидкости); 2) травматический, пусковым механизмом которого является чрезмерная афферентная (преимущественно болевая) импульсация; 3) кардиогенный, возникающий в результате быстрого падения сократительной функции миокарда и нарастания потока афферентной (преимущественно «гипоксической») импульсации; 4) септический (токсико-инфекционный), вызываемый эндотоксинами патогенной микрофлоры.

В поздний период шока относительная специфичность признаков, обусловленных особенностями его этиологии и патогенеза, исчезает, его клинико-морфологические проявления становятся стереотипными.

160