Материал: Патан Серов учебник

Внимание! Если размещение файла нарушает Ваши авторские права, то обязательно сообщите нам

гипертрофируются и приобретают сходство с центролобулярными. Разрастание соединительной ткани в зоне кровоизлияний и гибели гепатоцитов связано с пролиферацией клеток синусоидов - липоцитов, которые могут выступать в роли фибробластов (см. рис. 54), а вблизи центральных и собирательных вен - с пролиферацией фибробластов адвентиции этих вен. В результате разрастания соединительной ткани в синусоидах появляется непрерывная базальная мембрана (в нормальной печени она отсутствует), т.е. происходит капилляризация синусоидов,возникает капиллярно-паренхиматозный блок, который, усугубляя гипоксию, ведет к прогрессированию атрофических и склеротических изменений печени. Этому способствуют также шунтирование крови, развивающееся при склерозе стенок и обтурации просветов многих центральных и собирательных вен, а также нарастающий застой лимфы. В

финале развивается застойный фиброз (склероз) печени.

При прогрессирующем разрастании соединительной ткани появляются несовершенная регенерация гепатоцитов с образованием узловрегенератов, перестройка и деформация органа. Развивается застойный (мускатный) цирроз печени, который называют также сердечным, так как он обычно встречается при хронической сердечной недостаточности.

Влегких при хроническом венозном полнокровии развиваются два вида изменений - множественные кровоизлияния, обусловливающие гемосидероз легких, и разрастание соединительной ткани, т.е. склероз.Легкие становятся большими, бурыми и плотными - бурое уплотнение (индурация) легких (рис. 55).

Вморфогенезе бурого уплотнения легких основную роль играют застойное полнокровие и гипертензия в малом круге кровообращения, ведущие к гипоксии и повышению сосудистой проницаемости, отеку, диапедезным кровоизлияниям (схема VII). Развитию этих изменений

136

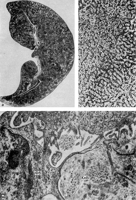
Рис.

54. Мускатная печень:

а - вид на разрезе; б - в центре печеночной дольки (вверху слева) синусоиды резко расширены и полнокровны, гепатоциты разрушены; на периферии дольки (внизу справа) они сохранены (микроскопическая картина); в - в перисинусоидальном пространстве (ПрП) фибробласты (Фб) и коллагеновые волокна (КлВ) (электронограмма). х27 000

Схема VI. Морфогенез застойного фиброза печени

137

Рис.

55. Бурое уплотнение легких:

а - сидеробласты и сидерофаги в просвете легочных альвеол, склероз альвеолярных перегородок (микроскопическая картина); б - в расширенном септальном пространстве (СП) сидерофаг (Сф) и активный фибробласт (Фб), цитоплазма которого образует длинный отросток (ОФб) и содержит много канальцев гранулярной эндоплазматической сети (ЭС), свободных рибосом. Вблизи тела фибробласта видны коллагеновые волокна (КлВ). Кап - капилляр; БМ - базальная мембрана; Эн - эндотелий; Эп - альвеолярный эпителий; Эр - эритроцит, Я - ядро. Электронограмма. х12 500

138

Схема VII. Морфогенез бурого уплотнения легких

предшествует ряд адаптивных процессов в сосудистом русле легких. В ответ на гипертензию в малом круге кровообращения происходит гипертрофия мышечно-эластических структур мелких ветвей легочной вены и артерии с перестройкой сосудов по типу замыкающих артерий, что предохраняет капилляры легкого от резкого переполнения кровью. Со временем адаптивные изменения сосудов легкого сменяются склеротическими, развиваются декомпенсация легочного кровообращения, переполнение капилляров межальвеолярных перегородок кровью. Нарастает гипоксия ткани, в связи с чем повышается сосудистая проницаемость, возникают множественные диапедезные кровоизлияния. В альвеолах, бронхах, межальвеолярных перегородках, лимфатических сосудах и узлах легких появляются скопления нагруженных гемосидерином клеток - сидеробластов и сидерофагов (см. рис. 55) и свободнолежащего гемосидерина. Возникает диффузный гемосидероз легких. Гемосидерин и белки плазмы (фибрин) «засоряют» строму и лимфатические дренажи легких, что ведет к резорбционной недостаточности их лимфатической системы, которая сменяется механической. Склероз кровеносных сосудов и недостаточность лимфатической системы усиливают легочную гипоксию, которая становится причиной пролиферации фибробластов, утолщения межальвеолярных перегородок (см. рис. 55). Возникает капиллярно-

паренхиматозный блок, замыкающий порочный круг в морфогенезе индурации легких, развивается застойный склероз легких. Он более значителен в нижних отделах легких, где сильнее выражен венозный застой и больше скоплений кровяных пигментов, фибрина. Пневмосклероз, как и гемосидероз, при буром уплотнении легких имеет каудоапикальное распространение и зависит от степени и длительности венозного застоя в легких.

139

Существует идиопатическая бурая индурация легких (идиопатический, или эссенциальный, гемосидероз легких; пневмогеморрагическая ремиттирующая анемия; синдром ЦеленаГеллерстедта). Заболевание встречается редко, преимущественно у детей в возрасте от 3 до 8 лет. Морфогенез эссенциального гемосидероза легких принципиально не отличается от описанного при вторичном буром уплотнении легких. Однако гемосидероз при этом выражен резче и чаще сочетается с множественными геморрагиями. Причиной заболевания считают первичное недоразвитие эластического каркаса легочных сосудов, в результате чего в легких возникают аневризмы сосудов, застой крови и диапедезные кровоизлияния; не исключают роль инфекций и интоксикаций, аллергии и аутоиммунизации.

Почки при хроническом общем венозном застое становятся большими, плотными и цианотичными -цианотическая индурация почек. Особенно полнокровны вены мозгового вещества и пограничной зоны. На фоне венозного застоя развивается лимфостаз. В условиях нарастающей гипоксии возникают дистрофия нефроцитов главных отделов нефрона и склероз, который, однако, не бывает резко выраженным.

Хронический венозный застой в селезенке также ведет к ее цианотической индурации. Она увеличена, плотна, темно-вишневого цвета, отмечаются атрофия фолликулов и склероз пульпы. При общем хроническом венозном застое цианотическая индурация свойственна и другим органам.

Местное венозное полнокровие

Местное венозное полнокровие наблюдается при затруднении оттока венозной крови от определенного органа или части тела в связи с закрытием просвета вены (тромбом, эмболом) или сдавливанием ее извне (опухолью, разрастающейся соединительной тканью). Так, резкое венозное полнокровие желудочно-кишечного трактаразвивается при тромбозе воротной вены. Мускатная печень и мускатный цирроз печени встречаются не только при общем венозном полнокровии, но и при воспалении печеночных вен и тромбозе их просветов (облитерирующий тромбофлебит печеночных вен), что характерно для болезни (синдрома) Бадда-Киари. Причиной цианотической индурации лочек может стать тромбоз почечных вен. К венозному застою и отекуконечности ведет также тромбоз вен, если коллатеральное кровообращение оказывается недостаточным.

Местное венозное полнокровие может возникнуть и в результате развития венозных коллатералей при затруднении или прекращении оттока крови по основным венозным магистралям (например, портокавальные анастомозы при затруднении оттока крови по воротной вене). Переполненные кровью коллатеральные вены резко расширяются, а стенка их ис-

тончается, что может быть причиной опасных кровотечений (например, из расширенных и истонченных вен пищевода при циррозе печени).

140